INTRODUCTION
Clonorchis sinensis is a carcinogenic liver fluke to induce cholangiocarcinoma (CCA) in human [1-3]. Although a number of studies suggested the association between C. sinensis and CCA, the underlying mechanism is currently unknown [4]. The study of mechanism inevitably requires a suitable in vivo animal model. Syrian golden hamsters have been used for experimental CCA studies induced by liver flukes, C. sinensis and Opisthorchis viverrini. Even though hamsters mimic the human CCA in many aspects [5], there are lack of genetic information and antibodies [6]. Therefore, a more suitable experimental model having genetic features and antibodies available is required to investigate molecular mechanisms of CCA development.
Mice are usually less susceptible to infection with C. sinensis compared to rats, rabbits, and other experimental mammals. In our previous study, we examined 6 strains of mice namely ICR, BALB/c, C57, DDY, CBA, and C3H/He and found that C3H/He mouse strain was relatively susceptible to C. sinensis infection [6]. The worm recovery rate of C3H/He mice was 20.7% after 4 weeks of infection which was highest among the strains. It is well known that mice are suitable for many carcinogenic studies for having well documented genetic information, associated molecular products, and cost effectiveness. Thus despite of their relative low susceptibility, we considered C3H/He mice to establish as a CCA model animal.
C. sinensis infection (Cs) alone is unable to induce CCA in experimental animals and the worm is considered as a promoting agent for CCA [7]. The worm lives in the biliary tree for decades and act as an agent for chronic inflammation. Chronic inflammations are account for about 25% of all human cancers and most of the cases which might leads to reactive oxygen species (ROS) or reactive nitrogen species (RNS) mediated DNA damage [8]. However, in short term experiment such DNA damage was not evident from C. sinensis. In this context, we have used a well-known animal hepatocarcinogen N-nitrosodimethylamine (NDMA) as an initiator of CCA at sub-carcinogenic level to develop 2-steps carcinogenesis model [7]. In addition, we have used another tumor promoting agent, dicyclanil (4,6-diamino-2-cyclopropylaminopyrimidine-5-carbonaitrite; DC) which was used earlier to determine its oxidative damage in mice [9]. In the present study, the C3H/He mice which were challenged with Cs, NDMA, and DC alone or different combination and were evaluated for hepatobiliary histopathological changes, whether this 2-steps carcinogenesis process could induce CCA.
MATERIALS AND METHODS
Ethics statement
The animal experiment protocol was reviewed and approved by the institutional animal care and use committee (IACUC) of Seoul National University, Seoul, Korea (SNU-091120-1) and the NIH Guide for the Care and Use of Laboratory Animals (ISBN 0-309-05377-3). It is accredited by the Ministry of Food and Drug Administration and also by the Ministry of Education, Science and Technology (LNL08-402) as an animal experiment facility. The laboratory has been monitored and inspected regularly by the Ministry and the IACUC of Seoul National University.
Mice and housing
Male C3H/He mice of 4-5 weeks of age weighing about 20 g were purchased from the Central Laboratory Animals Inc. (Seoul, Korea) and were assigned to different groups randomly. They were housed at biosafety level 2 (BCL-2) animal facilities in polycarbonate cages containing wood chip bedding (Samtako Bio Korea Inc., Gyeonggi, Korea) at 12 hr light-dark cycle. The room temperature was 21±2˚C. Animals were allowed to eat rat chow (Samtako Bio Korea Inc., Gyeonggi, Korea) and drink tap water ad libitum.
Reagents
N-nitrosodimethylamine (NDMA) was purchased from Sigma-Aldrich Co. (St. Louis, Missouri, USA) and dicyclanil (4,6-diamino-2-cyclopropylaminopyrimidine-5-carbonaitrite; DC) purchased from Novartis, China.
Collection of metacercariae
Metacercariae of C. sinensis were collected from naturally infected freshwater fish Pseudorasbora parva as described previously [3]. The metacercariae were collected and then preserved in storing solution at 4°C until infection. Each of the mice was challenged with 30 metacercariae by intragastric intubation.
NDMA dose determination for C3H/He mice
To determine the dose of NDMA, C3H/He mice were divided into 4 groups containing 5 mice each and subjected to intraperitoneal injection (i.p.) of NDMA 3, 5, and 7.5 mg/kg thrice for 3 consecutive days (day 1, day 2, and day 3). Phosphate buffered saline (PBS) was injected in the control mice. They were observed for 5 months to monitor their survival (Supplementary Fig. S1).
Experimental design
A total of 95 male C3H/He mice were divided randomly into 8 groups: Group I (Ctrl.) 10 mice as uninfected control, Group II (Cs) 10 mice challenged with 30 metacercariae of C. sinensis at day 10 from the beginning of the experiment, Group III (NDMA) 10 mice with 3 intraperitoneal injections of NDMA (5 mg/kg) for 3 consecutive days, Group IV (DC) 10 mice with 1,500 ppm DC in drinking water from day 10, Group V (Cs+NDMA) 15 mice with Cs and NDMA, Group VI 10 mice with Cs and DC, Group VII (NDMA+DC) 15 mice with NDMA and DC, Group VIII (Cs+NDMA+DC) 15 mice with Cs, NDMA, and DC. The grouping and experimental design are summarized in Fig. 1. C. sinensis metacercariae were given to the respective groups with gavage intragastric intubation at day 10. DC was given with tap water and continues from day 10 to the end of the study. After 6 months (27 weeks), the mice were sacrificed and investigated for gross and histopathological changes. A mixture of xylazine (10 mg/kg; Bayer, Seoul, Korea) and zoletil-50 (30 mg/kg, Virbac, France) was injected into the muscle for anesthesia.
Gross observations
Measurement of body weight: Body weights of all mice were measured in every month and weight of the liver and spleen were measured at necropsy with an electronic balance (Sartorius, Germany).
Recovery of worms: After external observation, the livers were subjected to worm recovery process by applying gentle pressure from the periphery to the major bile duct then by slicing with 5 mm thickness.
Observation of mass forming lesions (MFLs): The livers of mice from all groups were observed grossly for the presence of any MFLs. After gross observation a representative portion of the liver was kept in neutral buffered formalin (buffered 10% formaldehyde, pH 7.2) for histopathologic analysis. Volumes of MFLs were calculated with following equation, V=1/2 (L×W2) as used to measure tumor volume [10], where, V=volume, L=length, and W=width of MFLs. In the present study, lesion’s volume higher than 100 mm3 was considered as MFL, and lesion’s volume lower than the above considered as nodule.
Histopathology
A portion from each liver after fixation was prepared for histopathological analysis. Paraffin sections of 4 µm thickness were processed for routine hematoxylin and eosin (H-E) staining. Serial paraffin sections of 4 µm thickness were processed for periodic acid Schiff (PAS) and diastase periodic acid Schiff (DPAS) staining following standard procedure.
RESULTS
Body and organ weights of different mouse groups
Body weights of mice were measured in every month (Supplementary Fig. S2). No significant changes of body weights were observed at base line (0 month), however, after 6 months significant reduction of body weight were observed in different groups such as Cs+NDMA (32.4±0.9 gm), Cs+DC (31.3±1.1 gm), NDMA+DC (31.7±1.3 gm), and Cs+NDMA+DC (31.4± 0.9 gm) groups relative to control (35.9±0.8 gm) (P<0.05; P<0.01; P<0.05 and P<0.01, respectively). Mice groups challenged with 2 or more agents have shown reduced body weight indicates their combine effects (Fig. 2A). No significant changes in liver weight were observed in any groups (Fig. 2B) but when liver weight percentages to body weights considered, there were increases in liver weights in the combination groups: Cs+NDMA (4.4%±0.6%), Cs+DC (4.7%±0.4%), NDMA+DC (4.1%±0.3%), and Cs+NDMA+DC (4.1%±0.4%) (P<0.01; P<0.01; P<0.05 and P<0.01 respectively) (Fig. 2C). The spleen weight and its percentage to body weight showed a significant decrease (0.1±0.0 gm, P<0.01; 0.2%, P<0.05 respectively) only in Cs+NDMA group (Fig. 2D, E). We also measured the length of spleen and observed average length 14.7±0.4 mm in control group but noticed enlargements in NDMA (16.3±0.5 mm, P<0.05) and DC (16.5±0.4 mm, P<0.01) groups.
Gross findings
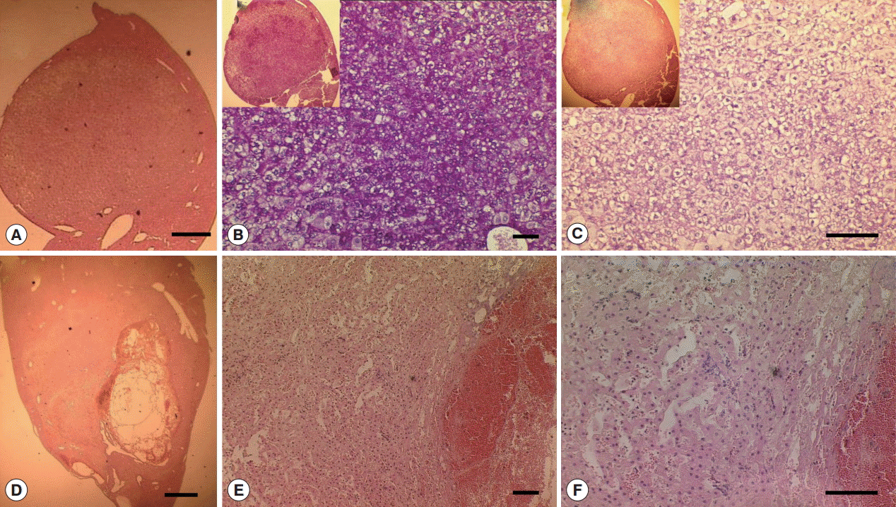
Grossly, all of the livers from all groups looked normal except 2 livers from 2 different groups. One liver from Cs and 1 from Cs+DC groups revealed large MFLs in the left (281.2 mm3) and caudate lobe (280.6 mm3) respectively (Fig. 3A, arrows). A gray-white nodule (10.9 mm3) adjacent to large MFLs also observed in Cs group. The large mass forming lesions from Cs group were caused by hepatocellular adenoma (Fig. 4). Small sized (range: 0.02-5.3 mm3) gray-white nodules observed on the liver surface were recorded in the present study and shown in supplementary files (Supplementray Fig. S3; Supplementary Table S1). The gray-white nodules were dominantly prevalent in Cs and Cs+NDMA+DC groups (42.9% and 21.4%, respectively). Highest mean intensity (1.7) of graywhite nodules was observed in Cs+NDMA+DC group and highest average volume (3.9±3.5 mm3) was observed in Cs group (Supplementary Table S2). No nodule was detected in NDMA, Cs+NDMA, DC, or uninfected control groups. Mechanical approach to recover the infected adult Cs worm was able to collect only 1 adult worm from a mouse of Cs+DC group suggests spontaneous expulsion of worms during the study period.
Histopathological findings
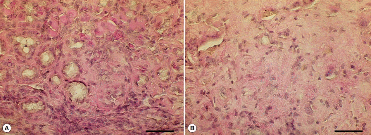
Histopathological examination revealed bile duct dilatation and proliferation of ductal epithelial cells in all C. sinensis infected groups (Cs, Cs+DC, Cs+NDMA, and Cs+NDMA+DC). Cs (b) group showed typical hyper-proliferative bile ducts due to C. sinensis infection. In Cs+NDMA+DC group, fibrotic zones were observed (Fig. 3B-h) and higher magnifications demonstrated hyperplastic changes and extensive fibrosis in these areas (Fig. 5; Supplementary Fig. S4), however, no CCA developed. The large mass forming lesions observed in Cs group confirmed as glycogen rich clear cell hepatocellular adenoma surrounded by eosin stained healthy hepatocytes. The mass contained clear cell hepatocytes rich in glycogen as revealed by PAS/DPAS staining (Fig. 6). The other mass forming lesions observed in Cs+DC group diagnosed as peliosis resulting from dilated sinusoid (Fig. 6). The center of this cystic lesion marked with coagulative necrosis without any inflammatory cells (Fig. 3B-f; indicated with asterisk). Blood filled cavities also evident from histopathology (Fig. 3B-f; arrow).
DISCUSSION
The present study aimed to establish a CCA mice model, but no C3H/He mice developed characteristic CCA changes in their liver. Utmost liver pathology was hyperplastic changes with extensive fibrosis only observed in the Cs+NDMA+DC group. Unexpectedly current finding indicates that C. sinensis might be related with hepatocellular adenoma or peliosis like pathological lesions in mice. The body weight of mice reduced significantly when challenged with 2 or more agents as observed in Cs+NDMA, Cs+DC, NDMA+DC, and Cs+NDMA+DC groups with an increase in liver weight percentage to body weight. Loss of body weight was measured as an assessment of disease progression. Weight loss in human and animals can be related with the carcinogenic progression [4,11,12]. Here, among the 8 groups, more than 10% weight loss was observed in the Cs+DC (10.8%) and Cs+NDMA+DC (10.5%) groups. The Cs+NDMA (7.6%) and NDMA+DC (9.7%) groups also showed significant weight loss. The present study also observed moderate hepatomegaly but not splenomegaly in the mice challenged with 2 more carcinogenic agents at sub-carcinogenic levels. Hepatomegaly with the infection of the liver fluke was reported in previous studies [4,13,14]. The hepatomegaly must have been an outcome of inflammation triggered by C. sinensis worm and/or chemical irritations caused by NDMA, and DC. The spleen weight was not correlated with liver weight which suggested rather mild immunoreactions. Though significant increase in the spleen length was noticed in the NDMA and DC groups, it was not in agreement with weights of the spleen, liver, or body. Other unknown reasons might be involved for such the change.
NDMA is a potent carcinogen [15] and has been reported for 50% mortality of mice (LD50) at 20 mg/kg intraperitoneal injection [16]. An earlier study showed that about 2 mg/kg/day dose of NDMA to C3H/He mice for 32 days causes promutagenic DNA lesion (O6-methylguanine) [17]. In a study, CBA mice were subjected to a single dose of NDMA (5 mg/kg) and kept the animals for 26 weeks but any apparent hepatocellular tumor was not observed [18]. In a liver fibrosis study, ICR strains of mice were subjected to 8 mg/kg dose of NDMA for 15 days at regular intervals (totaling 120 mg/kg) [19]. To keep the NDMA dose in sub-carcinogenic level we used 5 mg/kg dose thrice and kept the mice for a longer duration. We observed no dose-induced toxicity in the liver of NDMA groups by gross or histopathological observations. Both NDMA dose (totaling 15 mg/kg) and frequency in this study was rather less compared to that of most previous studies. Therefore, the present finding suggests that the C3H/He mice should receive higher dose of NDMA to be established as CCA mice model. Otherwise, any kind of genetic manipulation may be recommended simultaneously.
DC in most genotoxicity studies showed negative results [20], however, an 18-month long study demonstrated hepatocellular adenomas and carcinomas in mice with highly elevated incidence in females when allowed to consume 0.15% DC containing diet [21]. In another study, the same dose for 13 weeks was not carcinogenic for B6C3F1 gpt delta mice, which was produced by breeding C57BL/6 gpt delta and non-transgenic C3H mice [9]. The study observed predominant gpt GC:TA transversion mutations in the DC treated females probably due to 8-OHdG formation. In the present study with equivalent dose (1,500 ppm) of DC, we did not observe adenoma or carcinoma in the DC treated groups, which might be due to the fact that male mice are relatively resistant to DC-induced carcinogenicity [9]. There were chances that the mice consumed less amount of DC. Moreover, the water solubility and other physical properties may have influenced the effect of DC.
The present study observed MFLs and nodules particularly in the Cs group or in the Cs with one or both carcinogenic chemicals (NDMA, DC) groups. The mass lesions suggested a certain role of C. sinensis worms to produce the pathology. Though hepatocellular adenoma is a pathological event in DC treated mice [21], we observed it in a mouse of Cs group. The hepatocellular adenoma is a rare unexpected finding for C. sinensis infection. Among various types, it falls under the category of glycogen storage disease (glycogen rich clear cell hepatocellular adenoma). Moreover, the Cs+DC group showed peliosis which was also a noble instance for both C. sinensis and DC treatment. In the formation of peliosis, sinusoidal dilation created extensive pressure on surrounding blood vessel causing such ischemic damage. No CCA was evident from the Cs+ NDMA+DC group; however, it showed highest mean intensity and highest average volume of nodules. Other histopathological findings such as bile duct dilatation, hyperplasia was common in all C. sinensis infected groups but progressed to extensive fibrosis in Cs+NDMA+DC group. The histopathological findings suggest that the worms made the histological changes although most of the mice did not have the worms in their liver. Most of the inoculated worms invaded into the intrahepatic bile duct but could not survive and discharged within a few weeks after infection [6]. On the other hand, chemical treated groups (NDMA or DC alone) did not show any detectable changes revealed by histopathology.
Fibrosis is a wound healing response to chronic liver inflammation. Activated hepatic stellate cells (HSCs) or hepatic progenitor cells play a key role for the development of liver fibrosis. C. sinensis excretory-secretory products might activate those cells resulting expression of collagen I, a-SMA and MMP2 [22]. A recent study indicates that C. sinensis secreted calmodulin (CsCaM) can induce mild to moderate fibrosis when injected in rats [23]. The attenuating effect also observed by C. sinensis molecule, lysophospholipase A (CsLysoPLA) in in-vitro [22]. The chronic inflammatory response due to the presence of liver fluke in the biliary tree is well noted. Moreover, mechanical damage by worms can induce wound healing response of the host tissue.
Host susceptibility of C3H/He mice against C. sinensis was relatively higher than that of other mouse strains but overall mice susceptibility is low when compared to hamsters or rats [3]. Failure to detect adult worms except one suggested unfavorable immunological response in C. sinensis infected C3H/He mice against the parasite. During the study period, to assess the progression of CCA, histopathological examination of representative mice at regular intervals should be considered and the doses of NDMA and DC are better optimized.
Our study model using C3H/He mice challenged with C. sinensis, NDMA, and DC produces hepatocellular adenoma, hyperplastic changes, peliosis, and extensive fibrosis but not CCA. The C3H/He mouse is not a good experimental model of C. sinensis related CCA.



