INTRODUCTION
Toxoplasma gondii is an obligate intracellular parasite and an important human pathogen. It is a member of Apicomplexa including Plasmodium, Eimeria, Babesia, Theileria and Cryptosporidium. The pathology of toxoplasmosis is due to repeated cycles of host cell invasion and lysis by the actively dividing form of the parasite, the tachyzoite (Black and Boothroyd, 2000).
During the screening of a T. gondii cDNA expression library with monoclonal antibodies (Sohn and Nam, 1999; Son and Nam, 2001), an expressed cDNA clone was detected by a mAb (Tg621) that blotted cytoplasmic 38 kDa protein. After completing the full cDNA of the clone, mAb Tg621 was revealed to bind ribosomal P protein (RPP) of T. gondii (TgRPP). The RPPs (P0, 38 kDa; P1, 19 kDa; and P2, 17 kDa) are generally considered to be associated with 60S ribosomal subunit in eukaryotic cells (Liljas A, 1991). However, ribosome-free P proteins may exist in the cytoplasm (Francoueur et al., 1985) and P0 has been demonstrated on the surface of human hepatoma and neuroblastoma cells as well as fibroblasts (Koren et al., 1992). Moreover, anti-P Abs penetrate into living HepG2 cells and affect the synthesis of apolipoprotein B (Koscec et al., 1997) and mAbs against human RPPs penetrate into living cells and cause apoptosis (Sun et al., 2001) which is an important anti-autoimmune mechanism.
We describe, in this report, the use of mAb to identify and characterize a novel cytoplasmic protein of T. gondii, TgRPP. In addition, the availability of recombinant TgRPP as an antigen to detect antibody in the sera of toxoplasmosis patients is evaluated with focusing on the connection of the antibody against TgRPP to potential autoimmunity.
MATERIALS AND METHODS
Parasite
The RH strain of T. gondii was maintained by peritoneal passage in Balb/c mice. Prior to use, tachyzoites were purified by centrifugation over 40% Percoll (Amersham Phamacia Biotech, Uppsala, Sweden) in PBS solution (Sohn and Nam, 1999).
Western blotting
Proteins were resolved by 12% SDS-PAGE under reducing conditions and western blotted as described in Ahn et al. (2001). Nitrocellulose sheets blocked by 5% skim milk in PBS/0.05% Tween 20 (PBS/T) were incubated with 1:1000 diluted mAb, and then with 1:2000 diluted HRP-conjugated goat anti-mouse IgG antibody (Cappel, Costa Mesa, CA, USA). They were soaked in enhanced chemiluminescence (ECL) solution (Amersham Phamacia Biotech) for 1 min and exposed to an X-ray film (Konica, Tokyo, Japan).
Immunofluorescence assay on free tachyzoites and on invaded tachyzoites
Free tachyzoites were attached to 18 mm cover slips by using a cytospin. Tachyzoites were fixed with cold absolute methanol for 5 min. Vero cells (CRL 6318, American Type Culture Collection, Rockville, MD, USA) cells were maintained in DMEM supplemented with 10% FBS (Gibco BRL, Rockville, MD). Cells cultured on 18 mm coverslips in 24-well plates were infected with tachyzoites. Cells were fixed either with cold absolute methanol for 5 min or with 3% formaldehyde for 10 min and then permeabilized by 0.05% Triton X-100 for 5 min, separately. MAb was diluted in 1:100 of 3% BSA/PBS and FITC-conjugated goat anti-mouse IgG antibody (Sigma Chem Co., St. Louis, MO, USA) was used in 1:500. Fluorescence was observed under a fluorescence microscopy (Axiophot, Carl Zeiss Co., Oberkochen, Germany).
cDNA library screening
A T. gondii λZAPII cDNA expression library was obtained through the AIDS Research and Reference Reagent Program, Division of AIDS, NIAID, NIH (McKesson Biosciences, Rockville, MD) and screened in E. coli XL1-Blue MRF' (Stratagene, La Jolla, CA) using mAb in PBS/T containing 1% (w/v) BSA. Bound antibody was detected using the ECL Detection System (Amersham Phamacia Biotech). Positive plaques were recovered and rescreened by the same procedure. pBluescript SK phagemids were isolated by co-infection of the λZAPII phage and ExAssist helper phage (Stratagene). Excised phagemids were further propagated in the E. coli SOLR host strain (Stratagene). Phagemid DNA was purified from single colonies using the Wizard Plus SV Miniprep kit (Promega, Madison, WI).
DNA sequencing and analysis of DNA and protein sequences
All DNA sequencing was performed using dye terminator fluorescent-based sequence analysis on an Applied Biosystems 373 automated sequencer. The ends of the cDNA clones were sequenced using primers against the vector T7 and T3 promoter sequences. All other sequencing primers were custom synthesized (Bionia Co., Daejon, Korea). Sequences of cDNA clones were used to search for homologous sequences in the Toxoplasma dbEST (Database of Expressed Sequence Tags) using the BLASTn algorithm with the default settings. The protein sequences were compared to the GenBank database using BLASTp. PROSITE was used to search for motifs and post-translational modification sites.
5' Rapid amplification of cDNA ends (5'-RACE)
Total T. gondii tachyzoite RNA was extracted using Tri reagent (Sigma Chem Co.) according to the manufacturer's instructions. The 5' untranslated region was amplified using the 5'-RACE procedure (Frohman et al., 1988). First strand cDNA was synthesized from 1 µg of total RNA using the Superscript Preamplification System (Life Technologies, Gaithersburg, MD). DeoxyCTPs were added to the 3' end of the non-coding cDNA using terminal deoxynucleotide transferase (Life Technologies). PCR amplification of C-tailed cDNA was performed with an anchor primer (5'-CTA ATA CGA CTC ACT ATA GGG CAA GCA GTG GTA TCA ACG CAG AGT-3'; Bionia Co.) and a gene-specific primer (5'-AAG CAG TGG TAT CAA CGC AGA GT-3'). First round product was further amplified with the abridged universal anchor primer (5'-CTA ATA CGA CTC ACT ATA GGG C-3') and an internal gene-specific primer. Second round PCR product was cloned into the pGEM-T EASY vector (Promega) and sequenced.
Production of recombinant RPP and antibody detection with sera of toxoplasmosis patients
RT-PCR was performed to amplify the DNA fragments of open reading frame of the protein with a forward primer of 5'-GGA TTC GCG GGT CCC AAG GGA A-3' and a reverse primer of 5'-AAG CTT GAC TCC GAC TTT TGC GCG-3' directed against the sequence. Amplified DNA was subcloned into pET-28a vector (Novagen, Madison, WI) in BamH I and Hind III sites to transform BL21 (DE3, Stratagene). Recombinant protein was obtained by IPTG induction and purified through the Ni-NTA column. The protein was used as antigen in western blot against 23 sera from toxoplasmosis patients (Choi et al., 1997; Kim et al., 2000) and high risk pregnancy women that reacted with recombinant SAG1 antigen (SAG1-positive, Nam et al., 1996) and normal control (SAG1-negative).
RESULTS
Antigen recognized by mAb Tg621
In the course of screening for mAbs against crude extract of T. gondii tachyzoites, we identified a hybridoma supernatant (Tg621) that reacted with 38 kDa antigen on western blot. The hybridoma was expanded, cloned and rescreened. The ascitic fliud of mouse included the corresponding mAb and blotted 38 kDa protein on western blot of whole parasite extract of T. gondii under reducing condition (Fig. 1). The mAb precipitated protein of the corresponding size from whole extract of Neospora caninum, a neighboring apicomplexan parasite. By immunofluorescence microscopy with mAb Tg621, fluorescence was dispersed in the cytoplasm of the extracellular tachyzoites (Fig. 2, A and B) and similar pattern in the intracellular growing tachyzoites without involvement to parasitophorous vacuolar membrane (Fig. 2, C and D).
Molecular characterization of the antigen recognized by mAb Tg621
The mAb Tg621 was used to screen a T. gondii λZAPII cDNA expression library. Screening of the expression library resulted in the isolation of cDNA clone, which were isolated from the pBluescript SK phagemids. The nucleotide sequence of the clone contained a poly(A+) tail. The complete 5' untranslated sequence, determined by 5'-RACE, yielded a cDNA which spanned a total of 1,592 bp and included a predicted open reading frame of 942 bp. A search of the Toxoplasma database of expressed sequence tags identified a contig assembly containing 30 expressed sequence tags with a high BLAST score. Full cDNA sequence was enrolled to GenBank (accession number AY217739) as a ribosomal P protein of T. gondii, hereafter referred to as TgRPP. Using the first in-frame ATG as the start site downstream of consensus sequence of protozoal/toxoplasmal translation initiation, TgRPP is predicted to encode a polypeptide of 313 amino acids with a molecular mass of 38 kDa (Fig. 3). Following the first ATG was no hydrophobic region that constituted a potential signal sequence. The predicted protein encoded by TgRPP had a domain with remarkably high hydrophobic alanines and acidic glutamic acids in C-terminal end. A PROSITE search yielded no obvious sequence motifs or post-translational modification sites within the TgRPP sequence.
The deduced amino acid sequence of TgRPP was compared to the GenBank database using BLASTp, which resulted in so many homologous sequences with a high BLAST score. Clustal W alignment of apicomplexan ribosomal P proteins was described in Fig. 4 with reference to those of mouse and human. Amino acid sequence of TgRPP showed 68% homology with that of Eimeria tenella, 58% with Babesia bovis, and 51% with mouse and 17% with human ribosomal P protein.
Production of recombinant RPP and antibody detection with sera of toxoplasmosis patients
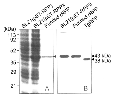
DNA fragment of ORF with several base pairs of 3'-UTR was amplified by RT-PCR as 1,013 bp as designed in Fig. 5. Amplified DNA was subcloned into pET-28a vector to transform BL21 (DE3). Recombinant protein was obtained by IPTG induction and purified through the Ni-NTA column as 43 kDa protein containing TgRPP and 6x His Tag, thrombin, and T7 Tag in N-terminal of insert (Fig. 6A). Recombinant TgRPP and naive TgRPP in tachyzoite extracts were blotted by mAb Tg621 as 43 and 38 kDa bands, respectively (Fig. 6B).
Recombinant TgRPP was used as antigen in western blot against the sera of toxoplasmosis patients and normal control with reference to recombinant SAG1 antigen. Sera of 17 among 23 SAG1-positive detected TgRPP (74.0%) whereas 3 sera in 36 SAG1-negative reacted with TgRPP (8.3%).
DISCUSSION
We report here on the identification and molecular characterization of TgRPP, a novel cytoplasmic protein of T. gondii. TgRPP was identified using a mAb Tg621 which recognized a 38 kDa tachyzoite protein on western blot and localized to the cytoplasm by immunofluorescence microscopy. The sequence of TgRPP contained highly hydrophobic and acidic C-terminal end but not a potential N-terminal signal sequence as expected to be a cytoplasmic protein.
In the full length cDNA sequence (Fig. 3), the first ATG conformed to the T. gondii consensus translation initiation sequence with GTC at positions -6, -5, and -4, a A at position -3 and a G at position +4 (Seeber, 1997). It was also preceded by a T-rich region in the 5' untranslated region which was seen in other T. gondii genes (Cesbron-Delauw et al., 1989; Ossorio et al., 1992; Lecordier et al., 1993; Mercier et al., 1993). A second ATG 120 bp downstream of the first was inconsistent with the consensus sequence, suggesting that the first ATG initiated the translation of the protein. An in-frame stop codon was found 117 bp upstream of the first methionine. Therefore the ORF of TgRPP was selected as long as 942 bp easily. In the Clustal W alignment with RPPs of other organisms (Fig. 4), TgRPP showed high homology with apicomplexan parasites over 60% whereas lower homology with flagellates such as Trypanosma cuzi and Leishmania sp. of approximate 50% (data not shown). As detected by Tg621 mAb, Neospora caninum, the nearest neighbor to T. gondii, may show much higher homology among the apicomplexan parasites but not sequenced yet.
An intriguing hydrophobic and acidic C-terminal end is extremely well preserved in all eukaryotic organisms, from yeast to humans, and only small alterations in this sequence are found (Fig. 4). The high degree of conservation of this region including xxDDMGFxLFD motives (Bergami et al., 2001) suggests that it must play an important physiological role, but its exact function has not been evaluated yet (Tchorzewski, 2002). Moreover, this region is highly antigenic and the major target of the antibody response in 10 - 15% of patients with systemic lupus erythematosus (Elkon et al., 1985). Antibodies against this region of the P proteins have also been detected in patients with chronic Chagas' disease (Levin et al., 1993) and mediates pathogenicity of the parasite by the autoimmune pathway (Bergami et al., 2001) and leishmaniasis (Skeiky et al., 1994). It is not yet defined of the autoimmunity induced by parasites. In the infections with T. gondii, an opportunistic pathogen, antibody to RPP may induce the autoimmunity by the cross reaction with those of host cells although there are no evidences of autoimmunity to the pathogenicity of T. gondii infection until now. Recently, antibodies against HSP70 of T. gondii mediate the cellular autoimmunity in the infected hosts (Chen et al., 2000, 2003).
Further analysis of the difference in polypeptide synthesis by the TgRPP will ultimately lead to a better understanding of the role of this protein in the intracellular survival of the parasite in addition to the autoimmune mechanism by the antibody against TgRPP in the pathogenesis of T. gondii infection.



