Warning: fopen(/home/virtual/parasitol/journal/upload/ip_log/ip_log_2025-12.txt): failed to open stream: Permission denied in /home/virtual/lib/view_data.php on line 83

Warning: fwrite() expects parameter 1 to be resource, boolean given in /home/virtual/lib/view_data.php on line 84
IgG Western Blot for Confirmatory Diagnosis of Equivocal Cases of Toxoplasmosis by EIA-IgG and Fluorescent Antibody Test
Skip to main navigation Skip to main content
  • KSPTM
  • E-Submission

PHD : Parasites, Hosts and Diseases

OPEN ACCESS
ABOUT
BROWSE ARTICLES
FOR CONTRIBUTORS

Articles

Brief Communication

IgG Western Blot for Confirmatory Diagnosis of Equivocal Cases of Toxoplasmosis by EIA-IgG and Fluorescent Antibody Test

The Korean Journal of Parasitology 2013;51(4):485-488.
Published online: August 30, 2013

1UR 12 SP 34 Research Unit, Ministry of Public Health, Tunis, Tunisia.

2Laboratory of Parasitology, Farhat Hached Teaching Hospital, Mohamed Karoui Street, 4000 Sousse, Tunisia.

Corresponding author (imenkhammari@yahoo.fr)
• Received: May 6, 2013   • Revised: June 19, 2013   • Accepted: July 5, 2013

© 2013, Korean Society for Parasitology and Tropical Medicine

This is an Open Access article distributed under the terms of the Creative Commons Attribution Non-Commercial License (http://creativecommons.org/licenses/by-nc/3.0/) which permits unrestricted non-commercial use, distribution, and reproduction in any medium, provided the original work is properly cited.

  • 8,777 Views
  • 98 Download
  • 16 Crossref
  • 14 Scopus
prev next
  • The performance values of available techniques used in serodiagnosis of toxoplasmosis are satisfactory but they raise problems of equivocal and discordant results for very low IgG titers. Recently marketed, LDBio-Toxo II IgG Western blot (IB) showed an excellent correlation with the dye test. We estimated the proportion of equivocal and discordant results between the enzyme immunoassay Platelia Toxo IgG (EIA-IgG) and fluorescent antibody test (FAT) and assessed the usefulness of the IB as a confirmatory test. Out of 2,136 sera collected from pregnant women, 1,644 (77.0%) tested unequivocally positive and 407 (19.0%) were negative in both EIA-IgG and FAT. The remaining 85 (4%) sera showed equivocal or discordant results. Among them, 73 (85.9%) were positive and 12 (14.1%) were negative in IB. Forty-one (89.1%) equivocal sera in EIA-IgG and 46 (86.8%) equivocal sera in FAT were positive in IB. Reducing the cut-off values of both screening techniques improved significantly their sensitivity in detecting very low IgG titers at the expense of their specificity. In conclusion, equivocal results in routine-used techniques and their discordance in determination of the immune status in pregnancy women were not uncommon. IB test appeard to be highly useful in these situations as a confirmatory technique.
Although usually asymptomatic or benign in immunocompetent individuals, toxoplasmosis may cause severe disorders in non-immune pregnant women because of the risk of transplacental transmission of the parasite that can lead to abortion or serious lesions in the fetus [1,2]. As congenital transmission can only occur in previously seronegative women and the risk of transmission depends on the time the mother acquires the infection, the determination and correct interpretation of the immune status of the patients are crucial for an appropriate follow-up, prophylactic measures, and treatment of toxoplasmosis [1-3]. Diagnosis of toxoplasmosis is mainly based on detection of specific anti-Toxoplasma IgG and IgM antibodies.
Despite the availability of a great variety of immunological tests, most of them being automated immunoenzymatic systems, and efforts for international standardization, discordance between techniques and equivocal results are not uncommon when the amount of specific IgG are too low or close to the cut-off value of the test (borderline results). In these situations, the precise determination of the immune status may be problematic so that a confirmatory test is highly needed [4]. This is obviously of a major concern in pregnant women because of the risk of congenital toxoplasmosis. Moreover, as soon as the immune status is unequivocally determined, no further testing is needed in seropositive women who are considered to be immunized [2,3]. The dye test has long been the gold standard method in serodiagnosis of toxoplasmosis, but it is labour-intensive, tedious, not commercially available and neither suitable for routine use, so that it is only used by a very few laboratories [5,6]. The qualitative LDBio-Toxo II IgG Western blot test based on detection of 5 selected Toxoplasma antigenic bands was recently developed and reported to be a good alternative as a confirmatory test for sera with low or border-line titers [7-10].
The present study aimed at estimating the proportion of equivocal and discordant results in Platelia-Toxo IgG and ToxoSpot IF kits to determine the immune status of pregnant women and to assess the usefulness of LDBio-Toxo II IgG Western blot test as a confirmatory technique.
The study was conducted over a 18-month period, from October 2010 to March 2012, in the Laboratory of Parasitology of the teaching Farhat Hached Hospital, Sousse, Tunisia. It included 2,136 sera obtained from pregnant women followed-up for serodiagnosis of toxoplasmosis. All sera were tested for detection and titration of anti-Toxoplasma IgG by both EIA (EIA-IgG) and fluorescent antibody test (FAT) and for detection of IgM by EIA (EIA-IgM). Sera with equivocal results for IgG or qualitative discordance between EIA-IgG and FAT were retested by immunoblotting as a confirmatory technique.
EIA-IgG and EIA-IgM were performed manually by using the Platelia-Toxo IgG® and the Platelia-Toxo IgM® kits (BioRad, Marnes-La-Coquette, France), according to the manufacturers' guide. Sera were tested as a unique 1/100 dilution. In EIA-IgG, results were expressed as international units per milliliter (IU/ml) and their interpretation was based on manufacturers' criteria. The test was regarded positive if ≥9.0, negative if <6.0, and equivocal if ≥6.0 and <9.0 (gray zone). In EIA-IgM, results were expressed as positive, negative, or borderline according to the manufacturer's criteria. The test was considered negative if the ratio was <0.8, equivocal if ≥0.8 and <1.0 (gray zone), and positive if ≥1.0.
This test was carried out using the ToxoSpot IF® commercially available slides (BioMérieux, Marcy l'Etoile, France). Sera were serially diluted starting from 1/20, and their titers calculated by reference to a positive control with a known titer were expressed as IU/ml. The test was positive if ≥12.0, negative if <6.0, and equivocal if ≥6.0 and <12.0 (gray zone).
We used the LDBio-Toxo II IgG Western blot (LDBio, Lyon, France) (IB) according to the manufacturer's guide. The resulting bands on the patient's strip were compared with 5 specific bands (30, 31, 33, 40, and 45 kDa) of the positive control strip. A positive result was defined as the presence of at least 3 matching bands on the patient's strip, including the 30 kDa band. IB was used only as a confirmatory test for sera yielding equivocal or discordant results in routine tests. We considered equivocal sera with IgG titers ranging in the "gray zone" by EIA-IgG, FAT, or both. Results were considered discordant in the following situations: (i) serum test positive by one technique and negative by the second, (ii) serum test equivocal by 1 technique and negative or positive by a second one.
Out of the 2,136 sera included in the study, 1,644 (77.0%) tested unequivocally positive and 407 (19.0%) were negative in both EIA-IgG and FAT techniques (Table 1). Out of the 1,644 IgG positive sera, 49 (3.0%) were positive in EIA-IgM. Hence, results of EIA-IgG and FAT were conclusive and concordant in 2,051 (96%) of sera. The remaining 85 (4.0%) sera showed either equivocal or discordant results in routine IgG tests (Table 1). All were negative in EIA-IgM. Out of the 85 sera that tested inconclusive because of equivocal titers (gray zone) or discordant results between EIA-IgG and FAT, 73 (85.9%) were positive and 12 (14.1%) negative in IB. The results of the IB together with those of EIA-IgG and FAT for the 85 sera are shown in Table 2.
Among the 73 IB positive sera, 14 showed all 5 bands; 33 showed 4 bands, and the 26 remaining sera showed 3 bands (Fig. 1). With respect to the frequency of each of the 5 relevant bands, all 73 (100.0%) IB positive sera showed both 30 kDa and 31 kDa bands, 64 (87.7%) showed the 33 kDa band, 55 (75.3%) the 40 kDa band, and 15 (20.5%) the 45 kDa band. Out of the 12 IB negative sera, 6 revealed the 30 kDa band, 3 revealed the 31 kDa band; and 1 serum revealed the 40 kDa band.
The screening of toxoplasmosis during pregnancy is mainly based on detection and quantification of specific IgG antibodies [1,2,4]. For this purpose, most of the commercially available tests are overall reliable and satisfactory in terms of sensitivity and specificity [11,12]. However, misinterpretation may occur when IgG concentrations are too low and very close to the cut-off value of the technique which leads to equivocal results. On the other hand, cut-off values differ between techniques because of the difference in antigens used and lack of standardization between commercial kits. Therefore, many manufacturers define a "gray zone" that corresponds to very low titers considered to be inconclusive. The first objective of our study was to estimate the proportion of serological results that expose to interpretation difficulties in pregnant women. Our results showed that nearly 4% of sera tested yielded equivocal results or revealed discordance between the Platelia EIA-IgG and FAT, both techniques used for routine serodiagnosis of toxoplasmosis in our laboratory. Our findings were in agreement with many previous reports where such ambiguous results were not uncommon, exceeding in some of them 10% of sera tested [7,11,13]. These difficulties were mainly encountered with sera yielding borderline values, with IgG titers very close to the detection threshold of the technique. These findings highlight the need for a confirmatory test to check samples with borderline results in order to unambiguously determine the correct immune status of the investigated patients.
The dye test has long been considered as the gold standard for serodiagnosis of toxoplasmosis owing to its high sensitivity and specificity. However, the dye test is complex to carry out and to standardize and poorly adapted to routine use, so that it is now only used in a very few laboratories [4-6,14].
The commercial IB "LDBio II toxo IgG" test based on detection of at least 3 out of the 5 (30, 31, 33, 40, and 45 kDa) bands, was shown to be a very useful and reliable alternative as a confirmatory test, with results very consistent with those of the dye test in terms of sensitivity and specificity [7,10]. Our own findings suggest that the IB test can efficiently and reliably differentiate between very low positive and negative sera. Indeed, if only the results of EIA-IgG are considered, 59 out of the 85 borderline sera would be misdiagnosed or remained equivocal, and if only the results of FAT are considered, 61 sera would be misdiagnosed or equivocal.
When IB is referred to as a confirmatory technique, EIA-IgG was found more sensitive than FAT as 25 out of 73 IB positive sera were positive by EIA-IgG vs 20 sera by FAT. In contrast, specificity of FAT was much higher as only 1 out of the 12 IB negative sera was positive by FAT, whereas 6 of them were positive by EIA-IgG.
Out of the 46 sera equivocal (titer ≥6 and <9 UI/ml) in EIA-IgG, 41 (89.1%) were positive in IB; and out of the 53 sera equivocal (titer ≥6 and <12 UI/ml) in FAT, 46 (86.8%) were positive in IB. These results suggest that the cut-off for both tests would be reduced from 9 UI/ml to 6 UI/ml for EIA-IgG and from 12 UI/ml to 6 UI/ml for FAT. Doing so and using the IB test as the gold standard, the sensitivity would significantly increase, reaching 90%, as the total of doubtful and positive sera in both techniques were 66 out of the 73 IB positive sera. In contrast, specificity would be lowered as out of the 12 IB negative sera, 5 and 7 sera would be false positive in EIA-IgG and FAT, respectively. Therefore, it is advisable to keep the thresholds recommended by the manufacturers for both techniques and whenever the result is doubtful to test the serum by IB test as a confirmatory technique.
Our own findings contrasted with those reported by Leslé et al. [9], who showed that sera with a titer of ≥4 IU/ml in Platelia assay were always positive in IB suggesting that the lower threshold for Platelia kit should be reduced from 6 to 4 IU/ml.
Recently, the IB test was reported to be more sensitive and more precocious than EIA and FAT in detecting seroconversion. By sequentially testing mothers infected during pregnancy, Jost et al. [8] showed that the first band to appear during seroconversion was the 30 kDa band and suggested that the appearance of the 30 kDa band on the first serum may confirm seroconversion without waiting for another serum. However, our results showed that 6 out of the 12 IB negative sera revealed the 30 kDa band that correspondes to the major p30 surface protein (SAG1), considered specific to T. gondii. It is suggested that this antigen may not be of an absolute specificity. The appearance of the 30 kDa band alone on the blot should be interpreted with caution as detection of seroconversion which cannot be formally confirmed until the appearance of at least 2 of the 4 other bands which need additional samples.
Collectively, equivocal results and discordance between quantitative routine-used techniques in determination of the precise Toxoplasma immune status in pregnancy women are not uncommon. IB appears as an excellent confirmatory technique in these situations owing to its sensitivity and specificity. In addition, it is easy to perform and interpret.
  • 1. Robert-Gangneux F, Dardé ML. Epidemiology of and diagnostic strategies for toxoplasmosis. Clin Microbiol Rev 2012;25:264-296.
  • 2. Meroni V, Genco F. Toxoplasmosis in pregnancy: evaluation of diagnostic methods. Parassitologia 2008;50:51-53.
  • 3. Montoya JG, Remington JS. Management of Toxoplasma gondii infection during pregnancy. Clin Infect Dis 2008;47:554-566.
  • 4. Ashburn D, Evans R, Chatterton JM, Joss AW, Ho-Yen DO. Strategies for detecting Toxoplasma immunity. Br J Biomed Sci 2003;60:105-108.
  • 5. Kulasiri C. The specificity of the Sabin-Feldman dye test with reference to protozoal infections. J Clin Pathol 1960;13:339-348.
  • 6. Reiter-Owona I, Petersen E, Joynson D, Aspöck H, Dardé ML, Disko R, Dreazen O, Dumon H, Grillo R, Gross U, Hayde M, Holliman R, Ho-Yen DO, Janitschke K, Jenum PA, Naser K, Olszewski M, Thulliez P, Seitz HM. The past and present role of the Sabin-Feldman dye test in the serodiagnosis of toxoplasmosis. Bull World Health Organ 1999;77:929-935.
  • 7. Franck J, Garin YJ, Dumon H. LDBio-Toxo II immunoglobulin G Western blot confirmatory test for anti-Toxoplasma antibody detection. J Clin Microbiol 2008;46:2334-2338.
  • 8. Jost C, Touafek F, Fekkar A, Courtin R, Ribeiro M, Mazier D, Paris L. Utility of immunoblotting for early diagnosis of toxoplasmosis seroconversion in pregnant women. Clin Vaccine Immunol 2011;18:1908-1912.
  • 9. Leslé F, Touafek F, Fekkar A, Mazier D, Paris L. Discrepancies between a new highly sensitive Toxoplasma gondii ELISA assay and other reagents: interest of Toxo IgG Western blot. Eur J Clin Microbiol Infect Dis 2011;30:1207-1212.
  • 10. Köhler S, Rössler D, Hornauer S, Upmeier B, Franck J, Liesenfeld O. Neutralization assay to resolve discrepancies between positive results in new highly sensitive anti-Toxoplasma gondii IgG assays and negative results in reference tests. Eur J Clin Microbiol Infect Dis 2010;29:359-363.
  • 11. Hofgärtner WT, Swanzy SR, Bacina RM, Condon J, Gupta M, Matlock PE, Bergeron DL. Detection of immunoglobulin G (IgG) and IgM antibodies to Toxoplasma gondii: evaluation of four commercial immunoassay systems. J Clin Microbiol 1997;35:3313-3315.
  • 12. Prusa AR, Hayde M, Unterasinger L, Pollak A, Herkner KR, Kasper DC. Evaluation of the Roche Elecsys Toxo IgG and IgM electrochemiluminescence immunoassay for the detection of gestational Toxoplasma infection. Diagn Microbiol Infect Dis 2010;68:352-357.
  • 13. Cimon B, Marty P, Morin O, Bessieres MH, Marx-Chemla C, Gay-Andrieu F, Thulliez P. Specificity of low anti-Toxoplasma IgG titers with IMx and AxSYM Toxo IgG assays. Diagn Microbiol Infect Dis 1998;32:65-67.
  • 14. Ashburn D, Chatterton JM, Evans R, Joss AW, Ho-Yen DO. Success in the Toxoplasma dye test. J Infect 2001;42:16-19.
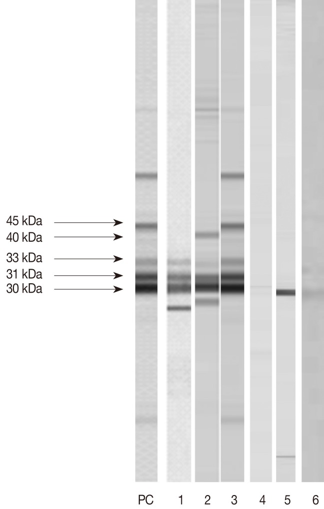
Fig. 1
Profiles with positive and negative blots in Toxo II IgG kit LDBIO®. PC: positive control with 5 bands: 30, 31, 33, 40, and 45 kDa; 1, positive blot with 3 bands (30, 31, and 33 kDa); 2, positive blot with 4 bands (30, 31, 33, and 40 kDa); 3, positive blot with 5 bands (30, 31, 33, 40, and 45 kDa); 4, negative blot without bands; 5, negative blot with 1 band (30 kDa); 6, negative blot showing 2 bands with low intensity (30 and 31 kDa).
kjp-51-485-g001.jpg
Table 1.
Results of EIA-IgG and FAT in the 2,136 tested sera
Table 1.
FAT
Total
Positive Negative Gray zone
EIA-IgG Positive 1,644 7 24 1,675
Negative 5 407 3 415
Gray zone 16 4 26 46
Total 1,665 418 53 2,136
Table 2.
Results of LDBio-Toxo II IgG western blot with the 85 equivocal or discordant sera
Table 2.
LDBio-Toxo II IgG western blot
Positive Negative Total
EIA-IgG Positive 25 6 31
Negative 7 1 8
Equivocal 41 5 46
FAT Positive 20 1 21
Negative 7 4 11
Equivocal 46 7 53

Download Citation

Download a citation file in RIS format that can be imported by all major citation management software, including EndNote, ProCite, RefWorks, and Reference Manager.

Format:

Include:

IgG Western Blot for Confirmatory Diagnosis of Equivocal Cases of Toxoplasmosis by EIA-IgG and Fluorescent Antibody Test
Korean J Parasitol. 2013;51(4):485-488.   Published online August 30, 2013
Download Citation

Download a citation file in RIS format that can be imported by all major citation management software, including EndNote, ProCite, RefWorks, and Reference Manager.

Format:
Include:
IgG Western Blot for Confirmatory Diagnosis of Equivocal Cases of Toxoplasmosis by EIA-IgG and Fluorescent Antibody Test
Korean J Parasitol. 2013;51(4):485-488.   Published online August 30, 2013
Close

Figure

  • 0
IgG Western Blot for Confirmatory Diagnosis of Equivocal Cases of Toxoplasmosis by EIA-IgG and Fluorescent Antibody Test
Image
Fig. 1 Profiles with positive and negative blots in Toxo II IgG kit LDBIO®. PC: positive control with 5 bands: 30, 31, 33, 40, and 45 kDa; 1, positive blot with 3 bands (30, 31, and 33 kDa); 2, positive blot with 4 bands (30, 31, 33, and 40 kDa); 3, positive blot with 5 bands (30, 31, 33, 40, and 45 kDa); 4, negative blot without bands; 5, negative blot with 1 band (30 kDa); 6, negative blot showing 2 bands with low intensity (30 and 31 kDa).
IgG Western Blot for Confirmatory Diagnosis of Equivocal Cases of Toxoplasmosis by EIA-IgG and Fluorescent Antibody Test
FAT
Total Positive Negative Gray zone EIA-IgG Positive 1,644 7 24 1,675 Negative 5 407 3 415 Gray zone 16 4 26 46 Total 1,665 418 53 2,136 LDBio-Toxo II IgG western blot
Positive Negative Total EIA-IgG Positive 25 6 31 Negative 7 1 8 Equivocal 41 5 46 FAT Positive 20 1 21 Negative 7 4 11 Equivocal 46 7 53
Table 1. Results of EIA-IgG and FAT in the 2,136 tested sera
Table 2. Results of LDBio-Toxo II IgG western blot with the 85 equivocal or discordant sera