A case of histologically diagnosed tick infestation on the scalp of a Korean child

Article information

Korean J Parasito. 2006;44(2):157-161
Publication date (electronic) : 2006 June 20
doi : https://doi.org/10.3347/kjp.2006.44.2.157
1Clinical Research Center, Inje University Ilsan Paik Hospital, Gyeonggi province 411-706, Korea.
2Department of Pathology, Inje University Ilsan Paik Hospital, Gyeonggi province 411-706, Korea.
3Department of Parasitology and Tropical Medicine, College of Medicine, Seoul National University, and Institute of Endemic Diseases, Seoul National University Medical Research Center, Seoul 110-799, Korea.
Corresponding author (cjy@snu.ac.kr)
Received 2006 April 17; Accepted 2006 May 10.

Abstract

A scalp mass surgically excised from a 4-year-old Korean boy was identified as a tick through histological observations. In sections of the mass, characteristic features of a tick, including its gross contour, cuticular structures, well developed musculature and salivary glands, and the capitulum, were discovered. In particular, the capitulum is anteriorly protruded, which strongly suggests that the specimen be a hard tick of family Ixodidae. However, the present histological features were not enough to determine the genus and species of the tick, because information on sectional morphologies of different tick species is unavailable. This is a rare case of tick infestation on the scalp diagnosed in histological sections.

INTRODUCTION

The ticks are bloodsucking ectoparasites of mammals, birds, reptiles, and amphibians. A few species are vectors of bacterial, rickettsial, viral, and protozoal diseases of birds and mammals including man (Belding, 1965). Lyme disease, caused by the bacteria Borrelia burgdorferi, is known to be transmitted to humans by a tick of Ixodidae (Park et al., 1992). In addition, mechanical injury caused by insertion of their capitulum into the skin, and tick paralysis caused by their poisonous secretions, are also included among the important harms of tick infestations in humans.

In the Republic of Korea, more than 25 genera of family Ixodidae, i.e., hard ticks, and 3 genera of family Argasidae, i.e., soft ticks, were reported (Zoological Society of Korea, 1997). Since the first report of a human tick infestation in 1982 (Kang et al., 1982), a total of 38 cases have been recorded in the literature (Lee et al., 1989; Yun et al., 2001; Hyun et al., 2002; Ko et al., 2002; Kim et al., 2003; Lee et al., 2004). Here, we report an additional case of tick infestation in a Korean child diagnosed by histological observations of an excised mass from the scalp with a brief review of human tick infestations reported in the Republic of Korea.

CASE RECORD

A 4-year-old Korean boy visited a local clinic with complaint of an incidentally found scalp mass on July 14, 2005. The scalp mass was located in the occipital area. The mass, measuring 0.8 × 0.6 cm, was thought to be a dermoid cyst and surgically excised. Then the mass was fixed with 10% neutral formalin solution. Unknowing that the excised mass would be a tick, the mass was processed for a routine histological procedure. The paraffin block containing the mass was sectioned in 5 µm thickness, which was then stained with hematoxylin and eosin.

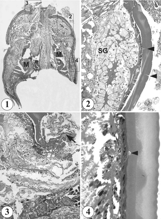
In light microscopic observations of the sections, the mass appeared to be a part of a round to elliptical-shaped organism (0.8 × 0.6 cm), and looked like a pentastomid, or an arthropod, without containing any structure of host origin (Fig. 1). It was finally identified as a species of hard tick, presumably belonging to family Ixodidae. It had a non-segmented body, well developed skeletal musculature of 160 µm in thickness in the middle part of the body (Fig. 1), well developed salivary glands in anterior half of the body (Fig. 2), and a capitulum (Fig. 3). Its external surface was covered with a thick cuticle of about 80 µm in thickness, which consisted of 5 layers, including an outermost thin layer with saw-like annulations, 3 inner layers of different thickness and structures, and the innermost layer with pore canals (Fig. 4). No legs were found sectioned.

Fig. 1-4

Histological sections of the tick extracted from the scalp of a Korean boy. 1. A whole section of the tick (up; capitulum side, down; tail side) showing its characteristic body contour, cuticle structures, and well developed musculature (M). H-E stain, × 40. 2. An enlarged view of box 2 in Fig. 1 showing well developed salivary glands (SG) and cuticle with pore canals (arrowheads). H-E stain, × 100. 3. An enlarged view of box 3 in Fig. 1, the capitulum side. A part of the capitulum (arrow) is seen sectioned. H-E stain, × 100. 4. An enlarged view of box 4 in Fig. 1 showing the characteristic saw-like cuticular surface and a pore canal. H-E stain, × 400.

The patient has been residing in Seoul city, Korea, since birth. The patient's past history of note is that his family took a trip to Guam Island, Indonesia, for 4 days 17 months ago. During the trip, they took a jungle river cruise in Talofofo River. Clinical examinations, including X-rays, magnetic resonance images, and blood examination, revealed no abnormalities. Other family members did not complain any symptoms similar to the boy.

DISCUSSION

For identification of arthropods including ticks, gross morphological characteristics are highly important. However, in the present case, the clinician did not have any experience with tick infestation, so simply regarded the scalp mass as a dermoid cyst and excised. We regret that the excised mass was processed for routine histological sections without gross morphological observations in the clinical laboratory. However, based on sectioned morphologies, the mass has been identified as a tick, presumably belonging to Ixodidae, i.e., hard tick.

Similar misinterpretation of tick infestations as masses of other origins is at times encountered (Pyeon and Kim, 1987). In such a case, the tick is sectioned and histological slides are made, in which case the diagnosis becomes more difficult. Nevertheless, sectional morphologies of ticks are scarcely available among the world literature. Pyeon and Kim (1987) described morphological characteristics of the cuticle layer of a hard tick based on 50 serial sections. The cuticle was composed with 5 layers, including the outermost layer characterized by saw-like annulations and the innermost basal layer having many glandular structures with basophilic granules and connected with outside through pore canals (Pyeon and Kim, 1987). In our case, the morphology of the cuticle is almost identical with the previous report of a hard tick (Pyeon and Kim, 1987). The presence of well developed musculatures and salivary glands supports the diagnosis. Moreover, in our specimens, small pieces of the capitulum were found sectioned near the anterior end of the body, and thus the capitulum is suggested to be protruded out of the anterior end of the body. By contrast, in soft ticks, the capitulum is extended from some distance beneath the anterior end of the body (Belding, 1965).

Hard ticks have a wide host range and the duration of attachment to the host skin for blood sucking is usually longer than soft ticks (Chae et al., 2000). Hence, human tick infestations are predominantly caused by hard ticks of Ixodidae. The genera of Ixodidae known to be injurious to man include Ixodes, Haemaphysalis, Amblyomma, Dermacentor, Hyalomma, Rhipicephalus, and Boophilus (Belding, 1965). In the Republic of Korea, only 2 genera, Ixodes and Haemaphysalis, were recorded from human infestations (Chae et al., 2000; Yun et al., 2001).

With regard to human tick infestations in the Republic of Korea, a total of 38 cases have been reported in the literature since 1982 (Kang et al., 1982; Lee et al., 1989; Yun et al., 2001; Hyun et al., 2002; Ko et al., 2002; Kim et al., 2003; Lee et al., 2004). Most cases were caused by Ixodes (30 cases) and Haemaphysalis (5). In the remaining 3 cases the genera of the tick were unidentified. In Ixodes, 3 species including I. nipponensis (21 cases), I. monospinosus (1), and I. persulcatus (1) were identified (species were unidentified in the remaining 7 cases), and in Haemaphysalis, H. longicornis (4) and H. flava (1) were recorded.

Yun et al. (2001) summarized 31 tick infestation cases from the first report in 1982 in terms of the predilection ages. They showed that tick infestations were more common in elderly ages over 51 years (17 of 31 cases) than younger ages. However, infestations among children younger than 10 years were not uncommon (5 out of 31 cases). We add a case of tick infestation in a 4 year-old child. With regard to the predilection site of infestation, the body trunk was the most common, which was followed by the head and the neck. In our case, the tick was found on the scalp, which is easily exposed to outsides.

The exact place of tick infestation in our case is uncertain. The patient's family had a past history of trip to Guam Island 17 months previously. Search of literature on ticks in Guam shows infestation of animals with hard tick, like Boophilus annulatus, Boophilus microplus, Rhipicephalus sanguineus, Amblyomma cyprium, and Amblyomma squamosum, and soft tick like Ornithodoros capensis (Kohl, 1953). However, no human tick infestation has been reported from Guam. It is of note that after completing their engorgement on the host skin for 7 to 12 days, most Ixodes ticks detach from the host and begin next developmental stages or oviposition (Belding, 1965; Chae et al., 2000). Thus, the possibility of tick infestation in Guam in our case is very low; the travel was 17 months previously to the notification of the tick on the scalp.

For early detection of tick infestations, careful attention should be paid, particularly in young children. During the time when ticks suck blood on the human skin, most patients hardly realize the infestation, since ticks slowly penetrate the skin with their hypostome and chelicerae, and inject saliva containing anticoagulants and anesthetic substance to the skin (Chae et al., 2000). Even after the tick is separated from the skin, careful attention is needed, because the capitulum remained in the skin could cause the tick-bite pyrexia (Chae et al., 2000). In addition, possibility of transmission of tick-borne diseases should be kept in mind, for example, Lyme disease, caused by B. burgdorferi (Lee et al., 1993; Kim et al., 1999; Lee et al., 2003; Kim and Kim, 2005), is transmitted by Ixodes tick bites (Park et al., 1992).

ACKNOWLEDGMENTS

We sincerely thank Dr. Baik-Kee Cho, Department of Dermatology, College of Medicine, Catholic University of Korea, and Dr. In-Yong Lee, Department of Parasitology, College of Medicine, Yonsei University, for their kind help in identification of the tick involved in this report.

References

1. Belding DL. Textbook of Parasitology 1965. 3rd edth ed. New York, USA: Appleton-Century-Crofts; 974–993.
2. Chae KS, Gang H, Lee DW, Byun DG, Cho BK, Park CW, Suh JK, Lee KB, Kim HJ. Tick Bites. Korean J Dermatol 2000. 38111–116. (in Korean).
3. Hyun JS, Lee SW, Choi MJ, Kim TY, Lee JY, Cho BK. A case of tick bite with formation of intradermal cavity. Korean J Dermatol 2002. 40311–313. (in Korean).
4. Kang WH, Chang KH, Chun SI, Koh CJ, Cho BK. A case of tick bite caused by Ixodes species. Korean J Dermatol 1982. 20789–793. (in Korean).
5. Kim JE, Park HJ, Lee JY, Cho BK, Lee IY, Lee WK, Koh CJ. Three cases of tick bites by Haemaphysalis longicornis. Korean J Dermatol 2003. 411198–1201. (in Korean).
6. Kim JW, Kim JS. A case of Lyme disease with unusual cutaneous manifestations. Korean J Dermatol 2005. 43501–506. (in Korean).
7. Kim TH, Choi EH, Lee MG, Ahn SK. Serologically diagnosed Lyme disease manifesting erythema migrans in Korea. J Korean Med Sci 1999. 1485–88. 10102530.
8. Ko JH, Cho DY, Chung BS, Kim SI. Two human cases of tick bite caused by Ixodes nipponensis. Korean J Parasitol 2002. 40199–203. 12509106.
9. Kohls GM. Notes on the ticks of Guam with the description of Amblyomma squamosum n. sp. (Acarina: Ixodidae). J Parasitol 1953. 39264–267. 13053309.
10. Lee CN, Kim JE, Park HJ, Lee JY, Cho BK. A case of pseudolymphoma following tick bite. Korean J Dermatol 2004. 42778–780. (in Korean).
11. Lee CN, Mo HJ, Kim JE, Park HJ, Lee JY, Cho BK, Lee IY. A case of Lyme disease presenting with erythema (chronicum) migrans. Korean J Dermatol 2003. 411202–1205. (in Korean).
12. Lee MG, Chung KY, Choi YS, Cho SN. Lyme disease. Korean J Dermatol 1993. 31601–605. (in Korean).
13. Lee SH, Chai JY, Kho WG, Hong SJ, Chung YD. A human case of tick bite by Ixodes nipponensis on the scalp. Korean J Parasitol 1989. 2767–69. (in Korean).
14. Park KH, Lee SH, Won WJ, Jang WJ, Chang WH. Isolation of Borrelia burgdorferi, the causative agent of Lyme disease, from Ixodes ticks in Korea. J Korean Soc Microbiol 1992. 27307–312. (in Korean).
15. Pyeon SH, Kim SW. A case of tick infestation. Korean J Dermatol 1987. 25806–810. (in Korean).
16. Zoological Society of Korea. List of Animals in Korea (excluding Insects) 1997. Daegu, Korea: Academy Book; 150–151. (in Korean).
17. Yun SK, Ko GB, Chon TH. Tick bite: report of a case and review of Korean cases. Korean J Dermatol 2001. 39891–895. (in Korean).

Article information Continued

Fig. 1-4

Histological sections of the tick extracted from the scalp of a Korean boy. 1. A whole section of the tick (up; capitulum side, down; tail side) showing its characteristic body contour, cuticle structures, and well developed musculature (M). H-E stain, × 40. 2. An enlarged view of box 2 in Fig. 1 showing well developed salivary glands (SG) and cuticle with pore canals (arrowheads). H-E stain, × 100. 3. An enlarged view of box 3 in Fig. 1, the capitulum side. A part of the capitulum (arrow) is seen sectioned. H-E stain, × 100. 4. An enlarged view of box 4 in Fig. 1 showing the characteristic saw-like cuticular surface and a pore canal. H-E stain, × 400.