Skip to main navigation Skip to main content
  • KSPTM
  • E-Submission

PHD : Parasites, Hosts and Diseases

OPEN ACCESS
ABOUT
BROWSE ARTICLES
FOR CONTRIBUTORS

Page Path

6
results for

"coccidiosis"

Article category

Keywords

Publication year

Authors

Funded articles

"coccidiosis"

Original Articles

Anticoccidial activities of a multicomplex mineral-based diet in broilers infected with Eimeria acervulina
Binh T. Nguyen, Rochelle A. Flores, Paula Leona T. Cammayo-Fletcher, Suk Kim, Woo H. Kim, Wongi Min
Parasites Hosts Dis 2025;63(2):135-146.
Published online May 26, 2025
DOI: https://doi.org/10.3347/PHD.24045
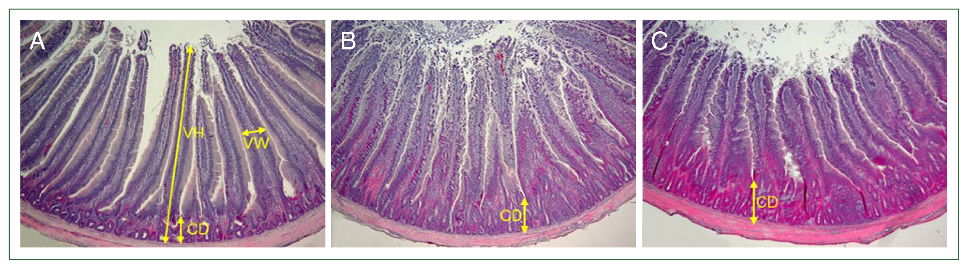
Poultry coccidiosis, caused by 7 Eimeria species, has a significant economic impact on the poultry industry and is managed mainly by chemotherapeutic drugs. However, alternative control measures are needed due to the emergence of drug-resistant strains. This study aimed to evaluate the anticoccidial effects of a multicomplex mineral-based diet in broilers infected with Eimeria acervulina. Broilers were fed a multicomplex mineral-based diet and infected with E. acervulina. Fecal oocyst shedding was 39.0% lower in the E. acervulina-infected broilers treated with the multicomplex mineral compared to that in untreated-infected broilers (365.7×106±45.7 versus 599.8×106±8.7, P<0.05). On day 6 post-infection, body weight gain was significantly higher in treated-infected chickens than untreated chickens (103.2±1.5% versus 94.1±1.7%, P<0.001). The lesion scores were similar between the 2 groups. Histopathological observations revealed that the width of the villi in the treated-infected chickens (286±9.5 μm) was significantly increased by 19.1% (240±10.8 μm, P<0.05) and 34.9% (212±7.3 μm, P<0.001) compared to those in the untreated-uninfected and untreated-infected groups, respectively. However, the villous height and crypt depth were similar between the untreated- and treated-infected groups. The positive effects of the dietary multicomplex mineral, including reduced fecal oocyst shedding, increased weight gain, and increased villi width, suggest its potential application in mitigating the adverse effects of Eimeria infection in both conventional and organic chicken industries.

Citations

Citations to this article as recorded by  Crossref logo
  • Insights into Non-Antibiotic Alternative and Emerging Control Strategies for Chicken Coccidiosis
    Rochelle A. Flores, Paula Leona C. Fletcher, Kyu-Yeol Son, Wongi Min
    Animals.2026; 16(2): 348.     CrossRef
  • Urban environmental drivers of eukaryotic microbiota and parasite prevalence in domestic pigeon faeces: a metabarcoding-based public health risk assessment in Seoul, South Korea
    Singeun Oh, Jun Ho Choi, Xavier Chavarria, Myungjun Kim, Dongjun Kang, Myung-hee Yi, Yoon Hee Cho, In-Yong Lee, Tai-Soon Yong, Seongjun Choe, Ju Yeong Kim
    Journal of The Royal Society Interface.2025;[Epub]     CrossRef
  • 2,833 View
  • 61 Download
  • 2 Web of Science
  • Crossref
Expression of Chicken NK-Lysin and Its Role in Chicken Coccidiosis Induced by Eimeria necatrix
Woo Hyun Kim, Wongi Min, Kwang Il Park, Hyun S. Lillehoj, Cherry P. Fernandez-Colorado, Rochelle A. Flores, Paula Leona T. Cammayo, Binh Thanh Nguyen
Korean J Parasitol 2021;59(5):439-445.
Published online October 22, 2021
DOI: https://doi.org/10.3347/kjp.2021.59.5.439
Coccidiosis in chickens is an intestinal parasitic disease caused by protozoan parasites named Eimeria spp. In some Eimeria infections, intestinal lymphocytes are known to highly express chicken NK-lysin (cNK-lysin), an antimicrobial peptide with anticoccidial activity. Therefore, this study aims to investigate the expression of cNK-lysin in E. necatrix-infected chickens and its role in E. necatrix infection. The expression of cNK-lysin transcript was significantly increased in E. necatrix sporozoites-treated lymphocytes. In E. necatrix infection, cNK-lysin transcript was induced in intestinal lymphocytes but not in the spleen. The recombinant cNK-lysin exhibited anticoccidial activity against E. necatrix sporozoites as well as immunomodulatory activity on macrophages by inducing proinflammatory cytokines. These results indicated that E. necatrix infection induces high local expression of cNK-lysin and the secreted cNK-lysin helps protect coccidiosis.

Citations

Citations to this article as recorded by  Crossref logo
  • Insights into Non-Antibiotic Alternative and Emerging Control Strategies for Chicken Coccidiosis
    Rochelle A. Flores, Paula Leona C. Fletcher, Kyu-Yeol Son, Wongi Min
    Animals.2026; 16(2): 348.     CrossRef
  • Understanding Eimeria infection for the treatment and prevention of chicken coccidian parasites
    Binh T. Nguyen, Rochelle A. Flores, Taesik Kim, Wongi Min
    Frontiers in Cellular and Infection Microbiology.2026;[Epub]     CrossRef
  • Development of an indirect competitive chemiluminescent enzyme immunoassay for ethanamizuril residue detection in eggs and feed
    Xingdong Yang, Lihua Wu, Chenchen Wang, Yinuo Zhu, Yutong Cao, Keshi Ma, Lili Li, Xiaofei Hu
    Food Chemistry: X.2026; 35: 103838.     CrossRef
  • Characterization of NK-lysin A, a potent antimicrobial peptide from the zebrafish Danio rerio
    Marius Ortjohann, Matthias Leippe
    Developmental & Comparative Immunology.2025; 162: 105266.     CrossRef
  • Exploring the interplay between Eimeria spp. infection and the host: understanding the dynamics of gut barrier function
    Pan Chen, Mujeeb Ur Rehman, Yanfeng He, Aoyun Li, Fuchun Jian, Longxian Zhang, Shucheng Huang
    Veterinary Quarterly.2025; 45(1): 1.     CrossRef
  • Development and immunological insights into recombinant/subunit vaccines against avian coccidiosis
    Shagufta Iqbal, Syed Tanveer, Idrees Mehraj Allaie, Yasmeena Jan, Shahana Tramboo, Nazima Maqbool
    Journal of Microbiological Methods.2025; 238: 107255.     CrossRef
  • Orally delivered Bacillus subtilis expressing chicken NK-2 peptide stabilizes gut microbiota and enhances intestinal health and local immunity in coccidiosis-infected broiler chickens
    Samiru S. Wickramasuriya, Inkyung Park, Youngsub Lee, Luciana M. Richer, Chris Przybyszewski, Cyril G. Gay, Jolieke G. van Oosterwijk, Hyun S. Lillehoj
    Poultry Science.2023; 102(5): 102590.     CrossRef
  • Research progress of the avian coccidiosis vaccine
    Haiming Cai, Nanshan Qi, Juan Li, Minna Lv, Xuhui Lin, Junjing Hu, Jianfei Zhang, Shenquan Liao, Mingfei Sun
    Veterinary Vaccine.2022; 1(1): 100002.     CrossRef
  • 5,625 View
  • 162 Download
  • 7 Web of Science
  • Crossref

Brief Communication

Epidemiological Survey on Eimeria spp. Associated with Diarrhea in Pre-weaned Native Korean Calves
Hyeon-Cheol Kim, Changyoung Choe, SuHee Kim, Joon-Seok Chae, Do-Hyeon Yu, Jinho Park, Bae-Keun Park, Kyoung-Seong Choi
Korean J Parasitol 2018;56(6):619-623.
Published online December 31, 2018
DOI: https://doi.org/10.3347/kjp.2018.56.6.619
Bovine coccidiosis is one of the most important parasitic diseases affecting calf productivity. Here, we investi- gated the prevalence of Eimeria spp. in pre-weaned native Korean calves and determined the correlation between diar- rhea and Eimeria spp. Fecal samples were collected from individual calves (288 normal and 191 diarrheic) in 6 different farms. Of the 479 samples, Eimeria oocysts were detected in 124 calves (25.9%). Five Eimeria spp. were identified; E. zuernii (18.8%) was the most prevalent, followed by E. auburnensis (12.5%), E. bovis (7.5%), E. subspherica (5.8%), and E. bukidnonensis (1.0%). A significant correlation was observed between diarrhea and mixed infection with more than 2 Eimeria spp. (odds ratio [OR]=2.21; 95% confidence interval [CI]: 1.09-4.49; P=0.03) compared to single infection (OR = 1.29; 95% CI: 0.77-2.15; P = 0.33). Of the 5 Eimeria spp. identified, E. subspherica (95% CI: 1.24-5.61; P = 0.01) and E. bukidnonensis (95% CI: 825.08-1,134.25; P = 0.00) strongly increased the risk of diarrhea by 2.64-fold and 967.39-fold, respectively, compared to other species. Moreover, mixed infection with E. auburnensis and E. bukidnonensis was significantly associated with diarrhea (OR = 2,388.48; 95% CI: 1,009.71-5,650.00; P < 0.00) in pre-weaned native Korean calves. This is the first report to demonstrate the importance of E. bukidnonensis associated with diarrhea in pre-weaned native Korean calves. Further epidemiological studies should investigate the prevalence of E. bukidnonensis and the association between E. bukidnonensis and diarrhea.

Citations

Citations to this article as recorded by  Crossref logo
  • Prevalence, species composition, and associated factors of coccidiosis among domestic ruminants in Ethiopia: Systematic review and meta-analysis
    Yihenew Getahun Ambaw, Simegnew Adugna Kallu, Assaye Wollelie Fentie, Teketay Bayleyegn Derso, Animaw Andargie Worku
    Veterinary and Animal Science.2026; 32: 100647.     CrossRef
  • Status of Eimeria Infection in Dairy Calves in and Around Bishoftu, Central Ethiopia
    Yihenew Getahun Ambaw, Gelan Tafesa, Ambachew Motbaynor Wubaye, Simachew Getaneh Endalamew, Simegnew Adugna Kallu, Satabdi Datta Choudhury
    Journal of Parasitology Research.2025;[Epub]     CrossRef
  • Molecular characterization of ten viral pathogens causing calf diarrhea in Hanwoo (Bos Taurus coreanae) by next generation sequencing
    Jeong-Byoung Chae, Won Gyeong Kim, Shinae Song, Joon-Seok Chae
    BMC Veterinary Research.2025;[Epub]     CrossRef
  • Ecological Health and Freshwater Pathogen Using eDNA Metabarcoding: A Preliminary Assessment for Environmental Surveillance Development in Malaysia
    Jiao Yang, Subha Bhassu, Ghazanfer Ali, Thenmoli Govindasamy, Muhamad Afiq Aziz, Arutchelvan Rajamanikam
    Microorganisms.2025; 13(9): 2055.     CrossRef
  • Current Insights into Neonatal Calf Diarrheal Etiology and the Therapeutic Role of Probiotics
    Shuyao Zhu, Shuhao Bian, Liangliang Li, Mudassar Iqbal, Faisal Ayub Kiani, Abdul Asim Farooq, Haiju Dong, Xiangqian Zhang, Hongyu Dai, Fang Liu, Aoyun Li
    Journal of Integrative Agriculture.2025;[Epub]     CrossRef
  • CRYPTOSPORIDIOSIS: AN EXISTING PROBLEM
    L. V. Nahorna, A. M. Tomik
    Scientific and Technical Bulletin оf State Scientific Research Control Institute of Veterinary Medical Products and Fodder Additives аnd Institute of Animal Biology.2024; 25(2): 93.     CrossRef
  • Eukaryotic Infections in Dairy Calves: Impacts, Diagnosis, and Strategies for Prevention and Control
    Dereje Tulu Robi, Tesfa Mossie, Shiferaw Temteme
    Veterinary Medicine: Research and Reports.2023; Volume 14: 195.     CrossRef
  • Prevalence of Eimeria spp. with associated risk factors in dairy calves in Sylhet, Bangladesh
    Liton Chandra Deb, Syed Sayeem Uddin Ahmed, Chandan Chandra Baidhya, Nirmalendu Deb Nath, Sumon Ghosh, Suman Paul
    Veterinary Medicine and Science.2022; 8(3): 1250.     CrossRef
  • Diversity of Eimeria (Apicomplexa: Eimeriidae) species and risk factors associated in natural infecting calves at the Southern Agreste Microregion in the State of Pernambuco, Brazil
    Karlla Keyla Ferreira dos Santos, Lucia Oliveira de Macedo, Ângela Imperiano da Conceição, Lucas Azevedo dos Santos, Carla Lopes de Mendonça, Leucio Câmara Alves, Rafael Antonio Nascimento Ramos, Gílcia Aparecida de Carvalho
    Revista Brasileira de Parasitologia Veterinária.2022;[Epub]     CrossRef
  • Eimeria infections in domestic and wild ruminants with reference to control options in domestic ruminants
    Berit Bangoura, Md Ashraful Islam Bhuiya, Michelle Kilpatrick
    Parasitology Research.2022; 121(8): 2207.     CrossRef
  • Dry Season Eimeria Infection in Dairy Cattle and Sheep in and Around Adama and Bishoftu Towns, Oromia, Ethiopia
    Dinka Ayana, Kebene Temesgen, Bersissa Kumsa, Gebayehu Alkadir
    Veterinary Medicine: Research and Reports.2022; Volume 13: 235.     CrossRef
  • Changes in the blood electrolyte, BUN and glucose values in diarrheic Hanwoo neonatal calves
    Mi-Jin Lee
    Korean Journal of Veterinary Service.2022; 45(4): 337.     CrossRef
  • Prevalence and infection risk factors of bovine Eimeria in China: a systematic review and meta-analysis
    Dong-Li Li, Qing-Long Gong, Gui-Yang Ge, Qi Wang, Chen-Yan Sheng, Bao-Yi Ma, Zi-Yang Chen, Yang Yang, Jian-Ming Li, Kun Shi, Xue Leng, Rui Du
    Parasite.2021; 28: 61.     CrossRef
  • The prevalence of causative agents of calf diarrhea in Korean native calves
    Jeong-Byoung Chae, Hyeon-Cheol Kim, Jun-Gu Kang, Kyoung-Seong Choi, Joon-Seok Chae, Do-Hyeon Yu, Bae-Keun Park, Yeon-su Oh, Hak-Jong Choi, Jinho Park
    Journal of Animal Science and Technology.2021; 63(4): 864.     CrossRef
  • Oxidant-antioxidants and trace mineral status in Coccidiosis affecting buffalo calves
    Eman S. Ramadan, Shimaa G. Yehia, Noha Y. Salem
    Comparative Clinical Pathology.2021; 30(6): 921.     CrossRef
  • Epidemiology of coccidiosis and effects of the infection on some clinical and hematological examination findings in calves
    Bülent Elitok
    Journal of Istanbul Veterinary Sciences.2020; 4(1): 21.     CrossRef
  • 8,705 View
  • 171 Download
  • 12 Web of Science
  • Crossref
Original Articles
Dynamic Patterns of Systemic Innate Immunity and Inflammatory Associated Factors in Experimental Caprine Coccidiosis
Shabnam Tadayon, Seyed Mostafa Razavi, Saeed Nazifi
Korean J Parasitol 2016;54(6):719-724.
Published online December 31, 2016
DOI: https://doi.org/10.3347/kjp.2016.54.6.719
The present study was designed to assess the dynamic patterns of pro-inflammatory cytokines, including IFN-γ, TNF-α, IL-4, IL-6, acute phase protein (α1-acid-glycoprotein, AGP), and an inflammation associated factor (adenosine deaminase; ADA) following experimental caprine coccidiosis. Ten kids aging from 2 to 4 months were infected orally with 5×104 sporulated oocysts and 10 animals served as controls. Blood samples were collected in both groups before infection and at days 3, 7, 14, 21, 28, and 35 post-infection (PI), and the levels of above-mentioned factors were measured. IFN-γ, TNF-α, IL-4, IL-6, AGP, and ADA activities were significantly higher in infected animals from day 7 PI (P<0.05). In conclusion, the circulatory levels of most systemic inflammatory markers, including pro-inflammatory cytokines (IFN-γ, TNF-α, IL-4, IL-6), AGP, and ADA increased significantly starting from day 3 to day 7 PI in caprine coccidiosis.

Citations

Citations to this article as recorded by  Crossref logo
  • Isolation of a Novel Caprine Eimeria christenseni Strain (GC) in Canary Islands and Analysis of Parasitological, Clinical, and Pathological Findings on Experimentally Infected Goat Kids
    Emilio Barba, José Manuel Molina, Francisco Rodríguez, Otilia Ferrer, María Carmen Muñoz, Liliana M. R. Silva, María Cristina Del Río, José Adrián Molina, Anja Taubert, Carlos Hermosilla, Antonio Ruiz
    Animals.2025; 15(2): 139.     CrossRef
  • Acute phase response and oxidative stress in coccidiosis: A review in domestic animals
    Seyed Mostafa Razavi, Mohammad Sajjad Soltan, Kiarash Abbasian, Ali Karami, Saeed Nazifi
    Veterinary Parasitology.2024; 331: 110286.     CrossRef
  • The role of genetics in determining resistance to coccidiosis in goats a review of current research and future directions
    Tejswini Sontakke, Ashwini Biradar, Dinesh Nalage
    Molecular Biology Reports.2023; 50(7): 6171.     CrossRef
  • Effects of riboflavin and Bacillus subtilis on internal organ development and intestinal health of Ross 708 male broilers with or without coccidial challenge
    Sabin Poudel, Li Zhang, George T. Tabler, Jun Lin, Wei Zhai
    Poultry Science.2021; 100(4): 100973.     CrossRef
  • Oxidative stress linked to changes of cholinesterase and adenosine deaminase activities in experimentally infected chicken chicks with Eimeria spp
    Luiz Gustavo Griss, Gabriela M. Galli, Mateus Fracasso, Anielen D. Silva, Bruno Fortuoso, Maria Rosa C. Schetinger, Vera M. Morch, Marcel M. Boiago, Anderson Gris, Ricardo E. Mendes, Matheus D. Baldissera, Lenita M. Stefani, Aleksandro S. da Silva
    Parasitology International.2019; 71: 11.     CrossRef
  • 8,686 View
  • 118 Download
  • 5 Web of Science
  • Crossref
Efficacy of a DNA Vaccine Carrying Eimeria maxima Gam56 Antigen Gene against Coccidiosis in Chickens
Jinjun Xu, Yan Zhang, Jianping Tao
Korean J Parasitol 2013;51(2):147-154.
Published online April 25, 2013
DOI: https://doi.org/10.3347/kjp.2013.51.2.147

To control coccidiosis without using prophylactic medications, a DNA vaccine targeting the gametophyte antigen Gam56 from Eimeria maxima in chickens was constructed, and the immunogenicity and protective effects were evaluated. The ORF of Gam56 gene was cloned into an eukaryotic expression vector pcDNA3.1(zeo)+. Expression of Gam56 protein in COS-7 cells transfected with recombinant plasmid pcDNA-Gam56 was confirmed by indirect immunofluorescence assay. The DNA vaccine was injected intramuscularly to yellow feathered broilers of 1-week old at 3 dosages (25, 50, and 100 ?g/chick). Injection was repeated once 1 week later. One week after the second injection, birds were challenged orally with 5×104 sporulated oocysts of E. maxima, then weighed and killed at day 8 post challenge. Blood samples were collected and examined for specific peripheral blood lymphocyte proliferation activity and serum antibody levels. Compared with control groups, the administration of pcDNA-Gam56 vaccine markedly increased the lymphocyte proliferation activity (P<0.05) at day 7 and 14 after the first immunization. The level of lymphocyte proliferation started to decrease on day 21 after the first immunization. A similar trend was seen in specific antibody levels. Among the 3 pcDNA-Gam56 immunized groups, the median dosage group displayed the highest lymphocyte proliferation and antibody levels (P<0.05). The median dosage group had the greatest relative body weight gain (89.7%), and the greatest oocyst shedding reduction (53.7%). These results indicate that median dosage of DNA vaccine had good immunogenicity and immune protection effects, and may be used in field applications for coccidiosis control.

Citations

Citations to this article as recorded by  Crossref logo
  • Alternatives to Antibiotics against Coccidiosis for Poultry Production: The Relationship between Immunity and Coccidiosis Management – A Comprehensive Review
    Mohamed T. El-Saadony, Heba M. Salem, Marwa M. Attia, Nahed Yehia, Ahmed H. Abdelkader, Sara Abdel-Mawgod, Nesma M. Kamel, Samar Sami Alkafaas, Muslimah N. Alsulami, Ahmed Ezzat Ahmed, Dina Mostafa Mohammed, Ahmed M. Saad, Walid F.A. Mosa, Shaaban S. Elne
    Annals of Animal Science.2026; 26(1): 51.     CrossRef
  • Insight into poultry coccidiosis: a dual focus on anticoccidial drugs and herbal plants for pharmacological and prevention strategies
    Pooja Bharti, Syed Tanveer, Zahoor Ahmad Wani, Shabir Ahmad Rather, Zahoor Ahmad Parray
    Journal of Parasitic Diseases.2025; 49(3): 565.     CrossRef
  • Development and immunological insights into recombinant/subunit vaccines against avian coccidiosis
    Shagufta Iqbal, Syed Tanveer, Idrees Mehraj Allaie, Yasmeena Jan, Shahana Tramboo, Nazima Maqbool
    Journal of Microbiological Methods.2025; 238: 107255.     CrossRef
  • Innovative prevention and control of coccidiosis: targeting sporogony for new control agent development
    Dan Zhao, Jingxia Suo, Lin Liang, Ruiying Liang, Rongqiong Zhou, Jiabo Ding, Xianyong Liu, Xun Suo, Sixin Zhang, Xinming Tang
    Poultry Science.2024; 103(12): 104246.     CrossRef
  • In vitro cultivation methods for coccidian parasite research
    Anna Sophia Feix, Teresa Cruz-Bustos, Bärbel Ruttkowski, Anja Joachim
    International Journal for Parasitology.2023; 53(9): 477.     CrossRef
  • Recombinant GMA56 and ROP17 of Eimeria magna conferred protection against infection by homologous species
    Jie Xiao, Hao Chen, Ruoyu Zheng, Jiayan Pu, Xiaobin Gu, Yue Xie, Ran He, Jing Xu, Bo Jing, Xuerong Peng, Guangyou Yang
    Frontiers in Immunology.2023;[Epub]     CrossRef
  • What Do We Know about Surface Proteins of Chicken Parasites Eimeria?
    Jesica Daiana Britez, Anabel Elisa Rodriguez, Lucía Di Ciaccio, Virginia Marugán-Hernandez, Mariela Luján Tomazic
    Life.2023; 13(6): 1295.     CrossRef
  • Cloning, expression and purification of Eimeria maxima gametocyte antigen-EmGam56 for control of poultry coccidiosis
    Vijayashanthi Ramalingam, Raman Muthusamy, Kasthuri Bohra, Azhahianambi Palavesam, Dhinakarraj Gopal
    Journal of Parasitic Diseases.2023; 47(4): 773.     CrossRef
  • Vaccination Against Poultry Parasites
    Ruediger Hauck, Kenneth S. Macklin
    Avian Diseases.2023;[Epub]     CrossRef
  • Coccidiosis: Recent Progress in Host Immunity and Alternatives to Antibiotic Strategies
    Youngsub Lee, Mingmin Lu, Hyun S. Lillehoj
    Vaccines.2022; 10(2): 215.     CrossRef
  • A multiepitope vaccine encoding four Eimeria epitopes with PLGA nanospheres: a novel vaccine candidate against coccidiosis in laying chickens
    ZhengQing Yu, SiYing Chen, JianMei Huang, WenXi Ding, YuFeng Chen, JunZhi Su, RuoFeng Yan, LiXin Xu, XiaoKai Song, XiangRui Li
    Veterinary Research.2022;[Epub]     CrossRef
  • Vaccines against chicken coccidiosis with particular reference to previous decade: progress, challenges, and opportunities
    Tean Zaheer, Rao Zahid Abbas, Muhammad Imran, Asghar Abbas, Ali Butt, Sarfraz Aslam, Jameel Ahmad
    Parasitology Research.2022; 121(10): 2749.     CrossRef
  • Research progress of the avian coccidiosis vaccine
    Haiming Cai, Nanshan Qi, Juan Li, Minna Lv, Xuhui Lin, Junjing Hu, Jianfei Zhang, Shenquan Liao, Mingfei Sun
    Veterinary Vaccine.2022; 1(1): 100002.     CrossRef
  • Protection of hatchlings against coccidiosis by maternal antibodies to four recombinant proteins of Eimeria tenella, Eimeria acervulina and Eimeria maxima
    Xu Yang, Xingju Song, Jing Liu, Qingzhong Chen, Tongwei An, Qun Liu
    Veterinary Parasitology.2022; 312: 109813.     CrossRef
  • Veteriner protozoolojide aşı uygulamalarına güncel yaklaşım
    Ahmet GÖKSU, Hatice ÇİÇEK
    Journal of Advances in VetBio Science and Techniques.2021; 6(2): 179.     CrossRef
  • Brief History and Advancements of Vaccination Against Avian Coccidiosis: A Review

    Science Letters.2021; 9(2): 31.     CrossRef
  • Sexual Development in Non-Human Parasitic Apicomplexa: Just Biology or Targets for Control?
    Teresa Cruz-Bustos, Anna Sophia Feix, Bärbel Ruttkowski, Anja Joachim
    Animals.2021; 11(10): 2891.     CrossRef
  • Characterization of Cystoisospora suis sexual stages in vitro
    Anna Sophia Feix, Teresa Cruz-Bustos, Bärbel Ruttkowski, Anja Joachim
    Parasites & Vectors.2020;[Epub]     CrossRef
  • Immunoprophylactic evaluation of recombinant gametocyte 22 antigen of Eimeria tenella in broiler chickens
    Shafiya Imtiaz Rafiqi, Rajat Garg, Hira Ram, K. K. Reena, Mayurkumar Asari, Priyanka Kumari, V. R. Kundave, Mithilesh Singh, P. S. Banerjee
    Parasitology Research.2019; 118(3): 945.     CrossRef
  • A review of Eimeria antigen identification for the development of novel anticoccidial vaccines
    J. Venkatas, M. A. Adeleke
    Parasitology Research.2019; 118(6): 1701.     CrossRef
  • Optimization of Immunization Procedure for Eimeria tenella DNA Vaccine pVAX1-pEtK2-IL-2 and Its Stability
    Bucai Zhang, Cheng Yuan, Xiaokai Song, Lixin Xu, Ruofeng Yan, Muhammad Ali A. Shah, Changming Guo, Shanyuan Zhu, Xiangrui Li
    Acta Parasitologica.2019; 64(4): 745.     CrossRef
  • Recent advances in delivery of veterinary DNA vaccines against avian pathogens
    Seyed Davoud Jazayeri, Chit Laa Poh
    Veterinary Research.2019;[Epub]     CrossRef
  • Passive immunization with Eimeria tenella gametocyte antigen 56 (EtGAM56) specific antibodies and active immunization trial with the epitope containing peptide
    Stefanie Wiedmer, Alaa Aldin Alnassan, Beate Volke, Ahmed Thabet, Arwid Daugschies, Matthias Lendner, Michael Kurth
    Veterinary Parasitology.2017; 247: 100.     CrossRef
  • Recombinant anticoccidial vaccines - a cup half full?
    Damer P. Blake, Iván Pastor-Fernández, Matthew J. Nolan, Fiona M. Tomley
    Infection, Genetics and Evolution.2017; 55: 358.     CrossRef
  • DNA vaccination of poultry: The current status in 2015
    Marine Meunier, Marianne Chemaly, Daniel Dory
    Vaccine.2016; 34(2): 202.     CrossRef
  • Development of immunization trials against Eimeria spp.
    Tarek A. Ahmad, Bassant A. El-Sayed, Laila H. El-Sayed
    Trials in Vaccinology.2016; 5: 38.     CrossRef
  • Construction of Eimeria tenella multi-epitope DNA vaccines and their protective efficacies against experimental infection
    Xiaokai Song, Lixin Xu, Ruofeng Yan, Xinmei Huang, Xiangrui Li
    Veterinary Immunology and Immunopathology.2015; 166(3-4): 79.     CrossRef
  • Immunization with recombinant 3-1E protein in AbISCO®-300 adjuvant induced protective immunity against Eimeria acervulina infection in chickens
    Ying Zhang, Lixia Wang, Wenke Ruan, Jianjun Zhang, Peng Yao, Sai Zhou, Jian An
    Experimental Parasitology.2014; 141: 75.     CrossRef
  • Securing poultry production from the ever-present Eimeria challenge
    Damer P. Blake, Fiona M. Tomley
    Trends in Parasitology.2014; 30(1): 12.     CrossRef
  • Strategies for anti-coccidial prophylaxis
    DAVID M. WITCOMBE, NICHOLAS C. SMITH
    Parasitology.2014; 141(11): 1379.     CrossRef
  • 10,729 View
  • 111 Download
  • Crossref
Changing Patterns of Acute Phase Proteins and Inflammatory Mediators in Experimental Caprine Coccidiosis
Mohammad Hashemnia, Azizollah Khodakaram-Tafti, Seyed Mostafa Razavi, Saeed Nazifi
Korean J Parasitol 2011;49(3):213-219.
Published online September 30, 2011
DOI: https://doi.org/10.3347/kjp.2011.49.3.213

This experiment was conducted to assess the changing patterns and relative values of acute phase proteins and inflammatory cytokines in experimental caprine coccidiosis. Eighteen newborn kids were allocated to 3 equal groups. Two groups, A and B, were inoculated with a single dose of 1×103 and1×105 sporulated oocysts of Eimeria arloingi, respectively. The third group, C, received distilled water as the control. Blood samples were collected from the jugular vein of each kid in both groups before inoculation and at days 7, 14, 21, 28, 35, and 42 post-inoculation (PI), and the levels of haptoglobin (Hp), serum amyloid A (SAA), TNF-α, and IFN-γ were measured. For histopathological examinations, 2 kids were selected from each group, euthanized, and necropsied on day 42 PI. Mean Hp concentrations in groups A and B (0.34 and 0.68 g/L) at day 7 PI were 3.2 and 6.3 times higher than the levels before inoculation. The mean SAA concentrations in groups A and B (25.6 and 83.5 ?g/ml) at day 7 PI were 4.2 and 13.7 times higher than the levels before inoculation. The magnitude and duration of the Hp and SAA responses correlated well with the inoculation doses and the severity of the clinical signs and diarrhea in kids. These results were consistent with the histopathological features, which showed advanced widespread lesions in group B. In both groups, significant correlations were observed for TNF-α and IFN-γ with SAA and Hp, respectively. In conclusion, Hp and SAA can be useful non-specific diagnostic indicators in caprine coccidiosis.

Citations

Citations to this article as recorded by  Crossref logo
  • Global prevalence of Eimeria species in goats: a systematic review and meta-analysis
    Endris A. Ali, Abdul Ghafar, Juan C. Angeles-Hernandez, Muhammad Yaseen, Charles G. Gauci, Ian Beveridge, Sandra Baxendell, Abdul Jabbar
    Frontiers in Veterinary Science.2025;[Epub]     CrossRef
  • First-generation merozoites of caprine Eimeria christenseni are capable to invade and egress primary host endothelial cells in vitro
    L.M.R. Silva, A. Ruiz, E. Barba, S. Lopéz-Osorio, J.A. Molina, J.M. Molina, A. Taubert, C. Hermosilla
    Frontiers in Veterinary Science.2025;[Epub]     CrossRef
  • Acute phase response and oxidative stress in coccidiosis: A review in domestic animals
    Seyed Mostafa Razavi, Mohammad Sajjad Soltan, Kiarash Abbasian, Ali Karami, Saeed Nazifi
    Veterinary Parasitology.2024; 331: 110286.     CrossRef
  • DEVELOPMENT OF A QUANTITATIVE IMMUNOASSAY FOR SERUM HAPTOGLOBIN AS A PUTATIVE DISEASE MARKER IN THE SOUTHERN WHITE RHINOCEROS (CERATOTHERIUM SIMUM SIMUM)
    Henrik H. Petersen, Rikke Stenbak, Camilla Blaabjerg, Anne K.H. Krogh, Mads F. Bertelsen, Peter Buss, Peter M.H. Heegaard
    Journal of Zoo and Wildlife Medicine.2022;[Epub]     CrossRef
  • Assessment of the Immune Response of Clinically Infected Calves to Cryptosporidium parvum Infection
    Wael El-Deeb, Olimpia Iacob, Mahmoud Fayez, Ibrahim Elsohaby, Abdulrahman Alhaider, Hermine V. Mkrtchyan, Abdelazim Ibrahim, Naser Alhumam
    Agriculture.2022; 12(8): 1151.     CrossRef
  • Comparative study on plasma fibrinogen and ceruloplasmin concentrations during pregnancy and postpartum period in Bulgarian native goats
    I. Fasulkov, M. Karadaev, D. Zapryanova, T. Mircheva, N. Vasilev, F. Ceciliani
    BULGARIAN JOURNAL OF VETERINARY MEDICINE.2022; 25(4): 603.     CrossRef
  • Acute phase biomarkers of diseases in small ruminants: an overview
    P.T. Iliev, T.M. Georgieva
    BULGARIAN JOURNAL OF VETERINARY MEDICINE.2019; 22(1): 1.     CrossRef
  • Haptoglobin and serum amyloid A in goats with clinical form of caprine arthritis-encephalitis
    Michał Czopowicz, Olga Szaluś-Jordanow, Marcin Mickiewicz, Agata Moroz, Lucjan Witkowski, Iwona Markowska-Daniel, Tadeusz Stefaniak, Emilia Bagnicka, Jarosław Kaba
    Small Ruminant Research.2017; 156: 73.     CrossRef
  • Agreement between commercial assays for haptoglobin and serum amyloid A in goats
    Michał Czopowicz, Olga Szaluś-Jordanow, Marcin Mickiewicz, Agata Moroz, Lucjan Witkowski, Iwona Markowska-Daniel, Daria Reczyńska, Emilia Bagnicka, Jarosław Kaba
    Acta Veterinaria Scandinavica.2017;[Epub]     CrossRef
  • Effect of Ketoprofen on acute phase protein concentrations in goats undergoing castration
    Umit Karademir, Ibrahim Akin, Hasan Erdogan, Kerem Ural, Gamze Sevri Ekren Asici
    BMC Veterinary Research.2016;[Epub]     CrossRef
  • Dynamic Patterns of Systemic Innate Immunity and Inflammatory Associated Factors in Experimental Caprine Coccidiosis
    Shabnam Tadayon, Seyed Mostafa Razavi, Saeed Nazifi
    The Korean Journal of Parasitology.2016; 54(6): 719.     CrossRef
  • Intestinal pathogens, diarrhoea and acute phase proteins in naturally infected dairy calves
    Leena Seppä-Lassila, Toomas Orro, Brian Lassen, Riikka Lasonen, Tiina Autio, Sinikka Pelkonen, Timo Soveri
    Comparative Immunology, Microbiology and Infectious Diseases.2015; 41: 10.     CrossRef
  • Systemic acute phase proteins response in calves experimentally infected with Eimeria zuernii
    Brian Lassen, Berit Bangoura, Triin Lepik, Toomas Orro
    Veterinary Parasitology.2015; 212(3-4): 140.     CrossRef
  • Acute phase proteins and their use in the diagnosis of diseases in ruminants: a review
    C. Tothova, O. Nagy, G. Kovac
    Veterinární medicína.2014; 59(4): 163.     CrossRef
  • 10,824 View
  • 94 Download
  • Crossref