INTRODUCTION
Toxoplasma gondii is an obligate intracellular protozoan parasite and an important zoonotic pathogen [1]. It infects a broad range of warm blooded animals, including human beings, causing severe congenital defects, abortion, and neonatal complications [2]. Acquired infection is also possible, of which almost of all are benign and asymptomatic but the infection proceeds to a chronic cyst formation stage in the central nervous system or in muscle. Sometimes retinochoroiditis and meningoencephalitis occur in newly infected and reactivated cases with the brain cyst [3,4].
For serodiagnosis of toxoplasmosis, lots of commercial serological kits are developed most of which are based on Toxoplasma lysate antigens (TLA) [5]. Recently, many studies showed that recombinant proteins of T. gondii may be an alternative source of antigens due to producing safer diagnostic antigens with lower cost of production and purification [6]. Three major advantages of the recombinant antigens for the diagnosis of T. gondii infection are summarized [5,7] such that the composition of recombinant antigens is precisely known, the use of more than 1 defined antigen, and the method can be easily standardized. On the while, 2 disadvantages of using recombinant antigens are described as the problem of expression efficiency of the different antigens in Escherichia coli [8] and mis-folding of the recombinant antigens. It may not be very identical to native antigens that are produced by T. gondii, since there are different ways in that the molecule is folded in E. coli and T. gondii [9]. The importance of the folding process may affect the ability of antibody production against native antigen to recognize and bind to a defined recombinant antigen with the same affinity. Recombinant proteins fused with an intrinsically unstructured domain (IUD) of GRA2 enhanced diagnostic sensitivity, wherein the IUD is flexible and helps the proteins folded correctly to expose the antigenic domains [10].
Antigens of T. gondii are composed of surface antigens as well as several others from specific secretory organelles: micronemes, rhoptries, and dense granules [11]. SAG1, the major surface antigen, is well studied and analyzed [12]. GRA2 and GRA3, dense granular antigens, are well explored and summarized in several studies [13,14,15]. ROP2, a rhoptry antigen, contains an ordered catalytic domain of kinase [16]. MIC2, a micronemal protein, has no signal sequence peptides in N-terminal but has a transmembrane region in C-terminal [17]. Many studies developed recombinant antigens with surface antigens and dense granule proteins, but micronemal and rhoptry proteins were merely chosen [5]. In the present study, we analyzed GRA2, GRA3, ROP2, and MIC2 using bioinformatics approaches [18,19] to dissect the antigenic domain of each protein. The diagnostic value of the fragmented recombinant antigens was analyzed in an IgG avidity test. Four low molecular weight recombinant proteins including 2 chimeric proteins which have relatively higher value of IgG avidity are identified as highly yielded and water soluble.
MATERIALS AND METHODS
Parasites and sera
Tachyzoites of RH strain of T. gondii were injected into BALB/c mice intraperitoneally, and peritoneal exudates were collected right after the death of mice with Dulbecco's Phosphate Buffered Saline (DPBS) at day 4. Fresh RH tachyzoites were washed in DPBS and collected after centrifugation as Toxoplasma lysate antigen (TLA). Sera of patients of toxoplasmosis were tested positively by ELISA as in a previous study [20].
Reagents and antibodies
Horseradish peroxidase (HRP)-conjugated anti-rabbit antibody and HRP-conjugated anti-human IgG antibody were purchased from Sigma Aldrich (St. Louis, Missouri, USA). Rabbit monoclonal GST antibody was purchased from Santa Cruz Biotechnology (Santa Cruz, California, USA). The pGEX-4T-1 vector and BL21 (DE3) pLysS E. coli were from GE Healthcare (Little Chalfont, UK). RNA extraction kit and plasmid prep kit were from Gene All (Seoul, Korea). The cDNA synthesis kit was from Clontech Laboratories (Mountain View, California, USA). DH5α E. coli, PCR synthesis kit, T4 ligation kit and restriction enzyme digestion kit were from Enzynomics (Seoul, Korea). Primers were synthesized in Bioneer Corporation (Daejeon, Korea). Isopropyl β-D-1-thiogalactopyranoside (IPTG) and ampicillin were from Duchefa Biochemie (Haarlem, The Netherlands).
Bioinformatics analysis
Four secretory organellar T. gondii proteins were chosen according to highly antigenic excretory/secretory proteins reported in a previous study [21]. Intrinsically unstructured regions of those proteins were predicted by IUPred server (http://iupred.enzim.hu/). Transmembrane regions of those proteins were predicted by DAS server (http://www.sbc.su.se/~miklos/DAS/maindas.html). Based on the transmembrane regions and intrinsically unstructured regions of each protein, several sets of primers [18,19] were designed to subclone fragments of genes into pGEX-4T-1 vector, respectively.
Construction of recombinant plasmids
Total RNA extraction and cDNA synthesis were done according to the manuals of manufacturers. Target fragments were amplified by PCR with designed primers (Table 1). PCR products and pGEX-4T-1 vector were purified and digested by restriction enzymes. Digested fragments were ligated into the pGEX-4T-1 vector. After transformation, recombinant plasmids were amplified in DH5α.
Expression and solubility of GST fusion proteins
The pGEX-4T-1 vector and recombinant plasmids were extracted from DH5α E. coli and transformed into BL21 (DE3) pLysS E. coli. GST and GST fusion proteins were induced at 0.5 mM IPTG. Pellets of E. coli after induction were sonicated in DPBS. The mixture of the sonication was regarded as the total lysates of E. coli expressing GST recombinant proteins. After centrifugation at 16,000 g, 4℃ for 10 min, the supernatant was saved as a soluble fraction and the precipitant as an insoluble fraction. Following western blot, the expression and solubility of GST fusion proteins were examined with rabbit monoclonal GST antibody.
Western blot analysis
Samples were dissolved by SDS-PAGE and transferred to a nitrocellulose (NC) membrane (Whatman GmbH, Dassel, Germany) by mini-protean Tetra system (BioRad, Hercules, California, USA). The membrane was incubated with 5% skim milk (Difco Laboratories, Detroit, Michigan, USA) in PBS with 0.5% Tween 20 (PBST) for 1hr. After washing with PBST, membranes were incubated with the 1st antibody in PBST with 5% skim milk at room temperature (RT) for 2 hr. It was then incubated with the 2nd antibody in PBST with 5% skim milk at RT for 2 hr. Signals were detected with ECL Western blotting kit (Millipore Co., Billerica, Massachusetts, USA).
Analysis of the antigenicity of recombinant proteins
Total lysates of E. coli and TLA were transferred to NC membrane and incubated with patient serum as the 1st antibody in western blot. Then, membranes were incubated with HRP-conjugated anti-human IgG antibody. Signals were detected with ECL western blotting kit.
RESULTS
Construction and expression of GST-GRA2 fusion protein
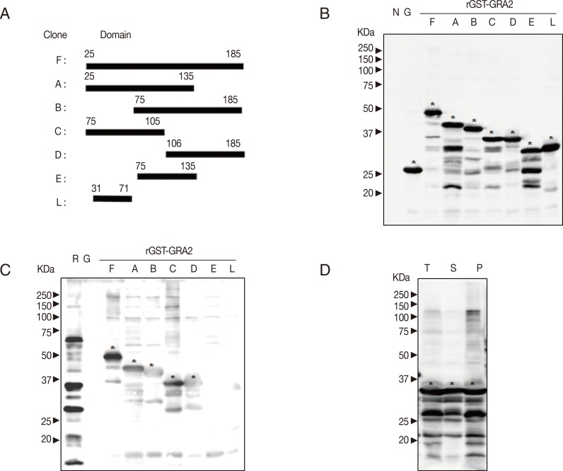
The transmembrane regions and the intrinsically unstructured domains of GRA2 (GenBank no. HM014012.1) were predicted by DAS server and IUPred server [18,19]. The transmembrane region of GRA2 is in its N-terminal as a signal sequence. The GRA2 shows higher disorder tendency except the 36 amino acids of N-terminal containing signal sequence. Based on the analysis of the structure, 7 fragments of cDNA of GRA2 were subcloned into pGEX-4T-1 vector in BamHI, EcoRI, or XhoI sites. Cloning domains and corresponding sequences of cDNA are shown in Fig. 1A.
The pGEX-4T-1 and recombinant plasmids were transformed into BL21 (DE3) pLysS E. coli. All recombinant proteins were induced at 30℃ with 0.5 mM IPTG. As shown in Fig. 1B, rGST-GRA2 fusion proteins were well expressed. In Fig. 1C, rGST-GRA225-185, rGST-GRA225-135, and rGST-GRA225-105 show stronger antigenicity, while rGST-GRA275-185 and rGST-GRA2106-185 show weaker antigenicity. The solubility of rGST-GRA225-105 was tested as shown in Fig. 1D; it was expressed at 30℃ with 0.5 mM IPTG as a soluble form.
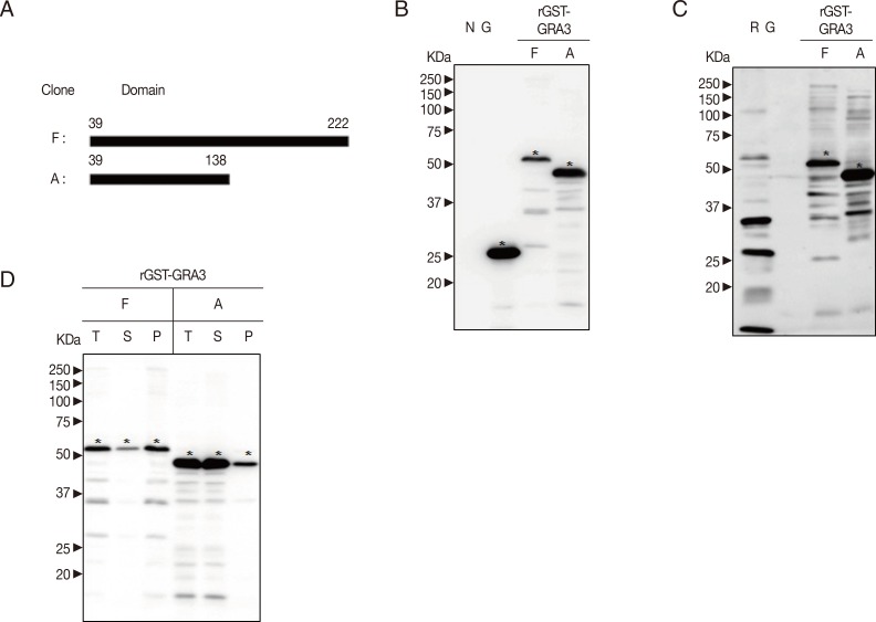
Construction and expression of GST-GRA3 fusion protein
The main transmembrane region of GRA3 (GenBank no. EF552406.1) is in its N-terminal, and the middle of C-terminal of GRA3 shows relatively higher profile score. The whole fragment of GRA3 is predicted with lower disorder tendency comparing to GRA2. Based on the analysis of the structure, 2 fragments of cDNA of GRA3 were subcloned into pGEX-4T-1 vector in EcoRI and XhoI sites. Cloning domains and corresponding sequences of cDNA are shown in Fig. 2A.
All recombinant proteins in BL21 (DE3) pLysS E. coli were induced at 30℃, 0.5 mM IPTG. As shown in Fig. 2B and D, rGST-GRA339-138 fusion protein was well expressed, but rGST-GRA339-222 was not. As shown in Fig. 2C, rGST-GRA339-138 and rGST-GRA339-222 present equivalent antigenicity. The rGST-GRA339-222 is slightly soluble, and rGST-GRA339-138 is significantly soluble at 30℃, 0.5 mM IPTG in Fig. 2D.
Construction and expression of GST-ROP2 fusion protein
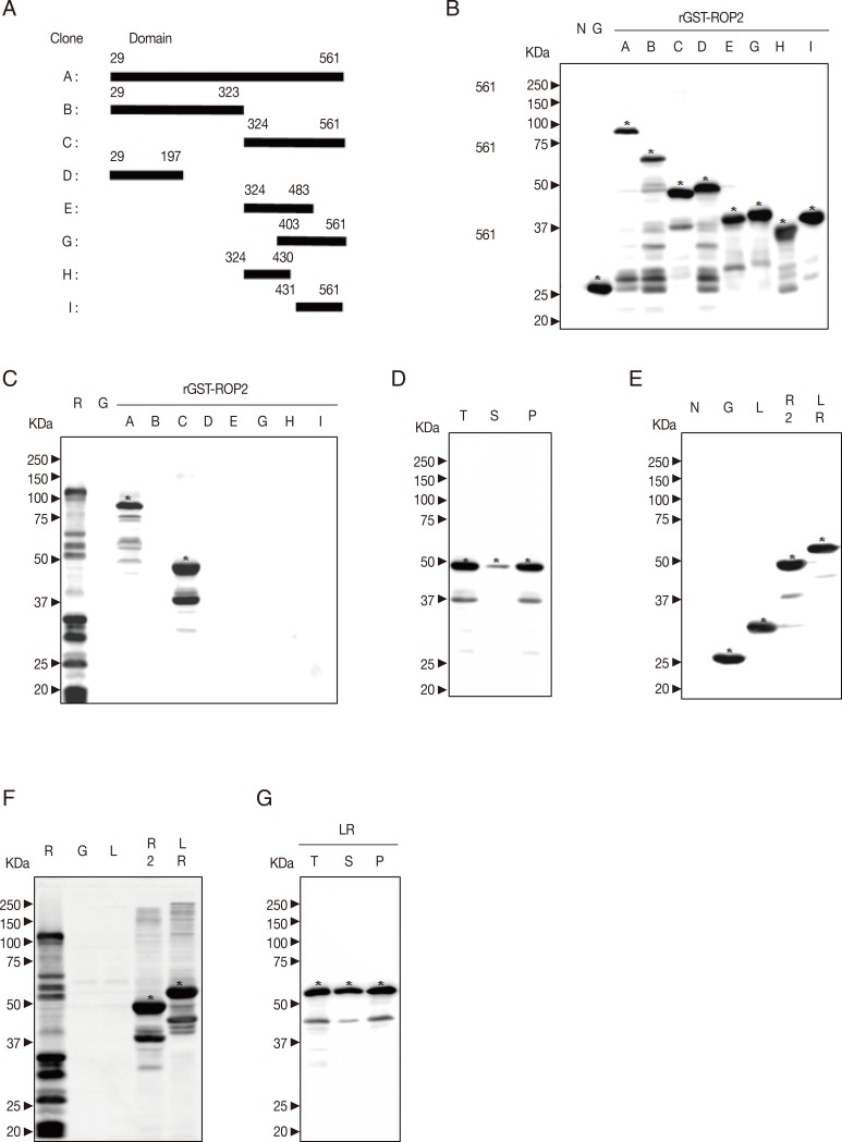
The main transmembrane region of ROP2 (GenBank no. Z36906.1) is in its N-terminal. The N-terminal sequence of ROP2 except peptide signal sequence is predicted to have higher disorder tendency, while the kinase domain of ROP2 shows lower disorder tendency. Based on these analyses, 8 fragments of cDNA of ROP2 were subcloned into pGEX-4T-1 vector in EcoRI or XhoI sites. Cloning domains and corresponding sequences of cDNA are shown in Fig. 3A.
The pGEX-4T-1 and recombinant plasmids were transformed into BL21 (DE3) pLysS E. coli. As shown in Fig. 3B, rGST-ROP2 fusion proteins were well expressed at 30℃, 0.5 mM IPTG. In Fig. 3C, rGST-ROP229-561 and rGST-ROP2324-561 showed higher antigenicity. However, rGST-ROP2324-561 is slightly soluble at 20℃ and 30℃, 0.5 mM IPTG in Fig. 3D.
The domain of GRA231-71 is predicted with a low profile score and high disorder tendency to be chosen as a linker. The pGEX-4T-1/GRA231-71 and PCR product of ROP2324-561 were digested by EcoRI restriction digestion enzyme. Two linear DNA were ligated and transformed into BL21 (DE3) pLysS E. coli. In Fig. 3E and F, rGST-GRA231-71-ROP2324-561 protein was well expressed and possessed same antigenicity as rGST-ROP2324-561. However, rGST-GRA231-71-ROP2324-561 protein was soluble at 20℃, 0.5 mM IPTG (Fig. 3G).
Construction and expression of GST-MIC2 fusion protein
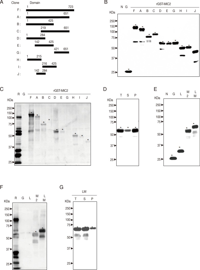
The main transmembrane region of MIC2 (GenBank no. XM_002367433.1) is predicted in its C-terminal, and the downstream half of the C-terminal sequence of MIC2 possesses higher disorder tendency. Based on the structure and results of bioinformatics analysis, 10 fragments of cDNA of MIC2 were subcloned into pGEX-4T-1 vector in EcoRI or XhoI sites. Cloning domains and corresponding sequences of cDNA are shown in Fig. 4A.
All recombinant proteins in BL21 (DE3) pLysS E. coli were induced at 30℃, 0.5 mM IPTG. As shown in Fig. 4B, rGST-MIC2 fusion proteins were well expressed. In Fig. 4C, rGST-MIC21-723 showed the strongest antigenicity and further dissected as rGST-MIC21-284 maintained strong antigenicity. Others possessed slight or no antigenicity. However, rGST-MIC21-284 is slightly soluble at 30℃, 0.5 mM IPTG in Fig. 4D.
The pGEX-4T-1/GRA231-71 and PCR product of MIC21-284 were digested by EcoRI and XhoI restriction digestion enzymes. Two linear DNA were ligated and transformed into BL21 (DE3) pLysS E. coli. In Fig. 4E, rGST-GRA231-71-MIC21-284 protein was well expressed as much as rGST-MIC21-284. However, comparing to rGST-MIC21-284, rGST-GRA231-71-MIC21-284 protein was significantly increased the solubility at 30℃, 0.5 mM IPTG and possessed higher antigenicity in Fig. 4F and 4G.
DISCUSSION
Currently, lots of recombinant antigens of T. gondii have been developed and tested in ELISA and western blot for recognition of anti-T. gondii antibodies [5] because highly yielded recombinant antigen in prokaryotic expression system is not expensive and short-time consuming [6]. However, the disadvantage of recombinant antigens is that the folding of recombinant antigens may be very different from those of native antigens [7] to expose the antigenic epitope correctly. The solubility of recombinant antigens affects the application of them to prepare the serological test apparatus. To solve those problems, bioinformatics approaches were applied to predict the structure of proteins [10,22,23,24].
It is reported that a fly-casting model for intrinsically unstructured protein recognition [25], which illustrates a relatively unstructured disordered protein molecule, is revealed to have a greater capture radius for a specific binding site with increasing flexibility [26,27]. The recombinant antigen fused with the IUD domain of GRA2 is significantly soluble and shows an enhanced antigenicity. In the present study, using bioinformatics tools, the protein structure of GRA2, GRA3, ROP2, and MIC2 genes were analyzed, which was revealed as major secretory/excretory antigens of T. gondii as reported in our previous study [21].
GRA2 is a promising candidate for serodiagnosis of toxoplasmaosis [28]. Except the signal sequence, the whole domain of GRA2 is predicted as disordered region by bioinformatics tool. Seven fragments of GRA2 were cloned (Fig. 1A), all of which were well expressed (Fig. 1B). Recombinant proteins with 3 N-terminal domains of GRA2 showed respectively higher value of IgG avidity, comparing to other fusion proteins (Fig. 1C). Among them, rGST-GRA225-105 is the shortest recombinant protein and has characteristics of water-soluble (Fig. 1D) in this study. Therefore, GRA225-105 may be the main antigenic domain of GRA2 against patient serum.
GRA3 has 2 putative transmembrane regions and parasitophorous vacuolar membrane-associated GRA3 interacts with calcium modulating ligand of host cell endoplasmic reticulum [29]. Two fragments of GRA3 were cloned (Fig. 2A). Both of these 2 recombinant antigens showed the same antigenic ability against patient serum (Fig. 2C). However, the recombinant protein fused with the domain of GRA339-222 was not well expressed and slightly soluble (Fig. 2B, D) and furthermore the host BL21 (DE3) pLysS E. coli containing the recombinant plasmid underwent degradation during the induction with IPTG. On the while, rGST-GRA339-138 was well expressed and significantly soluble as shown in Fig. 2B and D. However, actual molecular weight of rGST-GRA339-138 estimated by SDS-PAGE analysis was not expected as calculated, which presumed due to the composition of amino acid residues [30]. Thus, rGST-GRA339-138 may be a promising candidate to develop a serological diagnosis kit.
ROP2 is a kind of kinase, and the catalytic domain of it is located in C-terminal half [16]. Three potential epitopes of ROP2 (197-216, 393-410, and 501-524) are recognized by human T cells [31] and rROP2196-561 has positive reactions to both Toxo-IgG and -IgM antibodies [32]. Eight fragments of ROP2 were cloned (Fig. 3A), and all fusion antigens were well expressed at indicated condition (Fig. 3B). The rGST-ROP229-561 and rGST-ROP2324-561 showed equivalent higher value of IgG avidity (Fig. 3C) as paralleled with a previous study [31], but rGST-ROP229-323 did not show antigenicity in the present study. Moreover, rGST-ROP2324-561 was slightly soluble at the indicated conditions (Fig. 3D) due to the well-folded structure of the catalytic domain of ROP2. The insolubility of rGST-ROP2324-561 is a big obstacle to develop a serodiagnostic kit; therefore, the unfolded flexible linker was recommended in this study [10]. The IUD region of GRA231-71 was subcloned into the recombinant antigen (Fig. 3E), which resulted in the increase of solubility of the kimeric protein rGST-GRA231-71-ROP2324-561 at the indicated condition comparing to rGST-ROP2324-561 (Fig. 3G). The antigenicity of rGST-GRA231-71-ROP2324-561 was maintained as same as that of rGST-ROP2324-561 (Fig. 3F). The rGST-GRA231-71-ROP2324-561 may be a promising candidate to develop a serological diagnosis kit.
MIC2 has a transmembrane region in its C-terminal region and has no signal peptides [7]. Ten fragments of MIC2 were cloned (Fig. 4A), and all fusion antigens were well expressed at the indicated condition (Fig. 4B). The rGST-MIC21-723 and rGST-MIC21-284 showed higher values of IgG avidity comparing to other recombinant antigens (Fig. 4C). One MIDAS and 1 TSP1 domains are involved in the amino acid 1-284 of MIC2 [7]. However, rGST-MIC229-323 was slightly soluble at the indicated conditions (Fig. 4D), which may be due to the well-folded structure of MIC21-284 domain. The rGST-MIC21-284 was not suitable to develop a serological diagnosis kit. The IUD region of GRA231-71 was subcloned into pGEX-4T-1/MIC21-284. As a result, rGST-GRA231-71-MIC21-284 was highly yielded and soluble (Fig. 4E, G) at the indicated condition comparing to rGST-MIC21-284. Interestingly, comparing to rGST-MIC21-284, rGST-GRA231-71-MIC21-284 showed a higher value of IgG avidity (Fig. 4F). It is strongly recommended that rGST-GRA231-71-MIC21-284 is a promising candidate to develop a serological diagnosis kit.
In summary, 4 promising recombinant antigens including 2 chimeric proteins were cloned. They have relatively lower molecular weight to enrich the number of antigens in a restricted condition of smaller diagnostic product with maintaining higher sensitivity. It is once again proven that IUD domain enhances the plasticity and solubility of proteins in the present study [10,26]. Therefore, based on the analysis of bioinformatics approaches, 4 recombinant antigens were cloned and promising candidates to develop serological diagnosis kits, for example ELISA or rapid diagnostic test (RDT).



