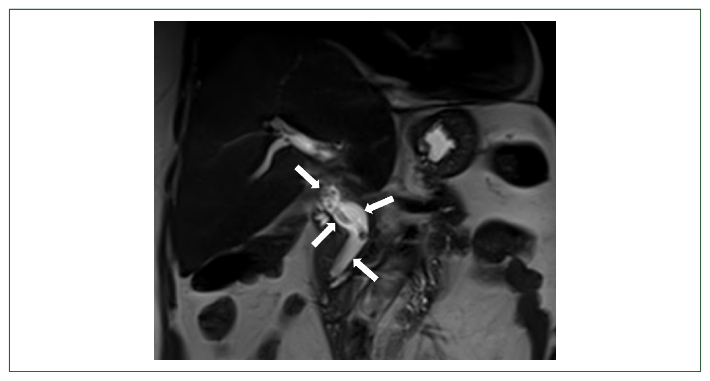
Ascaris lumbricoides causes one of the most common soil-transmitted helminthiases globally. The worms mostly infect the human small intestine and elicit negligible or nonspecific symptoms, but there are reports of extraintestinal ectopic ascariasis. We describe a rare case of biliary ascariasis mistaken for biliary stent in a 72-year-old female patient with a history of liver resection. She visited our outpatient clinic complaining of right upper quadrant pain and fever for the past week. She had previously undergone left lateral sectionectomy for recurrent biliary and intrahepatic duct stones 2 years ago. Besides mildly elevated gamma-glutamyl transferase levels, her liver function tests were normal. Magnetic resonance cholangiopancreatography revealed a linear filling defect closely resembling an internal stent from the common bile duct to the right intrahepatic bile duct. A live female A. lumbricoides adult worm was removed by endoscopic retrograde cholangiopancreatography (ERCP). Despite a significant decrease of the ascariasis prevalence in Korea, cases of biliary ascariasis are still occasionally reported. In this study, a additional case of biliary ascariasis, which was radiologically misdiagnosed as the biliary stent, was described in a hepatic resection patient by the worm recovery with ERCP in Korea.
Citations
Citations to this article as recorded by
Current status and epidemiology of endemic parasitic infections in Korea as of 2026: a narrative review Sun Huh Journal of the Korean Medical Association.2026; 69(3): 240. CrossRef
A case of acute pancreatitis caused by biliary ascariasis Ru-Yu Zheng, Zi-Yue Hu, Yan-Min Kan, Xiang Jing Asian Journal of Surgery.2025; 48(11): 7178. CrossRef