INTRODUCTION
Trypanosoma evansi is the etiologic agent of the disease known as “Surra” or “Mal das Cadeiras” in horses that affects domestic livestock and wildlife [1]. Trypomastigotes are transferred from one host to another through blood-sucking insects, i.e., mechanical transmission [2]. Many clinical signs are shown by animals infected with T. evansi, as well as cardiovascular disorders. T. evansi-infected rats have shown increased levels of biomarkers of cardiac function such as creatine kinase, creatine kinase fraction MB, lactate dehydrogenase, and plasmatic myoglobin, as well as changes in cardiac cytosolic and mitochondrial creatine kinase and in the respiratory chain complex, in addition to mild multifocal lymphoplasmacytic inflammatory infiltration and necrosis [3].
Oxidative stress is the result of imbalances in cellular redox regulation and the inability of the antioxidant defense system to regulate reactive oxygen species (ROS) [4]. Many animal studies have shown a critical role of ROS in maintaining cellular homeostasis and in regulating intracellular signaling acting as a redox messenger. Nevertheless, excessive ROS can lead to the accumulation of free radicals which induces oxidative damage of membrane lipids, genes, protein, nucleic acid, and ultimately leading to cell death [5,6]. This process causes oxidation of biomolecules with consequent loss of its biological functions and/or homeostatic imbalance and tissue injury [7].
Oxidative stress is a mechanism of pathogenicity in animals infected with T. evansi. According to Wolkmer et al. [8], T. evansi infection in rats is related to the oxidative stress due to oxidative damage in the erythrocyte’s membranes. Others have reported that there was disorder of oxidant/antioxidant levels in the blood of camels and horses infected with T. evansi [9,10]. Recently, Baldissera et al. [11] reported that there was disorder of oxidant/antioxidant levels in the liver and kidney of rats infected with T. evansi, characterized by increased lipid peroxidation, decreased enzymatic activity of catalase and decreased levels of thiol groups (sulfhydryl). However, oxidative damage in the heart tissue was not evaluated during T. evansi infections.
Various studies have suggested that alterations in mitochondrial respiratory chain complex activity are one of the major systems in the myocyte for reactive oxygen species. The respiratory chain complex is recognized as prime sites for electron leakage to molecular oxygen, resulting in free radical generation in mitochondria [12,13]. Researchers have shown changes in complex II and IV of the respiratory cardiac chain in rats infected with T. evansi at days 5 and 15 post infection (PI), associated with histological lesions in the heart [3]. Therefore, the aim of this study was to evaluate occurrence of oxidative stress in the heart of rats experimentally infected with T. evansi.
MATERIALS AND METHODS
T. evansi isolate and animals
T. evansi isolate used in this study was originally isolated from a naturally infected dog [14] and has been maintained cryopreserved in liquid nitrogen. Initially, 1 rat (R1) was infected intraperitoneally with blood (cryopreserved in liquid nitrogen) containing 106 parasites to obtain a large number of parasites for the experimental group of this study.
Female 60-day-old Wistar rats (n=24), conventional heterogenic outbred strain, weighing an average of 190-200 g, were used in this study. They were kept in cages, housed on a light/dark cycle of 12 hr in an experimental room with controlled temperature and humidity (23±1˚C and 70%, respectively). Animals were fed with commercial feed and water ad libitum. All animals were kept in their cages for a period of 15 days of adaptation.
Experimental design, parasitemia estimation, and sample collection
The animals were divided into 2 groups (A and B, 12 animals/each group), and further subdivided into 4 subgroups (A1 and A2, 6 animals/each; and B1 and B2, 6 animals/each). Animals in the groups B1 and B2 were inoculated subcutaneously with 0.06 ml of blood from a rat (R1) containing 106 trypanosomes (day 0).
Fresh peripheral blood from the coccygeal vein of rat tails was examined daily for parasitemia scoring degree after stained by the Romanowsky method. Slides were examined at a magnification of ×1,000 according to the method described by Da Silva et al. [15].
On day 5 PI (subgroups A1 and B1) and day 15 PI (subgroups A2 and B2), the animals were humanely sacrificed for sample collection by decapitation without anesthetics. Heart fragments were collected and kept under refrigeration for biochemical analyses. Heart fragments were also used for histopathological analyses.
Tissue preparation
Heart fragments were placed in a buffered (pH 7.4) solution containing 20 mM sodium phosphate and 140 mM KCl buffer. Later, heart fragments were homogenized (1:10 w/v) using a Potter-Elvehjem glass homogenizer and centrifuged at 800 g for 10 min at 4˚C. The supernatant was collected and frozen at -80˚C for no more than 3 weeks until determination of oxidative stress parameters and protein levels.
Thiobarbituric acid reactive substances measurement (TBARS)
TBARS was measured according to the technique described by Ohkawa et al. [16]. TBARS measures mainly malondialdehyde (MDA), a product of lipoperoxidation caused mostly by hydroxyls free radicals. Briefly, samples and reagents were placed into glass tubes in the following order: 200 μl of homogenized tissue supernatant, 200 μl of 8.1% SDS (sodium dodecyl sulphate), 500 μl of 2.5 M acetic acid in aqueous solution (v/v) pH 3.4, 500 μl of 0.8 % thiobarbituric acid (TBA), and 100 μl of distilled water. The mixture was mixed, and the reaction was carried out in a boiling water bath for 1 hr. TBARS were determined by the absorbance at 532 nm and were expressed as malondialdehyde equivalents (nmol MDA/ml).
Superoxide dismutase (SOD) activity
The measurement of SOD activity was based on the inhibition of the radical superoxide reaction with adrenalin as described by McCord and Fridovich [17]. In this method, SOD present in the sample competes with the detection system for radical superoxide. One SOD unit is defined as the amount of enzyme able to slow down the speed of adrenalin oxidation in 50%. The oxidation of adrenalin leads to the formation of a colored product adrenochrome that might be detected by spectrophotometry. SOD activity was determined by measuring the speed of adrenochrome formation observed at 480 nm in a reaction medium containing glycine-NaOH (50 mM, pH 10.0) and 1 mM adrenalin. Specific activity was expressed as SOD units per mg of protein.
Glutathione S-transferase (GST) assay
GST activity was measured as described by Habig et al. [18]. Freshly prepared cell lysate (25-50 μl) was mixed in a cuvette with 1 ml of GST assay buffer containing either 1 mM chloro-2,4-dinitrobenzene (CDNB) and 1 mM reduced glutathione [GSH] or 1 mM 4-nitrobenzylchloride and 5 mM GSH in 0.11 M sodium phosphate (pH 6.5), and incubated at room temperature. The absorbance (CDNB 340 nm; 4-nitrobenzylchloride at 310 nm) was measured at timed intervals, and the specific GST activity of each lysate was determined from the change in absorbance considering measurement timing (min) and amount of protein (μg). GST was calculated as nmol GSDNB per min per mg of protein.
Reduced glutathione (GSH) content
GSH is the most important non-enzymatic antioxidant present in the cell. GSH levels were measured according to Browne and Armstrong [19], which is based on the reaction of GSH with the fluorophore o–phthaldehyde (OPT), using the sample by deproteinization with metaphosphoric acid. Then, 150 µl of the sample was incubated with an equal volume of o–phthaldehyde (1 mg/ml of methanol) by 15 min at 37˚C. Fluorescence was measured using excitation of 350 nm and emission of 420 nm wavelengths. Calibration curve was performed using standard GSH (1 mM), and tissue supernatant concentrations were expressed as nmol of GSH per mg of protein.
Non-protein thiols (NPSH)
Tissue non-protein thiols were determined as previously described by Ellman [20]. Briefly, an aliquot of the homogenized tissue supernatant (1:10 w/v) was diluted (1:1) with 10% TCA, vortexed, and centrifuged at 2,000 g for 10 min. Subsequently, the supernatant was mixed with 250 µM of DNTB in a final volume of 2 ml, and the absorbance was read at 412 nm. A cysteine solution was used as reference. NPSH were expressed as µmol SH/g of tissue.
Protein levels
The protein content was measured colorimetrically according to the Lowry method [21] using bovine serum albumin (1 mg/ml) as the standard solution.
Histology
Small sections of the left ventricle were collected and stored in 10% buffered formalin solution. Sagittal sections of every 3 mm were obtained and stained with hematoxylin and eosin (H-E).
Statistical analyses
The data set was tested for normality by the Kolmogorov-Smirnov test, and transformed into logarithm when they were not normally distributed. Then, determination of TBARS, SOD, GST, GSH, and NPSH levels was subjected to bilateral Student's t-test for independent samples to verify the differences on the data set. Results were considered statistically different when P<0.05.
RESULTS
T. evansi infection
T. evansi was detected in peripheral blood of all infected rats at day 2-3 PI. Infected animals showed an average of 14 trypanosomes/field at 5 day PI. Fifteen days PI, infected animals had an average of 20 trypanosomes/field. The uninfected groups remained clinically healthy throughout the experimental period (Fig. 1).
TBARS levels
Cardiac TBARS values are shown in Fig. 2A. The TBARS levels increased (P<0.05) in the infected group on days 5 and 15 PI compared to the control group.
SOD activity and NPSH levels
Superoxide dismutase activities in the heart are shown in Fig. 2B. SOD activity was decreased (P<0.05) in the infected group on days 5 and 15 PI compared to the control group. There was no difference between the groups regarding NPSH levels (P>0.05; data not shown).
GST assay and GSH content
Cardiac GST results are shown in Fig. 3A. GST activity was significantly decreased (P<0.05) in the infected group on day 15 PI. There was no difference between the groups on day 5 PI (P>0.05). Fig. 3B shows the results for GSH content in the heart. GSH activity was significantly decreased (P<0.05) in the infected group on day 15 PI. There was no difference between groups on day 5 PI (P>0.05).
Histology
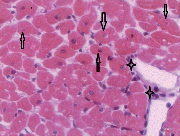
T. evansi-infected rats showed mild alterations on day 15 PI (Fig. 4), where only mild cardiac inflammatory infiltrates were observed. Acidophilic cytoplasms and nuclei pyknosis in cardiac cells, as well as tissue necrosis were also observed.
DISCUSSION
Studies conducted by Baldissera et al. [3] and El-Deeb and Elmoslemany [22] have shown an increase in indicators of cardiac injury, such as creatine kinase (CK), creatine kinase fraction MB (CK-MB), myoglobin, and lactate dehydrogenase (LDH) in plasma of T. evansi-infected rats, and increase in cardiac troponin I (cTnI), CK-MB, and CK in serum of infected camels, respectively. According to Ansley and Wang [23], one of the mechanisms of cardiac injury is the oxidative stress system. Oxidative stress increases in cases of chronic heart failure. The oxidative stress was evaluated in plasma and sera; however, it has not been evaluated yet in the cardiac tissue.
In the present study, oxidative stress was evident as indicated by higher levels of lipid peroxidation biomarker (MDA) and inhibition of antioxidant enzymes due to high levels of free radicals in T. evansi-infected rats. The accumulation of MDA in tissues is indicative of the extent of free radical generation, oxidative stress, and damage [24]. Earlier studies have demonstrated higher levels of MDA in mice infected with Trypanosoma brucei [25], in sera of camel and horses infected with T. evansi [9,10,22], and in the liver of rats infected with T. evansi [11].
The process of oxidative stress is a result of an imbalance between oxidant and antioxidant compounds due to the excessive generation of free radicals or due to a lower removal speed of the latter, and there is abundant circumstantial evidence that oxidative reaction contributes to cardiovascular diseases [7,26]. It was reported that oxidative stress might be implicated in several effects relevant to the pathophysiological mechanisms of heart failure. Results published by Baldissera et al. [3] have shown an increase in plasma levels of creatine kinase, MB-creatine kinase fraction, myoglobin, and lactate dehydrogenase, important markers of cardiac injury. According to Ansley and Wang [23], markers of lipid peroxidation are significantly increased in cases of irreversible myocardial injuries, as observed in this study.
The action of the enzyme superoxide dismutase (SOD) is a defense mechanism against reactive oxygen species (ROS). The present study reported for the first time lower levels of SOD in the heart of T. evansi-infected rats on days 5 and 15 PI compared to uninfected animals. The same results were found by El-Deeb and Esmoslemany [22] in sera of camels infected with T. evansi. According to Saleh et al. [9], lower SOD activity might be related to its depletion as free radical scavengers during the oxidative stress in camels infected with T. evansi. On the other hand, rats infected with T. evansi showed activation of SOD activity in total blood on days 5 and 15 PI [27].
This is the first study reporting changes in GST and reduced GSH activities in rats infected with T. evansi on days 5 and 15 PI. Studies conducted by Anschau et al. [28] reported decrease of GSH activities in blood of T. evansi-infected rats, but they have not reported differences in GST activity in the heart, as observed in our study. GSH is the major intracellular redox buffer and plays a key role in cellular protection against oxidative damage [29], being recognized as a marker of cell viability and a reducer of oxidative damage [30].
Studies conducted by El-Deeb and Esmoslemany [22] using camels infected with T. evansi have suggested a correlation between increased seric levels of cardiac injury biomarkers and oxidative stress. The damage of cellular proteins and membranes is a mechanism through which myocardial oxidative stress may compromise cardiac function. El-Deeb and Esmoslemany [22] reported increased serum malondialdehyde and erythrocyte malondialdehyde levels in infected camels, and consequently, increased seric levels of cTnI, CK, and CK-MB.
It has been reported that ROS might be present in several pathophysiological mechanisms of chronic heart failure. Thus, based on these results, we believe that the oxidative stress observed by increased lipid peroxidation and decreased enzymatic activities of SOD, GSH, and GST may lead to cardiac injury and contributes to the pathophysiology of the infection caused by T. evansi.



