INTRODUCTION
Toxoplasma gondii is an obligate intracellular parasite infecting almost all kinds of warm-blooded animals that pose a threat to the public human health and livestock production [1]. Human infection rate of T. gondii has been rising from 7.94% in 2010 to 9.69% in 2017 in China [2]. Toxoplasmosis is crippling to immunodeficiency population, organ transplantation recipients, pregnant women and the developing fetus [3]. Moreover, T. gondii infection is also associated with increased risk of psychosis [4–6].
T. gondii has a complex life cycle. Feline is the only definitive host and can excrete millions of environmentally resistant oocysts which can spread among many other hosts. Cats play a crucial role in the epidemiology of toxoplasmosis. In China, the number of cats ranked the world’s second largest, and the number of domestic cats was approximately to 53 million (http://www.mapsofworld.com/world-top-ten/countries-with-most-pet-cat-population.html). Simultaneously, T. gondii infections are also common in cats in China, the seropositive rate was up to 79.4% in some areas [7,8], much higher than the worldwide average (30 to 40%) [9–13]. Further, Chinese I (ToxoDB#9) is the major epidemic T. gondii strain prevalent in humans and animals in China, it shows a unique genotype, and has distinct difference from the classical classification clonal lineages I, II, and III, which are mainly prevalent in Europe, Africa, and North America [14,15]. Thus, the transmission of Chinese I strain probably more easily occurs among cats and humans. Dong et al. [16] also confirmed that Chinese I oocysts had led to outbreaks of clinical toxoplasmosis in pigs and humans. However, there is a lack of vaccines, drugs and effective strategies to block oocysts excretion due to the lack of appropriate experimental models.
TgCtwh6 strain was isolated from cats in Wuhan city in 2011 and identified to be Chinese 1 genotype [17]. The virulence of TgCtwh6 is moderate between the RH strain and Pru strain. It is able to form brain cysts and cause latent infection in mice [18]. Up to date, the development process of TgCtwh6 in cats and the efficiency of oocysts excretions are unknown. There is little information about the initial mechanism of sexual reproduction of Chinese I strain in cat IECs.
This study established 2 infection systems of IECs infected with TgCtwh6 strain in vitro and in vivo, respectively, under laboratory conditions. Growth and development of TgCtwh6 in cat IECs were observed and the oocyst excretion efficiency was detected. Our study provides a feasible cell model and an efficient infection system serving for molecular mechanism studies of T. gondii sexual reproduction and could be applied to establish an oocyst detection method to control feline toxoplasmosis.
MATERIALS AND METHODS
Ethics
All animal experimentation were carried out according to the International Guiding Principles for Biomedical Research Involving Animals, as issued by the Council for the International Organizations of Medical Sciences and the guidelines set by the Institutional Animal Care and Use Committee of Shandong First Medical University (approval number: w202103030088, w202103030118). Cats were narcotized by Lidocaine Hydrochloride injection, and then intestinal tissue of 2 cm long was removed by surgery, and cats were well taken care of and treated.
Animals and Toxoplasma strains
Five 3-month-old and one new born cats and Kunming (KM) mice (4 to 5 weeks old) were purchased from Pengyue Experimental Animal Breeding Co. (Jinan, Shandong, China) with the animal license number SCXK(Lu)20190003. All cats were verified to be seronegative for T. gondii by using the modified agglutination test (MAT) with free of gastrointestinal disease, feline immunodeficiency virus, and feline leukemia virus. All cat intestinal tissues in this study were acquired by surgery.
T. gondii Chinese 1 genotype, Wh6 strain (TgCtwh6), was kindly provided by Prof. JL Shen (Anhui Medical University, Hefei, China).
Resuscitation of cat IECs
Primary cat IECs were isolated and cultured as previously described [19]. The IECs stored in liquid nitrogen were immediately placed in a 37°C water bath for 2 to 3 min until it was completely melted. After thawing, the contents were aseptically removed into 10 ml of fresh IECs-DMEM medium supplemented with 2.5% fetal bovine serum (FBS), 5 μg/ml of insulin, 10 ng/ml of epidermal growth factor, 100 U/ml of penicillin, and 100 mg/ml of streptomycin, and then centrifuged at 1,200 rpm for 3 min. Cell pellets were resuspended with 10 ml fresh IECs-DMEM medium, and transferred into a T-25 tissue culture flask, incubated in a 37°C incubator with 5% CO2. The fresh cultural medium was changed every 2–3 days. Identification of cat IECs was conducted by using immunohistochemistry.
Preparation of brain tissue cysts and bradyzoites
KM mouse was orally infected with 30 cysts to prepare brain tissue cysts. After 42 days, the brain tissue cysts detected under the microscope were removed, washed in cold PBS, and were purified using Percoll (Sigma, St. Louis, Missouri, USA) gradients according to previously described [20]. The purified brain tissue cysts were digested by 0.25% tryptase for 1 min at 37°C. Bradyzoites were centrifuged at 3,000 rpm for 10 min and resuspended in DMEM medium with 3% FBS.
In vitro infection cat IECs assay
Cat IECs were inoculated into 6 well plates. After cells reached 80% or more confluency, the prepared-bradyzoites of TgCtwh6 were seeded to cells at ratios of 1:10 and allowed to grow for 8 days. The co-cultured cat IECs were washed with PBS, fixed with 4% paraformaldehyde, and stained with Wright-Giemsa at different time points of infection.
Identification of parasites in vitro-cultured cat IECs
The parasites released from cat IECs were collected for RNA extraction with TRIzol, and cDNA was synthesized using the Takara PrimeScript 1st Strand cDNA Synthesis Kit (Takara, Japan) with random 6 primers. Bradyzoite antigen1 (TgBAG1, TGME49_259020) was used as a marker for detecting bradyzoites, dense granule protein 11B (TgGRA11B, TGME49_ 237800) was used as a marker for detecting merozoites, and surface antigen 1 (TgSAG1, GenBank: AAO61460.1) was used as a marker for tachyzoites. Equal amounts of cDNA were used as a template for each PCR reaction, and the PCR products were examined on 1.1% agarose gel. Primer sequences were listed as Table 1.
In vivo infection assay and examination of Toxoplasma oocysts
The mice brain tissue cysts were fed to 5 cats (600 cysts per cat). All cat feces were collected daily and the production of oocysts was monitored by microscopic examination and PCR using T. gondii-specific target genes (529 bp repetitive sequence and B1 gene). Oocyst DNA was extracted from cat feces using the QIAamp Fast DNA Stool Mini Kit (Qiagen, Hilden, Germany) as previously described [21]. Two sets of T. gondii specific primers (Supplementary Table S1) were used in separate PCR reactions [22]. PCR products were detected by 1.1% agarose gels with ethidium bromide staining. The PCR products were sequenced, and the results were subjected to nucleotide BLAST analysis.
Detection of Toxoplasma schizonts by IHC and IFA
The 2 cm-long intestinal tissues were separated from cats, once oocysts appeared in their faeces. The schizonts within separated feline intestinal tissues were detected by IHC and IFA.
For IHC evaluations, the intestinal tissues were treated as following: fixation, paraffin embedding, sections, deparaffinization, peroxidase blocking, and antigen retrieval, deparaffinized, peroxidase blocked, antigen retrieval. The sections were incubated with the mouse serum infected with T. gondii at 1:10 dilution. Subsequently, sections were incubated with horse reddish peroxidase-conjugated anti-mouse IgG (1:200 dilution) at 25°C for 50 min. Sections were stained with 4′, 6-diamidino-2-phenylindole dihydrochloride (DAB) chromogen. Finally, sections were counterstained with hematoxylin. Sections were observed under microscope.
For IFA, slides were incubated with the serum of mice infected with T. gondii (1:10 dilution), after which sections were incubated with secondary antibody cyanine dye CY3 (1:200 diluted). The slides were counterstained with 2-(4-Amidinoph enyl)-6-indolecarbamidine dihydrochloride (DAPI) solution in a dark place, and added spontaneous fluorescence quenching reagent to terminate reactions after washing. Microscopy images were obtained by fluorescent microscopy.
RESULTS
TgCtwh6 invades in vitro cultured cat IECs
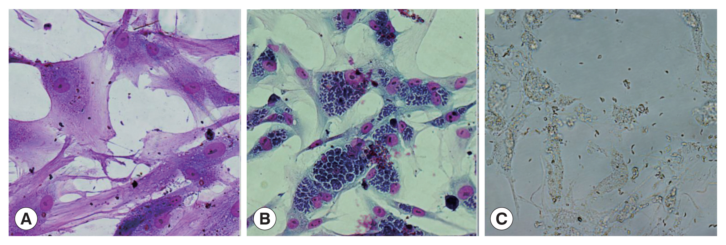
The cat IECs derived from our primary culture system [19] were successfully resuscitated, with reliable morphology and clear cell boundaries (Supplementary Fig. S1A-C). The cells attached to the wall of cell culture flasks within 24 h and then grow rapidly, exhibited a typical fusiform shape of epithelial cells, thus could be characterized by cytokeratin 18-IHC (Supplementary Fig. S1A-C). The purified-parasites from infected KM mice brain tissue (Supplementary Fig. S1D-F) were seeded to the IECs. After 36 h, the parasites entered into IECs and were bordered by vesicle structure with strong light transmittance that looked like parasitophorous vacuoles (PV) (Fig. 1A). After 5 days of infection, a large number of parasites formed rose-like structures within cat IECs (Fig. 1B), and began to escape from host cells. After 8 days of infection, almost all of the host cells burst and the parasites dissociated (Fig. 1C). However, none of schizonts and gametocytes were observed in this system.
TgCtwh6 undergoes asexual reproduction in vitro-cultured cat IECs as tachyzoites
The total RNA of parasites harvested from the above culture system was extracted and cDNA was synthesized. Using the cDNA as a template, PCR was done. PCR results showed that the bands of bradyzoite-specific gene (TgBAG1) and merozoite-specific gene (TgGRA11B) could not be amplified, but the band of tachyzoite-specific gene (TgSAG1) was clearly detected (Fig. 2), indicating that the intracellular parasites were tachyzoites.
Development of T. gondii in cat enterocyte cell layer
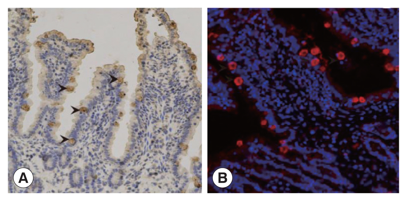
Three to five days after infection, T. gondii oocysts were identified in the feces of infected cats (Supplementary Fig. S2). IHC results showed that intestinal villus separated from the infected cats were intact. The enterocytes close to the intestinal cavity were transparent with intact integrity and contained brownish yellow schizotypal structures (Fig. 3A). In addition, many round or oval schizotypal structures were detected in cat enterocyte cell layers (Fig. 3B), indicating that sexual reproduction of T. gondii could be successfully initiated in cat IECs in vivo.
DISCUSSION
Our results showed that TgCtwh6 was able to invade cat IECs under the experimental conditions. We had successfully observed the entire intracellular asexual reproduction process of TgCtwh6 tachyzoites in host cells in vitro. The parasite formed rose-like structures within cat IECs, which is consistent with a previous report [23]. This result indicated that cat IEC system is stable and suitable to be an experimental model. However, the sexual reproduction of TgCtwh6 was not observed, because schizonts and gametocytes associated with sexual reproduction did not emerge in our vitro cultured cells. Our result is also consistent with a previous study, which suggested that T. gondii sexual development did not occur unless the in vitro cultured cat IECs were supplemented with linoleic acid [24]. Our result demonstrated that the parasites might accomplish the whole intracellular asexual reproduction process without linoleic acid, and that cat IECs are not the only determinant that leading cats to be the definitive host of T. gondii.
Our in vivo results showed that TgCtwh6 easily entered into sexual reproduction in all orally infected cats. It successfully generated schizonts in IECs of infected cats. Moreover, TgCtwh6 oocysts were excreted with higher efficiency rate than naturally infected cats. A previous epidemiological study [15] suggested that no more than 1% cats naturally infected with T. gondii could excrete oocysts. The efficiency of oocysts excretion was only 4% for naturally infected cats from Kunming Province and no more than 1% from Henan Province [24,25]. Some naturally exposed cats may be orally infected with parasites which can induce protective immunity to oocyst excretion [26].
Our results indicated that TgCtwh6 was able to conduct sexual reproduction in cats, therefore, more attention should be paid to its pathogenesis and transmission. We provided an efficient in vivo infection system to easily conduct and identify sexual reproduction of T. gondii. There are many interesting unanswered questions concerning sexual reproduction of T. gondii in the definitive host, especially how often cats excreted oocysts in their lifetime and whether they had protection to re-excretion of T. gondii oocysts [27,28]. We believe that our study provides a feasible cell model and an efficient infection system serving for molecular mechanism studies of T. gondii sexual reproduction and can be applied to establish an oocyst detection method to control feline toxoplasmosis.



