INTRODUCTION
Calreticulin (CALR) was originally identified as an abundant and major calcium-binding protein located in the endoplasmic/sarcoplasmic reticulum in human cells [1,2] where it is retained due to the presence of a C-terminal KDEL retention sequence [3]. It was quickly established as an essential multifunctional protein of the endoplasmic reticulum with important roles in cellular calcium homeostasis and protein folding. However, it has also been found in the cytoplasm, the nucleus, on the cell surface, and released from the cell with effects for example on transcription regulation, cell adhesion and migration (reviewed in [4]). In recent years research has started to unravel the importance of calreticulin in the immune system and cancer [5–7] and it is this multitude of functions that suggests CALR as a significant research target in molecular parasitology. Indeed, within a short time after its discovery in mammalian cells calreticulin was also identified in human important helminths, blood fluke, and filarial, and Schistosoma mansoni CALR was the first characterized trematode ortholog [8,9]. The authors showed calcium-binding of the recombinant protein and demonstrated that the native protein was more abundant in mature worms and eggs compared to 18 hr schistosomula and cercariae. Immunolocalization detected the protein in parenchyma and intestinal epithelia, mature vitelline cells and ova were clearly labeled in females, and in males the testes were positive. The highly conserved ortholog of Schistosoma japonicum was described some years later and its calcium-binding property demonstrated [10,11]. A transacetylase activity of Haemonchus contortus CALR was described [12,13]. The present study is a basic characterization of the molecular and biochemical properties of O. viverrini CALR and demonstrates its calcium-binding and chaperoning properties. Spatial distribution suggests that it has important roles throughout the reproductive system of the parasite and that further research should investigate possibilities to decrease parasite fecundity based on inhibition of OvCALR.
MATERIALS AND METHODS
Parasites
O. viverrini metacercariae were isolated from naturally infected cyprinoid fish in the northeast of Thailand. Newly excysted juveniles (NEJ) were obtained by mechanically excysting metacercariae using a disposable needle. Syrian golden hamsters were infected with 50 metacercariae by intragastric intubation. Juvenile and mature parasites were harvested from the biliary system of the infected hamsters at 2, 4, and 8-week postinfection. The collected parasites were washed in 0.85% NaCl and kept in liquid nitrogen. All animal experiments in this research were approved by the Animal Ethics Committee of Thammasat University (no. 014/2557) in accordance with the Ethics of Animal Experimentation of the National Research Council of Thailand.
Molecular cloning and sequence analysis
Total RNA was extracted from adult O. viverrini using TRIzol reagent (Invitrogen, Carlsbad, California, USA), treated with DNase (Promega, Madison, Wisconsin, USA) and 100 ng was used for first strand cDNA generation using RevertAid reverse transcriptase (Thermo Scientific, Vilnius, Lithuania) and an oligo (dT) 18 primer. The reverse transcription product was used as template to amplify a cDNA fragment containing the coding sequence of O. viverrini calreticulin (OvCALR) by conventional PCR at 55°C annealing, 68°C extension temperature using the specific forward primer 5′-gct agc GAG GTT TAC TTT TAT GAA C-3′ and reverse primer 5′-gcg gcc gcA AGT TCT TCA TGG GTC TTC G-3′ based on an uncharacterized OvCALR expressed sequence tag (Ov_Contig3944, [14]).
A cDNA encoding calreticulin of mouse (MmCALR) was cloned by RT-PCR as described above from mouse total RNA using primers designed on database entry GenBank: NM_007591, forward primer 5′-cat atg GAC CCT GCC ATC TAT TTC-3′, reverse primer 5′-ctc gag CAG CTC ATC CTT GGC TTG G-3′. The PCR products were inserted into the pGEM®-T Easy vector (Promega) and the nucleic acid sequences of the OvCALR and MmCALR cDNAs were verified by DNA sequencing. The introduced Nhe I and Not I (OvCALR) and Nde I and Xho I (MmCALR) restriction endonuclease recognition sites (lower case) in forward and reverse primers, respectively, were later used to subclone the cDNA fragments into the pET21b(+) vector (Novagen, Darmstadt, Germany) for expression of recombinant protein. Analyses, retrieval, and editing of sequences were done using EMBOSS 6.6 [15], Clustal Omega 1.2.3 [16], SignalP 4.1 [17], PROSITE release 20.128 [18], BLAST services at http://blast.ncbi.nlm.nih.gov/Blast.cgi, UniProt database [19] at http://www.uniprot.org, NCBI nucleotide database at http://www.ncbi.nlm.nih.gov/nucleotide.
Preparation of O. viverrini total RNA and RT-PCR
Total RNA was extracted from NEJ, 2-, 4-, and 8-week-old O. viverrini and used for RT-PCR as described above. The specific primers for OvCALR were 5′-CCG GAC AAC AAA TTC AAG GT-3′, 5′-ATC AAA CAC GGA TCC AGA GG-3′. O. viverrini actin (OvActin) was used as internal control and amplified with primers 5′-TCG AGA GAA GAT GAC ACA GA-3′, 5′-GAT ATC ACG CAC GAT TTC TC-3′. The RT-PCR products (OvCALR: 453 bp, OvActin: 292 bp) were resolved on a 1% agarose gel.
Expression of recombinant OvCALR, mouse CALR in Escherichia coli, and production of rOvCALR antisera in mice
The plasmids pET21b(+)-OvCALR and pET21b(+)-MmCALR were introduced into E. coli Rosetta-gami (DE3) pLysS by standard chemical transformation. Single positive colonies verified by small-scale screening were inoculated in 5 ml Luria-Bertani (LB) medium containing 100 μg/ml ampicillin, 34 μg/ml chloramphenicol, 12.5 μg/ml kanamycin and 3.125 μg/ml tetracycline, and incubated at 37°C with shaking, overnight. On the next day, 100 ml LB medium containing antibiotics as above was inoculated with 2 ml of the overnight culture and grown at 37°C, 250 rpm shaking until an OD600 of 0.6. The expression was induced by isopropyl-β-D-1-thiogalactopyranoside (IPTG) (Fermentas, Vilnius, Lithuania) at a final concentration of 1 mM and the culture continued overnight. The bacterial cells were harvested by centrifugation at 4,000 g, 4°C for 20 min. The recombinant proteins were purified by Ni-NTA affinity chromatography (QIAGEN, Hilden, Germany) under native conditions following the manufacturer’s instruction. The purified proteins were dialyzed against phosphate buffered saline (PBS), pH 7.2 and protein concentration was determined by a Bradford assay (Bio-Rad, Richmond, California, USA).
Three female ICR mice, 6–8 week-old, were intraperitoneally immunized with 10 μg rOvCALR per mouse 3 times in a 3-week interval. The antigen was prepared by mixing equal volumes of rOvCALR and Titer Max Gold Adjuvant (Sigma, St. Louis, Missouri, USA). The pre-immune sera were collected 1 week before immunization as control sera and the final antisera were collected 2 weeks after the last immunization.
Immunohistochemistry
Freshly collected adult parasites were fixed by methacarn fixation and embedded in paraffin. The embedded tissue was cut in 8 μm-sections on a microtome and mounted on gelatin-coated microscopic slides. The parasite sections were deparaffinized twice in xylene and rehydrated in a series of decreasing alcohol concentrations. Antigen retrieval was performed by heating the sections in 10 mM sodium citrate, pH 6.0, 0.05% Tween 20. Non-specific binding sites were blocked by incubation in 1% glycine and 4% BSA in PBS, pH 7.2 each for 30 min at room temperature. After blocking, the parasite sections were incubated with either mouse anti-rOvCALR antiserum or pre-immune serum (1:2,000) in 1% BSA in PBS, pH 7.2 at 4°C overnight. Endogenous peroxidase activity was blocked by incubating sections in 3% H2O2 (Merck, Hohenbrunn, Germany) in the dark at room temperature twice for 10 min. The sections were then incubated in biotinylated polyclonal rabbit anti-mouse immunoglobulin (1:200) (Dako, Copenhagen, Denmark) at 37°C for 1 hr. Following washes, the avidin-biotin complex (ABC) peroxidase staining kit (Thermo Scientific, Rockford, Illinois, USA) and the chromogenic substrate 3-amino-9-ethyl carbazole (AEC) (Vector, Burlingame, California, USA) were used for standard colorimetric detection. The reaction was stopped by washing in PBST (10 mM PBS, pH 7.2, 0.1% Tween 20).
Parasite crude worm extract preparation
Adult parasites were homogenized in 10 mM PBS, pH 7.2, 150 mM NaCl, 0.5% (v/v) Triton X-100, 1 mM PMSF, 1 mM EDTA at 4°C. The homogenate was centrifuged at 12,000 g, 4°C for 15 min to remove insoluble material. The supernatant was collected as soluble crude worm extract. The pellet was solubilized in 50 mM Tris-HCl, pH 8.0 and 3% (w/v) SDS at 37°C for 1 hr and then centrifuged at 12,000 g for 15 min. The supernatant was collected as insoluble crude worm extract. The protein concentration of the extracts was measured by a BCA protein assay kit (Thermo Scientific).
SDS-PAGE and western analysis
Fifteen μg each of soluble and insoluble parasite crude worm extract and 100 ng each of recombinant OvCALR, MmCALR, and SjGST-OvCALR C-domain were size-separated by 12.5% Tris-glycine SDS-PAGE and transferred to nitrocellulose membranes (Bio-Rad) by semi-dry blotting. Unspecific binding sites on the membranes were blocked in 5% skim milk (Thermo Fisher Scientific) in Tris-buffered saline (TBS, 150 mM NaCl, 20 mM Tris-HCl, pH 7.5) at room temperature for 1 hr with gentle shaking. Mouse anti-rOvCALR antiserum and mouse pre-immune serum were diluted 1:3,000 in 1% skim milk in TBS. Each membrane was submerged in one of the antibody dilutions and incubated at 4°C with gentle shaking, overnight. On the next day, the membranes were washed 3 times for 5 min each in washing buffer (TBS, 0.05% Tween-20) and then incubated with goat anti-mouse IgG (whole molecule)-alkaline phosphatase (Sigma) at dilution 1: 30,000 in 1% skim milk in TBS at room temperature with gentle shaking, 1 hr. Following 3 washes in washing buffer for 5 min each, the membranes were equilibrated in detection buffer (0.1 M Tris-HCl, pH 9.5, 0.1 M NaCl, and 50 mM MgCl2) for 5 min. Finally, BCIP/NBT substrate (Amresco LLC, Solon, Ohio, USA) was added, and the membranes were incubated in the dark until the signals were obtained.
Citrate synthase aggregation assay
Citrate synthase aggregation assays have been previously used to demonstrate the chaperoning properties of calreticulin (for example [20]). Citrate synthase (Sigma) at 1 μM final concentration was mixed with rOvCALR at final concentrations of 0.25–1 μM in PBS, pH 7.2 in a total reaction volume of 200 μl. Recombinant MmCALR and BSA (Sigma) were used as positive and negative controls, respectively, at 1 μM final concentration. The assay was performed in duplicate in a 96-well UV-transparent plate (Thermo Scientific). The samples were incubated at 45°C and citrate synthase aggregation was monitored by measuring light scattering at 360 nm, every 10 min for 1 hr on a Varioskan Flash spectral scanning multimode reader (Thermo Scientific, Waltham, Massachusetts, USA).
Calcium-binding assay of OvCALR C-domain
The 12 kDa OvCALR C-domain, comprising the C-terminal 106 amino acids, was expressed in E. coli in fusion with S. japonicum 26 kDa GST (SjGST) to analyze its calcium binding activity. The encoding 321 bp cDNA fragment (including the stop codon) was amplified by PCR using the complete OvCALR cDNA as template with forward primer 5′-gaa ttc GAT GAT ATT GCT CAT GTT G-3′ and reverse primer 5′-gcg gcc gcT TAA AGT TCT TCA TGG GTC-3′. The introduced EcoR I and Not I restriction endonuclease recognition sites (lower case) were used to subclone the cDNA fragment into pGEX-5X-1 (GE Healthcare). Following verification of the inserted cDNA sequence recombinant SjGST-OvCALR C-domain and SjGST were expressed in transformant E. coli BL21 and purified by affinity chromatography on Glutathione-Superflow Resin (Clontech, Palo Alto, California, USA). The concentration of the purified proteins was measured by a Bradford assay (Bio-Rad). The potential calcium-binding of OvCALR was analyzed by a mobility shift assay in native PAGE. Five micrograms of rSjGST-OvCALR C-domain, recombinant FgCaBP1 (positive control, [21]) and rSjGST (negative control) were incubated with either CaCl2 or EDTA at 1 mM final concentration on ice for 20 min. The samples were mixed with sample buffer (60 mM Tris-HCl, pH 6.8, 10% glycerol, 0.025% Bromophenol Blue, 0.5% DTT) and resolved on 8.5% polyacrylamide gels. Sample buffer, gel and electrophoresis running buffer (25 mM Tris, 192 mM glycine, pH 8.3) were supplemented with either CaCl2 or EDTA at 1 mM final concentration.
OvCALR transacetylase activity assays
Transacetylase activity of OvCALR was tested by inhibition of GST in the presence of 7-acetoxy-4-methylcoumarin (7-AMC, Sigma, Switzerland) as previously described [22,23]. Recombinant SjGST (see the above section) at an amount of 0.5 μg was mixed with 2 μg rOvCALR or rMmCALR (see the previous section) and 250 μM 7-AMC in 0.25 M potassium phosphate buffer, pH 6.5, 1 mM EDTA at a final reaction volume of 20 μl. The samples were incubated at 37°C and GST activity was measured in triplicate after 15, 30 and 45 min as follows. The samples were mixed with 180 μl substrate solution (1 mM 1-chloro-2,4-dinitrobenzene (CDNB, Sigma-Aldrich, Poole, Dorset, UK), 2 mM reduced glutathione (Serva, Heidelberg, Germany) in 0.25 M potassium phosphate buffer, pH 6.5). Absorbance at 340 nm was read every 60 sec for 10 min on a Varioskan Flash Spectral Scanning Multimode Reader (Thermo Scientific). Parallel measured samples containing either rSjGST alone or rSjGST/7-AMC, rSjGST/rOvCALR, rSjGST/rMmCALR were used to determine GST activity unaffected by calreticulin-caused transacetylation. Control samples containing only substrate solution (see above) were used to determine background values at each time point. Linear regression analysis of the background-corrected values was performed in Prism 6 (GraphPad Software, Inc., San Diego, California, USA). Slope values from all measurements were used to calculate relative GST activity.
Western analysis was performed following incubation of 0.5 μg rSjGST with or without 2 μg OvCALR in the presence of 50–250 μM 7-AMC in 0.25 M potassium phosphate buffer, pH 6.5, 1 mM EDTA at a final reaction volume of 20 μl, 37°C for 40 min. The samples were resolved by SDS-PAGE and transferred onto a nitrocellulose membrane as described above. A rabbit anti-acetylated lysine antibody (Cell signaling, Danvers, MA, USA) at dilution 1:1,000 in TBS, pH 7.5, 5% BSA, 0.1% Teen-20 was used for detection at 4°C, overnight. Alkaline phosphatase-conjugated goat anti-rabbit IgG antibody (Dako) at dilution 1:1,000 was used as secondary antibody at room temperature for 1 hr. Colorimetric detection was performed with BCIP/NBT substrates as described above.
RESULTS
Molecular cloning and sequence analysis
An uncharacterized cDNA encoding O. viverrini calreticulin (OvCALR) was identified by a BLAST search of the parasite’s transcriptome data [14] with the described homologs from S. mansoni [8] and S. japonicum [11]. Reverse transcription of adult stage RNA was used to amplify the 1,248 bp open reading frame of this cDNA. The confirmed sequence encoded the complete O. viverrini pre-calreticulin (415 amino acids) carrying a 16 residues signal peptide (SignalP 4.1). The mature protein has a calculated molecular weight of 46.2 kDa and an isoelectric point of 4.3. Sequence conservation is high to the ortholog in Clonorchis sinensis at 96.6% identity but significantly less to S. mansoni (57.7%), S. japonicum (53.6%), and mammalian calreticulin (human 50.9%, mouse 50.7%). Decreased sequence conservation between these proteins can be observed towards their N- and C-termini (Fig. 1). The 3 characteristic domains which comprise the major structural and functional features of calreticulin are present. Residues in the globular N-terminal domain that have been shown to play a role in the chaperoning property of calreticulin are conserved as are the disulfide bond forming cysteines in this domain. The 2 tandem repeated motifs of the arm-forming proline-rich P-domain are present in 3 copies each. The binding region of protein disulfide-isomerase ERp57 at the tip of the P-domain is highly conserved, and the acidic C-domain carries a consensus sequence-fitting (PROSITE: ER_TARGET) terminal endoplasmic reticulum retention signal (HEEL, Fig. 1).
Recent publication of the parasite genome data [24] allowed to compare the exon/intron organization of the human and parasite CALR genes. The coding sequence of OvCALR is contained in a 1,371 bp fragment of genomic DNA (nucleotides 39198-37828 of GenBank no. JACJ01026242.1) that carries 3 small introns of 46, 39, and 38 bp size at positions 80–125, 447–485, and 716–753, respectively. Intron 1 separates the signal peptide encoding sequence from the remaining sequence, and an intron at this position is also present in the human CALR gene. Likewise, the position of intron 3 is conserved between the parasite and human genes. Intron 2 is only found in the parasite gene while the human gene is interrupted by 6 additional introns not present in the parasite gene.
Expression of OvCALR RNA
OvCALR RNA was present in NEJ, 2-, 4-, and 8-week-old parasites (Fig. 2). The control, OvActin showed constant expression across the analyzed stages while OvCALR was clearly less abundant in NEJ.
Western analysis of OvCALR
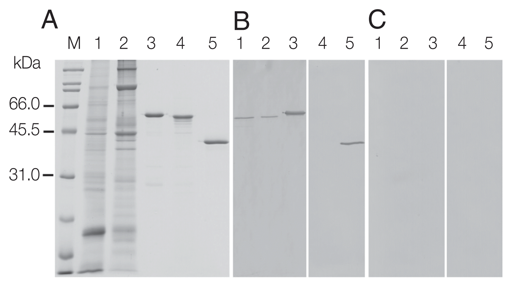
Recombinant OvCALR, MmCALR, and SjGST-OvCALR C-domain were expressed in soluble form in Escherichia coli and purified by affinity chromatography (Fig. 3A). Recombinant OvCALR was used to produce antigen-specific polyclonal antisera in mice. Western analysis showed that anti-rOvCALR antiserum was not cross-reactive to rMmCALR while it detected the rOvCALR and rSjGST-OvCALR C-domain (Fig. 3B). Unlike the related calnexin which is a membrane-bound chaperone, calreticulin is a soluble chaperone of the ER. Accordingly, native OvCALR was readily detected in soluble crude worm extract and faintly in the insoluble crude worm preparation. A slow gel migration at around 55 kDa has been observed and discussed in early analyses of mammalian calreticulin (for example in [1]). Likewise, OvCALR and native OvCALR migrated slower than expected from their calculated molecular weight comparable to rMmCALR. The mouse pre-immune sera did not show any reactivity to recombinant and native proteins (Fig. 3C).
Tissue distribution of OvCALR in adult parasites
Sections prepared from paraffin-embedded mature parasites were probed with anti-rOvCALR antiserum. Immunostaining was obvious in the tegumental cell bodies but did not extend to the tegumental syncytium and was also absent in the beneath located muscle layers while the parenchyma showed only punctate staining suggesting the presence of only small amounts of OvCALR in the endoplasmic reticulum. The cecal epithelium was stained. The most intense staining was observed in several parts of the reproductive system, in testes and ovary, prostate gland and Mehlis’ gland, and vitelline cells. In the eggs, staining intensity during embryogenesis decreased towards the distal uterus (Fig. 4).
Calcium-binding of rOvCALR C-domain
In mammals, the C-domain of calreticulin has a high content of acidic residues (42.6% in HsCALR) and has been characterized as a high capacity/low affinity calcium-binding domain [25]. In comparison the OvCALR C-domain has a reduced number of acidic residues (33.0%) and its sequence conservation to HsCALR is low at only 33% identity. To test whether the OvCALR C-domain was still able to bind calcium the recombinant domain in fusion with S. japonicum glutathione S-transferase (SjGST) was incubated with either calcium or EDTA and resolved by native PAGE in the presence of either calcium or EDTA in the running buffer (Fig. 5). SjGST was used as negative control and the EF-hand motif containing Fasciola gigantica calcium-binding protein 1 (FgCaBP1, [21]) was used as positive control. The observed shift in the migration of the OvCALR C-domain demonstrates its ability to bind calcium. Unlike FgCaBP1 with its high affinity calcium-binding EF-hands the OvCALR C-domain requires the presence of calcium in the running buffer to observe this effect which supports the low affinity binding observed in mammalian calreticulin.
Chaperoning activity of rOvCALR
Folding and stabilization of proteins in the ER is a major function of calreticulin. A protein aggregation assay based on citrate synthase has been used to demonstrate the protective function of calreticulin from diverse organisms [20,26,27]. The results of this in vitro assay demonstrate that rOvCALR has similar protective function as rMmCALR suppressing aggregation of the enzyme at higher temperature (Fig. 6).
Transacetylase activity of OvCALR
Transacetylase activity as previously reported for calreticulin of H. contortus [12,13] was analyzed using 7-acetoxy-4-methylcoumarin (7-AMC) as substrate [28] for OvCALR-mediated modification of rSjGST. Recombinant OvCALR and rMmCALR suppressed GST activity without 7-AMC while 7-AMC alone reduced GST activity at a lesser amount (Fig. 7A). The combination of calreticulin and 7-AMC appeared to show additive suppressive activity. Further investigation by western analysis with an anti-acetylated lysine antibody demonstrated acetylation of GST by 7-AMC in the absence of calreticulin (Fig. 7B). Direct acetylation through 7-AMC was also observed for BSA and a recombinant F. gigantica fatty acid binding protein (data not shown).
DISCUSSION
The present work demonstrates that OvCALR has basic properties comparable to human calreticulin, i.e., calcium-binding and chaperoning. The high-capacity but low-affinity Ca2+-binding property of the OvCALR C-domain was shown (Fig. 5) but not the high-affinity Ca2+-binding in the site formed by residues Q26, K62, K64, and D328 in human calreticulin (Fig. 1). The latter site was detected in structural analyses of calreticulin [29,30] and confirmed previous data for human calnexin in which residues S75 (Q26 in HsCALR), D118 (D63 in HsCALR), K119 (K64 in HsCALR), and D437 (D328 in HsCALR) were implicated in Ca2+-binding [31]. This site is supposedly important for structural stability of the 2 proteins, and the trematode calreticulins show conservation of the involved acidic residues (Fig. 1) suggesting that they, too, bind a calcium ion in this site.
Calreticulin is known as a soluble endoplasmic lectin that interacts with monoglucosylated oligosaccharides of glycoproteins during folding, but it can also interact and protect non-glycosylated proteins. High sequence conservation of residues involved in carbohydrate-binding (Fig. 1) [29] suggests that OvCALR and other trematode orthologs have the same ability. The citrate synthase assay demonstrated the ability of OvCALR to bind non-glycosylated proteins and to protect them from aggregation (Fig. 6). The binding site for non-glycosylated proteins has been mapped by deletion-analysis to the globular lectin domain using the same assay [27] indicating correct folding of rOVCALR in the required region of the N-domain.
As can be expected from the high conservation of the protein disulfide-isomerase-binding site in the P-domain homologous ERp57-like proteins can be found among the uncharacterized proteins of O. viverrini (UniProt no. A0A095A463) and other trematodes, e.g., S. mansoni (UniProt no. P38658) suggesting conservation of the protein folding process in mammalian host and parasite. A transacetylase activity has been described for calreticulin (reviewed in [32]) and mapped to the P-domain of the protein. Unexpectedly, the described inhibition of glutathione S-transferase (GST) by transacetylation through H. contortus calreticulin [12,13] could not be observed in rOvCALR and rMmCALR (Fig. 7). Our data suggests that 7-AMC causes direct acetylation of proteins which in case of GST leads to some activity loss. More important is the observed loss of GST activity caused by calreticulin which is possibly due to chaperoning effects.
Concerning the observed tissue distribution of OvCALR, it can be assumed that the intensely stained cells are highly active in expression of proteins destined for secretion, endosomes, and/or membranes and, therefore, require more calreticulin than less active or dormant cells. Continuous tegumental membrane turnover [33] and release of proteolytic enzymes from the cecal epithelium [34,35] explain the abundance of calreticulin in these tissues. Confinement of staining to tegumental cell bodies supports the role of OvCALR as endoplasmic chaperone, there was no staining in the cytoplasmic connections to the syncytial tegument or the tegument itself. Likewise, high output of secretory products in accessory glands of the reproductive system and rapid cell divisions at large scale in gametogenesis necessitate high chaperoning activity. Absence of a developed and active reproductive system can also explain the lesser amount of OvCALR RNA in NEJ (Fig. 2) and similar findings were reported for 18 hr schistosomula and cercariae of S. mansoni [9]. It could be expected that suppression of OvCALR will significantly affect development, reproduction, and survival of the parasite in the human host. Indeed, in mouse calreticulin deficiency led to embryonic lethality [36,37]. Remarkably, in Caenorhabditis elegans this was not the case with only reproduction defects observed in mature worms [26]. A later study demonstrated that upregulation of heat shock protein-70 and protein disulfide-isomerase compensated for a loss of calreticulin and/or calnexin in C. elegans [38]. As such it remains to be analyzed whether O. viverrini and other trematodes depend on calreticulin/calnexin or have developed a similar safety mechanism. Future analyses could include knock down of calreticulin to determine its importance for the parasite. In addition, we are interested to learn whether OvCALR, if exposed to the host, has any effect on bile duct pathology.



