Abstract
Several studies have reported that the citrus red mites Panonychus citri were an important allergen of citrus-cultivating farmers in Jeju Island. The aim of the present study was to purify and assess properties of a cysteine protease from the mites acting as a potentially pathogenic factor to citrus-cultivating farmers. A cysteine protease was purified using column chromatography of Mono Q anion exchanger and Superdex 200 HR gel filtration. It was estimated to be 46 kDa by gel filtration column chromatography and consisted of 2 polypeptides, at least. Cysteine protease inhibitors, such as trans poxy-succinyl-L-leucyl-amido (4-guanidino) butane (E-64) and iodoacetic acid (IAA) totally inhibited the enzyme activities, whereas serine or metalloprotease inhibitors did not affect the activities. In addition, the purified enzyme degraded human IgG, collagen, and fibronectin, but not egg albumin. From these results, the cysteine protease of the mites might be involved in the pathogenesis such as tissue destruction and penetration instead of nutrient digestion.
-
Key words: Panonychus citri, mite, cysteine protease, allergen
The citrus red mite (CRM),
Panonychus citri, has been known as a major allergen of asthma and rhinitis in citrus-cultivating farmers and adolescents near citrus orchards [
1-
3]. It had been also reported that IgE-mediated response is main pathogenic mechanism responsible for the development of CRM-induced asthma [
1]. The Der p 1, a major allergen of the house dust mite,
Dermatophagoides pteronyssinus is a cysteine protease (CP), and their proteolytic activities contributes to allergenecity as well as elicits an IgE-mediated immune response [
4,
5]. CP of house dust mites is well-documented, however, that of CRM is not clear. We have reported the presence of CP of CRM crude extracts but could not obtain precise biochemical properties of CP of CRM [
6]. Therefore, it is necessary for studying CP of CRM which is acting as one of the possible pathogenic factors. Here, we partially purified a CP from CRM and characterized its biochemical properties.
CRMs were collected from leaves of citrus tree in the citrus orchards near the Jeju City. CRMs were homogenized in a teflon-pestle homogenizer with 20 mM sodium acetate buffer (pH 6.4) followed by centrifuged at 15,000 rpm for 30 min. The resulting supernatants were used as crude extracts. The enzyme activities and inhibitor tests were performed by the modified methods of Lustigman et al. [
7]. Briefly, the reaction mixtures was composed of 20-50 µl of CRM enzyme fractions and 10 µl of fluorescent synthetic dipeptide substrate carbobenzoyl-phenylalanyl-arginyl-7-amino-4-methylcoumarin (Cbz-Phe-Arg-AMC, 1 mM) in the presence of 2 mM DTT. The reaction mixtures were then incubated at 37℃ for 1 hr, and CP activity was measured by monitoring the release of fluorescence (excitation at 380 nm, emission at 460 nm) with Versa Fluor fluorometer (Bio-Rad, Hercules, California, USA). The inhibitor tests were done with respective protease inhibitors such as IAA (20 µM), E-64 (10 µM), di-isopropylfluorophosphate (DFP, 2 mM), and EDTA (2 mM).
To purify CP of CRM, the crude extract was loaded onto Mono Q HR 5/5 column previously equilibrated with 20 mM sodium acetate buffer (pH 6.4) using ÄCTA FPLC system (Amersham Pharmacia Biotech, Piscataway, New Jersey, USA). The column was washed with the same buffer and absorbed proteins were gradually eluted with increasing the NaCl molarity up to 1 M. The column was eluted with a flow rate of 0.5ml/min, and each fraction was collected with 0.5 ml. The column fractions which had protease activity were pooled and loaded onto Superdex 200 HR 10/30 gel filtration column equilibrated with 20 mM sodium acetate buffer (pH 6.4) containing 0.1 M NaCl. The column was eluted with the same buffer by flow rate of 0.2 ml/min, and 0.5 ml fractions were collected. The fractions which showed highly proteolytic activity were analyzed by 7.5-15% gradient SDS-PAGE and then, used as a purified enzyme for further study. For estimation of molecular weight of partial purified CP, standard marker proteins were eluted with the same condition mentioned above and the relative molecular weight was calculated by manufacturer's instruction. Standard marker proteins used in this experiment were alcohol dehydrogenase (150 kDa), bovine serum albumin (66 kDa), carbonic anhydrogenase (29 kDa), and cytochrome c oxidase (12.4 kDa).
To observe activities of the CP against macromolecular substrates, the purified CP was incubated with IgG, type I collagen, fibronectin, and egg albumin by some modifications of Kong et al. [
8]. Briefly, the reaction mixtures were consisted of 20 µl of purified CP, 10 µl of respective macromolecular substrates (4 mg/ml), and 20 µl of 0.1 M sodium acetate buffer (pH 5.5) in the presence of 2 mM DTT. The reaction mixtures were incubated at 37℃ for 1, 3, 5 hr, overnight, and then, the reaction products were analyzed by 7.5-15% gradient SDS-PAGE.
As shown in
Fig. 1, the purified protease migrated at 24, 16 kDa, and 10 kDa on 7.5-15% gradient SDS-PAGE (
Fig. 1D).
Table 1 showed purification procedures of the CRM CP. The native molecular weight of purified protease was estimated to be 46 kDa by Superdex 200 HR gel filtration (
Fig. 1C), therefore, it appeared that the purified protease of the CRM was consisted with 2 different molecular weight polypeptides, 24 and 16 kDa, at least. The other 10 kDa polypeptide is probably a contaminated polypeptide during purification procedures. Der p 1, a major allergen of the house dust mite
D. pteronyssinus is a cysteine protease with molecular mass of 24 kDa [
4]. In this regard, it is possible that the partial purified 24 kDa of CRM CP is a homologous protein band of Der p 1. From this result, further studies of relationship between 24 kDa CRM CP and Der p 1 are required. Other related study of CRM showed that several component protein bands of CRM crude extracts were detected by SDS-PAGE and IgE-immunoblot assay using the patient sera [
9]. The reactive IgE-immunoblot assay comprised of 5 component protein bands, that is, 11, 24, 35, 40, and 64 kDa. Among them, 24 and 35 kDa protein bands may be considered as the major allergens because they were bound to IgE in 50% more tested sera [
9]. In this experiment, the purified protease had 24 kDa protein bands on 7.5-15% gradient SDS-PAGE (
Fig. 1D) and similar molecular weight of 24 kDa protein band except that they used only crude extracts of CRM with 12% SDS-PAGE [
9]. Further studies are required whether these 2 protein bands are identical molecules. In addition, Der p 1 is a cysteine protease, and its proteolytic activity contributes to allergenicity [
5,
10]. In this regard, it is well worth to study the relationship between CP of CRM and allergen of CRM especially the 22 kDa protein band.
In inhibitors study, the activity of the purified protease was totally inhibited by cysteine protease inhibitors such as E-64 and IAA. However, serine or metalloprotease inhibitors including DFP and EDTA did not affect the activity of the enzyme (
Table 2). From these results, it is cleared that the purified protease belongs to the cysteine protease family. On the other hand, serine protease activities in crude extracts of CRM were not detected using synthetic peptide substrates for chymotrypsin and trypsin (data not shown).
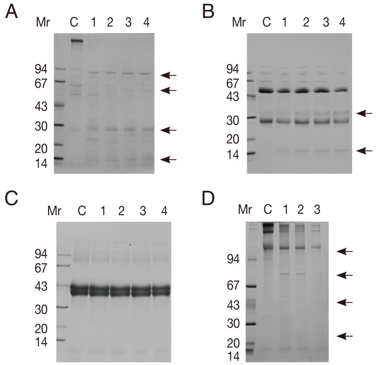
The results of the reactions with macromolecular substrates revealed that the CP could cleave human IgG, collagen, and fibronectin except for egg albumin (
Fig. 2). The CP could begin to degradation of IgG, collagen, and fibronectin within 1 hr, and fibronectin and collagens were more vulnerable to a cleavage by the CP. In reaction with IgG, the heavy chain of IgG was more degraded than light chain and was not fully degraded for overnight incubation (
Fig. 2B).
Cleavage of egg albumin revealed that the purified CP could not degrade egg albumin (
Fig. 2C). These results also indicated that the CP could not use egg albumin as a substrate, and the role of the CP was not involved in digestion and uptake of nutrients at least. The studies of cleavage of CP against various macromolecular substrates provided the possibility of the CP from CRM might influence pathogenesis such as penetration of the host tissues and contact dermatitis of hands of citrus-cultivating farmers. In this study, we have partially purified CP and observed partial properties of CP from CRM. Further researches will be performed to identify the CP as one of the allergenic proteins in CRM infection.
The 2013 scientific promotion program funded by Jeju National University
Notes
-
We have no conflict of interest related with this study.
ACKNOWLEDGMENT
This research was supported by the 2013 scientific promotion program funded by Jeju National University.
References
- 1. Kim YK, Son JW, Kim HY, Park HS, Lee MH, Cho SH, Min KU, Kim YY. Citrus red mite (Panonychus citri) is the most common sensitizing allergen of asthma and rhinitis in citrus farmers. Clin Exp Allergy 1999;29:1102-1109.
- 2. Kim YK, Park HS, Kim HY, Jee YK, Son JW, Bae JM, Lee MH, Cho SH, Min KU, Kim YY. Citrus red mite (Panonychus citri) may be an important allergen in the development of asthma among exposed children. Clin Exp Allergy 2001;31:582-589.
- 3. Kim SH, Kim YK, Lee MH, Hong SC, Bae JM, Min KU, Kim YY, Cho SH. Relationship between sensitization to citrus red mite (Panonychus citri) and the prevalence of atopic diseases in adolescents living near citrus orchards. Clin Exp Allergy 2002;32:1054-1058.
- 4. Chapman MD, Plattis-Mills TA. Purification and characterization of the major allergen from Dermatophagoides pteronnyssinus-antigen P1. J Immunol 1980;125:587-592.
- 5. Shakib F, Ghaemmaghami AM, Sewell HF. The molecular basis of allergenicity. Trends Immunol 2008;29:633-642.
- 6. Her KH, Kim KS, Choi G, Kim SH, Chung YB. Partial characterization of a cysteine protease from Panonychus citri. J Med Life Sci 2006;4:73-75.
- 7. Lustigman S, Brotman B, Huima T, Prince AM, McKerrow JH. Molecular cloning and characterization of oncocystatin, a cysteine protease inhibitor of Onchocerca volvulus. J Biol Chem 1992;267:17339-17346.
- 8. Kong Y, Chung YB, Cho SY, Kang SY. Cleavage of immunoglobulin G by excretory-secretory cathepsin S-like protease of Spirometra mansoni plerocercoid. Parasitology 1994;109:611-621.
- 9. Kim HY, Park HS, Kim YK, Son JW, Kim HA, Suh JH, Nahm DH, Cho SH, Min KU, Kim YY. Identification of IgE-binding components of citrus red mite in sera of patients with citrus red miteinduced asthma. J Allergy Clin Immunol 2001;107:244-248.
- 10. Chua KY, Stewart GA, Thomas WR, Simpson RJ, Dilworth RJ, Plozza TM, Turner KJ. Sequence analysis of cDNA coding for a major house dust mite allergen Der p 1. Homology with cysteine proteases. J Exp Med 1988;167:175-182.
Fig. 1(A) Elution profile of CRM crude extracts using Mono Q anion exchange chromatography. Bar indicates active fractions. (B) Elution profile of pooled fractions of Mono Q column using Superdex 200 HR gel filtration. Bar indicates purified protease fractions. (C) Estimation of molecular weight of purified CP using Superdex 200 HR gel filtration. Standard marker proteins used in this column chromatography were alcohol dehydrogenase (150 kDa, a), bovine serum albumin (66 kDa, b), carbonic anhydrogenase (29 kDa, c) and cytochrome c oxidase (12.4 kDa, d), respectively. Arrow indicates molecular weight of purified CP (46 kDa). (D) The purity of the CP was analyzed by 7.5-15% gradient gel. Mr, standard marker proteins. Lane 1, crude extracts of CRM; lane 2, active fractions of Mono Q column; lane 3, purified CP of Superdex 200 HR column. Arrows indicate purified CP.
Fig. 2Cleavage of various macromolecules by the purified CP. Mr, standard marker protein. Degradations of fibronectin (A), IgG (B), and egg albumin (C) by purified CP. Lane C, control fibronectin, IgG and egg albumin, lanes 1-4, 1, 3, 5 hr, and overnight incubation with purified cysteine protease, respectively. Arrows indicate degradation products. Cleavage of type I collagen (D) by CP. Lane C, control collagen, lanes 1-3, 1, 3 hr, and overnight incubation, respectively. Arrows indicate degradation products. SDS-PAGE was performed using 7.5-15% gradient gel under reducing condition except that the reaction of collagen was done under non-reducing condition.
Table 1.Purification of Panonychus citri CP
Table 1.
|
Total activity (units) |
Total protein (mg) |
Specific activity (units/mg protein) |
Purification (fold) |
Recovery (%) |
|
Crude extract |
25.4 |
3.1 |
8.2 |
1 |
100 |
|
Mono Q anion exchanger |
14.4 |
0.7 |
20.6 |
2.5 |
56.7 |
|
Superdex 200HR |
9.2 |
0.2 |
45.5 |
5.6 |
36.2 |
Table 2.Relative activities of purified CP by various inhibitors
Table 2.
|
Inhibitors |
Relative activity (%) |
|
Control (without inhibitors) |
100 |
|
IAA |
5 |
|
E-64 |
0.6 |
|
DFP |
110 |
|
EDTA |
92 |
Citations
Citations to this article as recorded by
