Human sparganosis is a larval cestode disease caused by the ingestion of unfiltered water that is contaminated from procercoid or of plerocercoid in the reptile host. Despite the deleterious immune attacks from the host, the sparganum survives in the human being for a long time. A series of investigations have been focused on the identification of the surface or of the excretory-secretory molecules of the parasite in order to understand the basis of protective immunity (Kong et al., 1994, 1997). Several factors responsible for such a protection have been proposed. For example, plausible roles of cysteine proteases in immune evasion have been reported. These proteins are mostly glycoproteins in nature that bear various carbohydrate moieties by which they are able to possess the potential for a wide range of functional capacities. In this study, carbohydrate moieties of the glycoproteins of the soluble extract of the sparganum from each of the two species and adult Spirometra erinacei were observed using different types of specific lectins.
The spargana were collected from snakes Elaphe rufodorsata. The spargana were used to infect the experimental mouse and the worms were harvested 4 weeks after infection. The worms were homogenized with Teflon Pestle Homogenizer and centrifuged at 15,000 rpm for 1h at 4℃. The supernatant was regarded as each sparganum extracts from snake and mouse. Adult worms were collected from small intestine of cats, which had been infected for 1 month with sparganum collected from snake. Crude extracts of the adult worm were prepared as described above. These extracts were stored at -70℃ until use.
Lectin bindings were examined with DIG Glycan Differentiation Kit (Roche Molecular Biochemicals, Germany). Lectins used in the study included Galanthus nivalis agglutinin (GNA), Sambucus nigra agglutinin (SNA), Maackia amurensis agglutinin (MAA), peanut agglutinin (PNA), Datura stramonium agglutinin (DSA). Each lectin exhibited a specific binding GNA to mannose, SNA to sialic acid linked α(2-6) to galactose, MAA to sialic acid linked α(2-3) to galactose, PNA to galactose-β(1-3)-N-acetylgalactosamine and DSA to galactose-β(1-4)-N-acetylglucosamine. Positive controls used were carboxypeptidase Y for GNA, transferrin for SNA, fetuin for SNA, MAA and DSA and asilofetuin for PNA and DSA. The lectin blots were done according to the manufacturer's instruction. In brief, the proteins were separated by 7.5-15% sodium dodecyl sulfate (SDS)-PAGE and then transferred to a polyvinyl difluoride (PVDF) membrane. The transferred membrane was reacted with each digoxigenin labeled lectin at each required dilution, followed by an incubation with anti-digoxigenin-alkaline phosphatase. The membranes were developed with NBT/X-phosphatase solution.
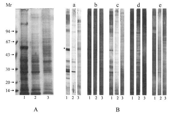
Analysis of the crude extracts of the larval sparganum and the adult worms is shown in Fig. 1A with Coomassie blue staining. The analysis of glycoproteins which were obtained from lectin blotting using different glycoconjugates is shown in Fig. 1B. Lectins are very useful in identifying carbohydrate structure because they have a high affinity for specific glycoconjugates. The molecular weights of the glycoproteins identified by lectin blotting ranged from 10 to 180 kDa. Mannose epitopes are shown to be dominant carbohydrate moieties on the glycoproteins in the sparganum as indicated by strong staining with GNA lectin. This result is in agreement with the previous finding which showed that N-linked oligosaccharides were the main components of the parasite proteins (Gerard 1990; Hounsell 1994). The 27 and 53 kDa proteins in the snake and mouse spargana may have N-linked glycans with carbohydrate chains of different compositions as shown in Fig. 1B (panel a). The 53 kDa protein was shown to bear high mannose or a hybrid type in its carbohydrate structure. The 53 kDa molecule was not reactive with GNA in the crude extracts of the mouse spargana, which suggested that 53 kDa molecule may be developmentally regulated similar to swine nodular worm Oesophagostomum dentatum (Joachim et al., 2001). However, the 27 kDa protein exhibited positive reactions with all the glycoconjugate examined in the larval stage. This result suggested that 27 kDa proteins have various glycan structures and may be involved in crucial roles of worm survival in the host.
The excretory-secretory products of Trichinella spiralis were composed of heavily-glycosylated molecules. These molecules were shown to be associated with local immune regulation during the infection (Jarvis and Pritchard, 1992; Gruden-Movsesijan et al., 2002). In this respect, it was reported that expression of the 27 kDa molecule of the sparganum was developmentally regulated from larval stage to adult stage (Kong et al., 2000). This finding was similar to the lectin blots in this study. It suggests that highly active excretory-secretory molecules of the sparganum may be associated with the immune evasion mechanisms of the worm from the host immune attack. Fewer faint reactive proteins were stained on the crude extracts of adult S. erinacei (Fig. 1B), which showed that N- or O-linked glycoproteins are more abundant in the larval sparganum than in adult stage. In the GNA positive 53 kDa molecule, an excretory-secretory protease that was specifically expressed in the snake sparganum may also be developmentally regulated. For further research we could investigate whether the specific glycan structures of the sparganum protein play a critical role in protective immunity and in worm differentiation.



