The sparganum (plerocercoid of Spirometra mansoni) is a tissue-invading parasite in the intermediate hosts, including humans, causing subcutaneous masses or infrequently to other organs, such as the central nervous system [1,2]. Therefore, the outer tegumental layers of spargana should have crucial roles in invasion and host antibody production. Studies on the parasitic tegument should provide several clues of host-parasite interactions, pharmacologically drug targets, and advanced diagnostic molecules [3]. Also, the tegument of parasites may be involved as an initial signal for antigenicity to the host. Therefore, studies on the potent antigenic molecules for antibody production should be processed by the tegumental layer of spargana [4-6]. In this regard, the present author has developed a method of separating the syncytial layer from the parenchyma of spargana in a previous study [7]. The present study was performed to evaluate the protein composition of the outer tegument of spargana, and the immunolocalization probed with polyclonal antibodies against the tegument was processed.
Spargana were collected from subcutaneous tissues of snakes caught nearby Jinju in Korea. After washing with sterile saline, the worms were stored at 4℃ until infection into mice. A total of 5 spargana were infected orally to each of 5 BALB/c mice. After 4 weeks, infected mice were sacrificed and worms were collected from the subcutaneous tissues of the mice.
The outer tegument was separated from the sparganum by the method of Yang [7]. After collection, the tegument was washed with PBS 3 times. Protein extracts of the tegument were prepared by 2 different ways; one is homogenization in 10 times volume of PBS and the other is using protein extraction solution (PRO-PREP; Intron, Seoul, Korea) containing the ionic detergent of SDS. All extracts produced were preserved in 4℃ for next experiments.
Equal volumes of both PBS and detergent tegumental extracts were mixed with Freund's incomplete adjuvant (Sigma, St. Louis, Missouri, USA) and injected intraperitoneally into BALB/c mice. Three weeks later, this was repeated again with Freund's complete adjuvant (Sigma). Ether anesthetized mice were bled from the tail vein, and serum was stored in refrigerator.
The tegumental protein extracts were separated by 7.5-15% SDS-PAGE and then transferred onto polyvinylidene difluoride (PVDF; Millipore, Bedford, Massachusetts, USA) membranes. Membrane strips were then reacted with polyclonal antibody at a 1 : 100 dilution in casein buffer (0.5% casein, 20 mM Tris, 150 mM NaCl). The membranes were then reacted with peroxidase conjugated anti-mouse IgG antibody (Fc specific; Cappel, Westchester, Pennsylvania, USA) diluted at 1 : 2,000. Finally, colors were developed with 4-chloro-1-naphthol (Sigma).
After separation of the syncytial layer, spargana were fixed in 10% neutral buffered formalin and embedded in paraffin. Each paraffin block was used for 2 spargana and staining was processed triplicate for its reproducibility. For immunohistochemistry, the avidin-biotin complex (ABC) staining system (Santa Cruz, California, USA) was used. Briefly, the polyclonal mice sera against the tegumental extract, diluted at 1 : 100, were incubated with worm sections for 3 hr at room temperature. After then, the stain was followed according to the manufacturer's protocol. Finally, the reaction was developed with a substrate, diaminobenzidine (DAB) and counterstained using hematoxylin.
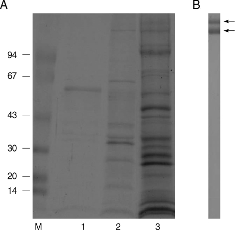
As shown in Fig. 1A, PBS extracts of the tegument were represented into a 60 kDa major single band and faint proteins, including 10, 33, and 36 kDa molecules in SDS-PAGE (lane 1). However, numerous molecules were noticed in the detergent contained protein extraction (lane 2). About 16 protein bands were noticed ranging from 10 to 200 kDa molecules.
Polyclonal antibodies against detergent extracted proteins of the tegument was confirmed by immunoblot (Fig. 1B) and 2 major bands of 180 and 200 kDa molecules were reacted with transferred proteins. Polyclonal antibodies reacting with other proteins were not generated by immunization on mice. However, immunoblots using polyclonal antibodies against PBS extracted proteins did not detect any specific tegumental proteins (data not shown). Using polyclonal antibodies, its immunolocalization was processed by immunohistochemistry. In Fig. 2B and C, strong positive reactions are developed in the outer tegument of the sparganum.
Analysis of tegumental proteins has been evaluated by several detergents, such as digitonin [8,9], saponin [10], or Triton-X [11]. Kim and Cho [9] reported that the tegumental fraction of Paragonimus westermani collected by 0.1% digitonin was difficult to homogenize by the Potter-Elvehjem glass teflon homogenizer, but easily solubilized in the detergent contained lysis buffer by sonication. In this study, the same phenomenon was noticed as shown in Fig. 1A. In SDS-PAGE, soluble proteins of the outer tegument were not easy to detect in PBS extracts by homogenization, but numerous proteins were easily detected in detergent treated extracts. This finding suggested that the major tegumental proteins, such as 180 and 200 kDa molecules, may be tightly bound membrane proteins as structural proteins.
In the tegumental studies of Schistosoma sp, it has been known that there are unique structures and large numbers of proteins (28%) in the tegument which lack sequence similarity to any other proteins in other species [12]. These unique proteins might be correlated with specific structures and functions of the schistosomal tegument [12]. Therefore, the tegumental proteins having few similarities to the host proteins should be expected to be highly antigenic, because tegumental proteins are the initial triggering molecules by a contact with the host [13]. Also, it is well known that there are relatively few schistosome tegumental proteins which have functions in nucleotide and protein synthesis. It has been confirmed that this is correlated with the absence of nuclei in the distal cytoplasm of the tegument [12].
In immunization with detergent extracted tegumental proteins, we could collect mice sera of strong reactions with 180 and 200 kDa molecules (Fig. 1B) but unfortunately, we could not review this phenomenon during the production of polyclonal antibodies against other molecules. Finally, we could confirm their localization at the outer tegument of spargana by immunohistochemistry (Fig. 2B, C). In the previous immunoblot study, high molecular masses were detected in the early phase of mouse sparganosis [14]. Therefore, 180 and 200 kDa molecules may be expected to sparganum-specific tegumental proteins which are the first contact molecules when infected to the host.
Recently, van Balkom et al. [12] reported that a total of 740 expressed schistosomal proteins were identified, and 179 of the proteins were detected in both the tegument and the worm body. Of them, 43 proteins were specifically located in the tegument and these tegument specific proteins were obviously a fraction of the total tegumental proteins. In this study, it was confirmed that 2 specific molecules of 180 and 200 kDa are specifically detected in the tegument of spargana. Further studies on the detergent solubilized other molecules of the tegument in spargana should be processed whether their functions may be both structural and antigenic.



