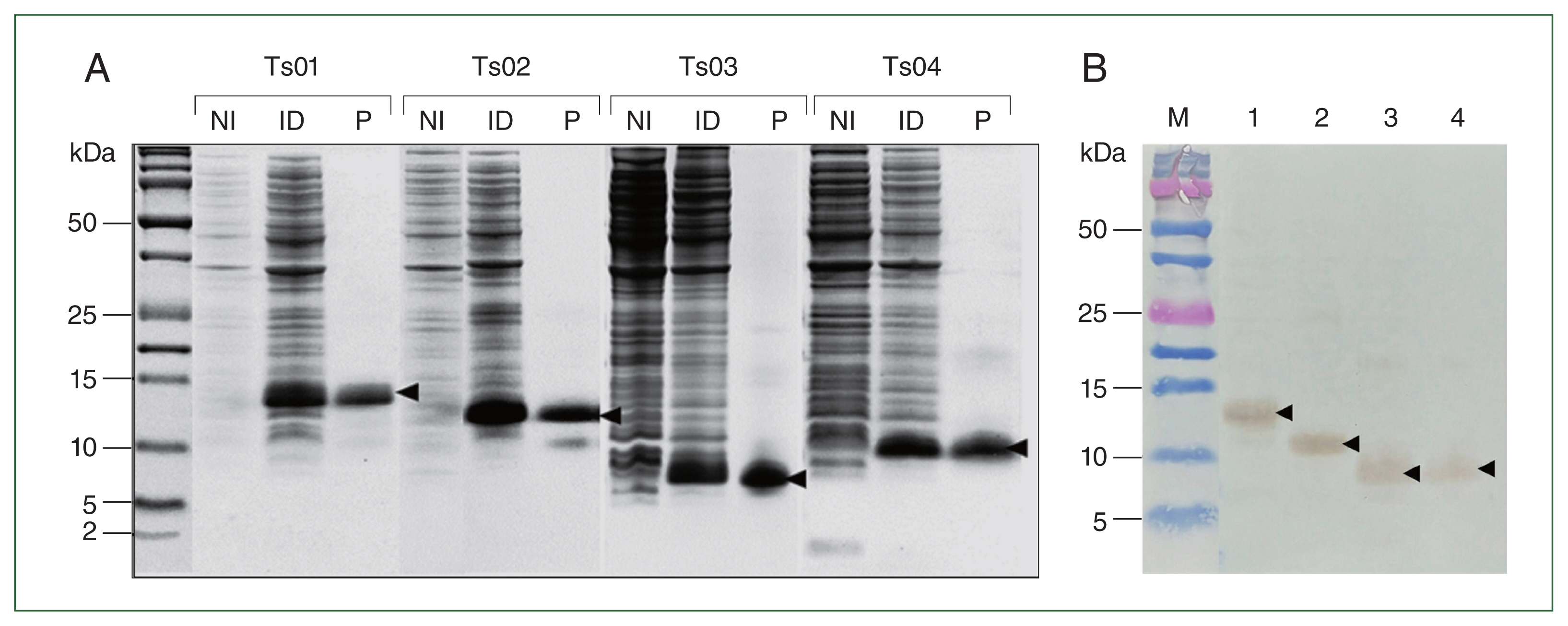
The Trichinella spiralis novel cystatin (TsCstN) inhibits cathepsin L (CatL) activity and inflammation of macrophages during lipopolysaccharide (LPS) induction. To identify the protease inhibitory region, this study applied an in silico modeling approach to simulate truncation sites of TsCstN (Ts01), which created four truncated forms, including TsCstN∆1-39 (Ts02), TsCstN∆1-71 (Ts03), TsCstN∆1-20, ∆73-117 (Ts04), and TsCstN∆1-20, ∆42-117 (Ts05). The superimposition of these truncates modeled with AlphaFold Colab indicated that their structures were more akin to Ts01 than those modeled with I-TASSER. Moreover, Ts04 exhibited the closest resemblance to the structure of Ts01. The recombinant Ts01 (rTs01) and truncated proteins (rTs02, rTs03, and rTs04) were successfully expressed in a prokaryotic expression system while Ts05 was synthesized, with sizes of approximately 14, 12, 8, 10, and 2.5 kDa, respectively. When determining the inhibition of CatL activity, both rTs01 and rTs04 effectively reduced CatL activity in vitro. Thus, the combination of the α1 and L1 regions may be sufficient to inhibit CatL. This study provides comprehensive insights into TsCstN, particularly regarding its protein function and inhibitory domains against CatL.
Citations
Citations to this article as recorded by
Systems biology of Haemonchus contortus – Advancing biotechnology for parasitic nematode control Yuanting Zheng, Neil D. Young, Tao Wang, Bill C.H. Chang, Jiangning Song, Robin B. Gasser Biotechnology Advances.2025; 81: 108567. CrossRef
Therapeutic potentials of Trichinella spiralis in immune disorders: From allergy to autoimmunity Minkyoung Cho, Hak Sun Yu Parasites, Hosts and Diseases.2025; 63(2): 123. CrossRef