| Mee Young Shin | 5 Articles |
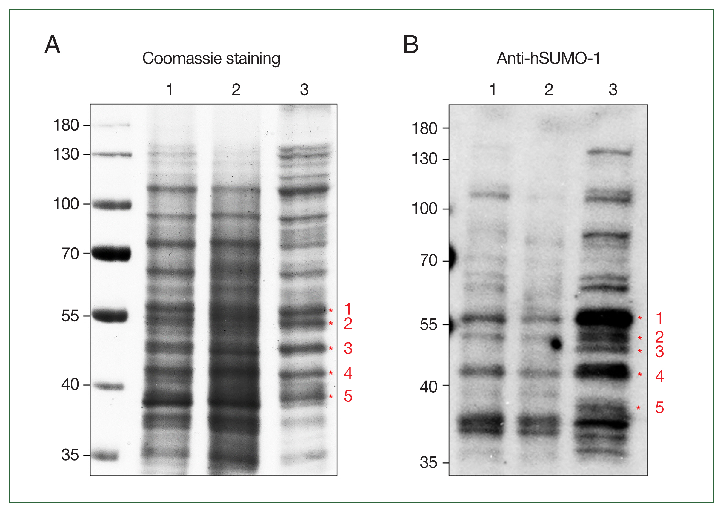
Posttranslational modification by the small ubiquitin-related modifier (SUMO) is one of the crucial cellular processes in Giardia lamblia, a protozoan pathogen. In this study, 5 candidate SUMO substrate proteins of G. lamblia trophozoites were chosen based on their enrichment through affinity chromatography using a SUMO-interaction motif: never in mitosis A-related kinase (NEK), aminoacyl-histidine dipeptidase (AHD), protein disulfide isomerase 2 (PDI2), alcohol dehydrogenase 3, and ornithine carbamoyltransferase. Transgenic Giardia trophozoites expressing 1 of the 5 candidate SUMO substrate proteins were constructed, and their expression was confirmed by western blot using hemagglutinin-tag. Arginine deiminase (ADI) protein was expressed in Giardia trophozoites as a positive control. Cell extracts were processed for affinity chromatography using SUMO-interaction motif resin. As expected, the SUMOylated form of ADI was detected in the affinity chromatography extracts of ADI-expressing cells. Among the 5 candidate proteins, SUMOylated forms of NEK, AHD, and PDI2 were identified in the affinity chromatography extracts. These results suggest that NEK, AHD, and PDI2 activity is modulated via SUMOylation in Giardia trophozoites.
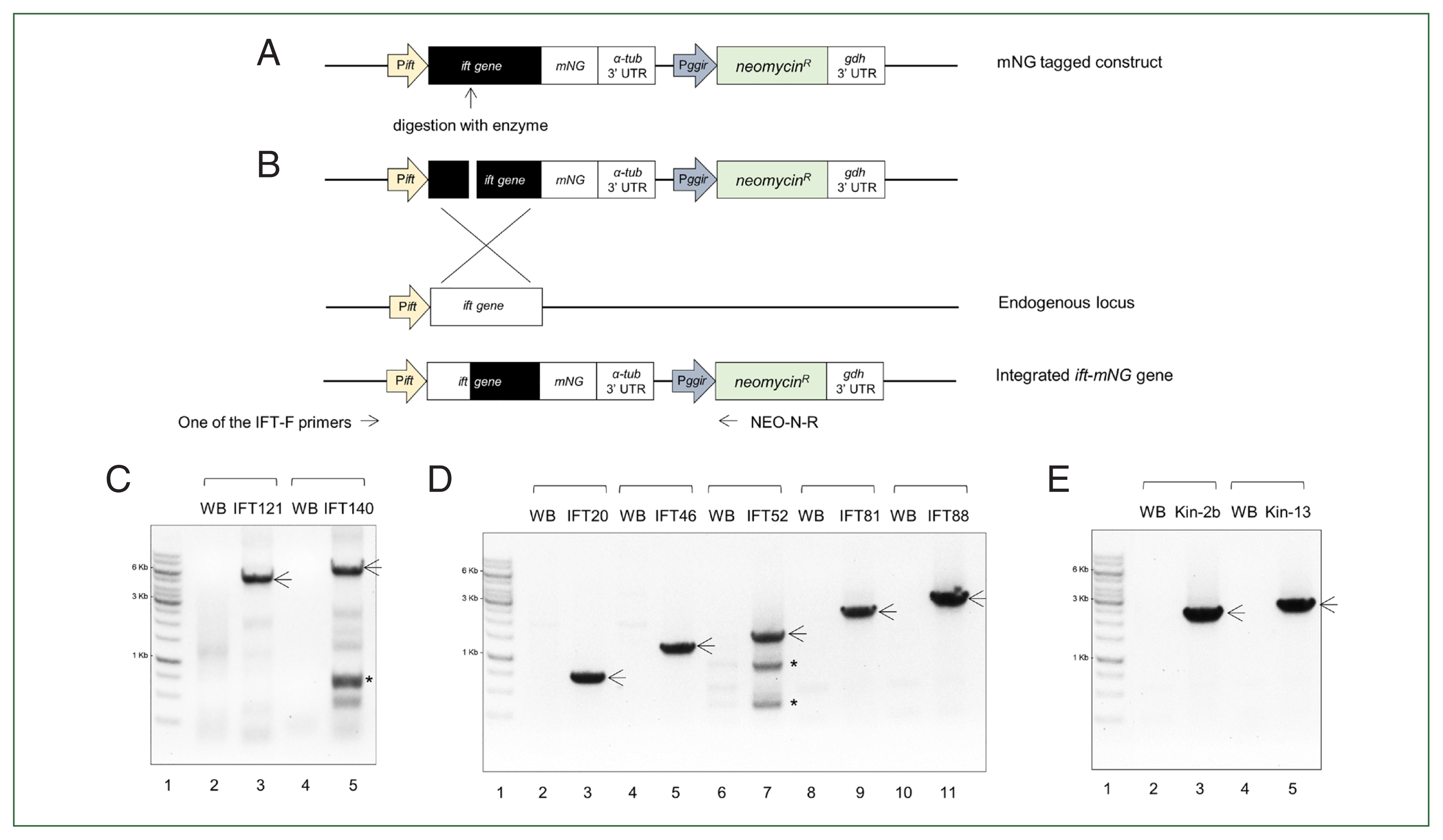
Intraflagellar transport (IFT) particles, a multi-protein apparatus composed of complex A and B, are known to be involved in homeostasis of flagella formation. IFT particles have recently become an interesting topic in Giardia lamblia, which has 4 pairs of flagella. In this experiment, we examined the function of giardial IFT components. When 7 components (IFT121, 140, 20, 46, 52, 81, and 88) of IFT were expressed in Giardia trophozoites as a tagged form with mNeonGreen, all of them were found in both flagella pores and cytoplasmic axonemes. In addition, motor proteins for IFT particles (kinesin-13 and kinesin-2b), were localized to a median body and cytoplasmic flagella, respectively. The CRISPRi-mediated knockdown of IFT88 significantly affected the lengths of all 4 flagella compared to the control cells, Giardia expressing dead Cas9 using control guide RNA. Decreased expression of kinesin-2b also resulted in shortening of flagella, excluding the ventral flagella. Live Giardia cells expressing IFT88-mNeonGreen clearly demonstrated fluorescence in flagella pores and cytoplasmic axonemes. These results on IFT88 and kinesin-2b indicate that IFT complex plays a role in maintenance of G. lamblia flagella.
Citations Citations to this article as recorded by
Kinesin-13 (Kin-13), a depolymerizer of microtubule (MT), has been known to affect the length of Giardia. Giardia Kin-13 (GlKin-13) was localized to axoneme, flagellar tips, and centrosomes, where phosphorylated forms of Giardia polo-like kinase (GlPLK) were distributed. We observed the interaction between GlKin-13 and GlPLK via co-immunoprecipitation using transgenic Giardia cells expressing Myc-tagged GlKin-13, hemagglutinin-tagged GlPLK, and in vitro-synthesized GlKin-13 and GlPLK proteins. In vitro-synthesized GlPLK was demonstrated to auto-phosphorylate and phosphorylate GlKin-13 upon incubation with [γ-32P]ATP. Morpholino-mediated depletion of both GlKin-13 and GlPLK caused an extension of flagella and a decreased volume of median bodies in Giardia trophozoites. Our results suggest that GlPLK plays a pertinent role in formation of flagella and median bodies by modulating MT depolymerizing activity of GlKin-13.
Citations Citations to this article as recorded by
MYB2 protein was identified as a transcription factor that showed encystation-induced expression in Giardia lamblia. Although nuclear import is essential for the functioning of a transcription factor, an evident nuclear localization signal (NLS) of G. lamblia MYB2 (GlMYB2) has not been defined. Based on putative GlMYB2 NLSs predicted by 2 programs, a series of plasmids expressing hemagglutinin (HA)-tagged GlMYB2 from the promoter of G. lamblia glutamate dehydrogenase were constructed and transfected into Giardia trophozoites. Immunofluorescence assays using anti-HA antibodies indicated that GlMYB2 amino acid sequence #507?#530 was required for the nuclear localization of GlMYB2, and this sequence was named as NLSGlMYB2. We further verified this finding by demonstrating the nuclear location of a protein obtained by the fusion of NLSGlMYB2 and G. lamblia glyceraldehyde 3-phosphate dehydrogenase, a non-nuclear protein. Our data on GlMYB2 will expand our understanding on NLSs functioning in G. lamblia.
Citations Citations to this article as recorded by
To identify the component(s) involved in cell cycle control in the protozoan Giardia lamblia, cells arrested at the G1/S- or G2-phase by treatment with nocodazole and aphidicolin were prepared from the synchronized cell cultures. RNA-sequencing analysis of the 2 stages of Giardia cell cycle identified several cell cycle genes that were up-regulated at the G2-phase. Transcriptome analysis of cells in 2 distinct cell cycle stages of G. lamblia confirmed previously reported components of cell cycle (PcnA, cyclin B, and CDK) and identified additional cell cycle components (NEKs, Mad2, spindle pole protein, and CDC14A). This result indicates that the cell cycle machinery operates in this protozoan, one of the earliest diverging eukaryotic lineages.
Citations Citations to this article as recorded by
|
|