INTRODUCTION
Ticks are obligate hematophagous ectoparasites and transmit many pathogens, affecting human and animal health [1]. Tick control is dependent on the application of acaricides. Because ticks have developed resistance to acaricides where they have been used extensively, and application contributes to environmental contamination and exposure of non-target organisms [2,3], alternative tick control measures are needed. In the early 1990s, it was shown that the Bm86 gut antigen of Rhipicephalus (Boophilus) microplus could induce immunological protection to hosts, protecting them against tick infestations [4]. Subsequently, 2 vaccines (Gavac and TickGARD) based on the recombinant R. microplus Bm86 gut antigen were verified to be effective in field trials and registered in Latin American countries and Australia [5,6]. Vaccination against R. microplus infestations is considered as an efficient alternative for tick control, while concurrently reducing the use of acaricides [7,8].
Haemaphysalis longicornis is widely distributed in China, New Zealand, Korea, Japan, and Australia [9], and is a vector of zoonotic pathogens, including Theileria sergenti, Babesia ovata, and Rickettsia japonica [10,11], that impact negatively on human and animal health. More recently in 2009, severe fever with thrombocytopenia syndrome (SFTS) was reported in Hubei and Henan provinces of China. Later a novel bunyavirus was isolated from patients, and H. longicornis may be a candidate vector [12]. While several vaccine candidates, such as extracellular matrix protein p29 [7], serine protease inhibitor serpin [13], troponin I-like protein P27/30 [14], and heat shock protein HLHsp70 [15], have been evaluated for control of H. longicornis, immunized rabbits showed partial or no protection against biting ticks. Thus, the search for new antigen candidates for the development of an effective vaccine is necessary.
Midgut antigens on the luminal surface are directly exposed to the blood meal and host immune effectors, and are promising targets for the development of effective vaccines [16]. In this study, we screened the 92 kDa protein (P92) by polyclonal antibody from H. longicornis midguts and analyzed the amino acid sequences of P92 using the LC-MS/MS. The results showed that the protective antigen may be a paramyosin. By a rapid amplification of cDNA ends (RACE), we cloned the P92 gene and predicted its protective epitope.
MATERIALS AND METHODS
Tick and tissue collection
H. longicornis were carefully removed from infested sheep in the Xiaowutai National Natural Reserve Area of Hebei Province, China, using forceps, placed in glass tubes, and transported to our laboratory at Hebei Normal University where they were fed on the ears of rabbits. The rabbits were maintained in cages designed for collecting detached ticks at 25-27℃ and 50% relative humidity (RH). After detachment, ticks were collected and maintained in cotton-plugged glass tubes filled with 1 folded filter paper in an incubator at 25±1℃ and 75% RH.
Midguts of unfed females were dissected in cold 0.1 M PBS (pH 7.2) solution under a microscope using forceps. Dissected midguts were washed 3 times with PBS and placed in 2 ml eppendorf tubes containing 0.5 ml 0.1 M PBS, and stored at -80℃ for later analysis.
Generation of rabbit anti-tick midgut serum
Polyclonal antibodies against midguts were generated in adult male New Zealand white rabbits purchased from the Hebei Laboratory Animal Center (Shijiazhuang, China). The rabbits were initially injected with 360 µg midgut extract emulsified in an equal volume of Freund's complete adjuvant. Two additional injections were given every 2 weeks with 360 µg antigen emulsified with an equal volume of Freund's incomplete adjuvant. One week after the third injection, blood was collected from the carotid artery of rabbits and serum was assayed to determine antibody titers through indirect ELISA.
SDS-PAGE and western blot
A total of 80 midguts from unfed female ticks were ground in cold 0.1 M PBS solution using a homogenizer, placed in 2 ml eppendorf tubes, and centrifuged at 10,000 rpm for 30 min at 4℃. A total of 30 µg protein per lane were separated by 14% SDS-PAGE and transferred to a polyvinylidene difluoride (PVDF) membrane. Subsequently, the membrane was cut into 3 strips and the protein marker strip was dyed by amido black. The other 2 strips of midgut proteins were blocked for 2 hr in PBS-Tween-20 (PBST) containing 5% fat-free milk, then incubated in rabbit negative serum and rabbit anti-tick midgut serum (1:8) overnight at room temperature, respectively. The strips were then washed 3 times with PBST and incubated with diluted peroxidase-conjugated sheep anti-rabbit IgG (1:1,000) for 1.5 hr. Positive signals of coloration were detected using 3,3-diaminobenzidine and hydrogen peroxide.
LC-MS/MS analysis
To analyze the P92 amino acid sequence, a 15 µg midgut protein from unfed female ticks was electrophoresed on a 12% SDS-PAGE gel and then stained with Commassie blue. Based on the molecular weight marker, the 92 kDa protein band was cut and placed into 2 ml eppendorf tubes. This was followed by reduction with DL-dithiothreitol (DTT), alkylation with iodoacetamide, and digestion with trypsin. Subsequently, samples were separated on a C18 reverse phase column (100 µm ID×15 cm length, 5 µm particle size, 300 Å pore size) (BioBasic, Thermo Fisher Scientific, Rockford, Illinois, USA) at a flow rate of 400 nl/min. Peptides were eluted using a linear acetonitrile gradient (0-80%) solvent B (solvent A: 100% H2O + 0.1% formic acid; solvent B: 100% acetonitrile + 0.1% formic acid) for 60 min using a nano LC system (Thermo Fisher Scientific). Eluted peptides were directly electrosprayed (from an uncoated 15 µm-inner diameter-spraying needle) into an LTQ linear ion trap mass spectrometer (Thermo Fisher Scientific) using a nano-ESI emitter with a 2.0 kV electrospray voltage, and mass spectrometer capillary transfer temperature was set at 200℃. LC-MS/MS data were acquired in a data-dependent acquisition controlled by Xcalibur 2.0 software. Full MS scans in the m/z range of 400-2,000 were followed by 10 data dependent MS/MS scans acquired in the linear ion trap by collision induced dissociation (CID) with 35% normalized collision energy. Proteins were identified using SEQUEST in Bioworks 3.3.1 software package against tick protein databases (July 22, 2012) in NCBI.
RNA preparation
Total RNA was extracted from the midguts using an RNA purification kit (Axygen, Union City, California, USA) according to the manufacture's instructions. After determining the concentrations of RNA samples by measuring the absorbance at 260 nm, the samples were stored at -80℃ for later analysis. Quality of the total RNA was analyzed by agarose (Novagen, Darmstadt, Germany) gel electrophoresis.
Amplification and sequencing of cDNA fragments
To sequence the H. longicornis paramyosin (Hl-Pmy) cDNA fragments, 2 µg of total RNA was reverse-transcribed using a cDNA synthesis kit (ThermoScript RT-PCR system, Invitrogen, Carlsbad, California, USA) according to the manufacturer's protocol. The forward primer Para-1 and reverse primer Anti-1 (Sangon, Shanghai, China) were designed based on the paramyosin sequence of R. microplus (GenBank accession no. AF47 9582) from the Shanghai Sangon Company (Table 1). Amplification of Hl-Pmy cDNA fragments was performed by PCR at 94℃ for 5 min, followed by 30 cycles of 94℃ for 50 sec, 55℃ for 50 sec, 72℃ for 1 min, and a final extension for 10 min at 72℃.
PCR products were purified using the agarose gel extraction kit (Axygen), ligated into the pMD19-T cloning vector (Takara, Ohtsu, Japan), and transformed into DH5α competent cells. Positive clones were selected for PCR under the above cited conditions and 3 independent positive clones verified by PCR were sequenced by Takara Company to confirm that no mutation or error had occurred.
Rapid amplification of cDNA ends
Total RNA of the midguts was used as the template to synthesize the first strand cDNA using an oligo dT-adaptor primer adaptor (Table 1). Reverse-transcribed products were used as a template to amplify the 3' end of the Hl-Pmy cDNA using FP-para2 and AP (Sangon, Shanghai, China) primers (Table 1). PCR cycling conditions were 94℃ for 5 min, followed by 30 cycles of 94℃ for 30 sec, 52℃ for 30 sec, 72℃ for 2 min, and a final elongation at 72℃ for 10 min. The obtained PCR products were subcloned into the pMD19-T vector (Takara) for sequencing.
HBS1 and HBX1 were used as primers to amplify the 5' end of Hl-Pmy cDNA (Table 1). The reaction parameters were as follows: 3 min denaturation at 95℃, followed by 30 cycles of 95℃ for 30 sec, 62℃ for 1 min, 72℃ for 3 min, and a final extension at 72℃ for 10 min. The obtained PCR products were subcloned into the pMD19-T vector (Takara) for sequencing.
Sequencing analysis and protective epitope prediction
Nucleotide sequences were analyzed using the DNAMAN software. Protein sequences of paramyosin in ticks and the protective epitope (YX1, SP2) of paramyosin found in other invertebrates [17,18] were aligned using the Clustal X, and the output of the graphic file was obtained using the DNAMAN software. Protein secondary structure prediction was done at the website (http://npsa-pbil.ibcp.fr/cgi-bin/npsa_automat.pl?page=/NP-SA/npsa_server.html) using the DSC algorithm [19].
RESULTS
Protective antigen detection in the tick midgut by western blot
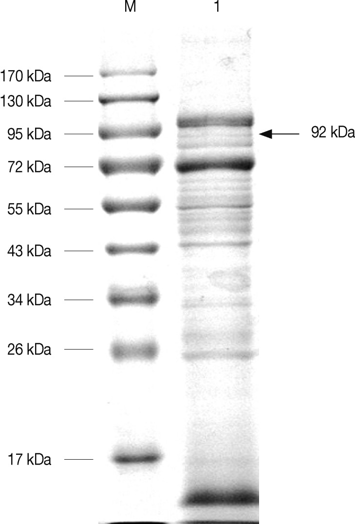
Reactivities of both rabbit negative serum and rabbit anti-H. longicornis midgut serum with midgut proteins were used to screen the protective antigen of the midgut by western blot. Only 92 kDa and 66 kDa protein bands were recognized by rabbit anti-H. longicornis midgut serum, while the rabbit negative serum did not react with the female tick midgut proteins (Fig. 1). These data suggest that the 92 kDa and 66 kDa proteins had immunogenic properties that might be useful in vaccine development.
LC-MS/MS analysis
The 92 kDa protein (P92) was excised from Commassie-stained SDS-PAGE gel (Fig. 2) and analyzed by LC-MS/MS. The results showed that the amino acid sequence of 12 peptides derived from P92 matched the paramyosin (Pmy) amino acid sequence of R. microplus (Table 2). These results showed that the P92 may be the H. longicornis paramyosin (Hl-Pmy).
Sequencing and characterization of a cDNA encoding Hl-Pmy
The Hl-Pmy cDNA sequence was obtained by 3' and 5' RACE using the primers shown in Table 1 and GenBank accession no. is JQ517315. The full-length of the Hl-Pmy cDNA consisted of 2,783 bp with a 161 bp 3'-untranslated region, and included a polyadenylation signal (AATAAA) and a poly (A) tail (Fig. 3). The open-reading frames (ORF) were 2,622 bp, which encoded for 873 amino acid residues.
Sequences alignment and protective epitope prediction
Only 2 tick Pmy sequences were obtained from sequence data in NCBI, including R. microplus (GenBank no. AAO20875) and Ixodes scapularis (GenBank no. XP_002407289). The comparison results showed that the amino acid sequence of Hl-Pmy (GenBank no. AFR32950) shared 97% identity and 99% similarity with R. microplus Pmy, and 94% identity and 97% similarity with I. scapularis Pmy (Fig. 4).
Amino acid sequences of Hl-Pmy were compared with Pmy epitope YX1 (EEAEGTTDAQIDANRKRESE) of Trichinella spiralis and SP2 (LDELSGTSS-QTHDAIRRKDME) of Taenia solium using the Clustal X (Fig. 4). The results indicated that the protective epitope of Hl-Pmy was close to the N-terminal of Hl-Pmy protein, as the LEE peptide (LEEAEGSSETVVEMNKKRDTE) (boxed in Figs. 3, 5). The Hl-Pmy secondary structure was predicted by DSC algorithm (Fig. 5) and the LEE peptide was found to have a non-helical segment within an α-helical structure.
DISCUSSION
Tick midgut proteins are considered to be concealed antigens, that have immunomodulatory effects [8], and have been more recently exploited as targets for vaccine development [20,21]. By western blot analysis, 5 midgut membrane antigens from Hyalomma anatolicum anatolicum with molecular weight 95, 85, 66, 49, and 42 kDa have been identified [22]. In addition, several candidate proteins, such as Kunitz-type proteinase inhibitor [20], thrombin inhibitor hemalin [23], and a homolog of the Ser/Thr kinase Akt (HlAkt) [24], have been reported as protective antigens from H. longicornis. Their molecular weights were 12, 20, and 60 kDa, respectively. In this study, 2 proteins (92 and 66 kDa) from H. longicornis midguts that demonstrated immunogenicity were identified (Fig. 1). The results of LC-MS/MS showed that the 12 peptide amino acid sequences of antigen P92 matched with the Pmy of R. microplus (Table 2), suggesting that P92 is the Pmy observed in H. longicornis.
Pmy is a myofibrillar protein with a coiled-coil structure found exclusively in invertebrates [25]. Vertebrates don't have homologous Pmy and antibodies produced by immunization with Pmy can't induce autoimmune responses in vertebrates. Thus, Pmy is a good candidate antigen for developing a vaccine, and has been identified and characterized in a variety of parasites, including Schistosoma japonicum [26], T. solium [27], and Taenia saginata [28]. However, few studies of Pmy have been reported in ticks. Only R. microplus Pmy sequence has been previously reported, which encoded a cDNA fragment with an open reading frame of 873 amino acids [29]. Furthermore, the amino acid sequence of H. longicornis Hl-Pmy demonstrated a high degree of identity to R. microplus Pmy. In addtion, the predicted molecular weight for Hl-Pmy was 92 kDa (Fig. 1), which was similar to the values observed for most Pmy proteins [30]. Sequence and structural analyses showed that Hl-Pmy is a Pmy protein, and the predicted secondary structure is a coiled-coil shape consistent with the characteristics of Pmy proteins [18].
Multiple alignment showed a high degree of conservation among tick Pmy proteins, including H. longicornis, R. microplus, and I. scapularis (Fig. 4), with similarities greater than 97%. This indicates that Pmy is a conservative protein with little variation among different tick species. Furthermore, the deduced sequence of R. microplus Pmy also demonstrated a high similarity with the full length Pmy sequences from other invertebrates, such as Onchocerca volvulus, Brugia malayi, Sarcoptes scabiei, and Drosophila melanogaster [29]. This suggests that Pmy is widely distributed and highly conservative among invertebrates. In addition to being a structural protein, Pmy is also an immunomodulatory protein that plays an important role in host-parasite interactions during helminth infections [31]. The potential of Pmy proteins as a vaccine candidate against schistosomiasis has been demonstrated [26]. Among ticks, only the recombinant Pmy protein of R. microplus has been shown to bind both IgG and collagen [29]. This reflects the potential importance of Pmy proteins in functions related to host immune system evasion. Thus, it is necessary to analyze the function of tick Pmy proteins in immunization studies.
To improve the immune efficiency of Pmy, a monoclonal antibody 7E2 was used to screen a random phage-displayed peptide library, and it was confirmed that amino acid regions 88-107 of T. spiralis Pmy was the epitope region named YX1 [17]. Studies showed that mice immunized with KLH-conjugated YX1 protected against T. spiralis larval challenge. Gazarian et al. [18] used synthetic peptides to induce rabbit antibody responses for phage-display mapping of epitopes and found that the non-helical segment SP2 of T. solium Pmy was a much better antigen than the α-helical segment SP1. By analysis of multiple alignment results (Fig. 4), we speculated that the peptide LEE was the protective epitope for Hl-Pmy. Secondary structure prediction showed a short non-helical segment in the α-helical structure of LEE (Fig. 5). These characteristics were consistent with that of SP2. Our results provide the basis for future studies on immunization with Hl-Pmy or LEE to prevent attachment of H. longicornis tick to target vertebrate hosts.



