Skip to main navigation Skip to main content
  • KSPTM
  • E-Submission

PHD : Parasites, Hosts and Diseases

OPEN ACCESS
ABOUT
BROWSE ARTICLES
FOR CONTRIBUTORS

Articles

Articles from Symposium on Asian Taenia (October 2011, Osong, Korea)

Current Status and Perspectives of Cysticercosis and Taeniasis in Japan

The Korean Journal of Parasitology 2013;51(1):19-29.
Published online: February 18, 2013

Department of Parasitology, National Institute of Infectious Diseases, Tokyo, Japan.JFIFddDuckydqhttp://ns.adobe.com/xap/1.0/ Adobed     ! 1AQa"q 2#w8B36v7XRr$9bCt%u&Ws'(xy4T5fH  !1AQaq"2B Rbr#u67Ѳ3sTt5v8Sc$4ĂCÔ%UӅFV ?_Aנj- H>>,m*>fzp"TrKkr^r.|_&]|*vPuܶvoQ1mwVJUhu-I"=LniAƕ8"۲ k*ҿ[yu:.vUQ+)%F DHyVBk>Hy8jݹ q~9D4KRmzQ)^ʔ.J%k_tVi5NTjg!'ky|5asOȻ)R۸ߩFMԿ3L4j6dڜ#NIwUF]JqB/(FafJRzq3\G՛ ?~\ 6)6W4m[O^L0E&rRMض*C .]Unl-1 1r#Rj/&QɈ׉˩s6Rj=5Tg.y.·Pӡ:JJS:C8-2u]d&vUz;7p9 5VnL֢"y)">iי(IDDd| Yj0; LRfS:ktYK%*N2^m|&dğth":ey)uPQZW)gcC3Pv&MMWd&Ŵ۲mvTRoժM03*F3Yd6\8,\hݻ kߔi<k NTwSԪmljj[>->ptU%'LR>&EBH$MQAUx[$Z6vi&_a.KIQ{hyƒ j"JOC9eFҝfj;˚Ω<[3_m% lQ@4g=5$(J]Yc-OMq<Ǎ wSzڗ)k$7VIP붾ͯnV+卵*t]iЎD31~SA1éC2u)ʼnQn-Uoi3:grI8ؓWm*G zܕ)ZקJ}Y YlGeJ6cB2I NS3Q>k=KTBT]W6+SOXQgGR? telˊ%-Re\hѯ2TF"C/OJΩ6r[N.0{SpljjX1“jOsӥ;ҭhe}xu`Ք&.)yO̒ Fߑ.$Qw;9Iw2o+RVJMSOj[SoҌZ%;`d$blQ{Ro{Imڌ>3egf\O֝Uzx"䢸g+mv%Gʆ:|V[N'&ס-ޝ'kfE|K,G&˳98Juin/\\Qݿ̋v~Ǩ!rtWU d|E߫R4d}.qPw*Ӭv5YEcn~f5c%MTMkb-F>5JT,})QHg%{("ӔȸWMsYyWNRrkkJr0XドnͫT}r-jj,Ŕʍ\Q2Ri>v$5!]"JB2WɅ)]VԜUc8i|.jeRO6^V.¸ Q&#|ܶ-*uOG%JAtRZRr]FFG\۩w+?'zչSѧt jz>KW&ot{7P&2D;&\\>Q2JzܗAKSfeNn[jRrԕf6,q,F1tRfԗ>vֶևj-&R'Zi2=xv~Elbsvm8=ӛ"ū񕜈BȩlWau[]ٷBߨF~J!|Ipr3R̴#Yp)={7:G{+:\W}n|Q#%)7^-h"Ƒq:M*%J&$T軨I333׎g_- ucBwwjp[6i25$̏bU’ٱRv?G\~#Iͪb7<<}Ezt" q_Inw,7-d,G÷%T* Wg1"䥱kq/A.,_KhqŒxwvo u2ۥۧ.bQ}XκA$֣ +K״ZUNmڸII{.v{5z5ѮRme[moyƾd~cRݾK'j.\i&/S6f|b=5: p!6i_ 4j6=.si˧eƾtS^c.Y^RJVS-Vi3,esi08?H$GvZgg?gi䤟2adw릿:"۪lkSN>q-4kI܋ێe̊qۅgDoѨ9; #T.Q;7#~_Ufstb_'w~Xw1Xk,vcOt._}v}8"(4Z\ۘgk?J?bm_c!g{HZV]Fkk%~gEt)b秴vΰB|꽸}mp~E6ݹv;7P٤v+ri*3Ԣ|'O14_~7nP{7ZU\Vű[ +7󖱅o#:ǥŬ\|3r%TJX]V7ez¨Y]lc|O3V! R zbJ'PnGqVJ"19WVeOF埜EaEJωqCN5Z g-9[S<$sUK5b|7sn\7x qmv##FF\ w[=-43$^ooVSiXօv7iB۴yg>]Vf"r$J3""32!Zh[K%7GvNLs+4nB/B{vlsobJaҺJR:0g%&zR\ S3T[&ִor*ⷳc3ʊO[iozW٨%$gn:ܶWwFBԹjHP&z u&F2\f;ipW73 [; '_̽b;vib!oec dC-tS__$Xs]l9&z$2/N>%'[}b{h/{`{Ji׉׏ YJB/X%}.|+{(S:qz]4_Kѵo`^tY_4S#* ^zvݾMr+TrkQ g.8Ͽ^i>ӈǙvix>$o( ^qt*&t1oJVu-ql5U6jCЉmĻ*"?JT=K'O/|=Vo}l0b}}f?X[?/\JSBe,kP8ETJ==?.p5ފgbU9}ǶdNKk—_$8̸͓ۍ8Di\BԿ-1v{FF]|.^ۅ{vl12׏z7-R7wE?\nh\jN/Kձr_oBw"N QMBZqe-m:ӨSn6j4%!hQ;sv'm4kcM=!8\m[M4{SMliۇ%eֽR&N:{2A8)THLK3Zj[jPBx#BگMf:G1\`edcʮ?|w(-̮vXt,bW2;.ιNHRR#YwTM"<;mk\.foIDjmlJ;vxy7o7i\,KQŊ9d^Mmgc L*.T6tLeIuOH3SJQ3=F/ʿ<9\JM6mN6=<{xkP!F1QR[I$6ُimXu2An2yԒMU q f[IB-'䤯jYm52&JG\zд\~vdg QtHGXw&1Lw+nDEdC1w|YJmvP)HZ>i0BPβә?R:QO["]I_Jʏۍ>QKyu^bycBq4lXF~l [\*N>-J6,Gq(Zr5h]CwYӤU~ʶߑ u*SIv%ZfJ7)! FS*s_\|IŸZ)J ]ܜi4"z[+Z,MOZ))}|Ʀ(RUNIII.S'ˍO~˨rn}M)xxӕ0 eyҵ7YMAB]ӣU:/ѭ*6bcwP͵ "+qēVjŹO|GtY4V j[mLV M -m>",B$ GD1~j6O4|LxnNmqATNR3ε|DŽa[fmn-ڭ+FiK7Pcm;r5 l8r{#-]'nrFh2ruycb;pW=njRqRJ(d mnpckNnʹ+6]tz~E=ʕ l ZZ5jSi3#47.Lcfe`9؏v囜.F\-UZ:*0_<Νu9Lӵm&)_3\^ҹ3"1n1v_|uRʞͫr'iȧN_kH׺8xXrj=\МH)V\ˬ.Xʸ oVRC}ySU9/OBY먌5 ٿwޞ)rw8Ӫi5*5ZΗcGƱ !ZۄlmpjJ -l <R̵/JAպZuq\IdUS 48wXJJtcg4cI~aqߓwŷrm-v)G7yS^7H^-\mŌAq|"m9IBnF㏉9[N+mmy/!KKۉ%n +BdddfFF6FQRN-U5;Sv'm4kcM=Mn)\qιqUd9F%",6MGdT%-+~ f%+y֛^3SrF>6lc(֪vۊN;g._0Sѧ]ETWرkQKzGe9ʨsKA"yC y2\[5 rԭ7Gk5Mzw_4sM3hxЊ'oÍ5jsub )ͪ~tR2H]R͍>̋m6=%(˿(Wrr-܅y5(ܔJ޺YunW̹븹NsqK ]/QR#"ZMDfD|43Qw|._ԡSqTZBg??O Ϥ)/E_U|i}2 9Z?¹0:x'3,whǣ?C y-A~=daJј&M?D1_PS+Oi&;a @;Dž7[ zZC"bv:jjMQk$M RԸ3uA\=wI.AwC"^.{?-\NSiˏ"b}T/}q/ o.1M}R%:-ZniʒL$SgrBW*,Mw'N\ɇ{s\j]VryG'8f`}'N<*/`U숻z CwHq18J+vԕKss4R53/&XTt1bZƟo\=%nO)h$rBi-nKĪ^ ջڜlwkYm[̑+/QrZo%TQ;TLs($2C:s.%+eoNttq۰kK7O0m_t_pZ1SsSM7"mevFZ[w -FJ*T*jФQRg BSu|]g:ɵzjqwmltL.e3sRMچkSmjkmWœިm++¦'tILk*բQ D,PB\lI[9{%Gb R6öۍmX-MaʉA931cs..G4CujQտ[9 }G-xwl)IQz j Ó"rqe&=]꾧֎c)<kӳ+0JrRR3'TnXi^xMF Bު*tIL.[h"2"nKzZe'ZV/RrNYz]8죝n]Ķܩ>^Ժ]u-7^\mZjܣ9+Rmn ߑv?oꋘ?&ƪy^N4o=3-ؔ̿*`}V݁ ƒPu8%$ ݗ]wt;\y\>='OjPIp/nJU8{϶FNMsf"ίNqƹ(+ ݮF2Km |jܴZs%zf*eȫ?]4)I۵nR&FX + [jDh(#哑9q9Eծj8noǕZf\J-l&Z˫}`ӎhyrΉn\űn]9pʌӣ"׮Wt?N4_I_~54#/my1Xr*척aS#DT >q ssΛW;3oUaJSRMDgQnt:Ql,/ ܷfRqiM Ȼ>Cob;A>ڦWقM9X~/!'MW.}Vrߔꔵ!5|iB(0-zF=}okڢE$^wW~nokY߮\6՜̌{i-AF*9)\t9IV6۸5ZUF6R$ŨQIq砳YUZ]eyv >hI櫥N )&l JulwE1GDOuFN2| }馥uC1rޫV+^gdb&W[4<^e4YW,d|htͮsUM)۸8:{3d{AѢ)~ \#J=NdƮꮓ90 |1K$v*?мS ]i$J,C,SG?/_՜pMSƯM|mG1V1$~K>CSvkuj=&) -,yLjuFHK{c駗.SOua;BrSqj-ۍZ#'Jys7[g2z/.u4+XV2VQ.ޕ)$"(%)#Z7suZ%j }BǬݕe)Jvz8zJf:hIN|svO1O#IEcۍjݽ:SdὮvu^@:o^5cs>i/VqmVm]ؔܢn6'vޑ̗J4Wn@OlKbX ;n:hgJ9ŻyǑz8f܌q&Y fN0N;[69 rbׅC2/#kE l&2~èMR.*%g=Ft.%؝e8<.e=Uv{~㻏"EˑnvDѭ͜Lu3u0:U֝$[M5<:oi+V4V9 6nXvx&_ q Qqw3W:uϔ2yb/(ɳ|5zQiJ#r|Hw#.W?4aDŲ\ugWG;Cw鐢K|xg)##=O.dF˟jMUvWĻsr.z]kPc9"]R)mkfOd*uYf١RsB Aîh=k]ʳUrrZsq`d#r$/Ը3o^&lRWȍyuW̦Y4QDUMJ65ƒ[+ygk XK_±k#y:8(TJOSQhJt2.DR}"5[) r)6V6u5k:eXZmv𭤔!푊Q[qQ}ҹLE- 8qIZG|UM4j}Mܕ[Vwm{} Naqµ"ԈM zOpKѰ?IAD3Ir0'/q1itoB5{%wkOBn-ۜduqIzYK60{+DʕܞqIt";r1mG/\/ym[6JƫR \L=S=OT@Ix[TMm{>ݾտ֒ݸӉLYIx>+"JVNzx||5rI?C{oz8۹e\R-^\A2F R+N9 vlT]"ۭ d)t֞i #E2jB@׵=#/N+!ĕhx}I!cM`ąZ*ŻɄҒ߮Y.Z}='/oۙ3IpW̮hT7cTSuz9>B}΄&h!>lӵn~j˅IvU.'v'CSZw8QK3G> ,J59ٷ+HSg䧎hJdzvwv-cvxS5[̊n~ؿ%ַX?O0\6ne 6kn9.ϯ} *h 8_QhLݣ7q +=XBҲ5?[[)+F`=4 }B,sNg==u*Nj9k_GJ)+R~GSPBȒZ:(K]heL=vKPӢwq(NrG^ثϣ?#tC?.ͼ[ۅo؞y#%ǛjVyLSw%T*s92JTM%"YkQО.q)gCͲn8cgi6j1MѾ[{9h^vƘǚםidfi.^RHmg&rׇz:}݃}xT$ضk'5s-狶,\vpbPD،=Okf.c#cdz2FK5T!&)|ntD<+OŹU i-G[EE*FDfeaf2QƤM\UG_{ǹm%\yrGy:.\4wjPGUJޕUV7Do\7Vy_13w;[?c]H\$IJ,*L]3b%L{y.JRKG2sq,B6T}(#nW|km+q5] r㪍bJ@y{byz,b踊3ϻJ,'^xd،)JVw#.Vټc''ÝպWtbRؒJz۠8!o9IۄS95E9ؔ-e9JR{dmnッ<[~n${~Њ$W?&ՐY_? #a.ߑv?oꋘ?&ơ|y^N4o=3t=~7!/M3>n8W홎2M`Qx+ z qy8%]7_~540ۦ彷]Wq CѡwkďyF5Dum_}~P(5.(X,K9vᯐ?leB9;Jhm#3{CxGE-S{;@Fz˙]=O'!ɿ]' r`:7'2bЖ>Iy,/eTy/V<.H?UYY{\^#ѣr9^7?xoRȆ7EoS_&??zϾM?(~Q-K&>"~aߨ t7Emsϛ+?;fCr)fY+>z$tIkjn_>vnrֳki-˹l= t;'EyC¥|/BLwBJdgjۛ$s S1|ɍV%JI6KvəhzIlBYɒ|0"Sy0F>eo5W)O+X˻u';v)2vVq۳kۮws?UʑBǴYO漪e2MIjPAک\b1)DDؚKm6ZWΨgȕ۶yjڳ 2ضN[C[|r@9Jfo<_eI7q.|cÊV߷:i.:$ȋ)1%%)ADZCEBxJ0MJۥy(bNsKM9k43IwNt.\%N簤I'.j|ƃ2$grBEٌ\}9:v*!n7M(ɽ]7c@XxƱԨ37īf62cTTfFK]9wntQHͮvٱI/f|j=7}\_V5U^+:uljSȃY(XI.ȱmo1甅jڎIZ2>#\*:gY|4k\8ZwSqtyA!+];бޞKծË¥e)#5ap.QK^8VdU{*ѽL\=qmjnB5>{ Ӟ`v±5 ^k&O~Oshɷ,;6nOW>u6{RqS`)S%jp\ipdEBLfTWy$GIYw~䲭J.1vSY5z.V>^+Ǎvc.I[R{QsNR3ӎfhd>y?UJ*}~[e\i5U^͛E]G_FS(Iɿ]i8:4zj~շsW,ˆsy:%O}iur]iF5~3M:Ӟ#N06)4ߧgdawIotiz:1r5YDZLHBSi;NQc44la=Y kQIT*ըl:tq2(է9VO4뒳܂~2rq'nrVZŦ[t7\oլfb/mlpc.I8콚q^1iE~䰳mi[dۧw֤ICfdFeCsg:i| 6擣׋* 96lust^{%99UNRvaMܽo ammi$em4D6DD\nA%$$#}۷/ݕr99JMն[oT޲E"KTaP+HGkŴj5TM5xƱOS-k`ۛkٝWz;{kS}F;~q|~^_|euwnE'pSupUP)V]vE+t =ZRaVdG6= *.ϼnj9:UɷbېmF_tޫgHjVS'śǕًdkkѻ_]Kv?nT>)^e=Ar1'3ԔILyD?:-^in):{7.؂\.:V }#뺾.3r̸*xbFM aȵz 6SQ:ײj[ 8nn iFMw rR"5M5I旘35f^j='j:nNW.ʭocZvZKV^ɚJ.cM1ZI7E'6rg탸5oZ=[m Z`\hbMUR١Ȗĉ):Jin!_7Dй+f̷eKҷvͨBPR(V`y6tw*MRΝcB.ڭTnc;P$8nFvm4(D(R#R-L -2:FP lxZKQc6I("Km%$E, 78uXIFA$RQI$JbInG]c[ֹ:ZM+n^')JmJMJRu{e)7jQDw~%yQl}BZujSSf۩QZ+Dzhd5o%BIc'GZ?}΍:>Ɵivז-%݌J5MqGWTVʦh݇ܟ~Օ_6 n'{3~mϬj'J11OȻn߃r Qr\3y٘+WӍ'WxEs^O3 o~[|7>]]H9݇ZomT@]?5B:Z߂'`V_+/MSKX߆ޠk3?o7y:4R/7þ] iG߬aBRU&?r&/} cQߥGj2?C5Yśe7hU=?+ x龳f-܈czW^7p%-(\D4h{UK&ӡn^m]Fݢ:`δvj俜F+) y[{{ 7 tu>gvrěOj'5 iRg[ͶFjGe n~qT$ci ۚ0oԹc*jL[sVWqj\ݻ&6"WoK:cnWmrv)o>66(F>=W^bf#c zzʞtپy%mՉPël e}J.\Zk4ttt>oEM=q)hJjI=ͥ(%]脼_88ф;͛gWG;Cw~˘$4=uWdĜTثNDkiQL9U*O"4XP`02,Ge-k5$h>ܼ]3vr6!9RQPIVSnM(ۓ{>;/Qͱv{3&-[rc)ܚI$n{Sv3[j00)-D3z}MRzVQпj,T[uVs0\}Sid;r(ݝJ>æʺL&c[jPK0~d(FKÝW\m]GTcF|Iׁ)I3~#oX%vҦEݑؼ5Żv2qAZTE^..M{ʐfȏ2##.R}*KʛZz^ӞN*lPťLf\G6[WVQquV]XAi)5J!,$iJ6o$tPZc;Kjx_n3`qIelV~vLy{fn匋Ѿn%;zV.n'-ұdd2߽1bZksPe3TI9)$ԩIN9Vơ\=2885N\ p)/a柛w9g_lױo8ݷ iixJV& ғRi{N^_oAŮE6Y7I$Nk$|Q)-*4Z)^¸%4Qm [I%.c-OV+C֧R#%ѨCe3i;w$G+_dy| Fzj$DI(=OA gj%v/]8qԯNIS*֩',Q%\44ZZ%D|Ǧʴ6&vֵI$%8(ԬƾS&#Z. }6z?b/|Jl{ץv&mpx4Z$”ڝ4-H%dGKfM:sKSRWeJAn]>s6应-W9'H]'uȫYvgK^\czp|My\鏩w/ËQ.)]\QiS`8uL뚛̸=J"ܻi\å'-)54Ue]:K\퓡vK xwBqrH\*֕TnzC.mT=t-H]SČ~Nu╏NÅ3f|͡G~B+Xm[Q7U{9"~jgK Zoʰ7"qJ,ekSeNGgϳ] ^.6:s}_,%eRg<5⿨z{ZPun#jRІ.6g T.!]xa c#jN$Zpl̋H WZu8WmMRýsĮ?Mco~sx TU҆Q :KDG4n42.<3/'^?6/ܠڒ^yrrÿr2\D}}B]^E~^T cɛ7϶Y[<֞[7d}2%QPqOLEQR\CIsj1?\}%tJ0e~ *sk"*)&ۓEi#{1J8Hrt|'ܝRr8)=ƔN'RVz:cf]F7bZyZUȘ4x8,#JG̒?.W9XnO]KO]%]ƻ O5Γ/3qÓj؍/r̺rƵ 5\&m6h.xoeX[=<3%< lZ"2h\Z[&jW3ejm?k&[]ųj+{N{66leu_+lj]q* 7g*knأYv= q ەdxЬZ|%GUrQ3jLŒqET]1% qkXYūYc[7Ś]QY\jko\</Lc7+'hMSUc6qXyؙ~6#ѯv.0$BQi5YyIhɍiy=KD!n3Vm[V%W-B%swa97ajۗ m+9~]fKq|Ddaˑ0A]_v޺mM5* F-BYHJ5}q>ʉ.6hyDmpD׬'-_v5;5[8K[viJ.3dR:oYHHh9I7:۽fi+wm^ [)odPѱ52CZUJicSw\&_s0uBȍh32džzQflcd^m|7GѹE!fO5]]H9݇ZomT@]?5B:Z߂'`V_+/MSKX߆ޠk3?o7y:4R/7þ] iG߬aBRU&?r&/} cQߥGj2?C5Yśe7hU=?+ x龳f-܈czW^7p%5|Y:SJE\U-(a_cƣUǽXXKiȞNlmۊڭڄR!**ܤMeȽ$|X5(Ź\rJ~ܮ]>'HB0cp XFr_c?f?7<ukSgov¥iG>>䙗i.+t+bOjIܶ . i^:nm}s}(3>NZ$2Qg([".>i.ƾ)B̋M8+"- >eE6DݥJnJˣt׻ 5.˅nJGwZD~!i۶a,Db3ZQ3O#KO5/֍ozuK'GbRi᝘NV_ҝcvם ZoX}F6z 7e5_e:ۓj=AB+iܔERadMBq*ԯ DwI/Gy*mĥiRKg6skY/#SN4e$-yXM YL?^ĸNNӪ{$r1JJRSLO]Aqm>V/s[~i/j+m>z}eI"Qvp]{ZԼ:{vPAG2=T͡@ڐ#u"E*>C;o$~C#_d/HBq^YRٽzIKbOm\~żjFFGdiQ(*/i*#.FF]©m=BmpQQQSP&Ҫ!T&^>:y)$ˑÐFčI Bӡ-t!bM WҦŶ'UZ=}zvn~oT/\ǒ'nr8 AJIӆz<^uߖ4eFC1i+v!3qNyߕni?4JZlmYFXFۼO0B\m[ tʄU3s"Sr(NJ;SKW72L4̏BVdf^Ҹj\]ȱ۪(ӷm?J-KEmWڽ^4<8qu%9pŹW~877ܾeVгS(յe^C]yX͹! םm4FGȋ\y'Z FX7e)|Gjt߹#gb\ŧq_([R8[qU$Z (ʻezV2V!iQ,i$JE˂٩ a(GK'O{vnBvryRd-RK4=qxZJMl_CuuIz @Rt㮽޳!|68\-l[џ84-2Pu" RJ_^OL>G1~XnBŬw6J0*Uvlږ1N G1q9IUm*'oWu][&UyYZbBZRZNfEJf"+2nF~Eû7n1xv.RUM$6 lAxSQJ&n5ܞwlEói"#>4׿Q.nEq7Oko[1wg8ZQwZYiqtm&~">Bo?w͡ni2峋NCEy Ҕ+%ZJ ʩq*fpˤl,~^Mχk1+:ݕ z&Y`KLӪУDr3[*Z :(SL&ݻ۬Vqsyԭs x|iI߽zZrg.:mp%6ԜvgmpIUt;QbS.Է) ǨKSV,*lڌ|5Jt3#NP.=+OZ~/G سIgbꥹJnl_DUM\iM!֔wVZuԺ,yV.Q>f v:݇WiaŸN5Ҕ[M7SsrvǣrMW= \8ZW-jsnڕ.ZnF2qt ً[ٻޘY۷Zm"Jxr&NAfA-݌to9s359݆mZ+N1-qS$D=17 x׵+%_ ve4ir6Z$FDڗnFtOr'7'{9C˨ꤡaYoace{Refnft RR"4%ʌm:Sj3)OdInTO>X'vxV#jܮw9Fog;5.~Y5\~18YQܹvj4+~t7S ﬕs %^۵ڴDZV69R^Y+rj$ԇoJKR5wB9C>Y:l+EǎS{ʲ{T6Wi* ^^9k/y/Cs\g*qڵgn4T8mERr|Ti+iPe;;.i\EBEJ 丬i9ɧM-ԼsGDrZ>r#R>~X9y4b棇9JwV۔%m(b[Tjvl}۩~nDԺ{Zo-YuK1vx.nWuO+jN [ٮ0%"΢CdTJK-RަH"$I(*ve &҉FzB,_Vpqp9m8werv')E;o&QE׵^d9˦j\_,ڵugZȻ̧8k+jK{wmr@3ӭ2 wFkzFVqs1؛.v'I%$[iT]D5Dl2 nk7qUxԫLS+sا3/ΖeZYK<["%-g/kRs:f3;*E ت wJ%)5&+&rw*霣i|sMҴ|;R+fm䡩.!**dӶ-6s6,]zAXMWjmnz%SJߴm2UXw7MQ%<!tKys#P,W>s;3IYwx<+i_\\\U6 u7P|xbn_k&ӓVOe䦒 VUr,-㘘"-LZeOSҠթrEvq8Kf%5%&K"#%vD/.ZYYŏ+p$nZkvއuW9㓱Z G wYIFyf)?ƎUm5ԉ/'k84{KO:rQI}XRuԪ|*lu)3qZ[mSm5R3".Xcَ5c®ࢫI*۳~wRϿQWޝ(EJrri&ۥ^ʶ齲Im|[yb;mnm֩uiܘq>E+Ikx߄3r33-5𹻖09ϖ9[Tz~mr5NsWl$oPusޛ^{Z;);sڹf\3oٹZmԉ/'k84{NO:rQIBø8Bݱ3n֤DiK4u& ofSȒܩx<˘|N0Fչ]qsp"}! QWw@t4ӭ+cO5%]'*{eM߲DRO1y*q8w++e!c߶ܪlZWّM欼 CQ̼빶lX{vib/V/ ai;x6~]+z]MWB>re-:lgk}պ!#9?%܋V-c[z!W?c7YNm/jRr[HOzԻefճ0q15Zp#rkQQ0tU-AmڵP/cȕ?0cZYj;:0ZM=D6g ?'UN+ձ[K ܖB2'xq9{|۫N0ku 7xaj;n\ 2[VznMlWiKbSk))f..)Km)&bGZ=>OR܍W:j'rM'wYz&/鶧{Sʵb"vջq[I-ՌZH._x*BagC'T(Q:$ͳQcMCKy?3g'ߝqnT);qs #ؤZ}OOI:cfnc8W~qy.;^pVl]Hԓ>^H^@7-AA܃nmL(uWܻS߿ Td95Bdh4t6*dDh!EhI[iŨ\L.&Nc ܮf^;$R)\rip9I|ٺ?#R.ZDZ;/]nݻqs\QE9M&Bd ]N mN*D>tgbK>+ˏ.!23]BȔR1ɝ^j'k2ƮqBQq[$di]icV/e`޵B.FIIJqbi>Ӥ|p; 6${)RU>_e}^dzdfzi %ekRVUS?6'hׂ)5.\+qUgzE2C˷ecŏ^֔ibk shesFWJ#~> Wk~ݨ}ڶ>ơǚ)׽ZƉo~B-ڼrvoE:Ʃ3ۣK7+Y`WirS):{>ڛ}:wԨ(J_";6R%[u&ƫdZ_\'np| RJwNeTW,=rrbnkڄ[M3ܴz)3- R.?:okۼ0TU'w{6&w7j1z3ON'fGoO?)S_bQ_¿R(^ԴԴG.EtMڇ&RUiW uQjU> Kiu1d<ѥIQ'RQ1:O/lŗᏩiʂv&Jc{D5 Tt)1.n[n۶X}RjqnOʽ(~[Ns{ސ⛌uO,kgo֢dRNQȄ .'6W!׌P朼tdZjFGE"]K@'i۪N;sI[{SOzk>`rRR+!σj8&TjlvA̷Q?HyjyLHNտJMjܶT۽lG?SnKN%<‘ nq[N0Sq[Ta(&t(|HGO~gvkݻTR4&Z$#ViOY1r$6YF?e4U/Mvxų:zbU^gQQ+NW_'4jfz^c'#`rvrڡ(IJ/J ݦ6 ]-CW |_{v*_q3^DZ}Ic6Uڌ8p7{crZq5ki`)mU6|-Z5^iEz3P=:Cu7DF'k%}<C-޹ֲ̱#\,(f88%X-N(ck0VLR~} G"-8ӏ/ϰKq?(#nrVTmZ;zióM4 m |UT'C^_1X.gXM{%ʤd 4\ovN":"y-,T)fLQgۢr=/CƹǨJVr[a+!rT|%Y\ٱzsS>jͱ.oOc6f$q% ǒGo;n[];ߎjrk{~\VۓNIGn:iqxo |~t5)Rxעri{Vi&NUOl_ѮMfsޕkЄay.0P{7N((BaIP$ K"U6Gl ݙqJRu+qN$ m#*p<|{:>-Ev=86N*MM긭U*uѾ?/^o7;'u,h4݌xښRM:5.(/ \իU.{F^rmF-Jɷ.>Q"[4xT^OZ~mK}T0ݛ^SAo9u?lX(' qj%=X}"^e4wˠ|rܫ 6I\Ķ;Ӻw!'ڍWg{ i U_9Avhۣƾ+:vs/MK[ɭīe{`Zgb}r[i'GE2J7Nez579wRq+Un ]J.cJ4M:h箽Wxxm^ pc\wcN%'My $$| :$Fqɏ¾^қP9J6Wxvu}ݵP>Z'FFdg"-; [¢cmWkÎT8nG%ݣ7*\խCLRYZͤiD&J#'ehbSyXK|y*ӞpS̍R`[pTr/Eg)K+92{_ n3zwz'oŸۤ+sOj J:`T>Cf*lwd\fYOP"R E֢̔L4ɥ :;.b(B02rJ蠟9>V'9M%)IqnhP<%,r'P/vNSwr#w"ݨaqc(|{kd=^0jTMR2ULNz|.<|^PfY22##!,K~E BEJۜ&jRNsHަޛg\r,v؜.jK3)[EJ2ii{KEiHP^&]Gn8x=K}Wx/KI9-ϵwQ%spܾ[^R}S3$qvq8M[ ozKxcqmJ/ӿ{_}7&ݨ\f6ZSyQz& 7ۉ[8~UNn|nkiTB+4RI8'Nc%tn{!]Ȋo.nEmʱn𵵥J A+wy#+ikǒڂ;՛s85'KmE:Ђu""Iģ5p=БbTY-ͽڔ詻ngL2Q}$de# fs^o{DUUsfwӶ;s1T,ǤtޒQ\෼J=.tKU,7čJ5 N$y3kdSMQU~mO[03 $zAڟsF5^뜞"Կ QHmrR"ӳηer+ҔZ]hE-6Jmt'ޒ=O[sQj)6K}?e4v_KfZheޓ=BV[bY}lݒTTЬ{ȫvO_qpRApVŗ 6ju=*BR)g "O1yhb=tqJ gtm\b3RY+JQ^Ō֍\յ\>+uSi{=x ^w;uӘ#ĸzLn*$anok߷CBӷ}5Yqvdž<( "_OWit5:EZj2 B ρ1̊fi[n!HQF82q1牙nqnEpT(2RMoM4ϳOu ':֧_Xjsg jP^(ڙ{2%E͖j^}ZU[Q$'U) <܂%!s"m R'G5M0<+zM6qYm$ڕ$3ǧH]?o2N<8F1̻r_my[Rf59NjpzBnl7*{.QP 3N&^BLJPjAHCK2Q}$#~YMq8 k(MFMU)8MEqTy+Tʞ-ar5yܕOXw!e;q-Jqܶ䓊Y:LC UE{/t>r"lI9)3KJjϤA 6SEE$d߇3KG*En|P\ԭTn6I-ƍKTj<1H_zwGr19wF N8ݝ+a9ɫM6mhePi%mmD! """"""*1bRKrD"vnrM۫mmĽm]ӡiG~e"˩ lhRTMk^MX["Jݱk7_ޕ*DqĒ&flՒ}`W}~SմZ{ĕ~wm*/{{ѹ_-0ط#P]xlڱ~Tn5wi*lڪ (JxioϏbqKYR|!|KN53 OS222$jzww%i}>N)E+rۥ7c$Ofl/LNث\6H9: FY󡈾I)fB֔JI_ ֣^: 9mY{66㒢7Uj]:.-os[R&gMF3˸#໹kmjq^8W"PΦURjʄWa˧T!͋ lW48JB2ko+ /Nw QwQzQ ے%$ޓ7^YL|r7!v%Trܥ &|M8~ybrn[RV gSn{{*#2#ԽᢏӴHak" ӌcwҜw&RJ07ױ>Ļ =^ BɆ)v32.M1=#6%̠tҤnzqMwԣ~s*%-j|_m*.Yx9Sz=)qE4 3pk+,`=kNRڥ=B=nŔNAx)Q$ԩȧ4z3t#Z2lҮYn$S%y- JzGpu|LBV7ZW#;Wwipܷ%(6jFG5#{$D"uۭ~]֫SrD܃fҎӾ+Tu>-ZTQ& N|$沸ii>eRWݳu'[O̻j8JۻEѩ[]vni= ڒ,[_%kC7I3Nv$4ɎЈeٸoUu:[}Do5|zNq=Tre%ɧ6&~DȍF]ƞG5q m]/w/ \ʲr8=oʔe9U(W"|S]uZd#?Se[W"ֿh][-7Nu:T=)R}.;ml*5Dlf $fF(̏T hiIUU4Szɕ t(%_|2 ~6eM;TƗK[f&]LK^CE2[ȏBOd;Mi|cx,^6;sیGpQ\NuJIFTJ~đArh* B"$H쉩eXPRj?sl"ԥ)su]xpԴY%VESH"ЋJǰ K&5^Ukzׄ8kEgS2h&Se\ Yl]WҶp-ZUvi7QS:4byqOo+[̺腋[6-_Fo.6[7$p&^ _GZԸߍkc.qqoI[9m߸YxOZЦ1uoiSH)P9Uʄjcq= S>֙NeR><;+ڌk%_qT].srNO?s[=vH[]RZHRMtᩗVؾ:/~u)ԍdg%=edVrISb{6vSu=(ܥ)mTv/J}̇8 S3ad:^hBSf؉OɔLhI_1d8,L><_A0y3rXq"'(۱;mFNII.v5_(^q~X>y{3צ I*Vܛv/jW' T'NR'j%ꔩ:mJ3SB}΋!-H-RJBТQoedi9tjENenPpke.%4]#{:>mkEɱdYWl\\\'nRM4&U>?Ќˉk÷!𴪛]]5}UqG~ݏI"O~s6(Ļ)qO~h}uԕd}Q~G,oE!&G&/]_H-O=o{k\̭bkv.Ô܈+;arZx)m?M\3lU$mk-CFXjTv6u' g:Vn_*qk:VC A%'4JV%EY)#BғO4<e׿jQQ]yUr4=wm[K1r׵%Iũ-O}|kC;/VcݩWZ)EHdžTru]8hgĵ-;=>U_ InvTm_jBM+QiF"9*{DI/iuo(=TzϖmPQl_v4z>T*ȴ>YF;ε\t]EH4ꌇ[VrLzef 2T^V>g2~kg5~Nק;{~Z~W}&ŒBӿS2$J?~(Yœ"˲ߩ\O]: J׉ښT{mmIѩn3˧)4LdFZ/zUG>U> n 5& ϴ-KJi2o]uKljvK3$bԔҚV旧iY5.ίfi96v7!v))FJM4{jG~Jt/lUE%pTAFe4qQk\ve۽/u/Im+W')v{\-E|Pms7߮DZRr۞/mu*1ՙaB܆ -xg3#6ۥtRogʌU)׎]ZҞNnŞr}F1Nnޞ;cZ{N}ۿMiuxʉ*3qi'9KHQ$WJxXyرŔe~[v5~/jN9Q4o6rJv FrdxM*iRjMzUinHdн7ᾞS=S'7 } ̽zt7K|_g J=Lq+/Bw_\ۧx\HJUPzQ<hqF[V0x==CsU7q|^ {)Iq38$_A(VgcKu06Ƅ"%i~_ˉk QCܣB8Ku/񋇵u([w}$F|8TՠI.E !;RJ^}MɒD_q2];Ɖ{5}*n7nEInO{Mwv}&q+v [V}Ĝ@%>#dXQ$f;iep.GquixVt x6bj͵mlKقQ[T]zs/&yەnM'W}!Fp_d^Tu N{ɻ'l{խ2.sTu{W^H&;1s)Pӛ6>$mě;Łnj= fLT)>׸+qReɴ[UR\L*P/!$Ӊ3Q 'K=m~6XqW3^W+ųO_[F$rR*u"T%@O +%# ]˽!aܽz{ͷvQh쩎]hGތ5ɇ*DzJDRNLi 4:{~2FmXY-zzĽ^f=]uū{/+&c:Ma{ĝDp2m܍kHș/(--m_vݮK(V{R}.k&yƴ7i^4@3f sK3^Ř˸B=]?gt5KbZB<e;kQLpxuWC}n 5ҴepB##~q= `x]KWF {GfŲ}?G.I9pjWkU]>={7q{kO/^I3==f1ɏ%nnʫ/Zu_yXN<57ۍ'vy/"8넭M2eԷ&Y,в33%IkjMr7xf nmQkX4踼>a-GcIeތw&U=-:qnW)z¥j :WqSZvԒ#j"KrIU)%qrmRoDGQ~SYRsu*V)  ,/x)MFD6O#]z 96[Ui(JRfw'y$GeUީkdMF-ݻ98F2d[o{Rn0n-xsV6Dh|Eb2E:KCOӪv4SJCr"J!!m,hRLD| ZYFm/X~ΧfrN&4Ƒ=Z9Mh.Mܵw/BdrܥniŪ8ɧ|y%œ[M=_tj?F!z5\evM:\ ~F-sg钬OWq“iiȍ<Gi%%n2rqͻllƑ)okw7}\Uk-:&fj솘XerV9yZuʼşdFC=rmo%~ZN78X(N)_7.Εn1MpJ}62jjJdI";R5&iLԸc:jmqiQj$ujp\{;v5B񥍪Xn Ą4qOERjzN(Ga٠䌡)p*v(J7#ZۻZ8O W uONb+^Qipv9GvֽƼϯrYƖKGJQDNPhRJjᡧC"21"9ѓS1;R_O7/WGz)8fE%F2ukmvSov/iZ&/]~KmI[:^~ͤ\kMi稜\ywJt3W7 8Ʒ~ݥeFgѼw"8VVSج\뻆}ݭ/J6Q)d|)zU3>k\L=;ow֯gN3pKѫ|wmkZ$z^2R:E)f>ς нd|#׆?\ǔpV{;\$ƵE%-ͪm0S6[n< kE[}mvE4DDZ^$OZ0*$~XUv҅B@^?]so#%ojw;Y#SxxueBگy v^i-)s)zV jC{7Gt.w3v,ygg8s]aE_,*E tY5k٨h=o"m泏:\6w噓aiL׎n^c\75AGkЯ0Lf46َ`egZ˓p/k;̛]kq!ݸzpԭG"}R9Ve>ˏHUjJ-&7nrnwG*Xv\˱/vN}O)ʼn&CV͍f̵]r\PMB-6Du-#RͰtRN^)mT _}nSȕC*_xBuTkJW[`ɩ`ejvsngP ڻ.-WUtܑqԹQj)t;vN&RNũT+8%IXӃ5fK՛-d9 ]CƑm|nZ-6=Hz,*aEm W3VzRšdY~Xf׀Xx"]s;)5u*ُHB BRGS6bݶؿ 9j[1*jױga7oX CUI%0v#~\-O-Ꙛuɷ쏪&5mY٦M`LJ2qK~HZbr =N'YobI. (^ ׾{_ ?OJ`S`3BN[}5w6:ǵ/iSlt=4F*d&T4y/#. ɵim5Uֲf 眕6Y7 fơ=3dϕq뚩$qTM-%r!$@A? ޾V0c~{[{;򥧅a~ڵ»&ڄv1ek=wb MLkNAԬw-x>~/r=e73VeVN)K%Sښe"+3uXuچrn ֺVzscJ峻m}vb㶓n\YbIUBT%*,0nov=;z꣓S/nSXSpl##k9mXGrZv^Gde!ŷRԠzQyjC]`gToPov{j~KRBMY}i[߶9KL2ԉO0K#m>wB[ٍ+n[[b٦DX ݲpo] [\m5qdT()mo4Oy9Ie b][wղmM~vmi۱~t \}$яimRk(L c Cvk7r9_r1 ;zv|F@KyZ[&jEji/"6$69ml#e]9s\{ScL}Ȣؿ0q/nZ*t,CLoD߉Njǚy=Pgmu6^]l-["çUʖMlʍp-"qmU>۷uFOJ%Ǔkx 'g=睋k[3u,{³WɘݪF]ՍeFX"Oy\,cچ=w/gn Ļ]#2? vqy-gXnR.^}ݺFs{ŝG]}e|#0mjx"ƬWكm?rgU^xVB":Dt>@LRbun~ݭ,w+v⪕;\U(RYa61>#Jm˞Μ9g9XKaG='u8gf}'qy#ɉw J]We.ʲ-<+&q%s?2dњztҼn`cΤmmqMdz O[-ߩӲ&;[tmܝVnr">{x<8U+p:Ig]zjGkt,uzf}dؠoJaکqEq -(:d<պ=eKy[˗^%ZXkX[C2߱\ITTLGzANM￵i]K>UsOGDDD.ZF6* ҃V Zhz{'xp^`wo8r0h ZmJ5"jb[l=yUu7-;7IT%:jFjߖm0tzU'K)څNۧYJ)4IQ}^KWm7kSP>q;ނ#)'n7&׊r?óM{IwR\j2Qn[v pe#/tAF\ϵ225q֒om6z})6҅*oqDsMf CNIN=T S2t,_ѧ}kveMF0J\Rnnݙܹy[rUc-j{yGtkQ%s]5qB.Nw.JN1LvR Ui5J ZESQԙr):MJ+g}χ!2;q([jAud][ljVK3$ײSJI=/|&tl'*n۽f.frܥ jQO8>&Z];.|7T/C}$ڋUmP2Reҭ8hFF\L 3~e v\۫]ݝNmrnB%*]Z«hKc=BTLG :V74$=Ǘy+EX'4tn(I:Ѝ;Df8c,k1%dJ6.j6ź{N~l6&*fœI7 WAlGOu-ҢH,,(ǔe뿋쩨kM܍ZſgRvQ' 9)?n|er˭|I|-fGK.rΛp8XV1%K6mvG+tc+qE&ǸC_Nm:l=_/m5^[dߌڇ.c<%:)tQ$Ow~-aY;UJ>=F)2[nk؆?훐M=l6[4(O.]2#-H^n#->&mp5~Fӛ+|| S,xag%qkEUzUgæBhߕP(7]kFnq?֖CpruZ6*rEڊtS|*tI*E}7R<,nUU֫^I7Q*mSly%rdȓd8hE<9oHhMfNSRj[i7D[Rj݊+kდq{"$$H?p\̅S?㭻;t~R߁)^/>Qj`yt[w ԛ;²~+ߔ_ YW~|o]?x^ᯛ `ʼn;g)T@vWn]>&4lp+$D̢1l|ȨF%-}.9[}w~ ԠLM9hСablfe&QoW!s?wjLK?s7yO>(=C~_nyǜu?v3vyo oI@qV-jeES^[9WoSܝh"l2C1a͔CiJ@3:Pճw=/7ovuk+\V;lDgն<[A+rX~d;m!_s8ݖ׷;;.0llUC+?i#_crʙ1~C.\–q ul8Hܶ2m`ܻM3Tov|Bs rɵ"oLS- DКw=Tv@f'6|YlD͓Y%׵-#Ѯo%:&!3o%\J<02;K87>^vgƓ# ;ݝmz^Y6=PS39U%~ &f# }o!muH;ʲŇ˷yvP+&.7e[3'vR4Yj̗IZ`e˽3o[WU{ m[sUbۋZǾۆl6~9'V*.\S2<Sd*zY[aŶ`]C$n.v^Ʌ dng>ەZ,Mmϑ :n6nϦezWqUJ4! ۇ4R! =>>Fn|Q[{pRO17ƕ~._I''00k=b՛o}Osðc2'o\3}ݭQ^2 . R1yKȣtAݿ-uܾw!`?1Whn|gzUo[ECWwjUIן)^h#1ɭ!/Z np;o;ΗŻkXs."6E`Z1 עӐ9Kl8qd q} 2Stt;#j>;խabONŗ=fwP1j)l6J̶|gV2`y/0E˛6+ԫ1? 6}KW c\KoKͨ2ۅFw–s*TԞLיuDx .kCzWXhy۶gLu|%TnupǺl-S* PRaLnT+c+*xl.v!.U=|; !_L̎뱚U=4hm:ٯ"y)$:>%(n}X'p[ȴ ^˒4kƓmzDx \ 'NqamP7nyN݅=j7%McSڵj%STy qXymvCg{w/w=wSW5r̹u erծˊsOm=DhEҚRb#n)QOxtվQwe]I}wCa'"[ۂ-z}2UuKP$㜉ԧ:mc<Ý>RoL?wu|%ҷ&K y_!y9 ??:tq3(UU-lkS'ɸ@jdzQˬR] EVPW1DJq2n:,c|ǻ̑;y{X,ۂ.u.b˕u.tKBjQ"[S園S`ٮdNبeJ&9Ơ ~0a(Vm٘L+Jr*vڑE( x0+tp˕ n';wm-ޜMOxX>{#2%jgb2M[`K*\5@8l'e=0u+w ֘鳾{y܀:R*Ya]"Ӧ%ktynlۣ65,3gU}{GYrb;ge'TKwǘ.,rpܚV]Tr,!dp /ԺU,xՉ>s׽~W5oTh yx?xrrx?)?ilbT׬,z$Ԏ.UH٠\U1pU:]JwSrGZq8àd驐,N67QYBӢD㏙W!Q25ϸo9ms-7-%3CihO.J鯽-;MZM8ku-7k9S$8]q2E(}bۏI[DKOK}3KUB^u %Y,u.-&f#]'܆o$x`Yu,dzwM;#oKxn;\[d7}Rb+*Y䛂ZuBӱl{j0O̓}LhK;[aֶaGL{Cb#S.T[>߃F]NK"u^LUʐ_ykW?!GRj29͖qa'0[npcDvV)qz9R)PۨM^aJx W] r>];eN3vxdmĘ(5W2K1䪖weF{mE/QP6\u54x5[hۮ-Nk”i[lUgL]J}5 S:EhiUrgHl!ŒJ$pe=q^b͵Q' ?6|R\,JA ڵ"TDꈭ:ymg`B5t%M] <N_zv2_Ortٵ/i/ReӮ*7[qүqEG* m"[I:6e^p"I$jԴęh!m)]GZkcjS!{e^z}+Cѥ9;R|/ֱeiUԏCNu2Zhcٗg$ݭwvr P8*7/Lk~I'Km1+MW%Bk|oOm>-#qj*|Dbѱkn|n{v#jĮqNpMIUm(7Liz;{ҜݞڝVƚVϬ+sO!OstGvxӉ']uӎ4g_ 1^-8ۦ k!)Ύ5O;YSB#2Zzχ;<.ֵOtge~.(RC#wFZeGZٸ6FFJ4e2ˇpJT$[wgV)q6muDGJ56q\I!̗ y/I~RtJ9kJ]Iy*'FN0s.[l!fw'y(7$œ WƫgyΙdMEU JQJv̋vmrۖ.jWR_M֨djYgSj0^\y'EoECjm$ IƩK>Z28J2TiJ2N#}.s cArl嫶nB.FIJ.)۔\ZiM>/hLĸ=C1s[?YMqp|94- 鮝𦔽/k^#NT(Y LS$6˩}{;5 )B۷W$qpN)qqoot}ZDVә;7TiK|6f3h$dԄ}fqݡ>Nb򗉉+ͶO]>ߡ_VtYf79ڰիF sq~prս|QM)g%l0ocJȨHz V;Bb/kLAcfPJ,ԭ{ƍgpjNR6VSI*$!yV足jᇑ.](EܣqM\qJ2eZT).<9UB/(B0j)mtKEj#׿fDI-=rZړj|'Nڤ]k*i$5qt"ݙPM6E4ke^Z8ۏhz$Q(R Ay2zfRñnpnkbkI:=j &ΝșW?׵d{+ύM'??XqeeĽ.[o=UxFS=ӷdZwenՄ]_X=ĭVa* pKs0ބۍfJ3 gz̚i|wnxtjc¼5${(1fXQ65ȼb̶Zkn>%FQMJXӡ{TZEVNᖣimT/37cNJUPnP҂ZOE~"-Rc4^b- FEͧtf5[)S!OZIښݲ͑;tvܡ+N)AR=hCNn;wL16-:特7M$=Tҕ-.R[HٷnXk sn[ҞD-0WS9p9:-Ϸ-jѬNu{ҹfv)[Ľvwfg(ٷfe+0mYj8Q1\ݧg]Eǎvڿc!4#j5̋C2"}BRriFp7=ô\TZ:\BLfj#I22װ<;صZl j 6:l"6]۸ K'6RTѯ^ئOԓV\?$x7s#r:Oh{ց=MmuHԷd{pN /܅:UE#Yy+(SgQ(Щ)RHzw>^Ѿݻ>mK&^ '$Jۻ&w%F|xfz%˳ L~3N?Cy9 v w/{ƿ kz3x> sXv}vP"@WyC z`'톽Dw%-tt yVY\wmuPYQA0iG-2JP,6/gˢ]u.-n!Zw.N7Q]Df}Q0({a\@=i_X7gFǘ8^⻲}G MZ1)WEfO12G+=-B@z\`||w6ċj߬m}UwRox֢I &c~XGP6Qndpvܻul'V7^FJt^{b^B(L~sѣ6@߿^xqU!ڙ5|Vpvef-uӥ^3  FSDɯKD%0r}FF穛r7 +o"V8tv̖NQU!5uFd"bCr^bJ=֤fM#ʳԷP0O-9xRBm\=`r-:;~3Tl(nXtXi%2Vٛ#vwqƴ`L@"H‹qW.j,JM5B[)WܺUeZFqc'V˷1W7V̾-MHФwn8N;HPSdݷC7&2j.W\τGŎ'Vb]c.x+Rx1%C2T{myg[qU|+m:M:շ8҉yWd)ՋWS%%:iqlʹmGwݹ WnNŤѩ5(9hTٵDdGUi-)vSs2 2{OnT$Xck n:¶(lASLeȔBjμPpTb2~N2~%^k[ܗ[Jzs0ӓHBKq[}JَA-$dFQgjxxFv4r/x*Rm% `4J(&iv7SkԲmSH1YWmx 8n.k']:Z˭_W >ڃXЩ. jTq%Aā[E}amc]D:rmHRiu:uӚӢ\p(5-q%e)(۬ҖȽIf<߽pr&ݫVfY91q2ĭEQgYbTGQ&,yL+N$[q*RVۉQ=FuTܻ>f>f㋳8N6$܌n)9&»iˤsX,݅܍ȩv+sRTpO}d?Wn/Inpȸ%O]StQO|v5\}7Zwb.AIVK^:wb{[uݯcytO߶S<{8KSRׁH̏N7ۚ[xkwYy_'ZӵF+>쌛ZUĦreE9F[24De{}@:ExWs-\ǻ7K-\JNvEk%:s˙#κ].oͳ;լ7wB6nwu:$L; DkI#Wz.:Xp(˅v$Sq,wn\qIN-e<5Oe+vuYTpcojUI_ާP8 O 7&VL8z$_B-H-[uh]T{|8=qVRN-:Ij:7PUtXϷmy鉿:RIM~33ӸS2#׳GdŲ5+/Bx{(WzȨ5Y㞎#|˖+ ط.|e<o/rߔX>7s}VE.OVti׽ .5nNJO"95{#q}Ay9do]R"M6z\tnNS-D!@3N_jicWsy*5uٮRcWv/.,j}=S)j5C^> Ie =gu9ӛqjtz]۪TMoߧI!Ǧ¶m:,"[L!{qAv-o 3{"KʼnrIkfٶj2ƙ؄S`7` k6jzޞ?e5G&6uʷ2%ԒRKE*G\Npom F/V |C0.q_eenƣ<5Oh'67ɪn[SĽ{ڔjǘzs;~׌(ۂ`ܢ1ƣ` _l9Va6%UQWh~P~\F^ZHR@:ۧCJ{ôGeBh;~ۧnU J\O+n2 RҠ)ng}Kh{5+S×ܛ.1ZjG)iRȤIN 4%{oΜ/eO[Nffd ĹK?nnԼMqX'܌nZvq<ķbFnͪaQ`5 s,M_լ?-@_{w{ӺձJ}GF[%v\5[ŒGkOw/ΜM9rjË%2+rd~+󲕛C9U۳r[aJǭm|˒LAʨSCq[XMۺoubfp:t+ΤĻo ][ zt-*67kvS7D·MMCQXm;)܎n_h%]4ܙnRk!]ڵsDUF"`R, &#R_*[z*ZqFXɻ]7|۵w+'pFDەs=r./ᐚm3Hשy yD"jHCr':sA65نѮ^o1V/ f;nFr3VM)e*- s D'H݅fӧ\*޷[k<7u<-]֍Q8R h|p=WlW3s%Q %3l}@U-K6f-NϿu|ڴmWN׮[׸F*mW\%r! C78:޳vBG7ŵ.JթԚ2x)ST!řn~9 W:Wpܢ件{xf8ٳwKE ҰWxVB\qBZ 2wMb[lGSnyԚ~z9ZmያvoN2Afnݽjf>)j3 !;gOYʹK" Wftڎ+׭b*2ϻK>ۢӱeyԪXISUm[z+ugX%0lϏnvg!;t{BqPj>PyvR7Cj]O%+ݲ :qiMj6W}3vC/R=4Som]ŗ=ю, TF6U_-\6MyskwMr&Q\wjKܩyMϣUj0*}RZܷSdY3>Zjqj6TgzpA/M`/Cmл,޻feE[/+uk^Vs1W$G(JsW2ٰu*߻q*Y޵.Wi:ur5T),=0uRmho.twܖiYwrWHntvEj8qhf`Ͻpf(R&>Ki%I7$QӖm-2 ~yߗQ-앑/ x[k8nw.c㩵k}]FkbJl:{.(˩n0Hqvαp7 귎.Gupx[N`Yq'+ruU7[ү+>!xrȫoSo]OC# d^Q]\>!ƛGw^Mx"-+%vdX-:M2UR%d>%l ioSu6lsj7D P>XxHz Ukà(n^Q V>5cVtWj SEiJdznyej[lE' 3kuٌNn4JW)gB {4 j6&]' m-(ZMEz8cz>WZ6#7+[,MR-Z!4ܓtCyE|umj1ƽvƷV\;%>Q :#Le(iVz5 4ũۤUWxX ^(ҔsլB2w-V ^R+; ˂M\z+Uwr+RWY⺧~ Q*JcYSNSλUd8in=v K낫k\IRרSUaCFmϿ5̗P|u ZTԕ}>oYѲ1sfP+sQkX8Gb~6r,s>^\,mGL+7[n-E\.Fqḕcl*Jmjb5 ,m]c}NXfeVlǸJ5eˡ$4%g~N p4Y*WwW٧<8v#;qԩTut,m"#Y D\5V`\\Lȋ];LȇiS6ϝZ l>LruR\v=ǘϔDg=ԈdFZ+M{=|,[;0>RiSi4,S5}yxw&(E7&fݙ4UՕ! ~'Id)]ǽu2K-fޭ \08Vڅ쓬=Vy^^ IhyKR-B#Ըr=]mܻӾ'*Umkoy rTqT_i,/8Q^<ݤ|4ԻO(܄"'5N~#m.(Ҿ2i6Uev&I*<}҄$eNtÛzyWJubW^iBW.܅Wڮg]irO6Ve90sgv.+sV޿aޔ[p?3q*FutUo*eL\KM'EG*ZcAFfG5J 5jj=MJ3OK:k˝'NMB7m3uFҕ\-Ywg%PRqMIyZGY9|μvn߻5cWݷa^+X֥vnݘ\v7m>Fgzv"-;Ew֝}1|RjN𿊀7g#֟*GQQ|#/bo]p$>_Un9гUbn9׃ErQBU-^vDmVh'<R[fdHT]*~}3j;nvjc7s-rӳ Y8[n[1pJx kX[Jk9Mn!_Nю6x:iZ˦U |߉^Ԛ݃hYxk &U^bwKk.[jE+P(˞=9j@snCv7%c_7=xǁ<l {t'酚+1F‹l׭:ݻILruǶkL-L(K0L1&>wXB(pm;1fpnlp֓%Skidkt(U +xulo'/ڕeN r=^pZZ:Pnj8Hf"48ijY[ N[yZٻ+=  ø:3 ?^ܷ^Sr#YK[UF?CuhC b]GM')mڏsNrܗI]ljq6VB. W,UK"YX5{c >Iqā> T:n!,5l2VzCl|+I[*SrjnS6٨y+x,@>П.g+!rn9>N|W>OZT_ut Y""v7|sfި;Pclm EùN,{'fNT%U&LfH8~1v>Il}统u6P˗c(WV~H^bMU.o*oOF0N:_:6Smr_.b+|ݶYY غF,mwjv>f*>QM뭱Sd:`N{l/⎱;n-z~"Gze퇎J5S KG9!Gn;N1 ݎ h6m|S?ɂ5'WOÞ 7|7^ao @mxGmi^jϽ>01Mf0լD3-2T. VXR"ɥV Kl J O7|u?bvа;6.eߓ|[1bmRr,eRz`z 6܎-ͨku͹Fː dPhYgZUj}nvX;z=gVեTv_J }\1n7w2J?ޘγc\E 1Aޑzq;\r]]\Y&[nsNei\uURje*Qk2CSl*xJz-xٶlm+|UjUؓ`Ladqiĩ!Gd\W~fz;Tn*PdRM&T4`չSWq5k훶(N"Ӎ% V]֦wb.nUO!u*J&Oӕ2e|Z=eV쫚΅g#+/RW:طnbi*Wyo)p{:ETKؚR(RY+r웓r(IF) VmȵNB:h Q1ғ|u8E]{,'$-TR[j49l*3"I鯴zhd>Q+\BkNF=.$ZR4Nwհ(IpNi.(Gi33#33e$FXK*NdWrud[r{xnk$v2ıh+J1TQ[#JQl[tRO]LHKٮ NӍnF񨔤֞Em'MILB"ԋ%dBŋ+p̿_17jzT~4pc Vo\ƹb9Rq-'1j;8ܗ)hE%DZKS<璸Bu*%*Yw5ڻ9ۣ^z4U; Ñk\U(o~G?VUĎ:?P?_F_Kߤ~ᓾI |pr.Ok\SklRhҪz{­P .}SktZ7UQ4ڌIM8̈eaӊJZ%FFZu,KZvln廐SNFIVtuNi?CM5]+Ph,{jN JSR$IS^tSUVrORYu.9WyP6 [Kiu m!X|]Y79ӄ)\ģ)pbڳr%*&ꑶ_-H*dzk)1 V3')UAϹٶWRxe'պn۫h7AR9 EAJeGLms!%D| A 5]/Q3eb̄vnVn%za\m kZnv([emqrIҕij|""><hjJשvvǕ|Pޟs}V~2&Z?+2N&Z4w@)4iSڪ_>/JN9Hiۏuf8'It[ȲR.hZ$ȋ_Y ~U<UUO*6b)Ovzڜj\R̋.$FsQuҊj^נ䈈y<zZIuP[}Qm=C?zN(Exqu/kn S-FzKZzOסӽjJ\)F3b!r5ٝ|;6 o=-3*λ]αb\abqRi-w޵⦪~b8Kpo)Z=>)ғ"5/GTZLE-輵f7ݘ۹~+&+w/7GFI:l33fg.N~۲\2|*cnermnnM+Fq"ѪIz%j =YW8@~gc/~?N'?)«qȸs➟n=k" X“m֮VreMh2[uݖ] *FܖN)MȐ`f0 g,C9̑o;ddudJ=In13:ݒvvdMUEJLp^,6t-@͐9'{7m{-3,>hnF;ѰM)->>+Ěz!R* :`e--m7nB\u{b U>[8֪]6^ߤLʦ\DFNo$$dͶlgno8OrsQ\l̯hRo8tuNo+ CTxu!2[>ctFpeޓƻֶR"3QrQuOѳgwQr;S~)6HhZw/GgVTmUf_yt7%$];zLWF̰xy2Ʉu!MCmš_0[W6jf#a-KLi+3Q7c^qg%s<1aYIQeZf+}>;S6L0]Yu_h9߻<ƅpmiM$AVvŚ,*#t2.8Y)-Zhshü97/#Oro"u^/uFgWɺ,p:6a,^x%$Yve^3PƗMnTP&yS}OJ '덫MH^:rXԴJۋ/rI;S*,+yz1hv)Qw^ڍJ2oL׊q(\fDj:^T%vOadɂnS}ZO)N*λdaȜkG_PIEO}нa(^iQX᯦-7^)%g'SJx(.S9zVɴZ{E ))ۅi/s7 VIV-|sj0*UBTHIqRf>FP$KqN0 R̻8j\GcC}IUz\i 6F)Q{Gҧ3qSzKj-Az VЛS-zy:8*mNk|D鿓ND2u+0Yŝ7kqm·?8Ib]u>˗^_>(]vӋzv+ݩ){vZrJ2RQ몋C$z [,pp,8mڊbR]Il .f~d/ݓs㓓mͶ{mgjQwn=Oic9ܚm4Q/6ݨ[TƧ?nԶoytf{@AzT{e{[O'ZRZt~AGD?s3􌿂ՉIw'|~U\ w~di:Kޱ)U/sU%njѩ&GSP^ǝd)..!^U` 1wX[aԇSxoFV6_扐)T 2Mfd=ۖͭiZ7KK Bi9%7@<3<ճԻU,},a}FRqɛr i@ONJvK KLN M, ʖv0n-]DwlI-X6ܶ$Jʴh5O+mOI+Ra瞠\ MG7BفjYo1#͖0V`Ѱ2M?c8>-Crt*JkIGS:e#hPKx[鱼>{5m;wcն&>j-M֥^َ) 6yȜl_w{-ō̱r> U=]iw3)r*]:K]6BdCTZ|>gf}LW}[$'Y5 &c -j.z6R 67MԷFMnÌwI7w5E}o޽+K ֵy4܌ȥW"COyR[q5Ӱ͙f[v"_#q{MV6܍3"u9BK(41ӯqˇc${ߝCi6I(OmθzҜ5k^:>Jzw.>qV8{vU[ڶEm|DžBz].KHjI]x;Mɗ{m,qZXr忇2u^RO2Z}ZێS[2Jen!*NDcrBUً4<ǼMҲs1Zw57c3&ĖڻzmP*FuJG1-dN:|OU}ҵgi2t~F^^Z.VxjvŧnNNh<:]^~NN+ge^g.SԔGFe߯'[vn'(ScJ]kܗ7eJOlRrfziݮq̋S"\*U<*W]k$FջV}? 7g#֟*GQQ|#/bo]p$>_Un9;l S VvQU%OLU{οmU6bZ1MTx%!֙Q7, J=!3 ;Q,ڌ;6ͱ݅q^&ߔ·n #WbwӖX.HtG)N&d̵zpI,n cu ޖUj+VXUp[w]N o.J6Z8Ts&utxln;~HPHS/xw`G\ʡ¿rj Z^vt"[L:SD\h0sUwR,}[x^X,R2Vn< ]2YDr[SRKs8tXb̷G?Ps Tv 3be,zVz D[/I.KOEQrm'$7|[J>r S`5յwT#\w1FTz\Ԛ &"ׅhSHrD\'r]~/>p;:Piuu:"9ő=tTaS7V2rӷk7mb[^WmPp*[y.Þ6f]cizJCgRR@UVl큝.WJP1N{/\whZ ػϧӱE7|E֫Sί.x-Y&pi%v''-x6r'Ws*6=DwwUu]=C?MK [yrtܒG$!WGqJ*%SAz ED[^)/tė/g=#Omd.|^n/sl׉g DZqemqowݮRzUܜ=ڽ-o/Iۖ;qVʘgPp|mm;6zGl9.8pwWgsJ2qPbe}}UpNjٯ}7TMQKrؽtEx%v w߾8%|j;~|}pK]ơ/ w߾8%|j;~|}pK]ơ/ w&~e_H 8PL7:%ʭ5Kw&U2vwR_+rm'}C7#rWoO&HoG?M$UR7{FU]u ;# !Wk`|W>׹潇9Vn)6)*ҹ{%qV4q>W1vi#T"Qk&GwxcJBJ- Ϸ^ˁxkU}ԣ/3.;]J=<*)cS)ROK9H=,r zX @)cS)Da^ԽQ gxJI=w֣gf*TRj

Corresponding author (hyamasak@nih.go.jp)
• Received: February 20, 2012   • Revised: December 18, 2012   • Accepted: December 18, 2012

© 2013, Korean Society for Parasitology and Tropical Medicine

This is an Open Access article distributed under the terms of the Creative Commons Attribution Non-Commercial License (http://creativecommons.org/licenses/by-nc/3.0/) which permits unrestricted non-commercial use, distribution, and reproduction in any medium, provided the original work is properly cited.

  • 15,493 Views
  • 131 Download
  • 20 Crossref
  • 25 Scopus
prev next
  • This mini-review describes recent epidemiological trends in cysticercosis and taeniasis in Japan. Some of the topics discussed herein were presented at the first symposium on "Current perspectives of Taenia asiatica researches", that was held in Osong in Chungbuk Province, South Korea, in October 2011 and organized by Prof. K. S. Eom, Chungbuk National University School of Medicine. To better understand the trends in the occurrence of cysticercosis and taeniasis in Japan, clinical cases reported in 2005 have been updated. In addition, the current status of Taenia asiatica infections successively occurring in Japan since 2010 is also discussed.
Cysticercosis, a parasitic disease caused by Taenia solium cysticercus, is one of the important parasitic diseases. Neurocysticercosis (NCC) is accepted to refer to cysts in the central nerve system, including the parenchyma and ventricles of the brain and the spinal cord. Subcutaneous cysticercosis (SCC) is used for the cysticercosis presenting the form of firm, mobile nodules, mainly in the soft tissues and muscles of on the trunk and extremities. NCC is clinically more serious than SCC because of the severity of the neurologic symptoms, such as epileptic seizures and paralysis that can result from infection. The disease constitutes a major public health problem in many parts of the world, including China, Southeast Asia, India, sub-Saharan Africa, and Latin America [1]. Cysticercosis has also become an important parasitic disease in developed countries, such as the United States, particularly in California and other states with a large immigrant population [2]. In Japan, although T. solium cysticercosis/taeniasis was endemic to the Okinawa region in southern Japan 50-60 years ago [3,4], the disease is no longer endemic in the area. Nonetheless, sporadic cases of cysticercosis have been reported in Japan, primarily among Japanese returning from abroad and foreigners coming to Japan (Table 1) [5].
Conversely, taeniasis, which is caused by infection with the adult tapeworm of T. solium or Taenia saginata, occurs worldwide, except in countries where people do not eat pork and beef for religious reasons [1]. Taeniasis caused by Taenia asiatica is restricted to countries in Asia, including South Korea, China, Taiwan, the Philippines, Vietnam, Thailand, Indonesia, and Japan [6]. In Japan, sporadic cases of taeniasis have been reported and most of them were caused by infection with T. saginata and were imported cases until T. asiatica infections were confirmed in 2010 (Table 2). Compared to cysticercosis, taeniasis is innocuous or asymptomatic, with most patients presenting with slight intestinal illness and mental discomfort due to persistent expulsion of the proglottids.
In Japan, the "Ordinance for Enforcement of the Food Sanitation Act" based on the Food Sanitation Law stipulates that food-borne parasitic diseases such as cysticercosis and taeniasis be treated as cases of food poisoning and that authorities be notified of their occurrence immediately. However, because parasitic diseases have never reported based on the law, it is not possible to accurately estimate the incidence of cysticercosis/taeniasis in Japan. Therefore, the author previously examined the epidemiological trends in cysticercosis and taeniasis based on clinical cases in Japan published in scientific journals [5]. Since then, new cases of cysticercosis and taeniasis have been reported and several cases of cysticercosis have been newly diagnosed in our department. The Department of Parasitology at the National Institute of Infectious Diseases, Tokyo routinely performs diagnostic tests requested for parasitic diseases from domestic and foreign medical institutions, and cysticercosis and taeniasis also are acceptable for diagnosis.
The purpose of this article is to overview the current status of cysticercosis/taeniasis in Japan and to update the data that was reported in 2005 [5] based on the cases cited in PubMed (National Library of Medicine) and Japana Centra Revuo Medicina as well as cases diagnosed in our department over the last 5 years (2007-2011).
Cysticercosis
According to Nishiyama and Araki [4], as many as 389 cases of cysticercosis were reported in Japan from 1908 to 1997. However, 24 cases reported between 1943 and 1979 were not included in the study. Furthermore, 41 cases, including 10 cases diagnosed by our department, have been newly confirmed between 1997 and 2011 (cases 26-66 in Table 1) [7-40]. Taken together, this gives a total of 454 cysticercosis cases that have been reported in Japan between 1908 and 2011. Table 1 shows 66 of the cysticercosis cases that have been reported over the last 22 years (1990-2011) along with cases confirmed by our department between 2007 and 2011.
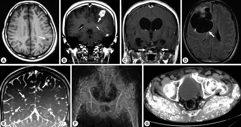
Of these 66 cases, 54 (66.7%) were NCC; NCC with multiple cysts (28/54, 51.9%; Fig. 1E) was more frequent than NCC with a solitary cyst (13/54, 33.5%; Fig. 1A, B and Fig. 2A, B, E). Between 1990 and 2011, total 17 cases of SCC were reported as cases 4 [41], 16-17 [42], 24 [43], 26 [7], 28 [9], 29 [10], 34 [16], 35 [17], 44 [27,28], 45 [29], 52 [36], 56, 63, 64, 65, and 66. Two of them were systemic intramuscular cysticercosis with numerous calcified cysts; cases 44 [27,28] and 52 [36] (Fig. 1F, G; Fig. 2D, F). Very rarely, intramedullary cysticercosis in case 5 [44] and ocular cysticercosis in cases 11 [45], 36 [18], 43 [26], and 58 [38] have also been reported. Ten cases of NCC with either SCC or ocular cysticercosis were reported in cases 16-17 [42], 26 [7], 29 [10], 35 [17], 43 [26], 45 [29], 56 , 64, and 65 (Table 1). More interestingly, dual infection of cysticercosis and taeniasis was observed in 4 cases; 29 [17], 58 [51], 60, and 65 (Table 1). Furthermore, the adult tapeworm in case 41 was observed in the small intestine using capsule endoscopy to confirm the presence of the adult worm (Table 2).
Cysticercosis diagnosis is generally performed by imaging, serologic, and histopathologic examinations. In our department, molecular identification of the etiologic agents is routinely performed, if surgically removed materials are available [46-48]. Indeed, the usefulness of molecular methods for diagnosing the causative agents has successfully been demonstrated by the identification of 2 genotypes of T. solium cysticercus as well as confirmation of the agents in paraffin-embedded sections [24,25,28,31,33-35,37,40]. In addition, the localities where the patients were infected can also be inferred based on the DNA sequences of the causative agents [32,49].
In SCC, X-ray examinations have revealed the presence of rod-like, scattered, calcified lesions in the soft tissues of the extremities (Fig. 1F, G; Fig. 2D, F). These calcified cysts have histopathologically been confirmed to be T. solium in cases 16-17 [42], 26 [7], 52 [36], and 44 [27,28] (Fig. 2A, C, E).
Two types of T. solium cysticercus, cellulose- and racemose-types, are known to exist. The cellulose-type cysticercus is characterized by a single bladder measuring 3 to 18 mm in diameter with an invaginated scolex and primarily found in the cerebral parenchyma and musculature. The racemose-type presents as large multilobulated cystic lesions lacking a scolex and appears to prefer the cisternal and ventricular systems or subarachnoid space [2]. Indeed, the racemose-type cysticercus is frequently found in the subarachnoidal spaces as multilobulated lesions (Fig. 1C, D). Although cysticercosis due to racemose-type T. solium cysticercus is relatively rare, 8 cases have been documented in Japan in cases 8 [50,51], 15 [52], 18 [53], 19 [54], 39 [21], 50 [34], 61, and 62 [40] (Table 1; Fig. 1C, D; Fig. 2C). Of these, mitochondrial DNA analysis using histopathologic sections revealed that etiologic T. solium was the Asian genotype in 3 cases, 50 [32], 61, and 62 [40], and American/African genotype in case 50 [34] (Table 1). The racemose-type cysticercus is considered to be an aberrant, multilobular, non-viable T. solium cysticercus, possibly the degenerated form of a cysticercus in the basal subarachnoid space. Molecular analysis using formalin-fixed and paraffin-embedded histopathologic specimens has proved that the racemose-type cysticercus is T. solium in cases 50 [34], 61, and 62 [40].
Most of the cysticercosis cases in Japan are imported cases, meaning that the patients either lived in or visited countries where cysticercosis and taeniasis are still endemic, and where they are presumed to have been exposed to T. solium eggs. However, 13 cases have suggested that infection occurred within Japan (cases 1 [55], 8 [50,51], 10 [56], 12 [57], 20 [54], 21 [58], 22 [59], 23 [60], 28 [9], 40 [22], 52 [36], 53, and 62 [40]. NCC was diagnosed by imaging findings (Fig. 1), serology, histopathology (Fig. 2A, C, D, E), and molecular analysis.
Taeniasis
Table 2 shows 73 clinical taeniasis case reports that have been published in journals between 1990 and 2011 and diagnosed by our department between 2007 and 2011. In addition to these, 26 cases have been reported [61,62]. The most commonly encountered taeniasis cases were T. saginata infections and 48 cases (65.8%) have been confirmed to date (Table 2). Of these 48 cases, 45 were imported cases [63-78]. Although the route of infection is unknown, the possibility also exists that 4 of these cases may be attributable to domestic infections; cases 4 [65], 6 [66], 19 [73], and 22 [73]. T. solium taeniasis is extremely rare in Japan and only 1 case was reported in Okinawa in 1988 [79]. However, taeniasis solium cases with either NCC, SCC, or ocular cysticercosis have been confirmed, and all these were imported in cases 29 [10], 58 [38], 60, and 65 (Table 1) and cases 17 [10], 41, 53, and 64 (Table 2). Taeniasis caused by T. asiatica has been also recently successively confirmed in Japan and this will be discussed in the following chapter.
Taeniasis is usually diagnosed based on proglottid morphology. However, since T. saginata, T. solium, and T. asiatica are all morphologically similar, it is not always possible to accurately differentiate them. As a result, more reliable molecular diagnoses are currently employed to differentiate between taeniasis infections in our department [46-48]. Most recently, T. solium tapeworms have been observed in the small intestine using capsule endoscopy in cases 41 [23] and 53.
Although T. asiatica was not previously considered to occur in Japan [5], retrospective molecular analyses of proglottids revealed that 2 T. asiatica infections occurred in Tottori Prefecture on Honshu Island, Japan, in 1968 and 1996 [6]. Unfortunately, it is unknown whether the 2 Japanese cases were domestic infections or imported cases. As the number of Japanese travelers visiting Asian countries has increased, so too has the number of people from other Asian countries visiting Japan. This may mean that the likelihood of encountering cases of imported T. asiatica is increasing. Surprisingly, from June 2010 to December 2011, an increasing number of human cases with taeniasis have been diagnosed in the Kanto region, including Tokyo and the neighboring 5 prefectures (Gumma, Tochigi, Saitama, Chiba, and Kanagawa) in central Honshu [80-84]. Of 31 taeniasis cases, 20 were attributed to T. asiatica. Taenia asiatica tapeworms were identified based on nucleotide sequence analysis of the mitochondrial cytochrome c oxidase subunit 1 gene [25] and allelic analysis of the 2 nuclear genes for elongation factor 1-α and ezrin-radixin-moesin-like protein genes [85].
Nineteen out of 20 patients infected with T. asiatica were Japanese nationals residing in the Kanto area and 1 was a Filipino woman living in same area (Tochigi). Fifteen patients stated that they frequently ate raw pig liver (sashimi). Sixteen had never been overseas or, if they had undertaken any international travel, they traveled to countries where T. asiatica is not endemic. The infection in the Filipino woman who has returned to the Philippines several times was also considered to have been occurred in Japan.
The occurrence of taeniasis due to T. asiatica infection is thus considered to have occurred within Japan by the following reasons: i) most of the patients had never been overseas or traveled to areas where T. asiatica is not endemic, ii) most patients had histories of eating raw pig liver, iii) based on interviews with patients and meat inspectors, pigs that had been produced and slaughtered in the Kanto region were strongly suspected to be possible sources of infection, iv) although Japan imports pork from Canada, Mexico, and Europe, no raw pig liver is imported from these countries. At present, the reasons why T. asiatica infections successively occurred in the Kanto region, a region within which the disease was not reported previously, have not yet been satisfactorily clarified. Considering that patients have occurred now, it is possible that the workers and pigs on farms in the Kanto region currently constitute the T. asiatica reservoirs responsible for these infections. We have been investigating the prevalence of T. asiatica metacestodes in pigs from these farms in collaboration with local meat inspection centers. In addition, we have also disseminated information describing precautions against T. asiatica infections in Infectious Agents Surveillance Reports (http://idsc.nih.go.jp/iasr/32/374/kj3741.html) published by the Infectious Diseases Information Center at the National Institute of Infectious Diseases [80-84].
It is expected that cysticercosis and taeniasis will primarily be detected as imported cases with the increasing numbers of Japanese travelers to foreign countries where these diseases are endemic or visitors from these areas increase. The occurrence of human infections due to T. asiatica is currently restricted to the Kanto region in Japan, and the origins of infection have not yet been clarified. Thus, further occurrence of the disease is likely to occur, medical practitioners should be aware of the importance accurately identifying the causative agent responsible for infection.
The author thanks Prof. Keeseon S. Eom and Prof. Jong-Yil Chai for their initiation to submit a review paper. The author also thanks Prof. H. Matsuoka, Prof. A. Chiba, Drs. T. Oda, S. Shiiki, T. Nagase, M. Tsuda, and S. Matsunaga, for providing imaging pictures and pathology specimens. Drs. Y. Morishima and H. Sugiyama are thanked for their valuable discussions of clinical cases, and M. Muto is also acknowledged for her technical assistance with molecular and serologic examinations of cysticercosis and taeniasis cases. The study was supported in part by Grants-in-Aid for Scientific Research from the Ministry of Health, Labour and Welfare, Japan (H20-22-Shinko-Ippan-016 and H23-Shinko-Ippan-014) and from the Japan Society for the Promotion of Science (23650602).
  • 1. García HH, Gonzalez AE, Evans CA, Gilman RH. Cysticercosis Working Group in Peru. Taenia solium cystericercosis. Lancet 2003;362:547-556.
  • 2. White AC Jr. Neurocysticercosis: Updates on epidemiology, pathogenesis, diagnosis, and management. Ann Rev Med 2000;51:187-206.
  • 3. Araki T. Current trend of cerebral cysticercosis in Japan. Clin Parasitol 1994;5:12-24. (in Japanese).
  • 4. Nishiyama T, Araki T. In Otsuru M, Kamegai S, Hayashi S, editors. Cysticercosis cellulosae: Clinical features and epidemiology. Progress of Medical Parasitology in Japan. 2003. 8:Tokyo, Japan. Meguro Parasitological Museum; p. 281-292.
  • 5. Yamasaki H, Sako Y, Nakao M, Nakaya K, Ito A. In Ito A, Wen H, Yamasaki H, editors. Research on cysticercosis and taeniasis in Japan. Taeniasis/Cysticercosis and Echinococcosis in Asia, Asian Parasitology. 2005. Vol. 2:Federation of Asian Parasitologists; p. 6-36.
  • 6. Eom KS, Jeon HK, Rim HJ. Geographical distribution of Taenia asiatica and related species. Korean J Parasitol 2009;47:S115-S124.
  • 7. Okabe K, Tsunoda M, Irie H, Koike H, Yoshino Y, Tsuji M. A case of cerebral cysticercosis with facial spasm showing a change in MRI abnormalities in a short time course. J Kyorin Med Soc 1997;28:175-179. (in Japanese).
  • 8. Niijima K. MRI of cerebral cysticercosis. Shinkei Naika (Neurol Med) 1998;48:202-203. (in Japanese).
  • 9. Matsushima H, Hatamochi A, Shinkai H, Shimizu M, Hatsushika R. A case of subcutaneous cysticercosis. J Dermatol 1998;25:438-442.
  • 10. Okada S, Kikuchi S, Takeda A, Ootani K, Saiga T, Kobayashi M, Niimura M, Yamanouchi N, Kodama K, Sato T. A case of neurocysticercosis successfully treated with praziquantel. Seishinka Chiryogaku 1998;13:345-351. (in Japanese).
  • 11. Yamakawa Y, Tashima T. Intraventricular cysticercosis diagnosed by histology of small fragment floating in the shunt tube. No Shinkei Geka Sokuho 1998;8:833-837. (in Japanese).
  • 12. Ohsaki Y, Matsumoto A, Miyamoto K, Kondoh N, Araki K, Ito A, Kikuchi K. Neurocysticercosis without detectable specific antibody. Intern Med 1999;38:67-70.
  • 13. Hatano T, Tsukahara T, Araki K, Kawakami O, Goto K, Okamoto E. A case of neurocysticercosis with multiple intraparenchymal and intraventricular cysts. No Shinkei Geka 1999;27:335-339. (in Japanese).
  • 14. Ito A, Nakao M, Ito Y, Yuzawa I, Morishima H, Kawano N, Fujii K. Neurocysticercosis case with a single cyst in the brain showing dramatic drop in specific antibody titers within 1 year after curative surgical resection. Parasitol Int 1999;48:95-99.
  • 15. Yuzawa I, Kawano N, Suzuki S, Fujii K, Ito Y. A case of solitary cerebral cysticercosis. Jpn J Neurosurg 2000;9:364-369. (in Japanese).
  • 16. Miura H, Itoh Y, Kozuka T. A case of subcutaneous cysticercosis (Cysticercus cellulosae cutis). J Am Acad Dermatol 2000;43:538-540.
  • 17. Sugiyama M, Okada T, Higuchi H, Yabe Y, Kobayashi N, Teramoto A. A case of neurocysticercosis presenting as focal seizure. No Shinkei Geka 2000;28:807-810. (in Japanese).
  • 18. Kataoka H, Yamada T, Tsumura T, Kawamura H, Takenaka H, Maeno T, Mano T, Takahashi T. A case of presumed ocular cysticercosis. Ganka Rinsho Iho 2001;95:605-606. (in Japanese).
  • 19. Matsuda M, Shimizu K, Shimizu Y, Hattori T, Tabata K. A case of neurocysticercosis with versive seizures as an initial symptom. Intern Med 2001;87:405-407. (in Japanese).
  • 20. Miyagami M. Cerebral imaging diagnosis CT, MRI. Modern Physician 2001;21:1576-1581. (in Japanese).
  • 21. Nakajima M, Tashima K, Hirano T, Nakamura-Uchiyama F, Nawa Y, Uchino M. A case of neurocysticercosis suggestive of a reinfection, 20 years after the initial onset. Rinsho Shinkeigaku 2002;42:18-23. (in Japanese).
  • 22. Matsunaga S, Asada H, Shuto T, Hamada K, Inomori S, Kawamura S, Hamada A, Okuzawa E. A case of solitary neurocysticercosis of unknown transmission route. No Shinkei Geka 2002;30:1223-1228. (in Japanese).
  • 23. Mori Y, Kobayashi T, Kida Y. A case of neurocysticercosis removed successfully surgically. Jpn J Neurosurg (Tokyo) 2003;12:191-195. (in Japanese).
  • 24. Yamasaki H, Ito A, Matsunaga S, Yamamura K, Chang CC, Kawamura S. A case of neurocysticercosis caused by Taenia solium Asian genotype confirmed by mitochondrial gene analysis of paraffin-embedded specimen. Clin Parasitol 2003;14:77-80. (in Japanese).
  • 25. Yamasaki H, Matsunaga S, Yamamura K, Chang CC, Kawamura S, Sako Y, Nakao M, Nakaya K, Ito A. Solitary neurocysticercosis caused by Asian genotype of Taenia solium confirmed by mitochondrial DNA analysis. J Clin Microbiol 2004;42:3891-3893.
  • 26. Harada Y, Naoi N, Nawa Y, Harada K. A case of zoonotic infection by Cysticercus cellulosae. Jpn J Clin Ophthalmol 2004;58:1985-1988. (in Japanese).
  • 27. Nagase T, Kiyoshige Y, Suzuki M. A case of obsolete systemic cysticercosis cellulosae. Clin Parasitol 2004;15:24-26. (in Japanese).
  • 28. Yamasaki H, Nagase T, Kiyoshige Y, Suzuki M, Nakaya K, Itoh Y, Sako Y, Nakao M, Ito A. A case of intramuscular cysticercosis diagnosed definitively by mitochondrial DNA analysis of extremely calcified cysts. Parasitol Int 2006;55:127-130.
  • 29. Matsushita T, Tanaka C, Sakoh K, Mizobuchi M, Nihei A, Abe T, Seo Y, Murakami N. Neurocysticercosis - case report. Hokkaido Noshinkei Shikkan Inst Journal 2005;15:35-39. (in Japanese).
  • 30. Matsumoto L, Ubano M, Uesaka Y, Kunimoto M, Kawanaka M. A case of neurocysticercosis diagnosed with positron emission tomography (PET). Shinkei Naika (Neurol Med) 2005;63:473-476. (in Japanese).
  • 31. Yamasaki H, Nakao M, Sako Y, Nakaya K, Ito A. Molecular identification of Taenia solium cysticercus genotype in the histopathological specimens. Southeast Asian J Trop Med Public Health 2005;36(suppl 4):131-134.
  • 32. Matsuoka H, Gomi H, Kanai N, Gomi A, Kanda M, Yamasaki H, Sako Y, Ito A. A case of solitary neurocysticercosis lacking elevation of specific antibodies. Clin Parasitol 2006;17:102-106. (in Japanese).
  • 33. Yamasaki H, Sako Y, Nakao M, Ito A, Nakaya K. Taenia solium cysticercosis cases diagnosed by mitochondrial DNA analysis of paraffin-embedded specimens. Clin Parasitol 2006;17:134-137. (in Japanese).
  • 34. Oda T, Kikuchi B, Hoshino T, Koide A, Yoshimura J, Nishiyama K, Mori H. A case of hydrocephalus with stalactitic change of ventricular wall. Niigata Med J 2006;120:115. (in Japanese).
  • 35. Ishikawa E, Komatsu Y, Kikuchi K, Yamasaki H, Kimura H, Osuka S, Tsurubuchi T, Ito A, Matsumura A. Neurocysticercosis as solitary parenchymal lesion confirmed by mitochondrial deoxyribonucleic acis sequence analysis - case report. Neurol Med Chir (Tokyo) 2007;47:40-44.
  • 36. Tsuda M, Mine R, Kiyuna M, Yamasaki H, Ito A. A case of subcutaneous cysticercosis with multiple calcified cysts in the gluteal region. J Jpn Plastic Reconst Surg 2007;27:381-385. (in Japanese).
  • 37. Maeda T, Fujii T, Odawara T, Iwamoto A, Sako Y, Ito A, Yamasaki H. A reactivation case of neurocysticercosis with epithelial granuloma suspected by serology and confirmed by mitochondrial DNA analysis. Clin Parasitol 2008;19:150-152. (in Japanese).
  • 38. Masuda T, Yamaji H, Shiragami C, Fukuda K, Ogaki S, Harada M, Kagei N, Shiraga F. A case of intraocular cysticercosis treated by vitreous surgery. Jpn J Clin Ophthalmol 2009;63:303-306. (in Japanese).
  • 39. Komuro T, Okamoto S, Nitta T. A case of neurocysticercosis. No Shinkei Geka Sokuho 2009;19:1072-1076. (in Japanese).
  • 40. Yamasaki H, Sugiyama H, Morishima Y, Ohmae H, Shiiki S, Okuyama K, Kunishima F. A case of neurocysticercosis caused by racemose-type Taenia solium cysticercus. Clin Parasitol 2010;21:29-32. (in Japanese).
  • 41. Sato T, Kunishi K, Kameyama A, Takano T, Ota N. A case of cysticercosis cellulosae hominis. Inter Med 1991;68:190-192. (in Japanese).
  • 42. Kuboyama K, Oku K, Seto T, Higasa S, Kimoto K, Akagi K, Iseki M. Radiological findings in two cases of cerebral cysticercosis. Clin Parasitol 1994;5:153-156. (in Japanese).
  • 43. Hatsushika R, Umemura S, Ito J, Okino T. A case study of human infection with Cysticercus cellulosae (Cestoda: Taeniidae) found in Okinawa Prefecture, Japan. Kawasaki Med J 1996;22:81-87.
  • 44. Hasegawa H, Bitoh S, Koshino K, Obashi J, Yamamoto H. Intramedullary spinal cysticercosis. A case report. Sekitsui Sekizui (Vertebra and Spinal cord) 1991;4:337-341. (in Japanese).
  • 45. Kajiwara N, Muramatsu R, Goto H, Usui M. A case of intraocular cysticercosis. J Eye (Atarashii Ganka) 1993;10:119-122. (in Japanese).
  • 46. Yamasaki H, Nakao M, Sako Y, Nakaya K, Sato MO, Mamuti W, Okamoto M, Ito A. DNA differential diagnosis of human taeniid cestodes by base excision sequence scanning thymine-base reader analysis with mitochondrial genes. J Clin Microbiol 2002;40:3818-3821.
  • 47. Yamasaki H, Allan JC, Sato MO, Nakao M, Sako Y, Nakaya K, Qiu D, Mamuti W, Craig PS, Ito A. DNA differential diagnosis of taeniasis/cysticercosis by multiplex PCR. J Clin Microbiol 2004;42:548-553.
  • 48. Yamasaki H, Nakao M, Sako Y, Nakaya K, Sato MO, Ito A. Mitochondrial DNA diagnosis for taeniasis and cysticercosis. Parasitol Int 2006;55(suppl):S81-S85.
  • 49. Yanagida T, Yuzawa I, Joshi DD, Sako Y, Nakao M, Nakaya K, Kawano N, Oka H, Fujii K, Ito A. Neurocysticercosis: Assessing where the infection was acquired from. J Travel Med 2010;17:206-208.
  • 50. Shimamoto Y, Sugiyama E, Inaba M, Shinoda J, Shimazaki K, Yamada F. Cerebral cysticercosis treated with praziquantel - a case report. No To Shinkei 1994;46:381-386. (in Japanese).
  • 51. Sugiyama E, Shimamoto Y, Yamada F, Inaba M. A case of cerebral cysticercosis (cysticercosis racemosus). Clin Parasitol 1992;3:146-148. (in Japanese).
  • 52. Yawata Y, Kamata Y, Nagai C, Suzuki K, Shibata Y, Ajitsu S, Sano R, Takenaka K, Kamii H, Watanabe T. Diabetic come without preceeding thirst sensation in a case of cerebral cysticercosis. Yamagata Med J 1993;11:79-84. (in Japanese).
  • 53. Yamasaki H, Araki K, Aoki T. Parasitic diseases examined during the past 16 years in the Department of Parasitology, Juntendo University School of Medicine. Juntendo Med J 1994;40:262-279. (in Japanese).
  • 54. Takeshita I, Li HZ, Imamoto N, Cao YP, Gou CF, Liu DQ, Piao HZ, Fukui M. Unusual manifestation of cerebral cysticercosis. Fukuoka Med J 1994;85:29-34. (in Japanese).
  • 55. Terada K, Seno K, Uetsuhara K, Asakura T. A case of cerebral cysticercosis: Cyst growth is confirmed by CT scan during 6 years of follow-up. No Shinkei Geka 1990;18:391-395. (in Japanese).
  • 56. Ohnishi K, Murata M, Nakane M, Takemura N, Tsuchida T, Nakamura T. Cerebral cysticercosis. Int Med 1993;32:569-573.
  • 57. Miyake H, Takahashi K, Tsuji M, Nagasawa S, Ohta T, Araki T. A surgical case of solitary cerebral cysticercosis. No Shinkei Geka 1993;21:561-565. (in Japanese).
  • 58. Endo K, Hirayama K, Hida C, Tsukamoto T, Yamamoto T. Domestic infection of neurocysticercosis in a Japanese woman, who had not traveled overseas. Rinsho Shinkeigaku 1995;35:408-413. (in Japanese).
  • 59. Nagayama M, Shinohara Y, Nagakura K, Izumi Y, Takagi S. Distinctive serial magnetic resonance changes in a young woman with rapidly evolved neurocysticercosis, with positron emission tomography results. J Neuroimaging 1996;6:198-201.
  • 60. Morioka T, Yamamoto T, Nishio S, Takeshita I, Imamoto N, Fukui M. Magnetoencephalographic features in neurocysticercosis. Surg Neurol 1996;45:176-182.
  • 61. Shiota T, Yamada M, Uchikawa R, Tegoshi T, Yoshida Y, Arizono N. Epidemiological trend on diphyllobothriasis latum/nihonkaiense and taeniasis saginatus in Kyoto. Clin Parasitol 2003;14:81-83. (in Japanese).
  • 62. Komura K, Hamada A, Okuzawa E. Parasitosis treated at Yokohama Rosai Hospital 2000-2008. Clin Parasitol 2008;19:103-105.
  • 63. Okumura Y, Nakazawa S, Yoshino S, Yamao K, Inui K, Yamachika H, Arakawa A, Furuta T, Kishi K, Doai K, Toda M, Yamagishi S, Wakabayashi T, Suzui N, Watanabe K, Yamachika R, Asakura N, Okushima K, Nagase K. A case of taeniasis saginata detected by intestino-fiberscopical examination. Clin Parasitol 1990;1:112-114. (in Japanese).
  • 64. Suzuki T, Haruma K, Shimamoto F, Tsuda T, Toyoshima H, Yoshihara M, Sumii K, Kajiyama G, Tsuji M, Sakamoto K, Kawamura M. A case of taeniasis saginata co-infected with clonorchiasis sinensis diagnosed by duodeno-fiberscope. Cho Shikkan no Rinsho 1990;3:30-34. (in Japanese).
  • 65. Ohnishi K, Murata M. Gastrografin treatment for taeniasis saginata. Clin Parasitol 1990;1:115. (in Japanese).
  • 66. Sekiya T, Kimura K, Sakuma M, Mishiku Y, Asakura Y, Kawamura I, Uchida A, Iwata T. A caseof taeniasis saginata. Shonika Rinsho 1992;45:585-588. (in Japanese).
  • 67. Nakao A, Sakagami K, Hirohata T, Hara M, Obayashi N, Mitsuoka S, Uda M. A case of taeniasis saginata. Hiroshima Med J 1996;49:1369-1370. (in Japanese).
  • 68. Tomizawa I, Takizawa Y, Sakamoto Y. A case of Taenia saginata entered our hospital. Sapporo City Hosp J 1996;56:45-47. (in Japanese).
  • 69. Nihashi J, Shibata Y, Kajimura M, Ito G, Hanai H, Kaneko E, Terada M. A case of gastrografin-resistant tapeworm infection. Clin Parasitol 1996;7:131-134. (in Japanese).
  • 70. Ohgami K, Ozasa S, Takahashi K. A case of taeniasis saginata. Teishin Igaku 1997;49:654-655. (in Japanese).
  • 71. Nakayasu S, Kawabata M, Ishihara O, Matsuda Y, Ishii A, Terada M. A case of taeniasis saginata detected by mass-screening of the colon cancer, and treated with gastrografin method and praziquantel. Clin Parasitol 1998;9:16-18. (in Japanese).
  • 72. Shiono Y, Hata K, Aosai F, Norose K, Yano A, Kawashima K, Yamada M. A case of taeniasis saginata diagnosed by spontaneously expulsed segments at labor. Clin Parasitol 2001;12:43-44. (in Japanese).
  • 73. Ishida T, Araki T, Nishiyama T, Hirata I, Katsu K. Clinical study of diphyllobothriasis nihonkaiense and taeniasis saginata in Shinsei Hospital - special reference to treatment. Clin Parasitol 2001;12:48-53. (in Japanese).
  • 74. Yoshimura R, Harada N, Sadamoto Y, Takahashi M, Kubokawa K, Ito K, Tanaka M, Toyoda T, Yamaguchi Y, Ohkumi A, Miyahara M, Nawada S. Two cases of taeniasis saginata. Rinsho to Kenkyu 2002;79:111-114. (in Japanese).
  • 75. Yamamoto K, Kawahara K, Shimidzu N, Tanioka K, Takatoo T, Saida Y. A report of a case with taeniasis saginata. Iwata City Sogo Hosp J 2002;4:8-11. (in Japanese).
  • 76. Nishimura Y, Yamaguchi S, Sahara T, Nakazaki Y, Tsuruta S, Fujimori I, Kino H, Yamasaki H, Nakao M, Ito A, Kuramochi T. Two cases of intestinal cestode infections diagnosed by genetic analysis. Clin Parasitol 2007;18:46-48. (in Japanese).
  • 77. Miyamoto S, Komatsu N, Asai Y, Kurihara R, Asaoka A, Kawamura H, Arakawa Y, Takahashi K. A case of taeniasis saginata treated using gastrografin. Nippon Univ Med J 2003;62:229-231. (in Japanese).
  • 78. Oyama N, Shiozaki H, Tahara T, Takada K. A case of taeniasis saginata treated by endoscopy using gastrografin. Progr Digest Endosc 2007;70:102-103. (in Japanese).
  • 79. Arakaki T, Hasegawa H, Morishima A, Ikema M, Terukina S, Higashionna A, Kinjyo F, Saito A, Asato R, Toma S. Treatment of Taenia solium and T. saginata infections with gastrografin. Jpn J Trop Med Hyg 1988;16:293-299. (in Japanese).
  • 80. Yamasaki H, Morishima Y, Sugiyama H, Muto M. Taenia asiatica infections as an emerging parasitic disease occurring in Kanto district since 2010. IASR 2011;32:106-107. (in Japanese).
  • 81. Nakamura-Uchiyama F, Kobayashi K, Iwabuchi S, Ohnishi K. Four cases of taeniasis asiatica infected by eating raw pig liver or cattle liver. IASR 2011;32:107-108. (in Japanese).
  • 82. Haruki K, Tamano M, Miyoshi Y, Araki J. A case of Taenia asiatica infection. IASR 2011;32:108. (in Japanese).
  • 83. Kawai S, Kirinoki M, Chigusa Y, Matsuoka H, Suzuki T. Human cases due to Taenia asiatica occurring in Ryomo district of Gumma and Tochigi prefectures. IASR 2011;32:109-111. (in Japanese).
  • 84. Yamasaki H, Muto M, Morishima Y, Sugiyama H, Kawanaka M, Nakamura-Uchiyama F, Ohgame M, Kobayashi K, Ohnishi K, Kawai S, Okuyama T, Saito K, Miyahira Y, Yanai H, Matsuoka H, Haruki K, Miyoshi Y, Akao N, Akiyama J, Araki J. Human cases infected with Taenia asiatica occurring in Kanto district, 2010. Clin Parasitol 2011;22:75-78. (in Japanese).
  • 85. Okamoto M, Nakao M, Blair D, Anantaphruti MT, Waikagul J, Ito A. Evidence of hybridization between Taenia saginata and Taenia asiatica. Parasitol Int 2010;59:70-74.
  • 86. Miyagami M, Satoh K. Diagnosis and treatment for an aged neurocysticercosis patient. Roka to Shikkan 1991;4:436-441. (in Japanese).
  • 87. Uyama E, Cho I, Araki T, Osuga K. A case of neurocysticercosis diagnosed with severe headache during staying in Honduras. Zutu Kenkyu Kaishi 1991;18:64-66. (in Japanese).
  • 88. Miyashita T, Miyaji A, Nishitani H, Mano K, Kunii O, Miyashita H, Shibuya T, Chen TH. A case of neurocysticercosis with cystic lesions in the lung. Clin Parasitol 1992;3:140-142. (in Japanese).
  • 89. Kakizaki T, Kawai S, Takemura K, Tanaka M, Monobe T, Kim E, Nagareda T, Kotoh R, Nishiyama T, Araki T. An operated case of neurocysticercosis. Clin Parasitol 1992;3:143-145. (in Japanese).
  • 90. Kadotani H, Takatsuka K, Tanaka H, Yoshikawa N, Komatsu T. Cysticercosis. A case report with special reference to CT and MRI findings. Neuol Med (Tokyo) 1992;36:399-402. (in Japanese).
  • 91. Kimura M, Sakatani K, Maekura S, Satou T, Furukawa T, Miyazato T, Hashimoto S. A case of cerebral cysticercosis cellulosae hominis. Acta Med Kinki Univ 1993;18:155-161.
  • 92. Higashi K, Yamagami T, Satoh G, Shinnou M, Tanaka T, Handa H, Furuta M. Cerebral cysticercosis: a case report. Surg Neurol 1993;39:474-478.
  • 93. Oka Y, Fukui K, Shoda D, Abe T, Kumon Y, Sakai S, Torii M. Cerebral cysticercosis manifestating as hydrocephalus - case report. Neurol Med Chir (Tokyo) 1996;36:654-658.
  • 94. Yamasaki H, Nakaya K, Nakao M, Sako Y, Ito A. Significance of molecular diagnosis using histopathological specimens in cestode zoonoses. Trop Med Health 2007;35:307-321.
Fig. 1
Imaging findings of selected cysticercosis cases. (A) plain CT image showing a solitary lesion at the left occipitoparietal area (case 48 [32], courtesy of Prof. H. Matsuoka). (B) MRI showing one of multiple cystic lesions in the left frontal and temporal lobes (case 49 [33]). (C) MRI showing a rasemose-type lesion at the basal cistern (case 50 [34], courtesy of Dr. T. Oda). (D) MRI FLAIR findings showing a giant and multilobulated mass in the subarachnoidal spaces of the right frontal lobe (case 62 [40], courtesy of Dr. S. Shiiki). (E) Cisterography showing multiple cysts in the brain (case 60, courtesy of Prof. A. Chiba). (F) X-ray findings showing typical rice grain calcifications in the muscles of buttocks and lower extremity (case 44 [27, 28], courtesy of Dr. T. Nagase). (G) CT findings showing numerous calcified cysts in muscles of the of the buttocks (case 52 [36], courtesy of Dr. M. Tsuda).
kjp-51-19-g001.jpg
Fig. 2
Histopathologic findings of cystic lesions from cysticercosis patients. (A) A cellulose-type cysticercus characterized by rabyrinth-like structure (case 40 [22], courtesy of Dr. S. Matsunaga). (B) and (E) A resected lesion and a cellulose-type cysticercus (case 48 [32], courtesy of Prof. H. Matsuoka). (C) Racemose-type cysticercus characterized by complicated cystic walls (case 62 [40], courtesy of Dr. S. Shiiki). (D) SCC showing typical rice grain calcifications in the muscles of buttocks and lower extremity and the section of the calcified lesion (case 44 [27, 28], courtesy of Dr. T. Nagase). (F) Surgically removed calcified lesions (case 52 [36], courtesy of Dr. Tsuda). Sections (A, C , D, and E) were stained with hematoxylin and eosin.
kjp-51-19-g002.jpg
Table 1.
Demographic and clinical data for cysticercosis cases reported in Japan (1990-2011)
Table 1.
Case No. Year Patient (Nationality/Age/Sex) Type of cysticercosis Diagnostic criteria Presumed locality of infection References
1 1990 Japanese/40/F NCC (multiple) CT/Pathology Japan (Tokunoshima, Kagoshima) 55
2 1991 Korean/73/M NCC (multiple) CT/MRI/Pathology Korea 86
3 1991 Japanese/33 /M NCC (solitary) CT/MRI/Serology Honduras 87
4 1991 Japanese/29/F SCC (solitary) Pathology/Serology Thailand 41
5 1991 Japanese/48/M Intramedullary spinal (solitary) CT/MRI/Pathology Thailand 44
6 1992 Chinese/20/M NCC (multiple) CT/MRI/Pathology China (Heilongjiang province) 88
7 1992 Japanese/41/F NCC (multiple) CT/MRI/Serology/Pathology Hong Kong, Korea or Japan 89
8 1992 Japanese/30/M NCC (multiple, racemose-type) CT/MRI/Pathology Japan (Ginowan, Okinawa) 50, 51
9 1992 Korean/42/M NCC (multiple) CT/MRI/Serology Korea 90
10 1993 Japanese/44/F NCC (solitary) CT/Pathology Japan 56
11 1993 Japanese/46/M Ocular (solitary) Funduscope/Pathology Vietnam or Cambodia 45
12 1993 Japanese/41/F NCC (solitary) CT/MRI/Pathology Japan 57
13 1993 Brazilian/26/F NCC (multiple) CT/Pathology Brazil 91
14 1993 Japanese/49/F NCC (multiple) CT/MRI/Pathology China 92
15 1993 Japanese/53/M NCC (multiple, racemose-type ?) CT/MRI/Pathology Taiwan 55
16 1994 Korean/48/M NCC (multiple) and SCC (systemic) CT/MRI/X ray/Pathology Korea 42
17 1994 Korean/43/F NCC (multiple) and SCC (systemic) CT/MRI/X ray/Pathology Korea 42
18 1994 Japanese/72/F NCC (racemose-type) CT/MRI/Serology/Pathology China 53
19 1994 Chinese/24/M NCC (racemose-type) CT/MRI/Pathology China 54
20 1994 Japanese/44/M NCC (solitary) CT/MRI/Pathology Japan 54
21 1994 Japanese/52/F NCC (solitary) CT/MRI/Serology Japan 58
22 1995 Japanese/21/F NCC (multiple) MRI/PET Japan 59
23 1996 Japanese/39/M NCC (solitary) MRI/Pathology Japan 60
24 1996 Japanese/39/M SCC (solitary) Pathology China 43
25 1996 Korean/70/F NCC (multiple) CT/MRI/Serology/Pathology Korea 93
26 1997 Chinese/68/M NCC (multiple) and SCC (multiple) CT/MRI/X ray/Serology China (Heilongjiang province) 7
27 1998 Chinese/48/M NCC (multiple) CT/MRI China 8
28 1998 Japanese/37/M SCC (solitary) Pathology Japan 9
29 1998 Japanese/34/M NCC (multiple), SCC (multiple) and taeniasis CT/MRI/Serology China (Jiujiang, Jiangxi Province) 10
30 1998 Japanese/59/M NCC (multiple) CT/Pathology China 11
31 1999 Japanese/19/F NCC (solitary) MRI/Pathology India 12
32 1999 Chinese/55/M NCC (multiple) CT/MRI/Endoscopy/Pathology China 13
33 1999 Japanese/46/M NCC (solitary) CT/MRI/Pathology Indonesia, Nigeria, or Nepal 14, 15
34 2000 Japanese/45/F SCC (multiple) CT/Pathology Thailand 16
35 2000 Cambodian/29/M NCC (multiple) and SCC (multiple) CT/MRI/X ray/Pathology Cambodia 17
36 2001 Japanese/53/F Ocular (solitary) Funduscope/US No information 18
37 2001 Japanese/43/F NCC (solitary) CT/MRI/Pathology Thailand 19
38 2001 Unknown/73/M NCC (multiple) CT/MRI No information 20
39 2001 Japanese/70/M NCC (racemose type) CT/MRI/Serology Philippines 21
40 2002 Japanese/26/M NCC (solitary) CT/MRI/Pathology/Serology Japan 22
41 2003 Japanese/22/F NCC (solitary) CT/MRI// US/Pathology India 23
42 2004 Japanese/53/F NCC (solitary) CT/MRI/Pathology/DNA India, Vietnam, Thailand or Myanmar 24, 25
43 2004 Chinese/50/M Ocular (solitary) and NCC (solitary) Funduscope/CT/Serology/Pathology China (Heilongjiang province) 26
44 2004 Japanese/83/M SCC (systemic) CT/X ray/Pathology/DNA China 27, 28
45 2005 Chinese/44/F NCC (multiple) and SCC (multiple) CT/MRI/X ray China 29
46 2005 Chinese/21/F NCC (solitary) CT/MRI/PET/Serology China (Harbin, Heilongjiang province) 30
47 2005 Filipino/9/F NCC (solitary) CT/MRI/Pathology/DNA Philippines 31
48 2006 Japanese/24/F NCC (solitary) MRI/Pathology/DNA Indonesia or Korea 32
49 2006 Indian/28/F NCC (multiple) CT/MRI/DNA India 33
50 2006 Brazilian/42/F NCC (racemose-type) CT/MRI/Pathology/DNA Brazil 34
51 2007 Japanese/38/F NCC (solitary) CT/MRI/Pathology/DNA Nepal 35
52 2007 Japanese/84/M SCC (systemic) CT/X ray/DNA Japan (Okinawa) 36
53 2007 Japanese/51/F NCC (multiple) CT/MRI Japan (Okinawa) This study
54 2007 Japanese/31/F NCC (multiple) CT/MRI India This study
55 2008 Indian/44 /F NCC (multiple) MRI/Serology/DNA India 37
56 2008 Chinese/30/M NCC (multiple ) and SCC (multiple) CT/MRI/X ray/Serology China This study
57 2008 Japanese/39/F NCC (multiple) CT/MRI/PET/Serology Asian or African countries This study
58 2009 Japanese/24/M Ocular and taeniasis Funduscope/US/Serology Malawi 38
59 2009 Korean/38/M NCC (multiple) CT/MRI/SEM/Pathology Korea 39
60 2009 Japanese/20/F NCC (multiple) and taeniasis CT/MRI/Serology/Capsule endoscopy/DNA India This study
61 2009 Japanese/61 /M NCC (multiple, racemose-type) CT/MRI/US/Serology/Pathology/DNA India, Thailand, China or Vietnam This study
62 2010 Japanese/53/M NCC (racemose-type) CT/MRI/Pathology/Serology/DNA Japan (Uruma, Okinawa) 40
63 2010 Japanese/58/F SCC (multiple) CT/MRI/X ray/DNA Japan (Akita or Okinawa) This study
64 2010 Chinese/46/F NCC (multiple) and SCC (multiple) CT/MRI/US/Serology China (Harbin, Heilongjiang province) This study
65 2010 Japanese/31/M NCC (multiple), SCC(multiple) and taeniasis CT/MRI/Serology/DNA India This study
66 2011 Nepalese/35/M SCC (solitary) CT/US/Serology/Pathology/DNA Nepal This study
Table 2.
Demographic and clinical data for taeniasis reported in Japan (1990-2011)
Table 2.
Case No. Year Patient (Nationality /Age/Sex) Etiologic agent (diagnostic criteria) Presumed locality of infection References
1 1990 Japanese/72/M T. saginata (/Morphology) ? 63
2 1990 Korean/52/M T. saginata (Serology/Morphology) ? 64
3 1990 Japanese/34/M T. saginata (Morphology) Ethiopia 65
4 1990 Japanese/32/M T. saginata (Morphology) Japan 65
5 1990 Japanese/26/M T. saginata (Morphology) Ethiopia or Somalia 65
6 1992 Japanese/10/F T. saginata (Morphology) Japan 66
7 1994 Japanese T. saginata (Morphology) Iran 53
8 1994 Japanese T. saginata (Morphology) ? 53
9 1994 Japanese T. saginata (Morphology) ? 53
10 1994 Japanese T. saginata (Morphology) France or Germany 53
11 1994 Japanese T. saginata (Morphology) Germany 53
12 1996 Japanese/53/F T. saginata (Morphology) ? 67
13 1996 Japanese/26/M T. saginata (Morphology) Bolivia 68
14 1996 Japanese/47/M T. saginata (Morphology) Cote D’lvoire 69
15 1997 Japanese/23/F T. saginata (Morphology) Europe 70
16 1998 Brazilian/45/M T. saginata (Colonoscope/Morphology) Brazil 71
17 1998 Japanese/34/M Probably T. solium with NCC China (Jiujiang, Jiangxi Province) 10
18 2001 Filipino/32/F T. saginata (Morphology) Philippines 72
19 2001 Japanese/26/M T. saginata (Morphology) Japan or India 73
20 2001 Japanese/47/M T. saginata (Morphology) Indonesia 73
21 2001 Japanese/30/M T. saginata (Morphology) Ethiopia 73
22 2001 Japanese/60/M T. saginata (Morphology) Japan 73
23 2002 Japanese/30/M T. saginata (Morphology) Ethiopia 74
24 2002 Japanese/51/M T. saginata (Morphology) Thailand 74
25 2002 Japanese/46/M T. saginata (Morphology) Africa 75
26 2003 Japanese/24/F T. saginata (Morphology) Vietnam 77
27 2007 Japanese/45/M T. saginata (DNA) Thailand or Indonesia 76
28 2007 Cambodian/16/M T. saginata (DNA) Cambodia 94
29 2007 Japanese/58/M T. saginata (DNA) Korea 94
30 2007 Japanese/32/M T. saginata (DNA) Ethiopia 94
31 2007 Japanese/33/M T. saginata (DNA) Cambodia or Ethiopia 94
32 2007 Japanese/40/F T. saginata (DNA) China, Kenya, Monaco or Croatia This study
33 2007 Japanese/25/M T. saginata (Endoscope/Morphology) Laos 78
34 2008 Japanese/26/F T. saginata (DNA) Nicaragua, Laos or Indonesia This study
35 2008 Japanese/26/M T. saginata (DNA) Indonesia This study
36 2008 Japanese/45/M T. saginata (DNA) Vietnam or China This study
37 2009 Japanese/24/M Taenia sp. (Morphology) with ocular type Malawi 38
38 2009 Japanese/63/M T. saginata (DNA) Thailand This study
39 2009 Japanese/57/M T. saginata (DNA) Thailand This study
40 2009 Japanese/49/M T. saginata (DNA) Thailand This study
41 2009 Japanese/20/F T. solium (Capsule endoscope/DNA) with NCC India This study
42 2010 Japanese/58/M T. asiatica (DNA) Japan 81, 84
43 2010 Japanese/41/F T. asiatica (DNA) Japan 81, 84
44 2010 Japanese/55/M T. asiatica (DNA) Japan 81, 84
45 2010 Japanese/40/M T. asiatica (DNA) Japan 81, 84
46 2010 Japanese/31/M T. asiatica (DNA) Japan 82, 84
47 2010 Japanese/41/M T. asiatica (DNA) Japan 83
48 2010 Japanese/28/M T. asiatica (DNA) Japan 83
49 2010 Japanese/30/M T. asiatica (DNA) Japan 83, 84
50 2010 Japanese/60/M T. asiatica (DNA) Japan 83
51 2010 Japanese/39/F T. asiatica (DNA) Japan 83, 84
52 2010 Japanese/24/F T. asiatica (DNA) Japan 83
53 2010 Japanese/31/M T. solium (endoscopy/DNA) with NCC India This study
54 2010 Japanese/39/M T. asiatica (DNA) Japan 84
55 2010 Japanese/56/M T. saginata (DNA) Thailand This study
56 2010 Japanese/26/F T. asiatica (DNA) Japan 84
57 2010 Japanese/43/F T. asiatica (DNA) Japan 84
58 2010 Filipino/31/F T. asiatica (DNA) Philippines This study
59 2011 Japanese/46/M T. saginata (DNA) Malaysia This study
60 2011 Japanese/35/M T. saginata (DNA) Mali This study
61 2011 Japanese/52/M T. saginata (DNA) Thailand This study
62 2011 Japanese/24/F T. saginata (DNA) Indonesia (Bali) This study
63 2011 Japanese/41/M T. saginata (DNA) Senegal This study
64 2011 Thai/21/M T. solium (DNA) Thailand This study
65 2011 Japanese/33/M T. saginata (DNA) Sudan This study
66 2011 Japanese/54/M T. asiatica (DNA) Japan This study
67 2011 Japanese/38/M T. asiatica (DNA) Japan This study
68 2011 Ethiopian/24/F T. saginata (DNA) Ethiopia This study
69 2011 Japanese/12/M T. asiatica (DNA) Japan This study
70 2011 Japanese/54/M T. asiatica (DNA) Japan This study
71 2011 Japanese/42/F T. saginata (DNA) France This study
72 2011 Ethiopian/26/F T. saginata (DNA) Ethiopia This study
73 2011 Japanese/41/F T. asiatica (DNA) Japan This study

Download Citation

Download a citation file in RIS format that can be imported by all major citation management software, including EndNote, ProCite, RefWorks, and Reference Manager.

Format:

Include:

Current Status and Perspectives of Cysticercosis and Taeniasis in Japan
Korean J Parasitol. 2013;51(1):19-29.   Published online February 18, 2013
Download Citation

Download a citation file in RIS format that can be imported by all major citation management software, including EndNote, ProCite, RefWorks, and Reference Manager.

Format:
Include:
Current Status and Perspectives of Cysticercosis and Taeniasis in Japan
Korean J Parasitol. 2013;51(1):19-29.   Published online February 18, 2013
Close

Figure

  • 0
  • 1
Current Status and Perspectives of Cysticercosis and Taeniasis in Japan
Image Image
Fig. 1 Imaging findings of selected cysticercosis cases. (A) plain CT image showing a solitary lesion at the left occipitoparietal area (case 48 [32], courtesy of Prof. H. Matsuoka). (B) MRI showing one of multiple cystic lesions in the left frontal and temporal lobes (case 49 [33]). (C) MRI showing a rasemose-type lesion at the basal cistern (case 50 [34], courtesy of Dr. T. Oda). (D) MRI FLAIR findings showing a giant and multilobulated mass in the subarachnoidal spaces of the right frontal lobe (case 62 [40], courtesy of Dr. S. Shiiki). (E) Cisterography showing multiple cysts in the brain (case 60, courtesy of Prof. A. Chiba). (F) X-ray findings showing typical rice grain calcifications in the muscles of buttocks and lower extremity (case 44 [27, 28], courtesy of Dr. T. Nagase). (G) CT findings showing numerous calcified cysts in muscles of the of the buttocks (case 52 [36], courtesy of Dr. M. Tsuda).
Fig. 2 Histopathologic findings of cystic lesions from cysticercosis patients. (A) A cellulose-type cysticercus characterized by rabyrinth-like structure (case 40 [22], courtesy of Dr. S. Matsunaga). (B) and (E) A resected lesion and a cellulose-type cysticercus (case 48 [32], courtesy of Prof. H. Matsuoka). (C) Racemose-type cysticercus characterized by complicated cystic walls (case 62 [40], courtesy of Dr. S. Shiiki). (D) SCC showing typical rice grain calcifications in the muscles of buttocks and lower extremity and the section of the calcified lesion (case 44 [27, 28], courtesy of Dr. T. Nagase). (F) Surgically removed calcified lesions (case 52 [36], courtesy of Dr. Tsuda). Sections (A, C , D, and E) were stained with hematoxylin and eosin.
Current Status and Perspectives of Cysticercosis and Taeniasis in Japan
Case No. Year Patient (Nationality/Age/Sex) Type of cysticercosis Diagnostic criteria Presumed locality of infection References 1 1990 Japanese/40/F NCC (multiple) CT/Pathology Japan (Tokunoshima, Kagoshima) 55 2 1991 Korean/73/M NCC (multiple) CT/MRI/Pathology Korea 86 3 1991 Japanese/33 /M NCC (solitary) CT/MRI/Serology Honduras 87 4 1991 Japanese/29/F SCC (solitary) Pathology/Serology Thailand 41 5 1991 Japanese/48/M Intramedullary spinal (solitary) CT/MRI/Pathology Thailand 44 6 1992 Chinese/20/M NCC (multiple) CT/MRI/Pathology China (Heilongjiang province) 88 7 1992 Japanese/41/F NCC (multiple) CT/MRI/Serology/Pathology Hong Kong, Korea or Japan 89 8 1992 Japanese/30/M NCC (multiple, racemose-type) CT/MRI/Pathology Japan (Ginowan, Okinawa) 50, 51 9 1992 Korean/42/M NCC (multiple) CT/MRI/Serology Korea 90 10 1993 Japanese/44/F NCC (solitary) CT/Pathology Japan 56 11 1993 Japanese/46/M Ocular (solitary) Funduscope/Pathology Vietnam or Cambodia 45 12 1993 Japanese/41/F NCC (solitary) CT/MRI/Pathology Japan 57 13 1993 Brazilian/26/F NCC (multiple) CT/Pathology Brazil 91 14 1993 Japanese/49/F NCC (multiple) CT/MRI/Pathology China 92 15 1993 Japanese/53/M NCC (multiple, racemose-type ?) CT/MRI/Pathology Taiwan 55 16 1994 Korean/48/M NCC (multiple) and SCC (systemic) CT/MRI/X ray/Pathology Korea 42 17 1994 Korean/43/F NCC (multiple) and SCC (systemic) CT/MRI/X ray/Pathology Korea 42 18 1994 Japanese/72/F NCC (racemose-type) CT/MRI/Serology/Pathology China 53 19 1994 Chinese/24/M NCC (racemose-type) CT/MRI/Pathology China 54 20 1994 Japanese/44/M NCC (solitary) CT/MRI/Pathology Japan 54 21 1994 Japanese/52/F NCC (solitary) CT/MRI/Serology Japan 58 22 1995 Japanese/21/F NCC (multiple) MRI/PET Japan 59 23 1996 Japanese/39/M NCC (solitary) MRI/Pathology Japan 60 24 1996 Japanese/39/M SCC (solitary) Pathology China 43 25 1996 Korean/70/F NCC (multiple) CT/MRI/Serology/Pathology Korea 93 26 1997 Chinese/68/M NCC (multiple) and SCC (multiple) CT/MRI/X ray/Serology China (Heilongjiang province) 7 27 1998 Chinese/48/M NCC (multiple) CT/MRI China 8 28 1998 Japanese/37/M SCC (solitary) Pathology Japan 9 29 1998 Japanese/34/M NCC (multiple), SCC (multiple) and taeniasis CT/MRI/Serology China (Jiujiang, Jiangxi Province) 10 30 1998 Japanese/59/M NCC (multiple) CT/Pathology China 11 31 1999 Japanese/19/F NCC (solitary) MRI/Pathology India 12 32 1999 Chinese/55/M NCC (multiple) CT/MRI/Endoscopy/Pathology China 13 33 1999 Japanese/46/M NCC (solitary) CT/MRI/Pathology Indonesia, Nigeria, or Nepal 14, 15 34 2000 Japanese/45/F SCC (multiple) CT/Pathology Thailand 16 35 2000 Cambodian/29/M NCC (multiple) and SCC (multiple) CT/MRI/X ray/Pathology Cambodia 17 36 2001 Japanese/53/F Ocular (solitary) Funduscope/US No information 18 37 2001 Japanese/43/F NCC (solitary) CT/MRI/Pathology Thailand 19 38 2001 Unknown/73/M NCC (multiple) CT/MRI No information 20 39 2001 Japanese/70/M NCC (racemose type) CT/MRI/Serology Philippines 21 40 2002 Japanese/26/M NCC (solitary) CT/MRI/Pathology/Serology Japan 22 41 2003 Japanese/22/F NCC (solitary) CT/MRI// US/Pathology India 23 42 2004 Japanese/53/F NCC (solitary) CT/MRI/Pathology/DNA India, Vietnam, Thailand or Myanmar 24, 25 43 2004 Chinese/50/M Ocular (solitary) and NCC (solitary) Funduscope/CT/Serology/Pathology China (Heilongjiang province) 26 44 2004 Japanese/83/M SCC (systemic) CT/X ray/Pathology/DNA China 27, 28 45 2005 Chinese/44/F NCC (multiple) and SCC (multiple) CT/MRI/X ray China 29 46 2005 Chinese/21/F NCC (solitary) CT/MRI/PET/Serology China (Harbin, Heilongjiang province) 30 47 2005 Filipino/9/F NCC (solitary) CT/MRI/Pathology/DNA Philippines 31 48 2006 Japanese/24/F NCC (solitary) MRI/Pathology/DNA Indonesia or Korea 32 49 2006 Indian/28/F NCC (multiple) CT/MRI/DNA India 33 50 2006 Brazilian/42/F NCC (racemose-type) CT/MRI/Pathology/DNA Brazil 34 51 2007 Japanese/38/F NCC (solitary) CT/MRI/Pathology/DNA Nepal 35 52 2007 Japanese/84/M SCC (systemic) CT/X ray/DNA Japan (Okinawa) 36 53 2007 Japanese/51/F NCC (multiple) CT/MRI Japan (Okinawa) This study 54 2007 Japanese/31/F NCC (multiple) CT/MRI India This study 55 2008 Indian/44 /F NCC (multiple) MRI/Serology/DNA India 37 56 2008 Chinese/30/M NCC (multiple ) and SCC (multiple) CT/MRI/X ray/Serology China This study 57 2008 Japanese/39/F NCC (multiple) CT/MRI/PET/Serology Asian or African countries This study 58 2009 Japanese/24/M Ocular and taeniasis Funduscope/US/Serology Malawi 38 59 2009 Korean/38/M NCC (multiple) CT/MRI/SEM/Pathology Korea 39 60 2009 Japanese/20/F NCC (multiple) and taeniasis CT/MRI/Serology/Capsule endoscopy/DNA India This study 61 2009 Japanese/61 /M NCC (multiple, racemose-type) CT/MRI/US/Serology/Pathology/DNA India, Thailand, China or Vietnam This study 62 2010 Japanese/53/M NCC (racemose-type) CT/MRI/Pathology/Serology/DNA Japan (Uruma, Okinawa) 40 63 2010 Japanese/58/F SCC (multiple) CT/MRI/X ray/DNA Japan (Akita or Okinawa) This study 64 2010 Chinese/46/F NCC (multiple) and SCC (multiple) CT/MRI/US/Serology China (Harbin, Heilongjiang province) This study 65 2010 Japanese/31/M NCC (multiple), SCC(multiple) and taeniasis CT/MRI/Serology/DNA India This study 66 2011 Nepalese/35/M SCC (solitary) CT/US/Serology/Pathology/DNA Nepal This study Case No. Year Patient (Nationality /Age/Sex) Etiologic agent (diagnostic criteria) Presumed locality of infection References 1 1990 Japanese/72/M T. saginata (/Morphology) ? 63 2 1990 Korean/52/M T. saginata (Serology/Morphology) ? 64 3 1990 Japanese/34/M T. saginata (Morphology) Ethiopia 65 4 1990 Japanese/32/M T. saginata (Morphology) Japan 65 5 1990 Japanese/26/M T. saginata (Morphology) Ethiopia or Somalia 65 6 1992 Japanese/10/F T. saginata (Morphology) Japan 66 7 1994 Japanese T. saginata (Morphology) Iran 53 8 1994 Japanese T. saginata (Morphology) ? 53 9 1994 Japanese T. saginata (Morphology) ? 53 10 1994 Japanese T. saginata (Morphology) France or Germany 53 11 1994 Japanese T. saginata (Morphology) Germany 53 12 1996 Japanese/53/F T. saginata (Morphology) ? 67 13 1996 Japanese/26/M T. saginata (Morphology) Bolivia 68 14 1996 Japanese/47/M T. saginata (Morphology) Cote D’lvoire 69 15 1997 Japanese/23/F T. saginata (Morphology) Europe 70 16 1998 Brazilian/45/M T. saginata (Colonoscope/Morphology) Brazil 71 17 1998 Japanese/34/M Probably T. solium with NCC China (Jiujiang, Jiangxi Province) 10 18 2001 Filipino/32/F T. saginata (Morphology) Philippines 72 19 2001 Japanese/26/M T. saginata (Morphology) Japan or India 73 20 2001 Japanese/47/M T. saginata (Morphology) Indonesia 73 21 2001 Japanese/30/M T. saginata (Morphology) Ethiopia 73 22 2001 Japanese/60/M T. saginata (Morphology) Japan 73 23 2002 Japanese/30/M T. saginata (Morphology) Ethiopia 74 24 2002 Japanese/51/M T. saginata (Morphology) Thailand 74 25 2002 Japanese/46/M T. saginata (Morphology) Africa 75 26 2003 Japanese/24/F T. saginata (Morphology) Vietnam 77 27 2007 Japanese/45/M T. saginata (DNA) Thailand or Indonesia 76 28 2007 Cambodian/16/M T. saginata (DNA) Cambodia 94 29 2007 Japanese/58/M T. saginata (DNA) Korea 94 30 2007 Japanese/32/M T. saginata (DNA) Ethiopia 94 31 2007 Japanese/33/M T. saginata (DNA) Cambodia or Ethiopia 94 32 2007 Japanese/40/F T. saginata (DNA) China, Kenya, Monaco or Croatia This study 33 2007 Japanese/25/M T. saginata (Endoscope/Morphology) Laos 78 34 2008 Japanese/26/F T. saginata (DNA) Nicaragua, Laos or Indonesia This study 35 2008 Japanese/26/M T. saginata (DNA) Indonesia This study 36 2008 Japanese/45/M T. saginata (DNA) Vietnam or China This study 37 2009 Japanese/24/M Taenia sp. (Morphology) with ocular type Malawi 38 38 2009 Japanese/63/M T. saginata (DNA) Thailand This study 39 2009 Japanese/57/M T. saginata (DNA) Thailand This study 40 2009 Japanese/49/M T. saginata (DNA) Thailand This study 41 2009 Japanese/20/F T. solium (Capsule endoscope/DNA) with NCC India This study 42 2010 Japanese/58/M T. asiatica (DNA) Japan 81, 84 43 2010 Japanese/41/F T. asiatica (DNA) Japan 81, 84 44 2010 Japanese/55/M T. asiatica (DNA) Japan 81, 84 45 2010 Japanese/40/M T. asiatica (DNA) Japan 81, 84 46 2010 Japanese/31/M T. asiatica (DNA) Japan 82, 84 47 2010 Japanese/41/M T. asiatica (DNA) Japan 83 48 2010 Japanese/28/M T. asiatica (DNA) Japan 83 49 2010 Japanese/30/M T. asiatica (DNA) Japan 83, 84 50 2010 Japanese/60/M T. asiatica (DNA) Japan 83 51 2010 Japanese/39/F T. asiatica (DNA) Japan 83, 84 52 2010 Japanese/24/F T. asiatica (DNA) Japan 83 53 2010 Japanese/31/M T. solium (endoscopy/DNA) with NCC India This study 54 2010 Japanese/39/M T. asiatica (DNA) Japan 84 55 2010 Japanese/56/M T. saginata (DNA) Thailand This study 56 2010 Japanese/26/F T. asiatica (DNA) Japan 84 57 2010 Japanese/43/F T. asiatica (DNA) Japan 84 58 2010 Filipino/31/F T. asiatica (DNA) Philippines This study 59 2011 Japanese/46/M T. saginata (DNA) Malaysia This study 60 2011 Japanese/35/M T. saginata (DNA) Mali This study 61 2011 Japanese/52/M T. saginata (DNA) Thailand This study 62 2011 Japanese/24/F T. saginata (DNA) Indonesia (Bali) This study 63 2011 Japanese/41/M T. saginata (DNA) Senegal This study 64 2011 Thai/21/M T. solium (DNA) Thailand This study 65 2011 Japanese/33/M T. saginata (DNA) Sudan This study 66 2011 Japanese/54/M T. asiatica (DNA) Japan This study 67 2011 Japanese/38/M T. asiatica (DNA) Japan This study 68 2011 Ethiopian/24/F T. saginata (DNA) Ethiopia This study 69 2011 Japanese/12/M T. asiatica (DNA) Japan This study 70 2011 Japanese/54/M T. asiatica (DNA) Japan This study 71 2011 Japanese/42/F T. saginata (DNA) France This study 72 2011 Ethiopian/26/F T. saginata (DNA) Ethiopia This study 73 2011 Japanese/41/F T. asiatica (DNA) Japan This study
Table 1. Demographic and clinical data for cysticercosis cases reported in Japan (1990-2011)
Table 2. Demographic and clinical data for taeniasis reported in Japan (1990-2011)