INTRODUCTION
The first description of Cryptosporidium muris was by Tyzzer in 1907 and 1910. Since then three kinds of Cryptosporidium have been considered as possible human parasites: C. parvum, C. muris, and C. beileyi (Levine, 1984; Current and Reese, 1986). As Cryptosporidium has no special motile structure like many other coccidian parasites, it is unclear how it can invade the host epithelium. Cryptosporidium parvum has been known to have a lot of actin and tropomyosin in its cytoplasm and on the pellicle, although the functions of those proteins are yet unknown (Yu and Chai, 1995; Yu and Lee, 1996). As another species belonging to Cryptosporidium, it would be very valuable to localize the microfilament and its binding protein in C. muris to get the hint of its motile system related with invasion.
MATERIALS AND METHODS
Expression of Cryptosporidium muris in laboratory mouse
Three-week old mice (C57BL/6J) were immunosuppressed by intramuscular injection of Depomedrol® (10 mg/kg) once a week. After 3 weeks, oocyst production was detected by stool examination using a modified acid fast stain, and the stomach of oocyst-positive mice were detached and fixed at 2% paraformaldehyde and 0.4% glutaraldehyde for about 1 hr at room temperature.
Preparation of tissue antigen
The fixed stomach tissue was washed with 0.1 M PBS, and dehydrated through an alcohol series from 30 to 95%. Dehydrated tissues were embedded in LR gold resin (Electron Microscopy Sciences) and polymerized at -20℃ for 72 hrs under UV illumination. The ultrathin section was done at 90 nm thickness and sections were mounted onto nickel grids.
Immunogold labeling
The immunogold labeling procedure followed the methods of Yu and Chai (1995). Briefly, tissue sections were incubated in PBS-milk-Tween (PMT) for 10 min and exposed to primary antibodies diluted with PMT for 2 hrs at room temperature. The primary antibodies used were rabbit anti-tropomyosin (chicken gizzard muscle; Sigma), rabbit anti-actin (chicken back muscle, polyclonal; BioGenex), and mouse anti-actin (chicken gizzard muscle, monoclonal; Chemicon). The sections were washed thoroughly with PBS-BSA-Tween and reincubated with 5 nm gold conjugated goat anti-rabbit IgG (Sigma) and goat anti-mouse IgG (Sigma) overnight at 4℃. Silver enhancement was done with a commercial kit (Amersham) followed by background staining with uranyl acetate and lead citrate. The stained sections were examined under a transmission electron microscope (Jeol 1200 EXII).
RESULTS
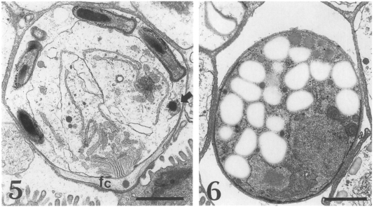
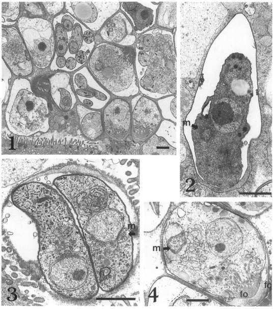
Almost all examined stomach glands were filled with various developmental stages of C. muris (Fig. 1). The population of macrogametocyte was more dominant than other forms. Each asexual and sexual form had a mitochondrion in its cytoplasm near the nucleus (Figs. 2-4). The filamentous cytoplasm under the feeder organelle that has thought to be originated from the host, was well developed (Figs. 2, 4 & 5). The microgametocyte containing 6 microgametes was observed. Each microgamete was enveloped by 2 membranes, one from the residual body and the other from its own cytoplasmic membrane (Fig. 5). The postmost part of the microgamete was coated with a thick layer whose nature is not exactly known. Many tubule-like structures were also found in the cytoplasm of microgametes by longitudinal and cross sectional views. These tubules surrounded the black nucleus portion of microgametes (Fig. 5). An underdeveloped oocyst was enveloped by five membranous structures; two layers were originated from the host, two were oocyst shell structure and the other one was a cytoplasmic membrane of parasite (Fig. 6). The oocyst shell was almost twice as thick as the others.
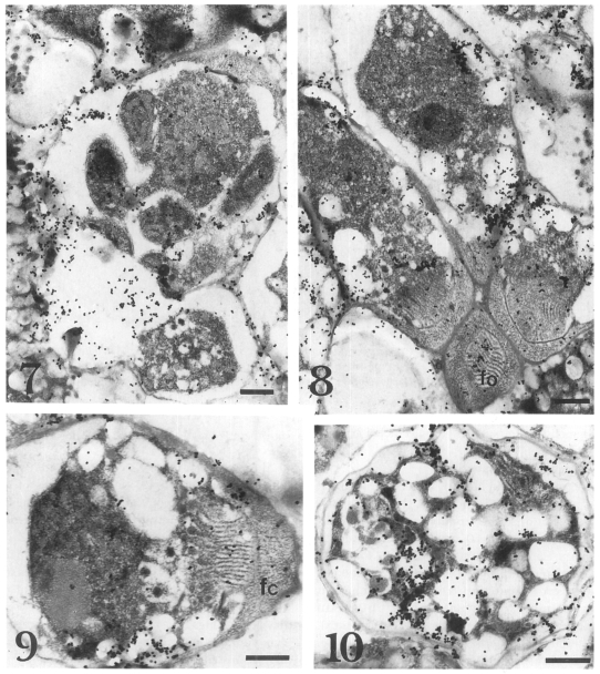
The polyclonal antibody to chicken back muscle actin was labeled on the pellicle and cytoplasmic vacuoles of parasites (Figs. 7-10). The feeder organelle was labeled by a small amount of actin also (Fig. 8), whereas labeling pattern with the monoclonal antibody to chicken gizzard muscle was completely different from the polyclonal antibody to chicken skeletal muscle. The monoclonal antibody to chicken smooth muscle was chiefly labeled on the filamentous cytoplasm of the parasite (Figs. 11-13). The apical portion of host gastric epithelial cell cytoplasm was also labeled along with filamentous cytoplasm (Fig. 13).
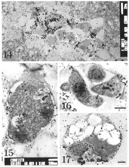
The polyclonal antibody to tropomyosin was labeled much more to C. muris than host tissue, so it was very easy to identify the worms with low magnification (× 3,000) (Fig. 14). The tropomyosin was observed along the pellicle, cytoplasmic vacuoles, and around the nucleus (Figs. 15-17).
DISCUSSION
It is well known that actin has six isoforms; among these the actin of Cryptosporidium is known as a γ-isoform (Kim et al., 1992). Actin has many kinds of binding proteins, and the tropomyosin is one of them. The role of tropomyosin in skeletal muscle is to stabilize actin, making it easy to bind myosin onto actin filament. Nonmuscle type tropomyosin is thought to be related to various cellular functions such as cell mitosis, phagocytosis, pinocytosis, excretion, and cytoplasmic movement (Alberts et al., 1994). This actin and tropomyosin system is controlled by calcium-dependent phosphorylation of myosin light chain and the troponin is excluded from that system (Lau et al., 1985).
In this study the mice showed very heavy infection, so most of the gastric glands contained worms. Among those worms, macrogametocytes were the most prominent forms. The large percentage of macrogametocyte may explain the high infection intensity, because thin-walled oocysts originating from macrogametocytes can start the internal autoinfection that causes an enormous increase in parasites number. Cryptosporidium muris has two structures not found in C. parvum. It has a filamentous cytoplasm under the feeder organelle and mitochondrion in its cytoplasm. So, two species could be differentiated by these two morphological structures by electronmicroscopy.
With two kinds of anti-actin antibodies, it was found that each kind of actin localized at a different locations. Skeletal muscle type actin localized mainly in parasites, but smooth muscle type actin was exclusively on the filamentous cytoplasm and the apical portion of host epithelium. In regard to this differences, it was suggested that the skeletal muscle type actin may be related with the various cytoplasmic functions of parasites such as mitosis, vacuolar movement, surface movement, and so on, whereas the smooth muscle type actin may be related to the attachment of the parasite and may support the worms' parasitism.
Cryptosporidium muris was found to have as much tropomyosin as in C. parvum (Yu et al., 1996). Because of the location of tropomyosin on the pellicle, it was thought that tropomyosin might be able to stimulate the host as a major antigen through continuous shedding out of pellicles and residual bodies by escape of sporozoites or merozoites from their mother cells. But the cytoplasmic functions of parasite might be related to tropomyosin as well as to actin because the distribution of tropomyosin around the vacuoles or the nuclear membrane is very similar to that of actin.
Conclusively, in this study it was found that C. muris has two kinds of actin which showed different localizations in the worm. The skeletal muscle type actin was located mainly on the pellicle and cytoplasm of worm and may play a role in various celluar functions with tropomyosin; on the other hand, the smooth muscle type actin was located mainly on the filamentous cytoplasm and may support the parasites for firm attachment to the host.



