| Hyun-Il Shin | 4 Articles |
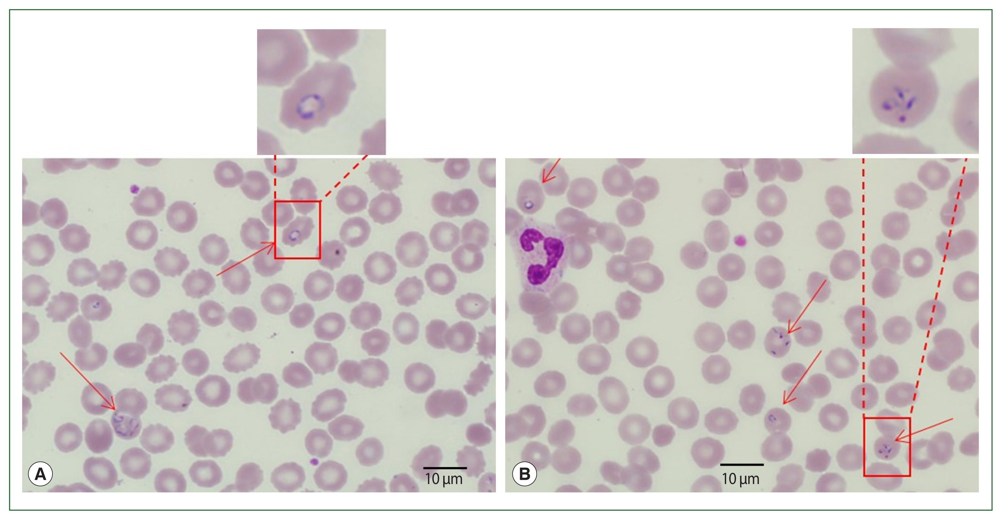
Human babesiosis is a tick-borne disease induced by the genus Babesia and has been significantly reported in the Republic of Korea. This report shows the cases of 2 patients with human babesiosis who traveled to the USA in 2019. The 2 patients experienced fever and had travel histories to babesiosis-endemic regions. The diagnoses of both cases were verified by the identification of Babesia-infected red blood cells on blood smears. One patient was found to be infected with Babesia microti using polymerase chain reaction (PCR) for 18S rRNA, which discovered the phylogenetic link to the B. microti strain endemic in the USA. The 2 patients recovered from fever with subsequent hemoparasite clearance. Babesiosis could be diagnosed in anyone with histories of travel to babesiosis-endemic countries and tick bites. Furthermore, Babesia-specific PCR is required for determining geno-and phenotypic characteristics.
Citations Citations to this article as recorded by
Plasmodium vivax exhibits dormant liver-stage parasites, called hypnozoites, which can cause relapse of malaria. The only drug currently used for eliminating hypnozoites is primaquine. The antimalarial properties of primaquine are dependent on the production of oxidized metabolites by the cytochrome P450 isoenzyme 2D6 (CYP2D6). Reduced primaquine metabolism may be related to P. vivax relapses. We describe a case of 4 episodes of recurrence of vivax malaria in a patient with decreased CYP2D6 function. The patient was 52-year-old male with body weight of 52 kg. He received total gastrectomy and splenectomy 7 months before the first episode and was under chemotherapy for the gastric cancer. The first episode occurred in March 2019 and each episode had intervals of 34, 41, and 97 days, respectively. At the first and second episodes, primaquine was administered as 15 mg for 14 days. The primaquine dose was increased with 30 mg for 14 days at the third and fourth episodes. Seven gene sequences of P. vivax were analyzed and revealed totally identical for all the 4 samples. The CYP2D6 genotype was analyzed and intermediate metabolizer phenotype with decreased function was identified.
Citations Citations to this article as recorded by
Plasmodium vivax reemerged in 1993. It has been sustained for more than 25 years and become one of the important indigenous parasitic diseases in northern and western parts of the Republic of Korea near the demilitarized zone. In particular, relapse is a significant concern for the control of malaria, as short- and long-term incubation periods vary among those infected in Korea. In this study, the prevalence of asymptomatic carriers was examined among residents of high endemic areas of vivax malaria during nonseasonal transmission of mosquitoes. Blood samples from 3 endemic regions in northwestern Korea were evaluated by microscopic examination, rapid diagnostic testing, and nested PCR to identify asymptomatic patients carrying malaria parasites in the community. However, no positive malaria case among residents of endemic areas was detected. Additionally, serological analysis was carried out to measure antibodies against 3 antigenic recombinant proteins of P. vivax, merozoite surface protein 1-19, circumsporozoite surface protein-VK210, and liver-stage antigen (PvLSA-N), by the protein array method. Interestingly, seropositivity of sera between previous exposure and samples without exposure to malaria was significantly higher using the PvLSA-N antigen than the other antigens, suggesting that PvLSA-N can be used as a serological marker to analyze the degree of exposure for malaria transmission in endemic areas. This indicates a very low asymptomatic carrier prevalence during the nonmalaria season in the endemic areas of Korea.
Citations Citations to this article as recorded by
Majority of the imported malaria cases in Korea is attributed to Plasmodium falciparum and P. vivax infections, whereas P. malariae and P. ovale infections are very rare. Falciparum and ovale malaria are mostly imported from Africa, while most of the vivax malaria cases are imported from Southeast Asia. Here, we report 6 Korean imported ovale malaria cases (4 males and 2 females) who had visited in Africa during 2013-2016. These subjects were diagnosed with P. ovale based on microscopic findings, Plasmodium species-specific nested-PCR, and phylogenetic clade using 18S rRNA gene sequences. We identified 2 P. ovale subtypes, 1 P. ovale curtisi (classic type) and 5 P. ovale wallikeri (variant type). All patients were treated with chloroquine and primaquine, and no relapse or recrudescence was reported for 1 year after treatment. With increase of travelers to the countries where existing Plasmodium species, the risk of Plasmodium infection is also increasing. Molecular monitoring for imported malaria parasites should be rigorously and continuously performed to enable diagnosis and certification of Plasmodium spp.
Citations Citations to this article as recorded by
|
|