Skip to main navigation Skip to main content
  • KSPTM
  • E-Submission

PHD : Parasites, Hosts and Diseases

OPEN ACCESS
ABOUT
BROWSE ARTICLES
FOR CONTRIBUTORS

Page Path

73
results for

"human"

Article category

Keywords

Publication year

Authors

Funded articles

"human"

Original Articles

Molecular evidence for human Metagonimus kogai and M. saitoi infection in Korea: detection of COI genes in the feces of riverside people along the Seomjin‑gang (river)
Eunsol Lee, Jong-Hun Choi, Yeong-Ju Lee, Seon-Ok Baek, Hee-Il Lee, Jung-Won Ju, Myeong-Ro Lee, Tae Yun Kim
Received August 27, 2025  Accepted November 28, 2025  Published online March 16, 2026  
DOI: https://doi.org/10.3347/PHD.25071    [Epub ahead of print]
Until now, 3 Metagonimus spp. (M. yokogawai, M. takahashii, and M. miyatai) causing human metagonimiasis have been reported in Korea. In this study, we investigated the possible presence of Metagonimus spp. other than these 3 species using human fecal samples from an endemic area in Korea. DNA was extracted from Metagonimus egg-positive fecal samples collected from residents of Gurye-gun, Jeollanam-do. A total of 21 representative mitochondrial cytochrome c oxidase subunit I sequences were obtained by PCR and cloning, and sequencing. Phylogenetic analysis revealed 1 cluster corresponding to M. yokogawai (n=10) and 2 additional distinct clusters corresponding to M. kogai (n=8) and M. saitoi (n=3), which were proposed as new species in Japan in 2022. Pairwise cytochrome c oxidase subunit I distances were low for M. yokogawai and M. kogai (mean Kimura 2-parameter: 0.005–0.006), whereas M. saitoi showed higher Korea–Japan values (~0.029), a pattern consistent with geographic structuring. In conclusion, we provide the first molecular evidence for the occurrence of M. kogai and M. saitoi in human fecal samples in Korea. Further confirmation using adult morphology, additional nuclear markers, and ecological surveys are needed to clarify metagonimiasis transmission in the Seomjin-gang (river) basin.
  • 495 View
  • 10 Download
Trichomoniasis is caused by a sexually transmitted flagellate protozoan parasite Trichomonas vaginalis. T. vaginalis-derived secretory products (TvSP) contain lipid mediators such as leukotriene B4 (LTB4) and various cysteinyl leukotrienes (CysLTs) which included LTC4, LTD4, and LTE4. However, the signaling mechanisms by which T. vaginalis-induced CysLTs stimulate interleukin (IL)-8 production in human mast cells remain unclear. In this study, we investigated these mechanisms in human mast cells (HMC-1). Stimulation with TvSP resulted in increased intracellular reactive oxygen species (ROS) generation and NADPH oxidase 2 (NOX2) activation compared to unstimulated cells. Pre-treatment with NOX2 inhibitors such as diphenyleneiodonium chloride (DPI) or apocynin significantly reduced ROS production in TvSP-stimulated HMC-1 cells. Additionally, TvSP stimulation increased NOX2 protein expression and the translocation of p47phox from the cytosol to the membrane. Pretreatment of HMC-1 cells with PI3K or PKC inhibitors reduced TvSP-induced p47phox translocation and ROS generation. Furthermore, NOX2 inhibitors or NOX2 siRNA prevented CREB phosphorylation and IL-8 gene expression or protein secretion induced by TvSP. Pretreatment with a CysLTR antagonist significantly inhibited TvSP-induced ROS production, CREB phosphorylation, and IL-8 production. These results indicate that CysLT-mediated activation of NOX2 plays a crucial role in ROS-dependent IL-8 production in human mast cells stimulated by T. vaginalis-secreted CysLTs. These findings enhance our understanding of the inflammatory response in trichomoniasis and may inform the development of targeted therapies to mitigate this response.

Citations

Citations to this article as recorded by  Crossref logo
  • Radical-induced lipid oxidation produces a torrent of leukotriene-like agonists in severe asthma
    Si-Yang Liu, Mikhail Linetsky, Abby Hite, Yu-Shiuan Cheng, Masaru Miyagi, Serena C. Zhu, Hong Zeng, Siqi Huang, Myra Qin, Emma Sintic, Carolyn M. Koutures, Abigail Meneses, Olivia R. Laniak, Sailaja Paruchuri, Lakshminarayan R. Teegala, Kaixi Cui, Fariba
    Journal of Allergy and Clinical Immunology.2026; 157(1): 99.     CrossRef
  • Genetic Diversity and Host Immune Response of Trichomoniasis Among Women
    Baraa Abdulsalam Hraija
    Academia Open.2026;[Epub]     CrossRef
  • Untargeted metabolomics reveals postoperative metabolic dynamics in hepatic cystic echinococcosis patients
    Kahaer Tuerxun, Abudouxikuer Abudoumijiti, Zainuer Yusupu, Rousitaimujiang Yimamu, Ronghua Tang, Ziru Wang, Abudoukeyimu Yasheng, Irshat Ibrahim, Yuanquan Wu
    Immunobiology.2025; 230(4): 153099.     CrossRef
  • 2,910 View
  • 76 Download
  • 2 Web of Science
  • Crossref

Mini Reviews

Sparganosis in the Indian Sub-continent and the Middle East
Yukifumi Nawa, Mio Tanaka, Masahide Yoshikawa
Parasites Hosts Dis 2024;62(3):263-269.
Published online August 26, 2024
DOI: https://doi.org/10.3347/PHD.23126
Sparganosis is one of the common zoonotic diseases caused by infection with the larval plerocercoids (spargana) of the cestode genus Spirometra. While this parasite distributes globally in canine and feline hosts, human infection is predominantly reported in East Asia, especially China, Korea, Japan, and Thailand. Maybe related to the behavior and food culture, this zoonotic disease is rather rare in South Asia to the Middle East. In these areas, sporadic case reports have been appeared mostly in the local medical journals. To draw a solid picture of sparganosis in these non-endemic areas of Asia, we made an extensive literature survey to gather sparganosis cases in the Indian subcontinent and the Middle East.

Citations

Citations to this article as recorded by  Crossref logo
  • Case report: Sparganosis in Minervarya pierrei (Dubois, 1975) (Amphibia: Anura: Dicroglossidae), a new host from India
    Neelanjana Saha, Sudheer Kumar Jena, Oindrila Paul, Suman Das, Upasana Bhattacharya, Anjum N. Rizvi, Pratyush P. Mohapatra
    Journal of Parasitic Diseases.2025;[Epub]     CrossRef
  • Deciphering the global genetic structure of Spirometra mansoni and S. erinaceieuropaei based on 28S ribosomal RNA: Insights into taxonomical revaluation and population dynamics
    Anil Kumar Nehra, Rasmita Panda, Prem Sagar Maurya, Ansu Kumari, Aman Dev Moudgil
    Parasitology Research.2025;[Epub]     CrossRef
  • 4,059 View
  • 95 Download
  • 2 Web of Science
  • Crossref
Dipylidiasis cases in Japan–an update by literature survey
Yukifumi Nawa, Akinori Furusawa, Mio Tanaka, Masahide Yoshikawa
Parasites Hosts Dis 2024;62(2):163-168.
Published online May 27, 2024
DOI: https://doi.org/10.3347/PHD.23118
Dipylidium caninum is a cosmopolitan parasite of companion animals such as dogs and cats. Accidental infection in humans occur mostly in children. Although considerable number of cases were reported from Europe and the Americas, case reports of this zoonotic disease are rather scarce from Asian countries. The aim of this study is to report the results of literature survey on dipylidiasis cases in humans in Japan. Conclusively, we have found a total of 17 cases since the first case report in from Aichi Prefecture in 1925.
  • 5,287 View
  • 78 Download

Case Report

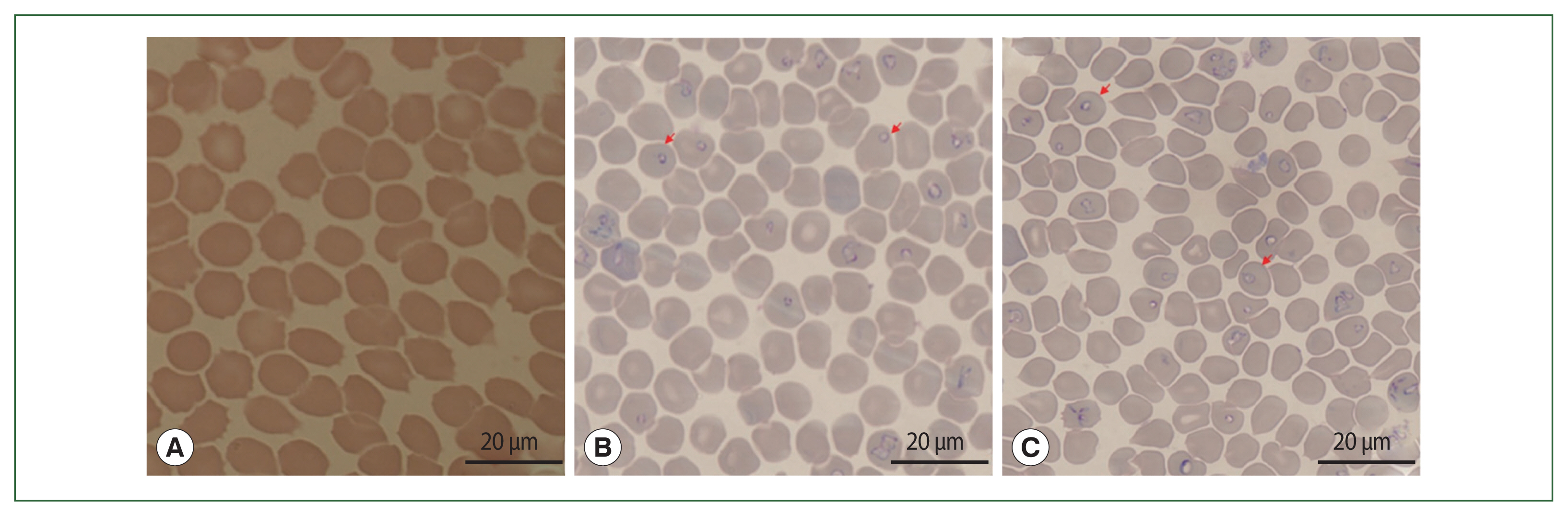
Imported human babesiosis in the Republic of Korea, 2019: two case reports
Hyun Jung Kim, Min Jae Kim, Hyun-Il Shin, Jung-Won Ju, Hee-Il Lee
Parasites Hosts Dis 2023;61(1):72-77.
Published online February 22, 2023
DOI: https://doi.org/10.3347/PHD.22168
Human babesiosis is a tick-borne disease induced by the genus Babesia and has been significantly reported in the Republic of Korea. This report shows the cases of 2 patients with human babesiosis who traveled to the USA in 2019. The 2 patients experienced fever and had travel histories to babesiosis-endemic regions. The diagnoses of both cases were verified by the identification of Babesia-infected red blood cells on blood smears. One patient was found to be infected with Babesia microti using polymerase chain reaction (PCR) for 18S rRNA, which discovered the phylogenetic link to the B. microti strain endemic in the USA. The 2 patients recovered from fever with subsequent hemoparasite clearance. Babesiosis could be diagnosed in anyone with histories of travel to babesiosis-endemic countries and tick bites. Furthermore, Babesia-specific PCR is required for determining geno-and phenotypic characteristics.

Citations

Citations to this article as recorded by  Crossref logo
  • Imported parasitic diseases in the Republic of Korea: status and issues
    Jong-Yil Chai
    Journal of the Korean Medical Association.2025; 68(1): 52.     CrossRef
  • Nationwide investigation of eukaryotic pathogens in ticks from cattle and sheep in Kyrgyzstan using metabarcoding
    Singeun Oh, Nathalie Amvongo-Adjia, Hyun Jung Kim, Jun Ho Choi, Xavier Chavarria, Myung-hee Yi, Arwa Shatta, Bekbolsun Aknazarov, Ju Yeong Kim, Jung-Won Ju, Bekir Oguz
    PLOS One.2025; 20(8): e0327953.     CrossRef
  • Detection of US and Kobe‐type Babesia microti in ticks collected from small mammals of the Republic of Korea
    Tae Yun Kim, Seong Yoon Kim, Jiye Seo, Hee IL Lee, Wook‐Gyo Lee, Hyunwoo Kim
    Entomological Research.2024;[Epub]     CrossRef
  • Human Babesia odocoilei and Bartonella spp. co-infections in the Americas
    Ricardo G. Maggi, Ana Cláudia Calchi, Charlotte O. Moore, Emily Kingston, Edward B. Breitschwerdt
    Parasites & Vectors.2024;[Epub]     CrossRef
  • Development of Multiplex Assays for the Identification of Zoonotic Babesia Species
    Ana Cláudia Calchi, Charlotte O. Moore, Lillianne Bartone, Emily Kingston, Marcos Rogério André, Edward B. Breitschwerdt, Ricardo G. Maggi
    Pathogens.2024; 13(12): 1094.     CrossRef
  • 4,300 View
  • 180 Download
  • 5 Web of Science
  • Crossref

Original Article

Babeisa duncani infection alters gut microbiota profile in hamsters
Shangdi Zhang, Jinming Wang, Xiaoyun Li, Yanbo Wang, Yueli Nian, Chongge You, Dekui Zhang, Guiquan Guan
Parasites Hosts Dis 2023;61(1):42-52.
Published online February 22, 2023
DOI: https://doi.org/10.3347/PHD.22142
The genus Babesia includes parasites that can induce human and animal babesiosis, which are common in tropical and subtropical regions of the world. The gut microbiota has not been examined in hamsters infected by Babesia duncani. Red blood cells infected with B. duncani were injected into hamsters through intraperitoneal route. To evaluate the changes in gut microbiota, DNAs were extracted from small intestinal contents, acquired from hamsters during disease development. Then, the V4 region of the 16S rRNA gene of bacteria was sequenced using the Illumina sequencing platform. Gut microbiota alternation and composition were assessed according to the sequencing data, which were clustered with >97.0% sequence similarity to create amplicon sequence variants (ASVs). Bacteroidetes and Firmicutes were made up of the major components of the gut microbiota in all samples. The abundance of Bacteroidetes elevated after B. duncani infection than the B. duncani-free group, while Firmicutes and Desulfobacterota declined. Alpha diversity analysis demonstrated that the shown ASVs were substantially decreased in the highest parasitemia group than B. duncani-free and lower parasitemia groups. Potential biomarkers were discovered by Linear discriminant analysis Effect Size (LEfSe) analysis, which demonstrated that several bacterial families (including Muribaculaceae, Desulfovibrionaceae, Oscillospiraceae, Helicobacteraceae, Clostridia UGG014, Desulfovibrionaceae, and Lachnospiraceae) were potential biomarkers in B. duncani-infected hamsters. This research demonstrated that B. duncani infectious can modify the gut microbiota of hamsters.

Citations

Citations to this article as recorded by  Crossref logo
  • Nationwide investigation of eukaryotic pathogens in ticks from cattle and sheep in Kyrgyzstan using metabarcoding
    Singeun Oh, Nathalie Amvongo-Adjia, Hyun Jung Kim, Jun Ho Choi, Xavier Chavarria, Myung-hee Yi, Arwa Shatta, Bekbolsun Aknazarov, Ju Yeong Kim, Jung-Won Ju, Bekir Oguz
    PLOS One.2025; 20(8): e0327953.     CrossRef
  • Eimeria infections of plateau pika altered the patterns of temporal alterations in gut bacterial communities
    Maoping Li, Suqin Wang, Liang Zhong, Petr Heděnec, Zhaoxian Tan, Rong Wang, Xinyang Chen, Yan Zhang, Bingmin Tang, Huakun Zhou, Jiapeng Qu
    Frontiers in Microbiology.2024;[Epub]     CrossRef
  • Atractylenolide-I Alleviates Hyperglycemia-Induced Heart Developmental Malformations through Direct and Indirect Modulation of the STAT3 Pathway
    Mengwei Wang, Tong-hua Zhang, Yunjin Li, Xiaofeng Chen, Qiongyin Zhang, Ying Zheng, Denglu Long, Xin Cheng, An Hong, Xuesong Yang, Guang Wang
    Phytomedicine.2024; 129: 155698.     CrossRef
  • Qi Huang Fang improves intestinal barrier function and intestinal microbes in septic mice through NLRP3 inflammasome-mediated cellular pyroptosis
    Tingting Shu, Jun Zhang, Ruiying Hu, Fang Zhou, Hanyong Li, Jing Liu, Yanbo Fan, Xucheng Li, Peiwu Ding
    Transplant Immunology.2024; 85: 102072.     CrossRef
  • 4,559 View
  • 155 Download
  • Crossref

Case Report

A Case of Human Hepatic Alveolar Echinococcosis Accompanied by Lung and Brain Metastases
Chuanchuan Liu, Haining Fan, Ri-li Ge
Korean J Parasitol 2021;59(3):291-296.
Published online June 21, 2021
DOI: https://doi.org/10.3347/kjp.2021.59.3.291
Alveolar echinococcosis (AE) is considered as a fatal zoonosis caused by the larvae of Echinococcus multilocularis. The lungs and brain are the most common metastatic organs. We report a human case of hepatic alveolar echinococcosis accompanied by lung and brain metastasis. In particular, the patient had a history of tuberculosis and the lung lesions were easily misdiagnosed as lung abscesses. The lesions of liver and lung underwent radical resection and confirmed as alveolar echinococcosis by pathological examination. The patient had no surgical complications after operation and was discharged after symptomatic treatment. Unfortunately, the patient later developed multiple intracerebral AE metastases. We required the patient to take albendazole orally for life and follow up.

Citations

Citations to this article as recorded by  Crossref logo
  • Alveolar Echinococcosis in 11-Month-Old Dog—Clinical Case
    Zuzana Šufliarska, Štefan Tóth, Michaela Gentil, Filip Humeník
    Pathogens.2025; 14(5): 450.     CrossRef
  • Surgical Approach in the Pulmonary Alveolar Echinococcus
    Yener Aydin, Ali Bilal Ulas, Nurhak Aksungur, Atilla Eroglu
    Archivos de Bronconeumología.2024; 60(6): 385.     CrossRef
  • Epididymal alveolar echinococcosis and tuberculosis co-infection: A case report
    Chuanchuan Liu, Hainin Fan
    IDCases.2024; 36: e01966.     CrossRef
  • Study on the mechanism of miRNAs on liver injury in the condition of Protoscocephalus alveolarus transhepatic portal vein infection
    Yazhou Zhu, Ming Li, Zihua Li, Jiahui Song, Wei Zhao
    Immunity, Inflammation and Disease.2024;[Epub]     CrossRef
  • Echinococcosis: An Uncommon Cause of Thoracic Pain
    Beatriz Sampaio, Felisbela Gomes, Mafalda Leal, Rita Bernardino
    Cureus.2024;[Epub]     CrossRef
  • Diagnosis and comparative analysis of surgical treatment of patients with liver alveococcosis
    V. S. Panteleev, M. A. Nartaylakov, I. Z. Salimgareev, A. S. Petrov
    Acta Biomedica Scientifica.2023; 8(2): 214.     CrossRef
  • A Surgically Resected Case of Multiple Pulmonary Metastases of Echinococcosis Presented with Bloody Phlegm
    Ryota NAGASHIMA, Yasushi CHO, Kenji WAKAYAMA, Shusaku TAKAHASHI, Hiroyuki ISHIZU, Shin ICHIHARA
    Nihon Rinsho Geka Gakkai Zasshi (Journal of Japan Surgical Association).2023; 84(9): 1442.     CrossRef
  • The Role of the Intestinal Epithelium in the “Weep and Sweep” Response during Gastro—Intestinal Helminth Infections
    Piotr Bąska, Luke James Norbury
    Animals.2022; 12(2): 175.     CrossRef
  • 5,509 View
  • 85 Download
  • 8 Web of Science
  • Crossref

Original Articles

Neurocysticercosis: Clinical Characteristics and Changes from 26 Years of Experience in an University Hospital in Korea
Hyo-Ju Son, Min Jae Kim, Kyung Hwa Jung, Sungim Choi, Jiwon Jung, Yong Pil Chong, Sung-Han Kim, Sang-Oh Lee, Sang-Ho Choi, Yang Soo Kim, Jun Hee Woo, Bong-Kwang Jung, Hyemi Song, Jong-Yil Chai
Korean J Parasitol 2019;57(3):265-271.
Published online June 30, 2019
DOI: https://doi.org/10.3347/kjp.2019.57.3.265
The prevalence of human taeniasis has decreased in Korea. The stool egg positive proportion decreased from 1.9% in 1971 to 0% in 2004 in nationwide surveys. The neurocysticercosis (NCC) is also presumed to decrease. However, detailed information regarding the recent status of NCC in Korea is lacking. We retrospectively reviewed NCC cases from 1990 to 2016 at Asan Medical Center, a 2700-bed tertiary referral hospital in Korea. We identified patients based on clinical symptoms, brain imaging, pathology and serological assay. The cases were classified as parenchymal, extraparenchymal, and mixed NCC. Eighty-one patients were included in the analysis. The mean age was 54.5 years, and 79.0% were male. The number of NCC cases was highest from 1995 to 1999, and continuously decreased thereafter. Forty (49.4%) patients had parenchymal NCC, while 25 (30.9%) patients had extraparenchymal NCC, and 16 (19.8%) patients had mixed NCC. The seizure and headache were most common symptom of parenchymal NCC and extraparenchymal NCC respectively. Hydrocephalus was more common in extraparenchymal NCC, and patients with extraparenchymal NCC were more likely to require a ventriculoperitoneal shunt. Cases of NCC are decreasing accordingly with human taeniasis and lesion location was the most important determinant of clinical presentation and outcome of NCC in Korea.

Citations

Citations to this article as recorded by  Crossref logo
  • Navigating a Rare Neurological Conundrum: Quadriparesis in Neurocysticercosis With Hydrocephalus
    Mudamanchu Vamsi Krishna, Pubali Biswas, C. A. Jayashankar, V. H. Ganaraja, Amey Joshi
    Clinical Case Reports.2025;[Epub]     CrossRef
  • Disseminated Neurocysticercosis With Intraventricular and Cisternal Extension Without Hydrocephalus: A Case Report
    Bibek Shrestha, Priyesh Shrestha, Bikram Prasad Gajurel, Grishma Kandel, Laxmi Shah
    Clinical Case Reports.2025;[Epub]     CrossRef
  • Intraventricular Neurocysticercosis: Comparative Analysis of Different Localizations. Clinical Course and Treatment: A Systematic Review
    Zoran Milenković, Stefan Momčilović, Aleksandra Ignjatović, Aleksandra Aracki-Trenkić, Tanja Džopalić, Nataša Vidović, Zorica Jović, Suzana Tasić-Otašević
    Journal of Neurological Surgery Part A: Central European Neurosurgery.2025; 86(05): 467.     CrossRef
  • Neurocysticercosis Presenting as Status Epilepticus
    Vaaragie Subramaniam, Jessica Houck DO
    Cureus.2025;[Epub]     CrossRef
  • Subarachnoid Neurocysticercosis Manifesting Cognitive Impairment and Gait Disturbance
    Minsung Kang, Ho-Won Lee
    Journal of the Korean Neurological Association.2025; 43(3): 169.     CrossRef
  • Massive neurocysticercosis in a ten-year-old girl: a case report
    Guoguang Xiao, Min Shu
    BMC Pediatrics.2024;[Epub]     CrossRef
  • Giant Neurocysticercosis: A Rare Medical Condition
    Jorge Zumaeta, Camilo Contreras, Paola Tapia, Diego Morales, Noe Santiago Rea, Jose Valerio
    Cureus.2024;[Epub]     CrossRef
  • Knowledge and misconceptions about epilepsy among people with epilepsy and their caregivers attending mental health clinics: A qualitative study in Taenia solium endemic pig‐keeping communities in Tanzania
    Charles E Makasi, Andrew M Kilale, Bernard J Ngowi, Yakobo Lema, Victor Katiti, Michael J Mahande, Elizabeth F. Msoka, Dominik Stelzle, Andrea S Winkler, Blandina T. Mmbaga
    Epilepsia Open.2023; 8(2): 487.     CrossRef
  • Infectious Causes of Eosinophilic Meningitis in Korean Patients: A Single-Institution Retrospective Chart Review from 2004 to 2018
    Sunghee Park, Jiwon Jung, Yong Pil Chong, Sung-Han Kim, Sang-Oh Lee, Sang-Ho Choi, Yang Soo Kim, Min Jae Kim
    The Korean Journal of Parasitology.2021; 59(3): 227.     CrossRef
  • Could Differences in Infection Pressure Be Involved in Cysticercosis Heterogeneity?
    Pedro T. Hamamoto Filho, Gagandeep Singh, Andrea S. Winkler, Arturo Carpio, Agnès Fleury
    Trends in Parasitology.2020; 36(10): 826.     CrossRef
  • Neurocysticercosis Presenting as Homonymous Hemianopia
    Hye Jin Lee
    Journal of the Korean Ophthalmological Society.2020; 61(9): 1115.     CrossRef
  • Parasitic infections and medical expenses according to Health Insurance Review Assessment claims data in South Korea, 2011–2018
    Ju Yeong Kim, Myung-hee Yi, Tai-Soon Yong, Guilherme L. Werneck
    PLOS ONE.2019; 14(11): e0225508.     CrossRef
  • 7,632 View
  • 153 Download
  • 11 Web of Science
  • Crossref
Cytopathic Change and Inflammatory Response of Human Corneal Epithelial Cells Induced by Acanthamoeba castellanii Trophozoites and Cysts
Hae-Jin Sohn, Ga-Eun Seo, Jae-Ho Lee, A-Jeong Ham, Young-Hwan Oh, Heekyoung Kang, Ho-Joon Shin
Korean J Parasitol 2019;57(3):217-223.
Published online June 30, 2019
DOI: https://doi.org/10.3347/kjp.2019.57.3.217
Acanthamoeba castellanii has ubiquitous distribution and causes primary acanthamoebic keratitis (AK). AK is a common disease in contact lens wearers and results in permanent visual impairment or blindness. In this study, we observed the cytopathic effect, in vitro cytotoxicity, and secretion pattern of cytokines in human corneal epithelial cells (HCECs) induced by A. castellanii trophozoites and/or cysts. Morphological observation revealed that panked dendritic HCECs co-cultured with amoeba cysts had changed into round shape and gradually died. Such changes were more severe in co-culture with cyst than those of co-cultivation with trophozoites. In vitro cytotoxicity assay revealed the highest cytotoxicity to HCECs in the co-culture system with amoeba cysts. A. castellanii induced the expression of IL-1α, IL-6, IL-8, and CXCL1 in HCECs. Secreted levels of IL-1α, IL-6, and IL-8 in HCECs co-cultured with both trophozoites and cysts were increased at an early incubation time (3 and 6 hr). These results suggested that cytopathic changes and pro-inflammatory cytokines release of HCECs in response to A. castellanii, especially amoebic cysts, are an important mechanism for AK development.

Citations

Citations to this article as recorded by  Crossref logo
  • A Synthetic View on Acanthamoeba Keratitis Host Immune Response: Potential Factors Influencing the Development of Chronic Inflammation
    Bianca Prado-Costa, Larissa Fagundes Pinto, Mariana Fernandes Fonseca, Denise de Freitas, Larissa Magalhães Alvarenga
    Cornea.2025; 44(1): 118.     CrossRef
  • In Vitro Efficacy of Miltefosine Against Clinical Isolates of Acanthamoeba spp. from Patients with Keratitis
    Lakshminarayanan Gowtham, Savitri Sharma, Bhupesh Bagga
    Seminars in Ophthalmology.2025; 40(8): 767.     CrossRef
  • Diagnostic features of Acanthamoeba keratitis via in vivo confocal microscopy
    Joanna Przybek-Skrzypecka, Malcolm Armstrong, Jennifer Kim, Andrew Walkden, Leon Au, Arun Brahma, Fiona Carley, Jaya Devi Chidambaram
    Scientific Reports.2025;[Epub]     CrossRef
  • Assessing Acanthamoeba cytotoxicity: comparison of common cell viability assays
    Alvie Loufouma Mbouaka, Iwona Lesiak-Markowicz, Irene Heredero-Bermejo, Rounik Mazumdar, Julia Walochnik, Tania Martín-Pérez
    Frontiers in Microbiology.2023;[Epub]     CrossRef
  • Host cell-type and pathogen-specific immunomodulatory functions of macrophage migration inhibitory factor (MIF) in infectious keratitis
    Swagata Ghosh, AH Humera Khathun, G.S. Athulya, P. Vignesh, L Mathan, Ninad Mudaraddi, Siddharth Narendran, Prajna Lalitha, N. Venkatesh Prajna
    Experimental Eye Research.2023; 236: 109669.     CrossRef
  • Aspergillus fumigatus-Stimulated Human Corneal Epithelial Cells Induce Pyroptosis of THP-1 Macrophages by Secreting TSLP
    Qingshan Ji, Lisong Wang, Jiajia Liu, Yali Wu, Huayi Lv, Yuechun Wen, Lei Shi, Bin Qu, Nóra Szentmáry
    Inflammation.2021; 44(2): 682.     CrossRef
  • Corneal Changes in Acanthamoeba Keratitis at Various Levels of Severity: An In Vivo Confocal Microscopic Study
    Zhenyu Wei, Kai Cao, Leying Wang, Christophe Baudouin, Antoine Labbé, Qingfeng Liang
    Translational Vision Science & Technology.2021; 10(7): 10.     CrossRef
  • Polymicrobial Keratitis: Risk Factors, Clinical Characteristics, Bacterial Profile, and Antimicrobial Resistance
    Laura A. González-Dibildox, José A. Oyervidez-Alvarado, Kristian A. Vazquez-Romo, Nallely Ramos-Betancourt, Everardo Hernandez-Quintela, Francisco Beltran, Manuel Garza-Leon
    Eye & Contact Lens: Science & Clinical Practice.2021; 47(8): 465.     CrossRef
  • 8,545 View
  • 200 Download
  • 8 Web of Science
  • Crossref

Case Report

A Case of Unexpected Clinostomum complanatum Infection Initially Presenting as Foreign Body in Pharynx
Hyunjung Kim, Sung-Weon Cho, Harim Oh, Hyung Kwon Byeon
Korean J Parasitol 2019;57(2):175-177.
Published online April 30, 2019
DOI: https://doi.org/10.3347/kjp.2019.57.2.175
A 46-year old man visited our outpatient clinic with complaint of foreign body sensation in throat after consuming raw freshwater fish 5 days ago. Laryngoscopic examination revealed a motile worm attached on posterior pharyngeal wall. The worm was removed using biopsy forceps under transnasal endoscopy and evidently identified as Clinostomum complanatum after microscopic examination. Patient’s subjective foreign body sensation of throat and hyperemia of laryngeal mucosa remained for approximately 2 weeks post-removal, which were eventually resolved after administration of non-steroidal anti-inflammatory drug and anti-refluxant drug for 2 weeks. Treatment was ended at three weeks since the first visit. C. complanatum infections in humans are rare, and only four cases have been reported in Korea. Symptoms resembling pharyngitis or laryngitis occurs by consumption of raw, infected freshwater fish and treatment is done by mechanically removing the parasite.

Citations

Citations to this article as recorded by  Crossref logo
  • The first case of human invasion by Clinostomum complanatum in the European part of Russia
    Larisa Ermakova, Sergey Kozlov, Sergey Nagorny, Natalia Golovchenko, Victoria Telicheva, Julia Kiosova, Marina Zotova, Natalia Pshenichnaya
    IJID Regions.2024; 11: 100346.     CrossRef
  • Unregulated introduced fish (Perca fluviatilis Linnaeus, 1758) is host to zoonotic parasites in a small Mediterranean island
    Anaïs Esposito, Gaël P. J. Denys, Vincent Haÿ, Paul-Jean Agostini, Joséphine Foata, Yann Quilichini
    Parasitology Research.2024;[Epub]     CrossRef
  • Genetic Diversity and Population Dynamics of Clinostomum spp. Using Comprehensive Bioinformatics Approaches
    Sk Injamamul Islam, Mohamed H. Hamad, Wanarit Jitsamai, Channarong Rodkhum, Piyanan Taweethavonsawat, Mohammed El-Magd
    Veterinary Medicine International.2024;[Epub]     CrossRef
  • Yellow grub diseases on two seasonal killifish (Cyprinodontiformes, Rivulidae): a histopathological study
    L. Di Cesare, M. M. Montes, M. S. Vargas, C. G. Barbeito, S. E. Plaul
    Parasitology Research.2024;[Epub]     CrossRef
  • Can avian flyways reflect dispersal barriers of clinostomid parasites? First evidence from the mitogenome of Clinostomum complanatum
    Marlies Monnens, Ali Halajian, D. Tim J. Littlewood, Andrew G. Briscoe, Tom Artois, Maarten P.M. Vanhove
    Gene.2023; 851: 146952.     CrossRef
  • Clinostomum complanatum: Anthelmintic potential of curcumin on the infective progenetic metacercarial stage
    Lubna Rehman, Rizwan Ullah, Abdur Rehman, M.A. Hannan Khan, Mirza Ahmar Beg, Sobia Wasim, Faiza Farhat, P A Shareef Ahammed, S.M.A. Abidi
    Experimental Parasitology.2023; 249: 108514.     CrossRef
  • Case report of laryngeal infection by Clinostomum complanatum 24 days after ingestion of raw fish
    Hyun-Gyu Kim, Ji-Hee Han, Ji-Yoon Kwak, Han Kyu Jeon, Sang-Soo Lee, Hyun Jin Kim, Seul Ki Song, Byoung-Kuk Na, Ra-Ri Cha
    Medicine.2023; 102(22): e34000.     CrossRef
  • Occurrence of digenean parasites in freshwater snails in the Murrumbidgee catchment area, Australia
    Shokoofeh Shamsi, Alice Banfield, Nidhish Francis, Diane P. Barton, Matthew McLellan
    Food and Waterborne Parasitology.2023; 32: e00202.     CrossRef
  • Integrative analysis of new Clinostomum metacercariae (Digenea, Clinostomidae) using COI mtDNA and morphology rises the number of lineages found in South American freshwater fishes
    M.M. Montes, I. García, J.M. Paredes del Puerto, J.A. Barneche, M. Ibañez Shimabukuro, G.F. Reig Cardarella, S.R. Martorelli, G. Pérez Ponce de León
    Journal of Helminthology.2023;[Epub]     CrossRef
  • The Occurrence of Freshwater Fish-Borne Zoonotic Helminths in Italy and Neighbouring Countries: A Systematic Review
    Vasco Menconi, Elena Lazzaro, Michela Bertola, Lisa Guardone, Matteo Mazzucato, Marino Prearo, Ewa Bilska-Zajac, Luana Cortinovis, Amedeo Manfrin, Giuseppe Arcangeli, Giorgia Angeloni
    Animals.2023; 13(24): 3793.     CrossRef
  • A case of tonsillitis caused by parasitization of Clinostomum complanatum
    Sergei S. Kozlov, Larisa A. Ermakova, Vladimir S. Turitsin, Marina A. Zotova
    Epidemiology and Infectious Diseases.2023; 28(6): 401.     CrossRef
  • Development of real-time and lateral flow recombinase polymerase amplification assays for rapid detection of Schistosoma mansoni
    Silvia Gonçalves Mesquita, Elena Birgitta Lugli, Giovanni Matera, Cristina Toscano Fonseca, Roberta Lima Caldeira, Bonnie Webster
    Frontiers in Microbiology.2022;[Epub]     CrossRef
  • Molecular data reveal hidden diversity of the genus Clinostomum (Digenea, Clinostomidae) in Argentina, with the description of a new species from Ardea cocoi (Ardeidae)
    Martin Miguel Montes, Jorge Barneche, Luis Pagano, Walter Ferrari, Sergio Roberto Martorelli, Gerardo Pérez-Ponce de León
    Parasitology Research.2021; 120(8): 2779.     CrossRef
  • Pathology associated with three newClinostomummetacercariae from Argentina with morphological and DNA barcode identification
    M.M. Montes, S.E. Plaul, Y. Croci, M. Waldbillig, W. Ferrari, E. Topa, S.R. Martorelli
    Journal of Helminthology.2020;[Epub]     CrossRef
  • A multiplex PCR protocol for rapid differential identification of four families of trematodes with medical and veterinary importance transmitted by Biomphalaria Preston, 1910 snails
    Silvia Gonçalves Mesquita, Gabriela Flávia Rodrigues-Luiz, João Luís Reis-Cunha, Mariana Santos Cardoso, Cristiane Lafetá Furtado De Mendonça, Lilian Lacerda Bueno, Ricardo Toshio Fujiwara, Hudson Alves Pinto, Roberta Lima Caldeira, Daniella Castanheira B
    Acta Tropica.2020; 211: 105655.     CrossRef
  • Digestive tract trematodiases (invasions caused by intestinal flukes)
    S. B. Chuyelov, A. L. Rossina
    CHILDREN INFECTIONS.2020; 19(4): 38.     CrossRef
  • Morphological and Molecular Characteristics of Clinostomid Metacercariae from Korea and Myanmar
    Eun Jeong Won, Yu Jeong Lee, Moon-Ju Kim, Jong-Yil Chai, Byoung-Kuk Na, Woon-Mok Sohn
    The Korean Journal of Parasitology.2020; 58(6): 635.     CrossRef
  • Infection Status with Clinostomum complanatum Metacercariae in Fish from Water Systems of Nakdong-gang (River) in Korea
    Woon-Mok Sohn, Byoung-Kuk Na, Shin-Hyeong Cho
    The Korean Journal of Parasitology.2019; 57(4): 389.     CrossRef
  • A study of the endohelminths of the European perch Perca fluviatilis L. from the central region of the Danube river basin in Slovakia
    Ľudmila Juhásová, Alžbeta Radačovská, Eva Bazsalovicsova, Dana Miklisová, Marcela Bindzárová-Gereľová, Ivica Králová-Hromadová
    ZooKeys.2019; 899: 47.     CrossRef
  • 9,738 View
  • 144 Download
  • 18 Web of Science
  • Crossref

Brief Communications

A Retrospective Analysis on the Cystic Echinococcosis Cases Occured in Northeastern Punjab Province, Pakistan
Aisha Khan, Sarmad Zahoor, Haroon Ahmed, Uzma Malik, Rabia Amin Butt, Muhammad Sultanul Muzam, Seyma Gunyakti Kilinc, Noorulain Noor, Saroosh Zahoor, Muhammad Sohail Afzal, Hamza Mansur, Shumaila Irum, Sami Simsek
Korean J Parasitol 2018;56(4):385-390.
Published online August 31, 2018
DOI: https://doi.org/10.3347/kjp.2018.56.4.385
A retrospective study was performed to report the case occurrence of cystic echinococcosis (CE) in three hospitals of north-eastern region in Punjab Province, Pakistan. We reviewed retrospectively the clinical records of patients in 4 hospitals which were diagnosed with CE during 2012-2017. A total of 198 cases, 82 (41.4%) male and 116 (58.6%) females were detected as CE. The most Highest incidence was revealed in.... 21-30 years-old group (24.2%) followed by 41-50 (22.7%), 31-40 (16.2%), 11-20 (13.6%), 51-60 (8.1%), below 10 (5.5%), over 71 (5.1%) and 61-70 year-old group (4.5%). CE was detected in various organs of infected individuals. However, most of CE cases were detected in the liver (47.4%) and lung (18.6%). The present study indicated that CE is more or less prevalent in surveyed areas and one of the most important public health problems in Punjab Province, Pakistan.

Citations

Citations to this article as recorded by  Crossref logo
  • Prevalence and molecular characterization of cystic echinococcosis in livestock in the Hazara Division, Pakistan
    Safia Arbab, Hanif Ullah, Inam Ul Hassan, Suleman, Weiwei Wang, Abdul Qadeer, Jiya Zhang
    Frontiers in Veterinary Science.2025;[Epub]     CrossRef
  • The challenge of diagnosing and classifying eosinophilia and eosinophil disorders: A review
    Agnieszka Szymczyk, Jakub Jaworski, Monika Podhorecka
    Central European Journal of Immunology.2024; 49(1): 60.     CrossRef
  • A Retrospective Cohort Study on Human Cystic Echinococcosis in Khyber Pakhtunkhwa Province (Pakistan) Based on 16 Years of Hospital Discharge Records
    Huma Khan, Adriano Casulli, Majid Fasihi Harandi, Muhammad Sohail Afzal, Muhammad Arif Nadeem Saqib, Haroon Ahmed
    Pathogens.2022; 11(2): 194.     CrossRef
  • Design of highly sensitive nano-biosensor for diagnosis of hydatid cyst based on gold nanoparticles
    Fariba Jafari, Amir Hossein Maghsood, Mohammad Fallah, Ahmad Jalilvand, Mohammad Matini, Bahram Amini
    Photodiagnosis and Photodynamic Therapy.2022; 38: 102786.     CrossRef
  • Seropozitifity of Anti-Echinococcus granulosus in Patients with of Clinical Prediagnosis Cystic Echinococcosis at Kafkas University Health Research and Application Hospital
    Mükremin Özkan Arslan, Neriman Mor, Hilal Bedir
    Turkish Journal of Parasitology.2022; 46(2): 129.     CrossRef
  • Investigation of Echinococcus multilocularis in foxes and dogs in Pakistan by detection of copro-DNA
    Aisha Khan, Gérald Umhang, Zaib Ullah, Franck Boué, Vanessa Bastid, Ikram Ullah, Sajid Mahmood, Muhammad Sohail Afzal, Haroon Ahmed
    Parasitology Research.2021; 120(2): 731.     CrossRef
  • Case report of an unexpected inflammatory myofibroblastic tumor
    Vishal Farid Raza, Dawood Arshad, Sajeel Ahmad, Khalid Javeed Khan
    Annals of Medicine & Surgery.2021;[Epub]     CrossRef
  • A review of the diagnosis and management of liver hydatid cyst
    Ester Ferrer-Inaebnit, Francesc Xavier Molina-Romero, Juan José Segura-Sampedro, Xavier González-Argenté, José Miguel Morón Canis
    Revista Española de Enfermedades Digestivas.2021;[Epub]     CrossRef
  • Demographics of cystic echinococcosis patients treated surgically in Lahore, Pakistan: A single centre study from 2007 – 2018
    Q. Rasib, A. Khan, H. Ahmed, S. Nizamuddin, F. Asif, M. S. Afzal, S. Simsek, F. Khurshid, S. Irum, N. Hussain, S. Riaz, S. S. Khan, C. M. Budke
    Helminthologia.2021; 58(2): 162.     CrossRef
  • Echinococcoses in Iran, Turkey, and Pakistan: Old Diseases in the New Millennium
    Mehdi Borhani, Saeid Fathi, Enayat Darabi, Fatemeh Jalousian, Sami Simsek, Haroon Ahmed, Harun Kaya Kesik, Seyed Hossein Hosseini, Thomas Romig, Majid Fasihi Harandi, Iraj Mobedi
    Clinical Microbiology Reviews.2021;[Epub]     CrossRef
  • Clinical and pathogenetic aspects of the complications after surgical treatment of hepatic echinococcosis
    F. G. Nazyrov, A. Kh. Babadjanov, F. R. Yakubov
    Annaly khirurgicheskoy gepatologii = Annals of HPB Surgery.2021; 26(4): 51.     CrossRef
  • Detection of Anti-Echinococcus granulosus Antibodies in Humans: An Update from Pakistan
    Huma Khan, Haroon Ahmed, Muhammad Sohail Afzal, Usman Ayub Awan, Muhammad Khurram, Sami Simsek, Jianping Cao
    Pathogens.2021; 11(1): 29.     CrossRef
  • Cystic echinococcosis: a 10-year experience from a middle-income country
    Ayesha Butt, Javaid Ahmed Khan
    Tropical Doctor.2020; 50(2): 117.     CrossRef
  • First report of Echinococcus canadensis (G6/G7) by sequence analysis from the Khyber Pakhtunkhwa province of Pakistan
    Aisha Khan, Haroon Ahmed, Huma Khan, Sami Simsek, Seyma Gunyakti Kilinc, Harun Kaya Kesik, Guan Yayi, Figen Celik, Muhammad Sohail Afzal, Christine M. Budke
    Acta Tropica.2020; 209: 105559.     CrossRef
  • Human cystic echinococcosis in southwest Iran: a 15-year retrospective epidemiological study of hospitalized cases
    Reza Shahriarirad, Amirhossein Erfani, Mehrdad Eskandarisani, Mohammad Rastegarian, Hajar Taghizadeh, Bahador Sarkari
    Tropical Medicine and Health.2020;[Epub]     CrossRef
  • Cystic Echinococcosis in Pakistan: A Review of Reported Cases, Diagnosis, and Management
    Aisha Khan, Haroon Ahmed, Huma Khan, Sadia Saleem, Sami Simsek, Enrico Brunetti, Muhammad Sohail Afzal, Tommaso Manciulli, Christine M. Budke
    Acta Tropica.2020; 212: 105709.     CrossRef
  • Management Outcome in Simple and Complex Hydatid Cysts of Lung
    Pratikshya Thapaliya, Tanveer Ahmad, Ambreen Abid, Nazish Sikander, Misauq Mazcuri, Nadir Ali
    Cureus.2020;[Epub]     CrossRef
  • Retrospective Study of Cystic Echinococcosis (CE) Based on Hospital Record from Five Major Metropolitan Cities of Pakistan
    Hira Muqaddas, Muhammad Arshad, Haroon Ahmed, Naunain Mehmood, Aisha Khan, Sami Simsek
    Acta Parasitologica.2019; 64(4): 866.     CrossRef
  • 9,061 View
  • 157 Download
  • 16 Web of Science
  • Crossref
Differential Diagnosis of Human Sparganosis Using Multiplex PCR
Hyeong-Kyu Jeon, Kyu-Heon Kim, Woon-Mok Sohn, Keeseon S. Eom
Korean J Parasitol 2018;56(3):295-300.
Published online June 30, 2018
DOI: https://doi.org/10.3347/kjp.2018.56.3.295
Human sparganosis was diagnosed by morphological and genetic analyses in Korea. The complete mitochondrial genomes of Spirometra erinaceieuropaei and S. decipiens isolated in Korea have been recorded. Present study was performed to provide information to diagnose the etiologic agent of sparganosis by multiplex PCR using mitochondrial genome sequences of S. erinaceieuropaei and S. decipiens. In an effort to examine the differential diagnosis of spirometrid tapeworms, multiplex PCR assays were performed on plerocercoid larvae of S. erinaceieuropaei and S. decipiens. The PCR products obtained using species-specific primers were positively detected in all PCR assays on mixture of S. erinaceieuropaei and S. decipiens DNA. S. erinaceieuropaei-specific bands (239 bp and 401 bp) were obtained from all PCR assays using a mixture of S. erinaceieuropaei-specific primers (Se/Sd-1800F and Se-2018R; Se/Sd-7955F and Se-8356R) and S. erinaceieuropaei template DNA. S. decipiens-specific bands (540 bp and 644 bp) were also detected in all PCR assays containing mixtures of S. decipiens-specific primers (Se/Sd-1800F and Sd-2317R; Se/Sd-7955F and Sd-8567R) and S. decipiens template DNA. Sequence analyses on these species-specific bands revealed 100% sequence identity with homologous regions of the mtDNA sequences of S. erinaceieuropaei and S. decipiens. The multiplex PCR assay was useful for differential diagnosis of human sparganosis by detecting different sizes in species-specific bands.

Citations

Citations to this article as recorded by  Crossref logo
  • Molecular, morphological and histopathological evidence of Spirometra mansoni in wild and domestic animals from Costa Rica
    Irene Alvarado-Hidalgo, Josué Campos-Camacho, Yuliana Arguedas-Morales, Luis M. Romero-Vega, Alejandro Alfaro-Alarcón, Gabriela Anchia-Ureña, Laura G. Bass, Ivan Berrocal-Ávila, Isabel Hagnauer, Roberto W.I. Olivares, Alberto Solano-Barquero, Rodolfo Trau
    Veterinary Parasitology: Regional Studies and Reports.2024; 51: 101030.     CrossRef
  • Epidemiology, Diagnosis, and Prevention of Sparganosis in Asia
    Wei Liu, Tengfang Gong, Shuyu Chen, Quan Liu, Haoying Zhou, Junlin He, Yong Wu, Fen Li, Yisong Liu
    Animals.2022; 12(12): 1578.     CrossRef
  • Genetic and Morphological Identification of Spirometra decipiens in Snakes and Domestic Dog Found in Cuba
    Alexander Morales, Rebeca M. Laird-Pérez, Virginia Capó, Enrique Iglesias, Luis Fonte, Arturo Plascencia-Hernández, Enrique J. Calderón, Keeseon S. Eom, Yaxsier de Armas, Héctor R. Pérez-Gómez
    Pathogens.2022; 11(12): 1468.     CrossRef
  • An annotated checklist of the eukaryotic parasites of humans, exclusive of fungi and algae
    Blaine A. Mathison, Sarah G. H. Sapp
    ZooKeys.2021; 1069: 1.     CrossRef
  • Large-scale survey of a neglected agent of sparganosis Spirometra erinaceieuropaei (Cestoda: Diphyllobothriidae) in wild frogs in China
    Xi Zhang, Xiu Hong, Shi Nan Liu, Peng Jiang, Shu Chuan Zhao, Chuan Xi Sun, Zhong Quan Wang, Jing Cui, David Blair
    PLOS Neglected Tropical Diseases.2020; 14(2): e0008019.     CrossRef
  • African Lions and Zoonotic Diseases: Implications for Commercial Lion Farms in South Africa
    Jennah Green, Catherine Jakins, Eyob Asfaw, Nicholas Bruschi, Abbie Parker, Louise de Waal, Neil D’Cruze
    Animals.2020; 10(9): 1692.     CrossRef
  • 8,152 View
  • 135 Download
  • 7 Web of Science
  • Crossref

Mini Review

An Overview of Fish-borne Nematodiases among Returned Travelers for Recent 25 Years? Unexpected Diseases Sometimes Far Away from the Origin
Jorge Costa Eiras, Gilberto Cezar Pavanelli, Ricardo Massato Takemoto, Yukifumi Nawa
Korean J Parasitol 2018;56(3):215-227.
Published online June 30, 2018
DOI: https://doi.org/10.3347/kjp.2018.56.3.215
Along with globalization of traveling and trading, fish-borne nematodiases seems to be increasing in number. However, apart from occasional and sporadic case reports or mini-reviews of particular diseases in particular countries, an overview of fish-borne nematodiasis among travelers have never been performed. In this review, we gathered fishborne nematodiasis among travelers for recent 25 years by an extensive global literature survey using appropriate keywords, e.g. travelers diseases, human infection, anisakiasis, gnathostomiasis, capillariasis, sushi, sashimi, ceviche, Gnathostoma, Pseudoterranova, Anisakis, Capillaria, etc., as well as various combinations of these key words. The Internet search engines PubMed, Medline, Google and Googler Scholar were used as much as possible, and the references of every paper were checked in order to identify useful and reliable publications. The results showed unexpectedly high incidence of gnathostomiasis and low incidence of anisakidosis. The different incidence values of the infection with several fish-borne zoonotic nematode species are discussed, as well as some epidemiological aspects of the infections. The difficulties of differential diagnosis in non-endemic countries are emphasized. It is concluded that travelers must avoid risky behaviors which can lead to infection and that physicians and health authorities must advice travelers on the risks of eating behaviors during travel.

Citations

Citations to this article as recorded by  Crossref logo
  • Detection of zoonotic nematodes in brown trout, Salmo trutta, an introduced popular edible freshwater fish in Australia
    Shokoofeh Shamsi, Luke Pearce
    Parasitology Research.2025;[Epub]     CrossRef
  • Advanced genomic research in understanding fish-borne zoonotic parasitic infection
    Sk Injamamul Islam, Piyanan Taweethavonsawat
    Microbial Pathogenesis.2025; 200: 107367.     CrossRef
  • Fish Pathogens and Associated Zoonotic Risks in Aquaculture: A Global One Health Perspective
    Fredrick Juma Syanya, Sajna Beegum, Zachariy Oreko Winam, Fazeena Fariq, A. R. Nikhila Khanna, Megha Lovejan, Mujeeb Rahiman K. M., Harikrishnan Mahadevan
    Aquaculture, Fish and Fisheries.2025;[Epub]     CrossRef
  • Occurrence and zoonotic impacts of Eustrongylides sp. Jägerskiöld, 1909 in Serrasalmus gibbus Castelnau, 1855 from the Upper Tocantins-Araguaia Basin
    Maria Clara Santana Ramos, Amanda de Oliveira Prates, Thiago Nascimento da Silva, Rafael Braga do Amaral, Gabriela Lidiane Dias Carvalho, Emely Ribeiro Votri de Godoy, Guilherme Augustus de Araújo, Luciana Damacena-Silva
    Caderno Pedagógico.2025; 22(14): e22256.     CrossRef
  • Occurrence and zoonotic impacts of Eustrongylides sp. Jägerskiöld, 1909 in Serrasalmus gibbus Castelnau, 1855 from the Upper Tocantins-Araguaia Basin
    Maria Clara Santana Ramos, Amanda de Oliveira Prates, Thiago Nascimento da Silva, Rafael Braga do Amaral, Gabriela Lidiane Dias Carvalho, Emely Ribeiro Votri de Godoy, Guilherme Augustus de Araújo, Luciana Damacena-Silva
    Caderno Pedagógico.2025; 22(14): e22269.     CrossRef
  • Parasitic Diseases of Upper Gastrointestinal Tract
    Heung Up Kim
    The Korean Journal of Helicobacter and Upper Gastrointestinal Research.2024; 24(2): 127.     CrossRef
  • Histopathological, morphological, and molecular characterization of fish-borne zoonotic parasite Eustrongylides Excisus infecting Northern pike (Esox lucius) in Iran
    Hooman Rahmati-Holasoo, Mohammad Azizzadeh, Hosseinali Ebrahimzadeh Mousavi, Sara Shokrpoor, Zahra Ziafati Kafi, Amin Marandi
    BMC Veterinary Research.2024;[Epub]     CrossRef
  • Is it possible to eliminate or eradicate human fish-borne parasitic diseases? A sweet dream or a nightmare?
    Jorge C. Eiras
    Current Research in Parasitology & Vector-Borne Diseases.2024; 6: 100203.     CrossRef
  • Recent Data on Nematode Infestation of Anchovy (Engraulis encrasicolus) on the Romanian Black Sea Coast
    Aurelia Țoțoiu, Magda Nenciu, Victor Niță
    Journal of Marine Science and Engineering.2024; 12(8): 1257.     CrossRef
  • Food Safety: Pathological and Biochemical Responses of Nile Tilapia (Oreochromis niloticus) to Parasitological Infestation and Heavy Metals Pollution in Aquaculture System, Jeddah, Saudi Arabia
    Muslimah N. Alsulami, Sarah Khaled Baowidan, Rabab M. Aljarari, Haleema H. Albohiri, Samar A. Khan, Elham Ali Elkhawass
    Animals.2024; 15(1): 39.     CrossRef
  • Occurrence and characterisation of Eustrongylides species in Australian native birds and fish
    Shokoofeh Shamsi, Nidhish Francis, Juliet Masiga, Diane P. Barton, Xiaocheng Zhu, Luke Pearce, Matthew McLellan
    Food and Waterborne Parasitology.2023; 30: e00189.     CrossRef
  • The risk-based control of the safety and quality of freshwater fish for sale in the agri-food market
    Vasyl Liasota, Nataliia Bukalova, Nadiia Bohatko, Nataliia Grynevych, Alla Sliusarenko, Serhii Sliusarenko, Tetiana Prylipko, Volodymyr Dzhmil
    Potravinarstvo Slovak Journal of Food Sciences.2023; 17: 200.     CrossRef
  • The Occurrence of Freshwater Fish-Borne Zoonotic Helminths in Italy and Neighbouring Countries: A Systematic Review
    Vasco Menconi, Elena Lazzaro, Michela Bertola, Lisa Guardone, Matteo Mazzucato, Marino Prearo, Ewa Bilska-Zajac, Luana Cortinovis, Amedeo Manfrin, Giuseppe Arcangeli, Giorgia Angeloni
    Animals.2023; 13(24): 3793.     CrossRef
  • Assessments and Identification of Selected Fish-Borne Zoonotic Parasites in Nile Tilapia and African Catfish Species in Lakes of Haramaya District, Ethiopia
    Zinabu Tesfaye, Adem Hiko, Dinaol Belina, Merga Firdisa, Janice Ragaza
    Aquaculture Research.2023; 2023: 1.     CrossRef
  • DNA Sequence Based Molecular Identification of Eustrongylides excisus Larvas (Nematoda) in Sander Lucioperca from Lake Eğirdir
    Kevser ÖZTÜRK, Mehmet Oğuz ÖZTÜRK
    Mehmet Akif Ersoy Üniversitesi Fen Bilimleri Enstitüsü Dergisi.2023; 14(2): 346.     CrossRef
  • Five-years management of an emerging parasite risk (Eustrongylides sp., Nematoda) in a fishery supply chain located on Trasimeno Lake (Italy)
    Raffaella Franceschini, Lisa Guardone, Andrea Armani, David Ranucci, Rossana Roila, Andrea Valiani, Francesca Susini, Raffaella Branciari
    Food Control.2022; 136: 108858.     CrossRef
  • Zoonotic diseases of fish and their prevention and control
    Mina Ziarati, Mohammad Jalil Zorriehzahra, Fatemeh Hassantabar, Zibandeh Mehrabi, Manish Dhawan, Khan Sharun, Talha Bin Emran, Kuldeep Dhama, Wanpen Chaicumpa, Shokoofeh Shamsi
    Veterinary Quarterly.2022; 42(1): 95.     CrossRef
  • Paratenic hosts of Angiostrongylus cantonensis and their relation to human neuroangiostrongyliasis globally
    Helena C. Turck, Mark T. Fox, Robert H. Cowie
    One Health.2022; 15: 100426.     CrossRef
  • First detection of Eustrongylides excisus (Nematoda: Dioctophymatidae) in big-scale sand smelt (Atherina boyeri) from the lake Massaciuccoli (Northwest Tuscany, Italy): implications for public health and seafood quality
    L. Guardone, E. Ricci, F. Susini, E. Polsinelli, G. Guglielmone, A. Armani
    Food Control.2021; 120: 107517.     CrossRef
  • An annotated checklist of the eukaryotic parasites of humans, exclusive of fungi and algae
    Blaine A. Mathison, Sarah G. H. Sapp
    ZooKeys.2021; 1069: 1.     CrossRef
  • Could Fish Feeding Behaviour and Size Explain Prevalence Differences of the Nematode Eustrongylides excisus among Species? The Case Study of Lake Garda
    Vasco Menconi, Perla Tedesco, Paolo Pastorino, Ivano Confortini, Giuseppe Esposito, Mattia Tomasoni, Davide Mugetti, Andrea Gustinelli, Alessandro Dondo, Elisabetta Pizzul, Maria Letizia Fioravanti, Marino Prearo
    Water.2021; 13(24): 3581.     CrossRef
  • Human infection with Pseudoterranova cattani by ingestion of “ceviche” in Buenos Aires, Argentina
    Claudia I. Menghi, Claudia L. Gatta, Liliana E. Arias, Gabriela Santoni, Federico Nicola, Jorgelina Smayevsky, Maria F. Degese, Silvio J. Krivokapich
    Revista Argentina de Microbiología.2020; 52(2): 118.     CrossRef
  • Investigation of Anisakis larvae in different products of ready-to-eat fish meat and imported frozen fish in Turkey
    Emrah Simsek, Gokmen Zafer Pekmezci, Alparslan Yildirim, Onder Duzlu, Zuhal Onder, Arif Ciloglu, Neslihan Sursal, Erdal Yilmaz, Zafer Gonulalan, Abdullah Inci
    International Journal of Food Microbiology.2020; 333: 108829.     CrossRef
  • Gnathostomiasis Acquired by Visitors to the Okavango Delta, Botswana
    John Frean
    Tropical Medicine and Infectious Disease.2020; 5(1): 39.     CrossRef
  • Molecular identification and genetic diversity of Gnathostoma spinigerum larvae in freshwater fishes in southern Lao PDR, Cambodia, and Myanmar
    Patcharaporn Boonroumkaew, Oranuch Sanpool, Rutchanee Rodpai, Lakkhana Sadaow, Chalermchai Somboonpatarakun, Sakhone Laymanivong, Win Pa Pa Aung, Mesa Un, Porntip Laummaunwai, Pewpan M. Intapan, Wanchai Maleewong
    Parasitology Research.2019; 118(5): 1465.     CrossRef
  • Morphological and Molecular Characterization of Larval and Adult Stages of Eustrongylides excisus (Nematoda: Dioctophymatoidea) with Histopathological Observations
    Angelica Mazzone, Monica Caffara, Andrea Gustinelli, Francesco Agnetti, Elisa Sgariglia, Giovanni Lo Vaglio, Francesco Quaglio, Maria L. Fioravanti
    Journal of Parasitology.2019; 105(6): 882.     CrossRef
  • 18,596 View
  • 280 Download
  • 23 Web of Science
  • Crossref

Original Articles

Unraveling Haplotype Diversity of the Apical Membrane Antigen-1 Gene in Plasmodium falciparum Populations in Thailand
Lalita Lumkul, Vorthon Sawaswong, Phumin Simpalipan, Morakot Kaewthamasorn, Pongchai Harnyuttanakorn, Sittiporn Pattaradilokrat
Korean J Parasitol 2018;56(2):153-165.
Published online April 30, 2018
DOI: https://doi.org/10.3347/kjp.2018.56.2.153
Development of an effective vaccine is critically needed for the prevention of malaria. One of the key antigens for malaria vaccines is the apical membrane antigen 1 (AMA-1) of the human malaria parasite Plasmodium falciparum, the surface protein for erythrocyte invasion of the parasite. The gene encoding AMA-1 has been sequenced from populations of P. falciparum worldwide, but the haplotype diversity of the gene in P. falciparum populations in the Greater Mekong Subregion (GMS), including Thailand, remains to be characterized. In the present study, the AMA-1 gene was PCR amplified and sequenced from the genomic DNA of 65 P. falciparum isolates from 5 endemic areas in Thailand. The nearly fulllength 1,848 nucleotide sequence of AMA-1 was subjected to molecular analyses, including nucleotide sequence diversity, haplotype diversity and deduced amino acid sequence diversity and neutrality tests. Phylogenetic analysis and pairwise population differentiation (Fst indices) were performed to infer the population structure. The analyses identified 60 single nucleotide polymorphic loci, predominately located in domain I of AMA-1. A total of 31 unique AMA-1 haplotypes were identified, which included 11 novel ones. The phylogenetic tree of the AMA-1 haplotypes revealed multiple clades of AMA-1, each of which contained parasites of multiple geographical origins, consistent with the Fst indices indicating genetic homogeneity or gene flow among geographically distinct populations of P. falciparum in Thailand’s borders with Myanmar, Laos and Cambodia. In summary, the study revealed novel haplotypes and population structure needed for the further advancement of AMA-1-based malaria vaccines in the GMS.

Citations

Citations to this article as recorded by  Crossref logo
  • Genetic diversity and haplotype structure of the CelTOS gene in Plasmodium falciparum from Jazan Province, Saudi Arabia: implications for vaccine development and malaria elimination
    Hani Alothaid, Fatimah Alghnnam, Arwa A. Al-Qahtani, Abdullah Al Marzan, Mashael Abu Alola, Marie Fe F. Bohol, Fatimah Alhamlan, Mohammed I. Shafeai, Fuad H. Rudiny, Ali M. Motaen, Ahmed A. Al-Qahtani
    Frontiers in Cellular and Infection Microbiology.2026;[Epub]     CrossRef
  • Genetic diversity and natural selection of apical membrane antigen-1 (ama-1) in Cameroonian Plasmodium falciparum isolates
    Joseph Hawadak, Loick Pradel Kojom Foko, Rodrigue Roman Dongang Nana, Karmveer Yadav, Veena Pande, Aparup Das, Vineeta Singh
    Gene.2024; 894: 147956.     CrossRef
  • Genetic polymorphism and natural selection of the erythrocyte binding antigen 175 region II in Plasmodium falciparum populations from Myanmar and Vietnam
    Tuấn Cường Võ, Hương Giang Lê, Jung-Mi Kang, Haung Naw, Won Gi Yoo, Moe Kyaw Myint, Huynh Hong Quang, Byoung-Kuk Na
    Scientific Reports.2023;[Epub]     CrossRef
  • Genetic diversity of Plasmodium falciparum AMA-1 antigen from the Northeast Indian state of Tripura and comparison with global sequences: implications for vaccine development
    Tulika Nirmolia, Md. Atique Ahmed, Vinayagam Sathishkumar, Nilanju P. Sarma, Dibya R. Bhattacharyya, Pradyumna K. Mohapatra, Devendra Bansal, Praveen K. Bharti, Rakesh Sehgal, Jagadish Mahanta, Ali A. Sultan, Kanwar Narain, Saurav J. Patgiri
    Malaria Journal.2022;[Epub]     CrossRef
  • Global diversity of the gene encoding the Pfs25 protein—a Plasmodium falciparum transmission-blocking vaccine candidate
    Pornpawee Sookpongthai, Korawich Utayopas, Thassanai Sitthiyotha, Theerakamol Pengsakul, Morakot Kaewthamasorn, Kittikhun Wangkanont, Pongchai Harnyuttanakorn, Surasak Chunsrivirot, Sittiporn Pattaradilokrat
    Parasites & Vectors.2021;[Epub]     CrossRef
  • Diversify and Conquer: The Vaccine Escapism of Plasmodium falciparum
    Alena Pance
    Microorganisms.2020; 8(11): 1748.     CrossRef
  • Plasmodium falciparum Blood Stage Antimalarial Vaccines: An Analysis of Ongoing Clinical Trials and New Perspectives Related to Synthetic Vaccines
    David Ricardo Salamanca, Marcela Gómez, Anny Camargo, Laura Cuy-Chaparro, Jessica Molina-Franky, César Reyes, Manuel Alfonso Patarroyo, Manuel Elkin Patarroyo
    Frontiers in Microbiology.2019;[Epub]     CrossRef
  • Genotyping genetically heterogeneousCyclospora cayetanensisinfections to complement epidemiological case linkage
    Joel L. N. Barratt, Subin Park, Fernanda S. Nascimento, Jessica Hofstetter, Mateusz Plucinski, Shannon Casillas, Richard S. Bradbury, Michael J. Arrowood, Yvonne Qvarnstrom, Eldin Talundzic
    Parasitology.2019; 146(10): 1275.     CrossRef
  • Reverse immunodynamics: a new method for identifying targets of protective immunity
    Katrina J. Spensley, Paul S. Wikramaratna, Bridget S. Penman, Andrew Walker, Adrian L. Smith, Oliver G. Pybus, Létitia Jean, Sunetra Gupta, José Lourenço
    Scientific Reports.2019;[Epub]     CrossRef
  • 13,298 View
  • 164 Download
  • 9 Web of Science
  • Crossref
Molecular Phylogenetics of Trichostrongylus Species (Nematoda: Trichostrongylidae) from Humans of Mazandaran Province, Iran
Meysam Sharifdini, Zahra Heidari, Zahra Hesari, Sajad Vatandoost, Eshrat Beigom Kia
Korean J Parasitol 2017;55(3):279-285.
Published online June 30, 2017
DOI: https://doi.org/10.3347/kjp.2017.55.3.279
The present study was performed to analyze molecularly the phylogenetic positions of human-infecting Trichostrongylus species in Mazandaran Province, Iran, which is an endemic area for trichostrongyliasis. DNA from 7 Trichostrongylus infected stool samples were extracted by using in-house (IH) method. PCR amplification of ITS2-rDNA region was performed, and products were sequenced. Phylogenetic analysis of the nucleotide sequence data was performed using MEGA 5.0 software. Six out of 7 isolates had high similarity with Trichostrongylus colubriformis, while the other one showed high homology with Trichostrongylus axei registered in GenBank reference sequences. Intra-specific variations within isolates of T. colubriformis and T. axei amounted to 0-1.8% and 0-0.6%, respectively. Trichostrongylus species obtained in the present study were in a cluster with the relevant reference sequences from previous studies. BLAST analysis indicated that there was 100% homology among all 6 ITS2 sequences of T. colubriformis in the present study and most previously registered sequences of T. colubriformis from human, sheep, and goat isolates from Iran and also human isolates from Laos, Thailand, and France. The ITS2 sequence of T. axei exhibited 99.4% homology with the human isolate of T. axei from Thailand, sheep isolates from New Zealand and Iran, and cattle isolate from USA.

Citations

Citations to this article as recorded by  Crossref logo
  • Helminth Infections in Cattle: A Study on Fecal Samples from the Ağrı Region
    Milad Afşar, Selahattin Aydemir, Sedat Kavak, Sadi Elasan
    Van Veterinary Journal.2025; 36(2): 95.     CrossRef
  • Molecular identification of abomasal nematodes (Haemonchus spp. and Ostertagia ostertagi) in naturally infected calves
    H. H. Shihab, S. D. Hassan
    BULGARIAN JOURNAL OF VETERINARY MEDICINE.2024; 27(2): 286.     CrossRef
  • Trichostrongylosis: a zoonotic disease of small ruminants
    A.H. Bhat, H. Tak, I.M. Malik, B.A. Ganai, N. Zehbi
    Journal of Helminthology.2023;[Epub]     CrossRef
  • Prevalence and Morphometric Comparison of Trichostrongylus spp. among Sheep and Goats from Kashan Abattoir, Central Iran
    Mohsen Arbabi, Aimohammad Bakhshi, Hossein Hooshyar, Reza Ghasemikhah, Mahdi Delavari, Mojtaba Sehat
    Journal of Medical Microbiology and Infectious Diseases.2023; 11(1): 28.     CrossRef
  • Investigating intestinal parasitic infections with emphasis on molecular identification of Strongyloides stercoralis and Trichostrongylus colubriformis in north of Iran
    Fatemeh Hajizadeh, Tahereh Mikaeili Galeh, Seyed Abdollah Hosseini, Seyyed Ali Shariatzadeh, Akram Hematizadeh, Javad Javidnia, Mitra Sadeghi, Mahdi Fakhar, Shirzad Gholami
    Parasite Epidemiology and Control.2023; 22: e00312.     CrossRef
  • Molecular identification of different Trichostrongylus species infecting sheep and goats from Dakahlia governorate, Egypt
    Rana Elseadawy, Ibrahim Abbas, Moustafa Al-Araby, Salah Abu-Elwafa
    Journal of Parasitic Diseases.2021; 45(1): 218.     CrossRef
  • Strongyloides stercoralis and other intestinal parasites in patients receiving immunosuppressive drugs in northern Iran: a closer look at risk factors
    Leila Mirzaei, Keyhan Ashrafi, Zahra Atrkar Roushan, Mohammad Reza Mahmoudi, Irandokht Shenavar Masooleh, Behnaz Rahmati, Farshid Saadat, Hamed Mirjalali, Meysam Sharifdini
    Epidemiology and Health.2021; 43: e2021009.     CrossRef
  • Comparison of Molecular and Parasitological Methods for Diagnosis of Human Trichostrongylosis
    Mehdi Pandi, Meysam Sharifdini, Keyhan Ashrafi, Zahra Atrkar Roushan, Behnaz Rahmati, Nayereh Hajipour
    Frontiers in Cellular and Infection Microbiology.2021;[Epub]     CrossRef
  • Trichostrongyloid nematodes in ruminants of northern Iran: prevalence and molecular analysis
    Hedayat Hosseinnezhad, Meysam Sharifdini, Keyhan Ashrafi, Zahra Atrkar Roushan, Hamed Mirjalali, Behnaz Rahmati
    BMC Veterinary Research.2021;[Epub]     CrossRef
  • Prevalence and risk factors of intestinal parasite infections in Mazandaran province, North of Iran
    Zeinab Gholipoor, Hooshang Khazan, Eznoallah Azargashb, Mohammad Reza Youssefi, Ali Rostami
    Clinical Epidemiology and Global Health.2020; 8(1): 17.     CrossRef
  • Zoonotic transmission of Teladorsagia circumcincta and Trichostrongylus species in Guilan province, northern Iran: molecular and morphological characterizations
    Keyhan Ashrafi, Meysam Sharifdini, Zahra Heidari, Behnaz Rahmati, Eshrat Beigom Kia
    BMC Infectious Diseases.2020;[Epub]     CrossRef
  • Molecular detection of Trichostrongylus species through PCR followed by high resolution melt analysis of ITS-2 rDNA sequences
    Mohsen Arbabi, Hossein Hooshyar, Majid Lotfinia, Mohamad Ali Bakhshi
    Molecular and Biochemical Parasitology.2020; 236: 111260.     CrossRef
  • Phylogenetic analysis of Trichostrongylus vitrinus isolates from southwest Iran
    Mohammad Amin Ghatee, Seyed Ali Asghar Malek Hosseini, Masoud Marashifard, Mehdi Karamian, Walter Robert Taylor, Ali Jamshidi, Iraj Mobedi, Hasan Azarmehr
    Parasites & Vectors.2020;[Epub]     CrossRef
  • Clinical and haematological characteristics of human trichostrongyliasis
    L. Ghanbarzadeh, M. Saraei, E.B. Kia, F. Amini, M. Sharifdini
    Journal of Helminthology.2019; 93(2): 149.     CrossRef
  • Prevalence and phylogenetic analysis of gastrointestinal helminths (Nematoda: Trichostrongylidae) in ruminant livestock of northwest Iran
    Tahereh BARGHANDAN, Elham HAJİALİLO, Meysam SHARİFDİNİ, Amir JAVADİ
    Ankara Üniversitesi Veteriner Fakültesi Dergisi.2019; 67(1): 65.     CrossRef
  • Gastrointestinal helminths in farmers and their ruminant livestock from the Coastal Savannah zone of Ghana
    Sylvia Afriyie Squire, Rongchang Yang, Ian Robertson, Irene Ayi, Daniel Sai Squire, Una Ryan
    Parasitology Research.2018; 117(10): 3183.     CrossRef
  • Strongyloides stercoralis hyperinfection in an unconscious diabetic patient with dermatomyositis
    Meysam Sharifdini, Aniseh Hesari, SeifAli Mahdavi, Akram Alipour, EshratBeigom Kia
    Indian Journal of Pathology and Microbiology.2018; 61(1): 109.     CrossRef
  • Molecular identification and phylogenetic analysis of human Trichostrongylus species from an endemic area of Iran
    Meysam Sharifdini, Sedigheh Derakhshani, Safar Ali Alizadeh, Laleh Ghanbarzadeh, Hamed Mirjalali, Iraj Mobedi, Mehrzad Saraei
    Acta Tropica.2017; 176: 293.     CrossRef
  • 15,498 View
  • 228 Download
  • 19 Web of Science
  • Crossref

Case Reports

A Human Case of Zoonotic Dog Tapeworm, Dipylidium caninum (Eucestoda: Dilepidiidae), in China
Peng Jiang, Xi Zhang, Ruo Dan Liu, Zhong Quan Wang, Jing Cui
Korean J Parasitol 2017;55(1):61-64.
Published online February 28, 2017
DOI: https://doi.org/10.3347/kjp.2017.55.1.61
We described a human case of zoonotic dog tapeworm, Dipylidium caninum (Eucestoda: Dilepidiidae), rarely occurring in China. The mother of a 17 month-old boy noted the appearance of small white and active worms over a month period in her son’s feces, but the boy was asymptomatic except mild diarrhea. We observed 3 tapeworm proglottids resembling cucumber seeds in his stool sample. Microscopically, each proglottid had 2 genital pores, 1 on each lateral edge, and numerous egg capsules in the uterus. The patient was successfully treated with a single oral dose of praziquantel. Adult worms were recovered in the diarrheic stool after praziquantel treatment and purgation. His family had household pet dogs for several years, and he might have acquired the infection by ingestion of infected fleas of his pet dogs. A history of dog or cat pets and flea bites may be important clues to diagnosis of D. caninum infection. The infected pets should also be treated.

Citations

Citations to this article as recorded by  Crossref logo
  • Intestinal zoonotic parasites in companion animals and potential of human exposure in the Middle East
    Haifaa A. Mahjoub
    Veterinary Parasitology: Regional Studies and Reports.2026; 67: 101413.     CrossRef
  • Fecal prevalence and diversity of endoparasites in shelter dogs and cats from East Tennessee
    Eliza Baker, Rebekah DeBolt, Emma Smith, Richard Gerhold, Heidi Wyrosdick
    Veterinary Parasitology: Regional Studies and Reports.2025; 58: 101212.     CrossRef
  • Prevalence and risk factors of ectoparasitic infestations in dogs with first molecular characterization of Hippobosca longipennis in Cairo, Egypt
    Nesma Adel, Ahmed Kamal Dyab, Abdallah Abdel-Samie Hassan, Shimaa Abdel-Radi
    Journal of Parasitic Diseases.2025;[Epub]     CrossRef
  • FATORES DE RISCO PARA A OCORRÊNCIA DE ENTEROPARASITOS EM CÃES E GATOS RESGATADOS E ACOLHIDOS POR ORGANIZAÇÕES NÃO GOVERNAMENTAIS
    Ellen Cristina Araújo de Medeiros, Mariana Prada de Lima, Michel dos Santos Pinto, João Alfredo Biagi Camargo Neto, Katia Denise Saraiva Bresciani
    REVISTA FOCO.2024; 17(4): e4564.     CrossRef
  • Dermatologic manifestations of zoonotic diseases transmitted by dogs: “Spot” could give you spots
    Paytra A. Klein, Rose Parisi, Jency M. Daniel, Roy S. Rogers
    International Journal of Dermatology.2024; 63(10): 1318.     CrossRef
  • Dipylidiasis cases in Japan–an update by literature survey
    Yukifumi Nawa, Akinori Furusawa, Mio Tanaka, Masahide Yoshikawa
    Parasites, Hosts and Diseases.2024; 62(2): 163.     CrossRef
  • Gastrointestinal parasites of cats in the Middle East (2000−2023): A literature review
    Mahdi Soroushianfar, Soheil Sadr, Alireza Sazmand, Shiva Dianaty, Javad Khedri, Rolf Karl Schuster, Hassan Borji
    Parasitology International.2024; 102: 102919.     CrossRef
  • Helminths of free-ranging dogs and cats in an urban natural reserve in Mexico City and their potential risk as zoonotic agents
    Valeria Camacho-Giles, Yolanda Hortelano-Moncada, Gerardo Torres-Carrera, Guillermo Gil-Alarcón, Alejandro Oceguera-Figueroa, Luis García-Prieto, David Osorio-Sarabia, Fernando A. Cervantes, Pablo Arenas, Joshua Kamani
    PLOS ONE.2024; 19(9): e0310302.     CrossRef
  • Gut microbiota differences induced by Toxoplasma gondii seropositivity in stray cats in South Korea
    Sooji Hong, Jun Ho Choi, Singeun Oh, Myung-hee Yi, Soo Lim Kim, Myungjun Kim, Chung Won Lee, Hyun-Jong Yang, Jong-Yil Chai, Tai-Soon Yong, Bong-Kwang Jung, Ju Yeong Kim
    Parasitology Research.2023; 122(10): 2413.     CrossRef
  • Gastrointestinal helminth parasites of pets: Retrospective study at the veterinary teaching hospital, IPB University, Bogor, Indonesia
    Yusuf Ridwan, Etih Sudarnika, Tri Isyani Tungga Dewi, Novericko Ginger Budiono
    Veterinary World.2023; : 1043.     CrossRef
  • Perceptions, attitudes and practices regarding canine zoonotic helminthiases among dog owners in Nyagatare district, Rwanda
    Pie Ntampaka, François Niragire, Vincent Nkurunziza, Gisele Uwizeyimana, Anselme Shyaka
    Veterinary Medicine and Science.2022; 8(4): 1378.     CrossRef
  • Dipylidium caninum in the twenty-first century: epidemiological studies and reported cases in companion animals and humans
    Julieta Rousseau, Andry Castro, Teresa Novo, Carla Maia
    Parasites & Vectors.2022;[Epub]     CrossRef
  • The Prevalence of Canine Dipylidiasis in Baghdad city, Iraq‎ ‎
    Dunya AA Mohammad Salih, Athmar K Abbas
    The Iraqi Journal of Veterinary Medicine.2022; 46(1): 24.     CrossRef
  • Investigating the free-roaming dog population and gastrointestinal parasite diversity in Tulúm, México
    Michael A. Lyons, Rumaan Malhotra, Cody W. Thompson, Simon Clegg
    PLOS ONE.2022; 17(10): e0276880.     CrossRef
  • Man’s best friend and our shared infectious diseases
    Maxine L.A. Macpherson, Rhonda Pinckney, Wayne Sylvester, Satesh Bidaisee, Calum N.L. Macpherson
    CABI Reviews.2022;[Epub]     CrossRef
  • Canine and feline vector-borne diseases of zoonotic concern in Southeast Asia
    Viet-Linh Nguyen, Filipe Dantas-Torres, Domenico Otranto
    Current Research in Parasitology & Vector-Borne Diseases.2021; 1: 100001.     CrossRef
  • Pathogen Carriage by Peri-Domestic Fleas in Western Kenya
    Elkanah Otiang, Daniel Chen, Ju Jiang, Alice N. Maina, Christina M. Farris, Alison Luce-Fedrow, Allen L. Richards
    Vector-Borne and Zoonotic Diseases.2021; 21(4): 256.     CrossRef
  • Small Indian Mongooses ( Herpestes auropunctatus ) Serve As Reservoirs of Bartonella henselae and Rickettsia felis Vectored by Ctenocephalides felis
    Kexin Fang, Kaitlyn Philpot, Xinyu Chi, Jennifer Ketzis, Aifang Du, Chaoqun Yao
    Vector-Borne and Zoonotic Diseases.2021; 21(6): 422.     CrossRef
  • Efficacy of a novel topical combination of esafoxolaner, eprinomectin and praziquantel in cats againstToxocara catiandDipylidium caninum
    Martin Knaus, Christine Baker, Roberto Alva, Elizabeth Mitchell, Jennifer Irwin, Enstela Shukullari, Abdullah Veliu, Froylán Ibarra-Velarde, Julian Liebenberg, Craig Reinemeyer, Eric Tielemans, Kenneth Wakeland, Chris Johnson
    Parasite.2021; 28: 28.     CrossRef
  • Prevalence of intestinal parasites in dogs from public shelters in Serbia
    Tamara Ilić, Uroš Nišavić, Bojan Gajić, Katarina Nenadović, Marko Ristić, Dejan Stanojević, Sanda Dimitrijević
    Comparative Immunology, Microbiology and Infectious Diseases.2021; 76: 101653.     CrossRef
  • Zoonotic Parasitological Findings in a Puppy: The Course and Therapeutical Efficacy
    Ľ. Burcáková, G. Štrkolcová, A. Königová, M. Várady
    Folia Veterinaria.2021; 65(2): 58.     CrossRef
  • Canine and Feline Parasitology: Analogies, Differences, and Relevance for Human Health
    Simone Morelli, Anastasia Diakou, Angela Di Cesare, Mariasole Colombo, Donato Traversa
    Clinical Microbiology Reviews.2021;[Epub]     CrossRef
  • Anthropomorphism and Its Adverse Effects on the Distress and Welfare of Companion Animals
    Daniel Mota-Rojas, Chiara Mariti, Andrea Zdeinert, Giacomo Riggio, Patricia Mora-Medina, Alondra del Mar Reyes, Angelo Gazzano, Adriana Domínguez-Oliva, Karina Lezama-García, Nancy José-Pérez, Ismael Hernández-Ávalos
    Animals.2021; 11(11): 3263.     CrossRef
  • Presumptive Dipylidium caninum Infection in a Toddler
    Hannah F Chong, Roukaya Al Hammoud, Michael L Chang
    Case Reports in Pediatrics.2020; 2020: 1.     CrossRef
  • Endoparasites of household and shelter cats in the city of Rio de Janeiro, Brazil
    Nilcéia de Veiga Ramos, Monique Lourenço e Silva, Marília Senra Barreto, Luciano Antunes Barros, Flavya Mendes-de-Almeida
    Revista Brasileira de Parasitologia Veterinária.2020;[Epub]     CrossRef
  • The forgotten exotic tapeworms: a review of uncommon zoonotic Cyclophyllidea
    Sarah G. H. Sapp, Richard S. Bradbury
    Parasitology.2020; 147(5): 533.     CrossRef
  • Dipylidium caninum Infection in Dogs and Humans in Bishoftu Town, Ethiopia
    Fanta D. Gutema, Goitom W. Yohannes, Reta D. Abdi, Fufa Abuna, Dinka Ayana, Hika Waktole, Kebede Amenu, Adem Hiko, Getahun E. Agga
    Diseases.2020; 9(1): 1.     CrossRef
  • Dogs from public city parks as a potential source of pollution of the environment and risk factor for human health
    RISTIC´ MARKO, DIMITRIJEVIC´ SANDA, VIŠNJIC´ ALEKSANDAR, BOGUNOVIC´ DANICA, GAJIC´ C BOJAN, STOJANOVIC´ MIODRAG, ILIC´ TAMARA
    The Indian Journal of Animal Sciences.2020; 90(4): 535.     CrossRef
  • Case Report: A case of dipylidiasis in a first-trimester pregnant woman attending a routine antenatal clinic at Elmina health centre, Ghana
    Kwame Kumi Asare, Yeboah Kwaku Opoku, Alberta Serwah Anning, Justice Afrifa, Eric Ofori Gyamerah
    F1000Research.2019; 8: 857.     CrossRef
  • Dipylidium caninum Infection in Children: Clinical Presentation and Therapeutic Challenges
    Sotiria Portokalidou, Despoina Gkentzi, Vasiliki Stamouli, Anastasia Varvarigou, Markos Marangos, Iris Spiliopoulou, Gabriel Dimitriou
    Pediatric Infectious Disease Journal.2019; 38(7): e157.     CrossRef
  • Complete mitogenome of the dog cucumber tapeworm Dipylidium caninum (Cestoda, Dilepididae) from Southwest China
    Yue Xie, Yunjian Liu, Xiaobin Gu, Xiaduo Meng, Lu Wang, Yingxin Li, Xuan Zhou, Youle Zheng, Zhicai Zuo, Guangyou Yang
    Mitochondrial DNA Part B.2019; 4(2): 2670.     CrossRef
  • 2019 AAFP Feline Zoonoses Guidelines
    Michael R Lappin, Tom Elston, Lisanne Evans, Carol Glaser, Lorraine Jarboe, Peter Karczmar, Cathy Lund, Michael Ray
    Journal of Feline Medicine and Surgery.2019; 21(11): 1008.     CrossRef
  • A multiplex PCR assay for the simultaneous detection of Taenia hydatigena, T. multiceps, T. pisiformis, and Dipylidium caninum infections
    Guo-Qiang Zhu, Li Li, John Asekhaen Ohiolei, Yan-Tao Wu, Wen-Hui Li, Nian-Zhang Zhang, Bao-Quan Fu, Hong-Bin Yan, Wan-Zhong Jia
    BMC Infectious Diseases.2019;[Epub]     CrossRef
  • The prevalence of intestinal parasites of domestic cats and dogs in Vladivostok, Russia during 2014–2017
    Tatyana Vladimirovna Moskvina, Dmitry Matveevich Atopkin
    Zoology and Ecology.2018; 28(3): 180.     CrossRef
  • Pathogens in ectoparasites from free-ranging animals: Infection with Rickettsia asembonensis in ticks, and a potentially new species of Dipylidium in fleas and lice
    Van Lun Low, Batah Kunalan Prakash, Tiong Kai Tan, Mohd Sofian-Azirun, Fasihah Hanani Khairul Anwar, Wei Yin Vinnie-Siow, Sazaly AbuBakar
    Veterinary Parasitology.2017; 245: 102.     CrossRef
  • Intestinal helminths of stray dogs from Tunisia with special reference to zoonotic infections
    Samia Lahmar, Ines Arfa, Siddik Ben Othmen, Walid Jguirim, Yousra Saïd, Aïda Dhibi, Belgees Boufana
    Parasitology Open.2017;[Epub]     CrossRef
  • 17,843 View
  • 356 Download
  • 35 Web of Science
  • Crossref
Human Cases of Fascioliasis in Fujian Province, China
Lin Ai, Yu-Chun Cai, Yan Lu, Jia-Xu Chen, Shao-Hong Chen
Korean J Parasitol 2017;55(1):55-60.
Published online February 28, 2017
DOI: https://doi.org/10.3347/kjp.2017.55.1.55
Fascioliasis is a foodborne zoonotic parasitic disease. We report 4 cases occurring in the same family, in whom diagnosis of acute fascioliasis was established after series of tests. One case was hospitalized with fever, eosinophilia, and hepatic lesions. MRI showed hypodense changes in both liver lobes. The remaining 3 cases presented with the symptom of stomachache only. Stool analysis was positive for Fasciola eggs in 2 adult patients. The immunological test and molecular identification of eggs were confirmed at the National Institute of Parasitic Diseases, Chinese Center for Disease Control and Prevention, Shanghai, China. The results of serological detection were positive in all the 4 patients. DNA sequencing of PCR products of the eggs demonstrated 100% homology with ITS and cox1 of Fasciola hepatica. The conditions of the patients were not improved by broad-spectrum anti-parasitic drugs until administration of triclabendazole.

Citations

Citations to this article as recorded by  Crossref logo
  • Prevalence and associated risk factors assessment of bovine fasciolosis in the Imbo Region, Burundi
    Sylvère Nkurunziza, Gérard Nishemezwe, Jean-Bosco Ntirandekura, Pascal Niyokwizera, Lionel Nyabongo, Amos Omore, Rose Odhiambo
    Parasitology Research.2024;[Epub]     CrossRef
  • Phylogenetic Characteristics of Fasciola hepatica Isolated from a Korean Patient
    Mi Jin Jeong, Jae Kyun Park, Hak Sun Yu
    The Korean Journal of Parasitology.2022; 60(5): 367.     CrossRef
  • Letter to the editor discussing the article “curved tunnel’ sign on MRI: a typical radiological feature in hepatic trichinellosis”
    Jean Dupouy-Camet, Fabrizio Bruschi, Edoardo Pozio
    Abdominal Radiology.2021; 46(9): 4521.     CrossRef
  • Extracellular vesicles from Fasciola gigantica induce cellular response to stress of host cells
    Aijiang Guo, Li Wang, Xuelian Meng, Shaohua Zhang, Zhaoan Sheng, Xuenong Luo, Weiyi Huang, Shuai Wang, Xuepeng Cai
    Experimental Parasitology.2021; 231: 108173.     CrossRef
  • New insight into genetic variation and haplotype diversity of Fasciola hepatica from Algeria
    Linda Chougar, Nabil Amor, Sarra Farjallah, Khaled Harhoura, Miriem Aissi, Abdulaziz N. Alagaili, Paolo Merella
    Parasitology Research.2019; 118(4): 1179.     CrossRef
  • Prevalence and risk factors of Fascioliasis in China
    Lin Ai, Jia-Xu Chen, Yu-Chun Cai, Yan Lu, Yan-Hong Chu, Shao-Hong Chen, Hao Li, Peng Song, Mu-Xin Chen, Xiao-Nong Zhou
    Acta Tropica.2019; 196: 180.     CrossRef
  • Neglected tropical diseases in the People’s Republic of China: progress towards elimination
    Men-Bao Qian, Jin Chen, Robert Bergquist, Zhong-Jie Li, Shi-Zhu Li, Ning Xiao, Jürg Utzinger, Xiao-Nong Zhou
    Infectious Diseases of Poverty.2019;[Epub]     CrossRef
  • Recent developments in the epidemiology, diagnosis, and treatment of Fasciola infection
    Camille M. Webb, Miguel M. Cabada
    Current Opinion in Infectious Diseases.2018; 31(5): 409.     CrossRef
  • Dynamics of liver enzymes in rabbits experimentally infected with Fasciola sp. (Intermediate form from Japan)
    Wipaporn JARUJAREET, Kensuke TAIRA, Hong Kean OOI
    Journal of Veterinary Medical Science.2018; 80(1): 36.     CrossRef
  • 12,177 View
  • 223 Download
  • 10 Web of Science
  • Crossref

Mini Review

The Paleoparasitology in Brazil and Findings in Human Remains from South America: A Review
Sh?nia Patr?cia Corr?a Novo, Luiz Fernando Ferreira
Korean J Parasitol 2016;54(5):573-583.
Published online October 31, 2016
DOI: https://doi.org/10.3347/kjp.2016.54.5.573
Abstract: The review article presents some of the history of how paleoparasitology started in Brazil, making highlight the great responsible Dr. Luiz Fernando Ferreira and Dr. Adauto Ara?jo, the trajectory of paleoparasitology in Brazil since 1978 and its performance in science to the present day. In sequence, it is made a presentation of parasitological findings on human remains found in archaeological sites in South America, highlighting Brazil, Argentina, Chile, and Peru, where major discoveries have occurred. Many of the parasites found in archaeological material and mentioned in this review went out of Africa with the peopling of Europe and from there they dispersed around the world, where climatic conditions allow the transmission. However, humans have acquired other parasites of animals, since humans invaded new habitats or creating new habits adopting new technologies, thus expanding its range of influence on the environment. Thus, this review article is finalized with information that explain the importance of these findings in the interaction between parasites, human host, and ambient.

Citations

Citations to this article as recorded by  Crossref logo
  • Relationship of Nematodes and Humans in Prehistoric Times: A Paleoparasitological Perspective
    Caner Övet
    Eurasian Journal of Biological and Chemical Sciences.2025; 8(2): 118.     CrossRef
  • First report in pre-Columbian mummies from Bolivia of Enterobius vermicularis infection and capillariid eggs: A contribution to Paleoparasitology studies
    Guido Valverde, Viterman Ali, Pamela Durán, Luis Castedo, José Luis Paz, Eddy Martínez
    International Journal of Paleopathology.2020; 31: 34.     CrossRef
  • First description of Enterobius vermicularis egg in a coprolite dated from the pre-contact in Brazil
    Matheus Lino, Daniela Leles, Alfredo P. Peña, Marina C. Vinaud
    Journal of Archaeological Science: Reports.2018; 17: 1.     CrossRef
  • Paleoparasitology and pathoecology in Russia: Investigations and perspectives
    Sergey Slepchenko, Karl Reinhard
    International Journal of Paleopathology.2018; 22: 39.     CrossRef
  • 11,682 View
  • 206 Download
  • 3 Web of Science
  • Crossref

Brief Communication

Prevalence of Enteric Protozoan Oocysts with Special Reference to Sarcocystis cruzi among Fecal Samples of Diarrheic Immunodeficient Patients in Iran
Mahmoud Agholi, Shahrbanou Naderi Shahabadi, Mohammad Hossein Motazedian, Gholam Reza Hatam
Korean J Parasitol 2016;54(3):339-344.
Published online June 30, 2016
DOI: https://doi.org/10.3347/kjp.2016.54.3.339
The genus Sarcocystis is not usually considered as an important enteric pathogen in immune compromised patients. It might be expected that species for which humans are the final host (Sarcocystis hominis and Sarcocystis suihominis as well as possibly others) would be encountered increasingly often in immunodeficient persons. This study aimed to address how to detect and differentiate Sarcocystis oocysts and/or sporocysts from enteric protozoans in the diarrheal samples of immunodeficient patients in Shiraz, Iran. Diarrheal samples of 741 immunodeficient patients with recurrent persistent or chronic diarrhea were examined by microscopy and molecular biological analysis. Oocysts-positive samples were 68 Cryptosporidium spp., 9 Cystoisospora belli (syn. Isospora belli), 2 Cyclospora cayetanensis, and 15 microsporidia (Enterocytozoon bieneusi). Sarcocystis-like sporocysts found from a woman were identified as Sarcocystis cruzi through 18S rDNA amplification and phylogenetic analysis. To the best of our knowledge, this is the first report of S. cruzi from a human.

Citations

Citations to this article as recorded by  Crossref logo
  • Simultaneous Detection of Sarcocystis hominis, S. heydorni, and S. sigmoideus in Human Intestinal Sarcocystosis, France, 2021–2024
    Maxime Moniot, Patricia Combes, Damien Costa, Nicolas Argy, Marie-Fleur Durieux, Thomas Nicol, Céline Nourrisson, Philippe Poirier
    Emerging Infectious Diseases.2025;[Epub]     CrossRef
  • Unveiling the hidden threat: prevalence of Enterocytozoon bieneusi and other intestinal parasitic infections among organ transplant recipients in Southern Iran
    Mohammad Hossein Motazedian, Leila Morabi, Shahrokh Ezzatzadegan Jahromi, Mojtaba Shafiekhani, Saeed Shahabi, Hamed Nikoupour Dailami, Siavash Gholami, Bahador Sarkari
    Gut Pathogens.2025;[Epub]     CrossRef
  • Molecular characterisation of sarcosporidiosis in cattle of Duhok governorate in Kurdistan region of Iraq
    S. N. Hussein, M. S. Shukur, A. A. Ibrahim
    BULGARIAN JOURNAL OF VETERINARY MEDICINE.2025; 28(2): 210.     CrossRef
  • Worldwide Epidemiology of Cyclospora cayetanensis in HIV/AIDS Patients: A Systematic Review and Meta-Analysis
    Farzad Mahdavi, Ali Pouryousef, Mohammad Reza Mohammadi, Kambiz Karimi, Asma Mousivand, Farajolah Maleki, Ali Asghari, Mina Mamizadeh
    Acta Parasitologica.2025;[Epub]     CrossRef
  • Prevalence and Associated Risk Factors of Cyclospora cayetanensis in Immunocompromised Patients: A Systematic Review and Meta‐Analysis
    Ali Ghorbani, Rostam Menati, Farshad Kakian, Ali Pouryousef, Asma Mousivand, Kambiz Karimi, Farajolah Maleki, Ali Asghari, Jalil Feizi, Panagiotis Karanis
    Canadian Journal of Infectious Diseases and Medical Microbiology.2025;[Epub]     CrossRef
  • Infectious etiologies of persistent and chronic diarrhea in Asian developing countries: A systematic review and meta‐analysis
    Matthew Chung Yi Koh, Shi Ni Tan, Jinghao Nicholas Ngiam, Paul Anantharajah Tambyah, Kewin Tien Ho Siah
    Journal of Gastroenterology and Hepatology.2024; 39(9): 1760.     CrossRef
  • Microscopic and Molecular Identification of Cyclospora cayetanensis and Cystoisospora belli in HIV-Infected People in Tabriz, Northwest of Iran
    Saba Ramezanzadeh, Gholamreza Barzegar, Hamid Owaysee Osquee, Majid Pirestani, Mahmoud Mahami-Oskouei, Maryam Hajizadeh, Seyed Abdollah Hosseini, Sonia M. Rodrigues Oliveira, Mahmoud Agholi, Maria de Lourdes Pereira, Ehsan Ahmadpour
    Tropical Medicine and Infectious Disease.2023; 8(7): 368.     CrossRef
  • Prevalence of Intestinal Parasitic Diseases in HIV Patients in Tabriz(Original article)
    Saba Ramezanzadeh, Golam Reza Barzegar, Hamid Oveisi Oskouei, Majid Pirestani, Mahmoud Mahami-Oskouei, Farzaneh Jafarian, Ehsan Ahmadpour, Seyed Abdollah Hosseini
    Journal of Ardabil University of Medical Sciences.2023; 23(4): 352.     CrossRef
  • Global Burden of Cyclospora cayetanensis Infection and Associated Risk Factors in People Living with HIV and/or AIDS
    Saba Ramezanzadeh, Apostolos Beloukas, Abdol Sattar Pagheh, Mohammad Taghi Rahimi, Seyed Abdollah Hosseini, Sonia M. Rodrigues Oliveira, Maria de Lourdes Pereira, Ehsan Ahmadpour
    Viruses.2022; 14(6): 1279.     CrossRef
  • Investigation of Sarcocystis spp. in slaughtered cattle and sheep by peptic digestion and histological examination in Sulaimani Province, Iraq
    Shadan Hassan Abdullah
    Veterinary World.2021; 14(2): 468.     CrossRef
  • Prevalence of intestinal microsporidiosis by morphological and molecular methods in eastern Iran
    Mahmoodreza Behravan, Mustapha Ahmed Yusuf, Rahmat Solgi, Ali Haghighi
    Gene Reports.2021; 24: 101296.     CrossRef
  • Comparison of Two Real-Time PCR Assays Targeting Ribosomal Sequences for the Identification of Cystoisospora belli in Human Stool Samples
    Martin Blohm, Andreas Hahn, Ralf Matthias Hagen, Kirsten Alexandra Eberhardt, Holger Rohde, Gérard Leboulle, Torsten Feldt, Fred Stephen Sarfo, Veronica Di Cristanziano, Hagen Frickmann, Ulrike Loderstädt
    Pathogens.2021; 10(8): 1053.     CrossRef
  • Molecular differentiation of cattle Sarcocystis spp. by multiplex PCR targeting 18S and COI genes following identification of Sarcocystis hominis in human stool samples
    S. Rubiola, T. Civera, E. Ferroglio, S. Zanet, T. Zaccaria, S. Brossa, R. Cipriani, F. Chiesa
    Food and Waterborne Parasitology.2020; 18: e00074.     CrossRef
  • Sarcocystosis in Ruminants of Iran, as Neglected Food-Borne Disease: A Systematic Review and Meta-analysis
    Davood Anvari, Elahe Narouei, Mona Hosseini, Mohammad Reza Narouei, Ahmad Daryani, Seyyed Ali Shariatzadeh, Abdol Sattar Pagheh, Shirzad Gholami, Shahabeddin Sarvi, Dariush Sargazi, Reza Saberi, Seyed Abdollah Hosseini, Abolghasem Siyadatpanah
    Acta Parasitologica.2020; 65(3): 555.     CrossRef
  • Cystoisospora belliinfections in humans: the past 100 years
    J. P. Dubey, S. Almeria
    Parasitology.2019; 146(12): 1490.     CrossRef
  • Sarcocystis spp. in Romanian Slaughtered Cattle: Molecular Characterization and Epidemiological Significance of the Findings
    Kálmán Imre, Gheorghe Dărăbuș, Emil Tîrziu, Sorin Morariu, Mirela Imre, Judit Plutzer, Marius V. Boldea, Adriana Morar
    BioMed Research International.2019; 2019: 1.     CrossRef
  • First molecular characterization of Sarcocystis spp. in cattle in Qena Governorate, Upper Egypt
    Asmaa M. El-kady, Nermean M. Hussein, Amal A. Hassan
    Journal of Parasitic Diseases.2018; 42(1): 114.     CrossRef
  • Simultaneous Molecular Detection of Cryptosporidium and Cyclospora from Raw Vegetables in Korea
    Seobo Sim, Jua Won, Jae-Whan Kim, Kyungjin Kim, Woo-Yoon Park, Jae-Ran Yu
    The Korean Journal of Parasitology.2017; 55(2): 137.     CrossRef
  • Molecular Identification of Sarcocystis spp. in Sheep and Cattle by PCR-RFLP from Southwest of Iran
    Mahmoud Rahdar, Tahereh Kardooni
    Jundishapur Journal of Microbiology.2017;[Epub]     CrossRef
  • Human intestinal sarcocystosis in Iran: there but not seen
    Mahmoud Agholi, Zahra Taghadosi, Davood Mehrabani, Farzaneh Zahabiun, Zahra Sharafi, Mohammad Hossein Motazedian, Gholam Reza Hatam, Shahrbanou Naderi Shahabadi
    Parasitology Research.2016; 115(12): 4527.     CrossRef
  • 12,697 View
  • 149 Download
  • 19 Web of Science
  • Crossref

Original Article

An Improved PCR-RFLP Assay for Detection and Genotyping of Asymptomatic Giardia lamblia Infection in a Resource-Poor Setting
Yoursry Hawash, M. M. Ghonaim, S. S. Al-Shehri
Korean J Parasitol 2016;54(1):1-8.
Published online February 26, 2016
DOI: https://doi.org/10.3347/kjp.2016.54.1.1
Laboratory workers, in resource-poor countries, still consider PCR detection of Giardia lamblia more costly and more time-consuming than the classical parasitological techniques. Based on 2 published primers, an in-house one-round touchdown PCR-RFLP assay was developed. The assay was validated with an internal amplification control included in reactions. Performance of the assay was assessed with DNA samples of various purities, 91 control fecal samples with various parasite load, and 472 samples of unknown results. Two cysts per reaction were enough for PCR detection by the assay with exhibited specificity (Sp) and sensitivity (Se) of 100% and 93%, respectively. Taking a published small subunit rRNA reference PCR test results (6%; 29/472) as a nominated gold standard, G. lamblia was identified in 5.9% (28/472), 5.2%, (25/472), and 3.6% (17/472) by PCR assay, RIDA® Quick Giardia antigen detection test (R-Biopharm, Darmstadt, Germany), and iodine-stained smear microscopy, respectively. The percent agreements (kappa values) of 99.7% (0.745), 98.9% (0.900), and 97.7% (0.981) were exhibited between the assay results and that of the reference PCR, immunoassay, and microscopy, respectively. Restriction digestion of the 28 Giardia-positive samples revealed genotype A pattern in 12 and genotype B profile in 16 samples. The PCR assay with the described format and exhibited performance has a great potential to be adopted in basic clinical laboratories as a detection tool for G. lamblia especially in asymptomatic infections. This potential is increased more in particular situations where identification of the parasite genotype represents a major requirement as in epidemiological studies and infection outbreaks.

Citations

Citations to this article as recorded by  Crossref logo
  • A rapid economical multiplex PCR-RFLP method for molecular detection and genotyping of Giardia duodenalis clinical isolates
    Ajanta Ghosal, Sanjib K. Sardar, Tapas Haldar, Akash Prasad, Koushik Das, Seiki Kobayashi, Yumiko Saito-Nakano, Shanta Dutta, Tomoyoshi Nozaki, Sandipan Ganguly
    Diagnostic Microbiology and Infectious Disease.2024; 110(4): 116548.     CrossRef
  • Comparison of ELISA, nested PCR and sequencing and a novel qPCR for detection of Giardia isolates from Jordan
    Nawal Hijjawi, Rongchang Yang, Ma'mon Hatmal, Yasmeen Yassin, Taghrid Mharib, Rami Mukbel, Sameer Alhaj Mahmoud, Abdel-Ellah Al-Shudifat, Una Ryan
    Experimental Parasitology.2018; 185: 23.     CrossRef
  • Methods for the detection of Cryptosporidium and Giardia: From microscopy to nucleic acid based tools in clinical and environmental regimes
    Folasade Esther Adeyemo, Gulshan Singh, Poovendhree Reddy, Thor Axel Stenström
    Acta Tropica.2018; 184: 15.     CrossRef
  • High Frequency of Enteric Protozoan, Viral, and Bacterial Potential Pathogens in Community-Acquired Acute Diarrheal Episodes: Evidence Based on Results of Luminex Gastrointestinal Pathogen Panel Assay
    Yousry A. Hawash, Khadiga A. Ismail, Mazen Almehmadi
    The Korean Journal of Parasitology.2017; 55(5): 513.     CrossRef
  • 11,995 View
  • 167 Download
  • 7 Web of Science
  • Crossref

Case Report

Ectopic Human Fasciola hepatica Infection by an Adult Worm in the Mesocolon
Ah Jin Kim, Chang Hwan Choi, Sun Keun Choi, Yong Woon Shin, Yun-Kyu Park, Lucia Kim, Suk Jin Choi, Jee Young Han, Joon Mee Kim, Young Chae Chu, In Suh Park
Korean J Parasitol 2015;53(6):725-730.
Published online December 31, 2015
DOI: https://doi.org/10.3347/kjp.2015.53.6.725
We report here an ectopic case of Fasciola hepatica infection confirmed by recovery of an adult worm in the mesocolon. A 56-year-old female was admitted to our hospital with discomfort and pain in the left lower quadrant of the abdomen. Abdominal CT showed 3 abscesses in the left upper quadrant, mesentery, and pelvic cavity. On surgical exploration, abscess pockets were found in the mesocolon of the sigmoid colon and transverse colon. A leaf-like worm found in the abscess pocket of the mesocolon of the left colon was diagnosed as an adult fluke of F. hepatica. Histologically, numerous eggs of F. hepatica were noted with acute and chronic granulomatous inflammations in the subserosa and pericolic adipose tissues. Conclusively, a rare case of ectopic fascioliasis has been confirmed in this study by the adult worm recovery of F. hepatica in the mesocolon.

Citations

Citations to this article as recorded by  Crossref logo
  • Molecular identification of Fasciola and Dicrocoelium species isolates in ruminants livestock from Kashan and Arak in center of Iran
    Mohsen Arbabi, Hossein Hooshyar, Mahdi Delavari
    Journal of Parasitic Diseases.2025; 49(2): 453.     CrossRef
  • Hepatic and Extrahepatic Fascioliasis Mimicking Colon Cancer with Hepatic Metastasis
    Youe Ree Kim, Young Hwan Lee, Kwon-Ha Yoon
    Korean Journal of Abdominal Radiology.2022; 6(1): 51.     CrossRef
  • Phylogenetic Characteristics of Fasciola hepatica Isolated from a Korean Patient
    Mi Jin Jeong, Jae Kyun Park, Hak Sun Yu
    The Korean Journal of Parasitology.2022; 60(5): 367.     CrossRef
  • Prevalence of Schistosoma japonicum infection in water buffaloes in selected areas in Davao del Norte and Davao de Oro, the Philippines
    Rohani C. Navarro, Aleyla E. de Cadiz, Jordan M. Fronda, Lynnell Alexie D. Ong, Vicente Y. Belizario Jr.
    International Journal of One Health.2021; 7(1): 12.     CrossRef
  • Ascariasis Presenting as Hematoma in the Sigmoid Mesocolon: A Case Report
    Ji-Eun Kim, Kyung Eun Bae, Hyun-Jung Kim, Byung-Noe Bae, Ji Hae Lee, Mi-Jin Kang, Ji-Young Kim, Jae Hyung Kim
    Journal of the Korean Society of Radiology.2020; 81(4): 1013.     CrossRef
  • Parasitological monitoring of European bison (Bison bonasus) from three forests of north-eastern Poland between 2014 and 2016
    Michał K. Krzysiak, Aleksander W. Demiaszkiewicz, Magdalena Larska, Jarosław Tomana, Krzysztof Anusz
    Journal of Veterinary Research.2020; 64(1): 103.     CrossRef
  • NumerousFasciolaplasminogen-binding proteins may underlie blood-brain barrier leakage and explain neurological disorder complexity and heterogeneity in the acute and chronic phases of human fascioliasis
    J. González-Miguel, M. A. Valero, M. Reguera-Gomez, C. Mas-Bargues, M. D. Bargues, F. Simón, S. Mas-Coma
    Parasitology.2019; 146(3): 284.     CrossRef
  • Highlights of human ectopic fascioliasis: a systematic review
    Ali Taghipour, Leila Zaki, Ali Rostami, Masoud Foroutan, Fatemeh Ghaffarifar, Atefeh Fathi, Amir Abdoli
    Infectious Diseases.2019; 51(11-12): 785.     CrossRef
  • A Case of Ectopic Peritoneal Paragonimiasis Mimicking Diverticulitis or Abdominal Abscess
    Min Jae Kim, Sung-Han Kim, Sang-Oh Lee, Sang-Ho Choi, Yang Soo Kim, Jun Hee Woo, Yong Sik Yoon, Kyung Won Kim, Jaeeun Cho, Jong-Yil Chai, Yong Pil Chong
    The Korean Journal of Parasitology.2017; 55(3): 313.     CrossRef
  • 12,921 View
  • 159 Download
  • 8 Web of Science
  • Crossref

Original Article

Molecular Identification of Diphyllobothrium nihonkaiense from 3 Human Cases in Heilongjiang Province with a Brief Literature Review in China
Weizhe Zhang, Fei Che, Song Tian, Jing Shu, Xiaoli Zhang
Korean J Parasitol 2015;53(6):683-688.
Published online December 31, 2015
DOI: https://doi.org/10.3347/kjp.2015.53.6.683
Human diphyllobothriasis is a widespread fish-borne zoonosis caused by the infection with broad tapeworms belonging to the genus Diphyllobothrium. In mainland China, so far 20 human cases of Diphyllobothrium infections have been reported, and the etiologic species were identified as D. latum and D. nihonkaiense based on morphological characteristics or molecular analysis. In the present study, proglottids of diphyllobothriid tapeworms from 3 human cases that occurred in Heilongjiang Province, China were identified as D. nihonkaiense by sequencing mitochondrial cytochrome c oxidase subunit I (cox1) and NADH dehydrogenase subunit 5 (nad5) genes. Two different cox1 gene sequences were obtained. One sequence showed 100% homology with those from humans in Japan. The remaining cox1 gene sequence and 2 different nad5 gene sequences obtained were not described previously, and might reflect endemic genetic characterizations. D. nihonkaiense might also be a major causative species of human diphyllobothriasis in China. Meanwhile, the finding of the first pediatric case of D. nihonkaiense infection in China suggests that infants infected with D. nihonkaiense should not be ignored.

Citations

Citations to this article as recorded by  Crossref logo
  • Species identification of diphyllobothriosis causative agent Dibothriocephalus nihonkaiensis found in the summer chum O. keta during spawning migration in the Amur River
    A. G. Dragomeretskaya, Yu. I. Moskvina, V. O. Kotova, E. V. Podorozhnyuk, O. E. Trotsenko, S. I. Gaer
    Russian Journal of Parasitology.2026; 19(4): 480.     CrossRef
  • Dietary footprints of a global parasite: diagnosing Dibothriocephalus nihonkaiensis in non-endemic regions
    Wilson G.W. Goh, Jean-Marc Chavatte, Gabriel Z.R. Yan, Yuan Yi Constance Chen, Mark Dhinesh Muthiah, Lionel H.W. Lum
    Gut Pathogens.2025;[Epub]     CrossRef
  • Identification of Dibothriocephalus nihonkaiensis plerocercoids from the autumn chum salmon Oncorhynchus keta of the Amur River basin by molecular datas
    A. G. Dragomeretskaya, Yu. I. Moskvina, V. O. Kotova, L. V. Butakova, S. I. Gaer, O. E. Trotsenko, E. V. Podorozhnyuk
    Russian Journal of Parasitology.2024; 18(4): 388.     CrossRef
  • Epidemiology ofDiphyllobothrium nihonkaienseDiphyllobothriasis, Japan, 2001–2016
    Hiroshi Ikuno, Shinkichi Akao, Hiroshi Yamasaki
    Emerging Infectious Diseases.2018;[Epub]     CrossRef
  • Four Human Cases of Diphyllobothrium nihonkaiense (Eucestoda: Diphyllobothriidae) in China with a Brief Review of Chinese Cases
    Yu-Chun Cai, Shao-Hong Chen, Hiroshi Yamasaki, Jia-Xu Chen, Yan Lu, Yong-Nian Zhang, Hao Li, Lin Ai, Hai-Ning Chen
    The Korean Journal of Parasitology.2017; 55(3): 319.     CrossRef
  • Intestinal cestodes
    Camille Webb, Miguel M. Cabada
    Current Opinion in Infectious Diseases.2017; 30(5): 504.     CrossRef
  • 11,053 View
  • 106 Download
  • 6 Web of Science
  • Crossref

Mini Review

Plasmodium knowlesi as a Threat to Global Public Health
Roland Wesolowski, Alina Wozniak, Celestyna Mila-Kierzenkowska, Karolina Szewczyk-Golec
Korean J Parasitol 2015;53(5):575-581.
Published online October 29, 2015
DOI: https://doi.org/10.3347/kjp.2015.53.5.575
Malaria is a tropical disease caused by protozoans of the Plasmodium genus. Delayed diagnosis and misdiagnosis are strongly associated with higher mortality. In recent years, a greater importance is attributed to Plasmodium knowlesi, a species found mainly in Southeast Asia. Routine parasitological diagnostics are associated with certain limitations and difficulties in unambiguous determination of the parasite species based only on microscopic image. Recently, molecular techniques have been increasingly used for predictive diagnosis. The aim of the study is to draw attention to the risk of travelling to knowlesi malaria endemic areas and to raise awareness among personnel involved in the therapeutic process.

Citations

Citations to this article as recorded by  Crossref logo
  • Tackling the Emerging Threat of Zoonotic Malaria in India
    J. Divyaparvathy, Harishma Ramesh
    Indian Journal of Community Medicine.2025; 50(6): 1086.     CrossRef
  • Mass spectrometry-based metabolomics uncovers distinct metabolic signatures and potential therapeutic targets in Plasmodium knowlesi
    Naphatsamon Uthailak, Sadudee Chotirat, Ammarind Anatjitsupha, Waraporn Thongyod, Phornpimon Tipthara, Jetsumon Sattabongkot, Joel Tarning, Wang Nguitragool, Onrapak Reamtong, Érika Martins Braga
    PLOS One.2025; 20(11): e0337058.     CrossRef
  • Landscape and Socioeconomic Factors Determine Malaria Incidence in Tropical Forest Countries
    Allison Bailey, Paula R. Prist
    International Journal of Environmental Research and Public Health.2024; 21(5): 576.     CrossRef
  • International modified Delphi study on malaria preventive behaviour: new themes, contexts and framework for future research on Plasmodium knowlesi malaria
    Nurul Athirah Naserrudin, Rozita Hod, Mohammad Saffree Jeffree, Kamruddin Ahmed, Mohd Rohaizat Hassan
    BMJ Open.2023; 13(3): e067451.     CrossRef
  • Developing a Predictive Model for Plasmodium knowlesi–Susceptible Areas in Malaysia Using Geospatial Data and Artificial Neural Networks
    Rozita Hod, Siti Aisah Mokhtar, Farrah Melissa Muharam, Ummi Kalthom Shamsudin, Jamal Hisham Hashim
    Asia Pacific Journal of Public Health.2022; 34(2-3): 182.     CrossRef
  • In silico design, chemical synthesis and biological screening of novel 4‐(1H)‐pyridone‐based antimalarial agents
    Oluwatosin Audu, Andre Stander, Olayinka Ajani, Samuel Egieyeh, Natasha October
    Chemical Biology & Drug Design.2022; 99(5): 674.     CrossRef
  • Characteristics of Plasmodium knowlesi Malaria based on the results of PCR examinations in Aceh Besar District
    N R Puetri, Y Fahrimal, Farida, Salmiaty
    IOP Conference Series: Earth and Environmental Science.2021; 711(1): 012027.     CrossRef
  • Airport Malaria in Non-Endemic Areas: New Insights into Mosquito Vectors, Case Management and Major Challenges
    Leo Dilane Alenou, Josiane Etang
    Microorganisms.2021; 9(10): 2160.     CrossRef
  • PacBio assembly of aPlasmodium knowlesigenome sequence with Hi-C correction and manual annotation of theSICAvargene family
    S. A. LAPP, J. A. GERALDO, J.-T. CHIEN, F. AY, S. B. PAKALA, G. BATUGEDARA, J. HUMPHREY, J. D. DeBARRY, K. G. Le ROCH, M. R. GALINSKI, J. C. KISSINGER
    Parasitology.2018; 145(1): 71.     CrossRef
  • From the Fifth to the Seventh Human Malarial Species: A New Concern in Infectious Medicine
    Viroj Wiwanitkit
    Avicenna Journal of Clinical Microbiology and Infection.2016; 3(2): 35145.     CrossRef
  • 15,882 View
  • 156 Download
  • 7 Web of Science
  • Crossref

Original Articles

Cryptosporidium spp., Giardia intestinalis, and Enterocytozoon bieneusi in Captive Non-Human Primates in Qinling Mountains
Shuai-Zhi Du, Guang-Hui Zhao, Jun-Feng Shao, Yan-Qin Fang, Ge-Ru Tian, Long-Xian Zhang, Rong-Jun Wang, Hai-Yan Wang, Meng Qi, San-Ke Yu
Korean J Parasitol 2015;53(4):395-402.
Published online August 25, 2015
DOI: https://doi.org/10.3347/kjp.2015.53.4.395
Non-human primates (NHPs) are confirmed as reservoirs of Cryptosporidium spp., Giardia intestinalis, and Enterocytozoon bieneusi. In this study, 197 fresh fecal samples from 8 NHP species in Qinling Mountains, northwestern China, were collected and examined using multilocus sequence typing (MLST) method. The results showed that 35 (17.8%) samples were positive for tested parasites, including Cryptosporidium spp. (3.0%), G. intestinalis (2.0%), and E. bieneusi (12.7%). Cryptosporidium spp. were detected in 6 fecal samples of Macaca mulatta, and were identified as C. parvum (n=1) and C. andersoni (n=5). Subtyping analysis showed Cryptosporidium spp. belonged to the C. andersoni MLST subtype (A4, A4, A4, and A1) and C. parvum 60 kDa glycoprotein (gp60) subtype IId A15G2R1. G. intestinalis assemblage E was detected in 3 M. mulatta and 1 Saimiri sciureus. Intra-variations were observed at the triose phosphate isomerase (tpi), beta giardin (bg), and glutamate dehydrogenase (gdh) loci, with 3, 1, and 2 new subtypes found in respective locus. E. bieneusi was found in Cercopithecus neglectus (25.0%), Papio hamadrayas (16.7%), M. mulatta (16.3%), S. sciureus (10%), and Rhinopithecus roxellana (9.5%), with 5 ribosomal internal transcribed spacer (ITS) genotypes: 2 known genotypes (D and BEB6) and 3 novel genotypes (MH, XH, and BSH). These findings indicated the presence of zoonotic potential of Cryptosporidium spp. and E. bieneusi in NHPs in Qinling Mountains. This is the first report of C. andersoni in NHPs. The present study provided basic information for control of cryptosporidiosis, giardiasis, and microsporidiosis in human and animals in this area.

Citations

Citations to this article as recorded by  Crossref logo
  • First report of Blastocystis sp. and Enterocytozoon bieneusi in raptors
    Zhen-Qiu Gao, Si-Yuan Qin, Lin-Hong Xie, Guang-Rong Bao, Xingzhou Wang, Ya Qin, Xuetao Han, Xiaoming Yu, Cong-Cong Lei, Xiao-Tian Zhang, Ming-Yuan Yu, He-Ting Sun, Shuo Liu
    Frontiers in Veterinary Science.2025;[Epub]     CrossRef
  • Distribution of human-pathogenic Cryptosporidium spp., Giardia duodenalis, and Enterocytozoon bieneusi in crab-eating macaques in China
    Huilin Zhang, Huiyang Chen, Chaoyue He, Wenchao Li, Falei Li
    Frontiers in Microbiology.2025;[Epub]     CrossRef
  • Emergence of Cryptosporidium parvum IIc Subtype and Giardia duodenalis Assemblage E in AIDS Patients in Central China: Evidence for Neglected Transmission Dynamics
    Zhuolin Tao, Ke Hong, Peixi Qin, Hui Liu, Chunqun Wang, Jigang Yin, Xin Li, Guan Zhu, Min Hu
    Microorganisms.2025; 13(8): 1731.     CrossRef
  • Subtyping of Nonhuman Primate-Adapted Cryptosporidium hominis in Macaca Fascicularis and Macaca mulatta in Yunnan Province, Southwestern China
    Yue-Yue Zhang, Yang Zou, Ya-Qi Li, Ping-Ping Ma, Zhong-Li Liu, Shuai Wang, Xiao-Lin Sun
    Vector-Borne and Zoonotic Diseases.2023; 23(7): 364.     CrossRef
  • Presence and genetic diversity of enteric protists in captive and semi-captive non-human primates in côte d’Ivoire, Sierra Leone, and Peru
    Pamela C. Köster, Juan Lapuente, Andrea Pizarro, Laura Prieto-Pérez, Ramón Pérez-Tanoira, Alejandro Dashti, Begoña Bailo, Aly S. Muadica, David González-Barrio, Rafael Calero-Bernal, Francisco Ponce-Gordo, David Carmena
    International Journal for Parasitology: Parasites and Wildlife.2022; 17: 26.     CrossRef
  • Intestinal Protists in Captive Non-human Primates and Their Handlers in Six European Zoological Gardens. Molecular Evidence of Zoonotic Transmission
    Pamela C. Köster, Eva Martínez-Nevado, Andrea González, María T. Abelló-Poveda, Hugo Fernández-Bellon, Manuel de la Riva-Fraga, Bertille Marquet, Jean-Pascal Guéry, Tobias Knauf-Witzens, Annika Weigold, Alejandro Dashti, Begoña Bailo, Elena Imaña, Aly S.
    Frontiers in Veterinary Science.2022;[Epub]     CrossRef
  • Prevalence and genetic diversity of Enterocytozoon bieneusi in nonhuman primates in Northern and Central China
    Peiyang Zhang, Shengyong Feng, Ting Jia, Shuyi Han, Chenglin Zhang, Hongxuan He
    International Journal for Parasitology: Parasites and Wildlife.2022; 17: 273.     CrossRef
  • High zoonotic potential of Cryptosporidium spp., Giardia duodenalis, and Enterocytozoon bieneusi in wild nonhuman primates from Yunnan Province, China
    Fanfan Shu, Shujiao Song, Yanting Wei, Falei Li, Yaqiong Guo, Yaoyu Feng, Lihua Xiao, Na Li
    Parasites & Vectors.2022;[Epub]     CrossRef
  • Decline in Cryptosporidium Infection in Free-Ranging Rhesus Monkeys in a Park After Public Health Interventions
    Ruilian Jia, Xi Wen, Yaqiong Guo, Lihua Xiao, Yaoyu Feng, Na Li
    Frontiers in Cellular and Infection Microbiology.2022;[Epub]     CrossRef
  • Ecological and public health significance of Enterocytozoon bieneusi
    Wei Li, Lihua Xiao
    One Health.2021; 12: 100209.     CrossRef
  • Occurrence and potentially zoonotic genotypes of Enterocytozoon bieneusi in wild rhesus macaques (Macaca mulatta) living in Nanwan Monkey Island, Hainan, China: a public health concern
    Wei Zhao, Huan-Huan Zhou, Guang-Xu Ren, Yu Qiang, Hui-Cong Huang, Gang Lu, Feng Tan
    BMC Veterinary Research.2021;[Epub]     CrossRef
  • Occurrence and molecular characterization of Cryptosporidium spp. and Giardia duodenalis among captive mammals in the Bangladesh National Zoo
    Md Robiul Karim, Junqiang Li, Farzana Islam Rume, Sm. Mostafizur Rahaman Sumon, Abu Sadeque Md Selim, Nazmul Hoda, Longxian Zhang
    Parasitology International.2021; 84: 102414.     CrossRef
  • Investigation of giardiasis in captive animals in zoological gardens with strain typing of assemblages in China
    Hua Liu, Bin Wang, Jianhai Yin, Zhongying Yuan, Yanyan Jiang, Jing Zhang, Jianping Cao, Yujuan Shen, Hui Liu
    Parasitology.2021; 148(11): 1360.     CrossRef
  • Risk Evaluation of Pathogenic Intestinal Protozoa Infection Among Laboratory Macaques, Animal Facility Workers, and Nearby Villagers From One Health Perspective
    Jian Li, Yijing Ren, Haiying Chen, Weiyi Huang, Xinyu Feng, Wei Hu
    Frontiers in Veterinary Science.2021;[Epub]     CrossRef
  • Genotyping of Enterocytozoon bieneusi among captive long-tailed macaques (Macaca fascicularis) in Hainan Province: High genetic diversity and zoonotic potential
    Wei Zhao, Huanhuan Zhou, Hairong Jin, Lijie Sun, Pingyung Li, Meicen Liu, Mingyan Qiu, Liulian Xu, Feiyang Li, Tianming Ma, Shanshan Wang, Feifei Yin, Lihua Li, Xiuji Cui, Jasper Fuk-Woo Chan, Gang Lu
    Acta Tropica.2020; 201: 105211.     CrossRef
  • Occurrence and multilocus genotyping of Giardia duodenalis in captive non-human primates from 12 zoos in China
    Xueping Zhang, Liqin Wang, Xinting Lan, Jiaming Dan, Zhihua Ren, Suizhong Cao, Liuhong Shen, Junliang Deng, Zhicai Zuo, Shumin Yu, Ya Wang, Xiaoping Ma, Haifeng Liu, Ziyao Zhou, Yanchun Hu, Hualin Fu, Changliang He, Yi Geng, Xiaobin Gu, Guangneng Peng, Yu
    PLOS ONE.2020; 15(2): e0228673.     CrossRef
  • Prevalence and genotypic identification of Cryptosporidium spp. and Enterocytozoon bieneusi in captive Asiatic black bears (Ursus thibetanus) in Heilongjiang and Fujian provinces of China
    Sheng-Nan Wang, Yun Sun, Huan-Huan Zhou, Gang Lu, Meng Qi, Wei-Shi Liu, Wei Zhao
    BMC Veterinary Research.2020;[Epub]     CrossRef
  • Multilocus sequence typing of Enterocytozoon bieneusi in crab-eating macaques (Macaca fascicularis) in Hainan, China
    Li Chen, Na Li, Yaqiong Guo, Jianguo Zhao, Yaoyu Feng, Lihua Xiao
    Parasites & Vectors.2020;[Epub]     CrossRef
  • A retrospective epidemiological analysis of human Cryptosporidium infection in China during the past three decades (1987-2018)
    Aiqin Liu, Baiyan Gong, Xiaohua Liu, Yujuan Shen, Yanchen Wu, Weizhe Zhang, Jianping Cao, Luther A. Bartelt
    PLOS Neglected Tropical Diseases.2020; 14(3): e0008146.     CrossRef
  • Prevalence and molecular characterization of Giardia duodenalis in dogs in Israel
    Harold Salant, Sharon Kuzi, Danielle Navarro, Gad Baneth
    Comparative Immunology, Microbiology and Infectious Diseases.2020; 73: 101548.     CrossRef
  • Population genetic analysis suggests genetic recombination is responsible for increased zoonotic potential of Enterocytozoon bieneusi from ruminants in China
    Zhenjie Zhang, Jingbo Ma, Xitong Huang, Xi Wen, Wen Jiang, Li Chen, Na Li, Yaqiong Guo, Longxian Zhang, Lihua Xiao, Yaoyu Feng
    One Health.2020; 11: 100184.     CrossRef
  • Host Specificity of Enterocytozoon bieneusi and Public Health Implications
    Wei Li, Yaoyu Feng, Monica Santin
    Trends in Parasitology.2019; 35(6): 436.     CrossRef
  • Intestinal Parasites and the Occurrence of Zoonotic Giardia duodenalis Genotype in Captive Gibbons at Krabokkoo Wildlife Breeding Center, Thailand
    Sahatchai Tangtrongsup, Duanghatai Sripakdee, Suchinda Malaivijitnond, Rungroj Angkuratipakorn, Michael Lappin
    Frontiers in Veterinary Science.2019;[Epub]     CrossRef
  • Molecular prevalence and subtyping of Cryptosporidium hominis among captive long-tailed macaques (Macaca fascicularis) and rhesus macaques (Macaca mulatta) from Hainan Island, southern China
    Wei Zhao, Huanhuan Zhou, Hairong Jin, Meicen Liu, Mingyan Qiu, Lihua Li, Feifei Yin, Jasper Fuk-Woo Chan, Gang Lu
    Parasites & Vectors.2019;[Epub]     CrossRef
  • Genotypes and public health potential of Enterocytozoon bieneusi and Giardia duodenalis in crab-eating macaques
    Li Chen, Jianguo Zhao, Na Li, Yaqiong Guo, Yuanyuan Feng, Yaoyu Feng, Lihua Xiao
    Parasites & Vectors.2019;[Epub]     CrossRef
  • Prevalence and diversity of Cryptosporidium spp. in bamboo rats (Rhizomys sinensis) in South Central China
    Zilin Wei, Qiang Liu, Wei Zhao, Xiumei Jiang, Ying Zhang, Aiyun Zhao, Bo Jing, Gang Lu, Meng Qi
    International Journal for Parasitology: Parasites and Wildlife.2019; 9: 312.     CrossRef
  • Cryptosporidium parvum and Cryptosporidium hominis subtypes in crab-eating macaques
    Li Chen, Suhui Hu, Wen Jiang, Jianguo Zhao, Na Li, Yaqiong Guo, Chenghong Liao, Qian Han, Yaoyu Feng, Lihua Xiao
    Parasites & Vectors.2019;[Epub]     CrossRef
  • Molecular characterization and distribution of Cryptosporidium spp., Giardia duodenalis, and Enterocytozoon bieneusi from yaks in Tibet, China
    Yayun Wu, Yankai Chang, Xiangqian Zhang, Yuancai Chen, Dongfang Li, Lu Wang, Shuangjian Zheng, Rongjun Wang, Sumei Zhang, Fuchun Jian, Changshen Ning, Jiakui Li, Longxian Zhang
    BMC Veterinary Research.2019;[Epub]     CrossRef
  • Zoonotic potential of Giardia lamblia and control of giardiasis
    Fantinatti* Maria
    Insights in Veterinary Science.2019; 3(1): 001.     CrossRef
  • Cryptosporidium parvum in captive primates of Parque Municipal Danilo Galafassi, Paraná, Brazil
    Alessandra Snak, Luis Eduardo da Silveira Delgado, Silvia Cristina Osaki
    Semina: Ciências Agrárias.2019; 40(2): 987.     CrossRef
  • Prevalence and molecular characterization of Cryptosporidium spp. and Giardia duodenalis in deer in Henan and Jilin, China
    Jianying Huang, Zhenjie Zhang, Yiqi Zhang, Yong Yang, Jinfeng Zhao, Rongjun Wang, Fuchun Jian, Changshen Ning, Wanyu Zhang, Longxian Zhang
    Parasites & Vectors.2018;[Epub]     CrossRef
  • Prevalence and genotypes of Enterocytozoon bieneusi in China
    Sha-Sha Wang, Rong-Jun Wang, Xian-Cheng Fan, Ting-Li Liu, Long-Xian Zhang, Guang-Hui Zhao
    Acta Tropica.2018; 183: 142.     CrossRef
  • Host specificity of Enterocytozoon bieneusi genotypes in Bactrian camels (Camelus bactrianus) in China
    Meng Qi, Junqiang Li, Aiyun Zhao, Zhaohui Cui, Zilin Wei, Bo Jing, Longxian Zhang
    Parasites & Vectors.2018;[Epub]     CrossRef
  • Molecular characterization and new genotypes of Enterocytozoon bieneusi in pet chipmunks (Eutamias asiaticus) in Sichuan province, China
    Lei Deng, Wei Li, Zhijun Zhong, Yijun Chai, Leli Yang, Hang Zheng, Wuyou Wang, Hualin Fu, Min He, Xiangming Huang, Zhicai Zuo, Ya Wang, Suizhong Cao, Haifeng Liu, Xiaoping Ma, Kongju Wu, Guangneng Peng
    BMC Microbiology.2018;[Epub]     CrossRef
  • Giardia duodenalisin primates: Classification and host specificity based on phylogenetic analysis of sequence data
    O. Brynildsrud, K. R. Tysnes, L. J. Robertson, J. J. Debenham
    Zoonoses and Public Health.2018; 65(6): 637.     CrossRef
  • Enterocytozoon bieneusi in Minks (Neovison vison) in Northern China: A Public Health Concern
    Xiao-Xuan Zhang, Ruo-Lan Jiang, Jian-Gang Ma, Chao Xu, Quan Zhao, Guangyu Hou, Guo-Hua Liu
    Frontiers in Microbiology.2018;[Epub]     CrossRef
  • Molecular characterization and new genotypes of Enterocytozoon bieneusi in minks (Neovison vison) in China
    Wei Cong, Si-Yuan Qin, Qing-Feng Meng
    Parasite.2018; 25: 34.     CrossRef
  • Prevalence and multi-locus genotypes of Enterocytozoon bieneusi in black-boned sheep and goats in Yunnan Province, southwestern China
    Dan Chen, Sha-Sha Wang, Yang Zou, Zhao Li, Shi-Chen Xie, Lian-Qin Shi, Feng-Cai Zou, Xing-Quan Zhu, Jian-Fa Yang, Guang-Hui Zhao
    Infection, Genetics and Evolution.2018; 65: 385.     CrossRef
  • High prevalence of Enterocytozoon bieneusi zoonotic genotype D in captive golden snub-nosed monkey (Rhinopithecus roxellanae) in zoos in China
    Fuchang Yu, Yayun Wu, Tongyi Li, Jianke Cao, Jiantang Wang, Suhui Hu, Huili Zhu, Sumei Zhang, Rongjun Wang, Changshen Ning, Longxian Zhang
    BMC Veterinary Research.2017;[Epub]     CrossRef
  • Molecular characterisation of protist parasites in human-habituated mountain gorillas (Gorilla beringei beringei), humans and livestock, from Bwindi Impenetrable National Park, Uganda
    Matthew J. Nolan, Melisa Unger, Yuen-Ting Yeap, Emma Rogers, Ilary Millet, Kimberley Harman, Mark Fox, Gladys Kalema-Zikusoka, Damer P. Blake
    Parasites & Vectors.2017;[Epub]     CrossRef
  • Molecular characterization of Enterocytozoon bieneusi isolates in laboratory macaques in north China: zoonotic concerns
    Hang Yang, Yongchao Lin, Yijing Li, Mingxin Song, Yixin Lu, Wei Li
    Parasitology Research.2017; 116(10): 2877.     CrossRef
  • Molecular Epidemiology of Cryptosporidiosis in China
    Yaoyu Feng, Lihua Xiao
    Frontiers in Microbiology.2017;[Epub]     CrossRef
  • Multilocus genotyping of Giardia duodenalis in captive non-human primates in Sichuan and Guizhou provinces, Southwestern China
    Zhijun Zhong, Yinan Tian, Wei Li, Xiangming Huang, Lei Deng, Suizhong Cao, Yi Geng, Hualin Fu, Liuhong Shen, Haifeng Liu, Guangneng Peng, Bi-Song Yue
    PLOS ONE.2017; 12(9): e0184913.     CrossRef
  • Giardia duodenalis Infections in Humans and Other Animals in China
    Junqiang Li, Haiyan Wang, Rongjun Wang, Longxian Zhang
    Frontiers in Microbiology.2017;[Epub]     CrossRef
  • Dominance of the Enterocytozoon bieneusi genotype BEB6 in red deer (Cervus elaphus) and Siberian roe deer (Capreolus pygargus) in China and a brief literature review
    Wei Zhao, Jianguang Wang, Ziyin Yang, Aiqin Liu
    Parasite.2017; 24: 54.     CrossRef
  • Public health significance of zoonotic Cryptosporidium species in wildlife: Critical insights into better drinking water management
    Alireza Zahedi, Andrea Paparini, Fuchun Jian, Ian Robertson, Una Ryan
    International Journal for Parasitology: Parasites and Wildlife.2016; 5(1): 88.     CrossRef
  • Molecular survey of Enterocytozoon bieneusi in sheep and goats in China
    Ke Shi, Mengjie Li, Xiaoxing Wang, Junqiang Li, Md Robiul Karim, Rongjun Wang, Longxian Zhang, Fuchun Jian, Changshen Ning
    Parasites & Vectors.2016;[Epub]     CrossRef
  • Prevalence, risk factors and multilocus genotyping of Enterocytozoon bieneusi in farmed foxes (Vulpes lagopus), Northern China
    Xiao-Xuan Zhang, Wei Cong, Zhi-Long Lou, Jian-Gang Ma, Wen-Bin Zheng, Qiu-Xia Yao, Quan Zhao, Xing-Quan Zhu
    Parasites & Vectors.2016;[Epub]     CrossRef
  • The zoonotic potential of Giardia intestinalis assemblage E in rural settings
    Khaled A. Abdel-Moein, Hossam Saeed
    Parasitology Research.2016; 115(8): 3197.     CrossRef
  • Identification ofGiardia lambliaAssemblage E in Humans Points to a New Anthropozoonotic Cycle
    Maria Fantinatti, Alexandre R. Bello, Octavio Fernandes, Alda M. Da-Cruz
    Journal of Infectious Diseases.2016; 214(8): 1256.     CrossRef
  • First Report of the Human-Pathogenic Enterocytozoon bieneusi from Red-Bellied Tree Squirrels (Callosciurus erythraeus) in Sichuan, China
    Lei Deng, Wei Li, Xingming Yu, Chao Gong, Xuehan Liu, Zhijun Zhong, Na Xie, Shuangshuang Lei, Jianqiu Yu, Hualin Fu, Hongwei Chen, Huailiang Xu, Yanchun Hu, Guangneng Peng, Tara C Smith
    PLOS ONE.2016; 11(9): e0163605.     CrossRef
  • Prevalence of Cryptosporidium spp., Enterocytozoon bieneusi, Encephalitozoon spp. and Giardia intestinalis in Wild, Semi-Wild and Captive Orangutans (Pongo abelii and Pongo pygmaeus) on Sumatra and Borneo, Indonesia
    Anna Mynářová, Ivona Foitová, Martin Kváč, Dana Květoňová, Michael Rost, Helen Morrogh-Bernard, Wisnu Nurcahyo, Cathleen Nguyen, Supriyadi Supriyadi, Bohumil Sak, Govindhaswamy Umapathy
    PLOS ONE.2016; 11(3): e0152771.     CrossRef
  • 14,123 View
  • 185 Download
  • 54 Web of Science
  • Crossref
Visceral Leishmaniasis in Rural Areas of Alborz Province of Iran and Implication to Health Policy
Aliehsan Heidari, Mehdi Mohebali, Kourosh Kabir, Hojatallah Barati, Yousef Soultani, Hossein Keshavarz, Behnaz Akhoundi, Homa Hajjaran, Hosein Reisi
Korean J Parasitol 2015;53(4):379-383.
Published online August 25, 2015
DOI: https://doi.org/10.3347/kjp.2015.53.4.379
Visceral leishmaniasis (VL) or kala-azar mainly affects children in endemic areas. This study was conducted to determine the seroprevalence of VL using direct agglutination test (DAT) in children living in rural districts of Alborz Province located 30 km from Tehran capital city of Iran. Multi-stage cluster random sampling was applied. Blood samples were randomly collected from 1,007 children under 10 years of age in the clusters. A total of 37 (3.7%) of the studied population showed anti-Leishmania infantum antibodies with titers of ≥1:800. There was a significant association between positive sera and various parts of the rural areas of Alborz Province (P<0.002). Two children with anti-Leishmania infantum antibodies titers of ≥1:3,200 indicated kala-azar clinical features and treated with anti-leishmaniasis drugs in pediatric hospital. The findings of this study indicated that Leishmania infection is prevalent in rural areas of Alborz Province. Therefore, it is necessary to increase the awareness and alertness among physicians and public health managers, particularly in high-risk rural areas of the province in Iran.

Citations

Citations to this article as recorded by  Crossref logo
  • A systematic review and meta-analysis of the prevalence of Leishmania infantum in sandflies in Iran
    Sara Rahimi, Homa Arshadi, Hamid Reza Shoraka, Aioub Sofizadeh, Arman Latifi
    Asian Pacific Journal of Tropical Medicine.2024; 17(11): 491.     CrossRef
  • Unraveling the role of natural killer cells in leishmaniasis
    Zahra Alizadeh, Pooya Omidnia, Farag M.A. Altalbawy, Gamal A. Gabr, Rasha Fadhel Obaid, Narges Rostami, Saeed Aslani, Aliehsan Heidari, Hamed Mohammadi
    International Immunopharmacology.2023; 114: 109596.     CrossRef
  • Prevalence of human visceral leishmaniasis in Iran: A systematic review and meta-analysis
    Mosayeb Rostamian, Homayoon Bashiri, Vahid Yousefinejad, Arezoo Bozorgomid, Nasrollah Sohrabi, Saber Raeghi, Mohammad Taghi Khodayari, Keyghobad Ghadiri, Shahab Rezaeian
    Comparative Immunology, Microbiology and Infectious Diseases.2021; 75: 101604.     CrossRef
  • Seroepidemiology of visceral leishmaniasis among free-roaming dogs and children in Zahedan city, southeast of Iran, 2018–2020
    Baharak Akhtardanesh, Mahshid Mostafavi, Javad Khedri, Ayoob Fakhri, Iraj Sharifi, Mehdi Khoshsima Shahraki
    Microbial Pathogenesis.2021; 161: 105234.     CrossRef
  • Seroepidemiological study on visceral leishmaniasis in an endemic focus of central Iran during 2017
    Leyli Zanjirani Farahani, Mehdi Mohebali, Behnaz Akhoundi, Abedin Saghafipour, Zahra Kakooei
    Journal of Parasitic Diseases.2019; 43(1): 22.     CrossRef
  • Paediatric visceral leishmaniasis: a retrospective study on clinical manifestations, demographic features and laboratory findings of hospitalised cases in Iran between 2006 and 2016
    Manijeh Nourian, Aliehsan Heidari, Saleheh Tajali, Erfan Ghasemi, Mehdi Mohebali, Amir Heidari
    Tropical Doctor.2019; 49(1): 59.     CrossRef
  • Systematic review and meta-analysis of human visceral leishmaniasis in Iran
    Vahid Rahmanian, Karamatollah Rahmanian, Abdolreza Sotoodeh-Jahromi, Saied Bokaie
    AFMN Biomedicine.2019; 36(4): 279.     CrossRef
  • Population structures of Leishmania infantum and Leishmania tropica the causative agents of kala-azar in Southwest Iran
    Mohammad Amin Ghatee, Hossein Mirhendi, Mehdi Karamian, Walter R. Taylor, Iraj Sharifi, Massood Hosseinzadeh, Zahra Kanannejad
    Parasitology Research.2018; 117(11): 3447.     CrossRef
  • Autoantibodies in a Three-Year-Old Girl with Visceral Leishmaniasis: A Potential Diagnostic Pitfall
    Gholamreza Pouladfar, Zahra Jafarpour, Amir Hossein Babaei, Bahman Pourabbas, Bita Geramizadeh, Anahita Sanaei Dashti
    Case Reports in Infectious Diseases.2016; 2016: 1.     CrossRef
  • 10,909 View
  • 108 Download
  • 16 Web of Science
  • Crossref

Case Reports

Perianal Tick-Bite Lesion Caused by a Fully Engorged Female Amblyomma testudinarium
Jin Kim, Haeng An Kang, Sung Sun Kim, Hyun Soo Joo, Won Seog Chong
Korean J Parasitol 2014;52(6):685-690.
Published online December 23, 2014
DOI: https://doi.org/10.3347/kjp.2014.52.6.685

A perianal tick and the surrounding skin were surgically excised from a 73-year-old man residing in a southwestern costal area of the Korean Peninsula. Microscopically a deep penetrating lesion was formed beneath the attachment site. Dense and mixed inflammatory cell infiltrations occurred in the dermis and subcutaneous tissues around the feeding lesion. Amorphous eosinophilic cement was abundant in the center of the lesion. The tick had Y-shaped anal groove, long mouthparts, ornate scutum, comma-shaped spiracular plate, distinct eyes, and fastoons. It was morphologically identified as a fully engorged female Amblyomma testudinarium. This is the third human case of Amblyomma tick infection in Korea.

Citations

Citations to this article as recorded by  Crossref logo
  • A checklist of the ticks of Malaysia (Acari: Argasidae, Ixodidae), with lists of known associated hosts, geographical distribution, type localities, human infestations and pathogens
    ABDUL-RAHMAN KAZIM, JAMAL HOUSSAINI, DENNIS TAPPE, CHONG CHIN HEO
    Zootaxa.2022; 5190(4): 485.     CrossRef
  • Geographic distribution and modeling of ticks in the Republic of Korea and the application of tick models towards understanding the distribution of associated pathogenic agents
    Heidi K. St. John, Penny Masuoka, Ju Jiang, Ratree Takhampunya, Terry A. Klein, Heung-Chul Kim, Sung-Tae Chong, Jin-Won Song, Yu-Jin Kim, Christina M. Farris, Allen L. Richards
    Ticks and Tick-borne Diseases.2021; 12(4): 101686.     CrossRef
  • Francisella-Like Endosymbiont Detected in Haemaphysalis Ticks (Acari: Ixodidae) From the Republic of Korea
    Ratree Takhampunya, Heung-Chul Kim, Sung-Tae Chong, Achareeya Korkusol, Bousaraporn Tippayachai, Silas A Davidson, Jeannine M Petersen, Terry A Klein
    Journal of Medical Entomology.2017; 54(6): 1735.     CrossRef
  • Detection of SFTS Virus inIxodes nipponensisandAmblyomma testudinarium(Ixodida: Ixodidae) Collected From Reptiles in the Republic of Korea
    Jae-Hwa Suh, Heung-Chul Kim, Seok-Min Yun, Jae-Won Lim, Jin-Han Kim, Sung-Tae Chong, Dae-Ho Kim, Hyun-Tae Kim, Hyun Kim, Terry A. Klein, Jaree L. Johnson, Won-Ja Lee
    Journal of Medical Entomology.2016; 53(3): 584.     CrossRef
  • Tick Bite by NymphalAmblyomma testudinarium
    Yeong Ho Kim, Ji Hyun Lee, Young Min Park, Jun Young Lee
    Annals of Dermatology.2016; 28(6): 762.     CrossRef
  • Modulation of host immunity by tick saliva
    Jan Kotál, Helena Langhansová, Jaroslava Lieskovská, John F. Andersen, Ivo M.B. Francischetti, Triantafyllos Chavakis, Jan Kopecký, Joao H.F. Pedra, Michail Kotsyfakis, Jindřich Chmelař
    Journal of Proteomics.2015; 128: 58.     CrossRef
  • 12,820 View
  • 103 Download
  • 10 Web of Science
  • Crossref
Human Sting of Cephalonomia gallicola (Hymenoptera: Bethylidae) in Korea
In-Yong Lee, Chang-Seob Shin, Seobo Sim, Jung-Won Park, Tai-Soon Yong
Korean J Parasitol 2014;52(6):681-684.
Published online December 23, 2014
DOI: https://doi.org/10.3347/kjp.2014.52.6.681

Hymenoptera stings can cause serious injury to humans. We report the clinical findings of 6 cases of Hymenoptera stings. All patients developed painful erythematous papules at the sting sites and had a past history of parasitoid wasp sting. This is the first clinical report of the parasitoid wasp, Cephalonomia gallicola, causing human stings in Korea.

Citations

Citations to this article as recorded by  Crossref logo
  • Human ectoparasitoses caused by flat wasps of the genera Sclerodermus and Cephalonomia (Hymenoptera: Bethylidae)
    Paolo Masini, Luca Stingeni, Gianandrea Salerno, Valerio Saitta, Celso O Azevedo, Manuela Rebora, Matteo Ornielli, Katharina Hansel, Leonardo Bianchi, Gabriele Casciola
    Clinical and Experimental Dermatology.2025; 50(8): 1508.     CrossRef
  • Updated checklist of Iranian Bethylidae (Hymenoptera: Chrysidoidea)
    Hassan Ghahari, Jongok Lim
    Oriental Insects.2019; 53(1): 112.     CrossRef
  • Health Hazards Associated with Arthropod Infestation of Stored Products
    Jan Hubert, Vaclav Stejskal, Christos G. Athanassiou, James E. Throne
    Annual Review of Entomology.2018; 63(1): 553.     CrossRef
  • A Review of Sclerodermus Latreille, 1809 (Hymenoptera: Bethylidae) Infestations and Report of the First Case in North America North of Mexico
    Michael J Skvarla
    Journal of Medical Entomology.2018; 55(3): 752.     CrossRef
  • Bethylids attacking stored‐product pests: an overview
    Marco Amante, Matthias Schöller, Pompeo Suma, Agatino Russo
    Entomologia Experimentalis et Applicata.2017; 163(3): 251.     CrossRef
  • Dermatitis caused by arthropods in domestic environment: an Italian multicentre study
    L. Stingeni, L. Bianchi, K. Hansel, D. Neve, C. Foti, M. Corazza, V. Bini, I. Moretta, M. Principato
    Journal of the European Academy of Dermatology and Venereology.2017; 31(9): 1526.     CrossRef
  • 18,227 View
  • 99 Download
  • 8 Web of Science
  • Crossref
Four Human Cases of Acanthotrema felis (Digenea: Heterophyidae) Infection in Korea
Jong-Yil Chai, Jae-Lip Kim, Min Seo
Korean J Parasitol 2014;52(3):291-294.
Published online June 26, 2014
DOI: https://doi.org/10.3347/kjp.2014.52.3.291

Acanthotrema felis is an intestinal trematode of cats originally reported from the Republic of Korea. Only 1 human case infected with a single adult worm has been previously recorded. In the present study, we report 4 human cases infected with a total of 10 worms recovered after anthelmintic treatment and purging. All 4 patients reside in coastal areas of Jeollanam-do, Korea, and have consumed brackish water fish including the gobies, Acanthogobius flavimanus. The worms averaged 0.47 mm in length and 0.27 mm in width, and had 3 sclerites on the ventrogenital sac; 1 was short and thumb-like, another was long and blunt-ended, and the 3rd was long and broad-tipped. They were identified as A. felis Sohn, Han, & Chai, 2003. Surveys on coastal areas to detect further human cases infected with A. felis are required.

Citations

Citations to this article as recorded by  Crossref logo
  • Cercarial trematodes in freshwater snails from Bangkok, Thailand: prevalence, morphological and molecular studies and human parasite perspective
    Pichit Wiroonpan, Thapana Chontananarth, Watchariya Purivirojkul
    Parasitology.2021; 148(3): 366.     CrossRef
  • Foodborne intestinal flukes: A brief review of epidemiology and geographical distribution
    Jong-Yil Chai, Bong-Kwang Jung
    Acta Tropica.2020; 201: 105210.     CrossRef
  • Fishborne zoonotic heterophyid infections: An update
    Jong-Yil Chai, Bong-Kwang Jung
    Food and Waterborne Parasitology.2017; 8-9: 33.     CrossRef
  • Heterophyid trematodes recovered from people residing along the Boseong River, South Korea
    Jong-Yil Chai, Bong-Kwang Jung, Deok-Gyu Kim, Jae-Lip Kim, Hyemi Lim, Eun-Hee Shin, Keon Hoon Lee, Mok Ryeon Kim, Sun Jin Han, Jae Hyun Yeom, Sun Mi Park, Jae-Sun Hwang
    Acta Tropica.2015; 148: 142.     CrossRef
  • Molecular characterization of Stictodora tridactyla (Trematoda: Heterophyidae) from Kuwait Bay using rDNA ITS and mtCO1
    Wafa Y. Al-Kandari, Majed A. Alnaqeeb, Asha M. Isaac, Suzanne A. Al-Bustan
    Parasitology Research.2015; 114(11): 4259.     CrossRef
  • 9,748 View
  • 87 Download
  • 6 Web of Science
  • Crossref
Two Human Cases of Diphyllobothrium nihonkaiense Infection in Korea
Su-Min Song, Hye-Won Yang, Min Kyu Jung, Jun Heo, Chang Min Cho, Youn-Kyoung Goo, Yeonchul Hong, Dong-Il Chung
Korean J Parasitol 2014;52(2):197-199.
Published online April 18, 2014
DOI: https://doi.org/10.3347/kjp.2014.52.2.197

Diphyllobothrium latum and Diphyllobothrium nihonkaiense are the 2 reported main causes of human diphyllobothriasis in the Republic of Korea. However, the differentiation of these 2 species based on morphologic features alone is difficult. The authors used nucleotide sequencing of the mitochondrial cytochrome c oxidase subunit 1 (cox1) gene to diagnose Diphyllobothrium spp. Two patients visited the emergency room at Kyungpook National University Hospital on 3 April and 12 April 2013, respectively, with fragments of parasites found while defecating. The parasites were identified as Diphyllobothrium spp. based on morphologic characteristics, and subsequent cox1 gene sequencing showed 99.9% similarity (1,478/1,480 bp) with D. nihonkaiense. Our findings support the hypothesis that D. nihonkaiense is a dominant species in Korea.

Citations

Citations to this article as recorded by  Crossref logo
  • Diphyllobothrium nihonkaiense: wide egg size variation in 32 molecularly confirmed adult specimens from Korea
    Seoyun Choi, Jaeeun Cho, Bong-Kwang Jung, Deok-Gyu Kim, Sarah Jiyoun Jeon, Hyeong-Kyu Jeon, Keeseon S. Eom, Jong-Yil Chai
    Parasitology Research.2015; 114(6): 2129.     CrossRef
  • Three Cases of Diphyllobothrium nihonkaiense Infection in Korea
    Hong-Ja Kim, Keeseon S. Eom, Min Seo
    The Korean Journal of Parasitology.2014; 52(6): 673.     CrossRef
  • Extracorporeal Worm Extraction of Diphyllobothrium nihonkaiense with Amidotrizoic Acid in a Child
    Hye Kyung Shin, Joo-Hyung Roh, Jae-Won Oh, Jae-Sook Ryu, Youn-Kyoung Goo, Dong-Il Chung, Yong Joo Kim
    The Korean Journal of Parasitology.2014; 52(6): 677.     CrossRef
  • 9,458 View
  • 100 Download
  • 6 Web of Science
  • Crossref

Brief Communications

Molecular Detection of Ancylostoma duodenale, Ancylostoma ceylanicum, and Necator americanus in Humans in Northeastern and Southern Thailand
Issarapong Phosuk, Pewpan M. Intapan, Tongjit Thanchomnang, Oranuch Sanpool, Penchom Janwan, Porntip Laummaunwai, Witthaya Aamnart, Nimit Morakote, Wanchai Maleewong
Korean J Parasitol 2013;51(6):747-749.
Published online December 31, 2013
DOI: https://doi.org/10.3347/kjp.2013.51.6.747

The 2 principal species of hookworms infecting humans are Necator americanus and Ancylostoma duodenale. Case studies on zoonotic hookworm infections with Ancylostoma ceylanicum and/or Ancylostoma caninum are known mainly from Asian countries. Of these 2 zoonotic species, only A. ceylanicum can develop to adulthood in humans. In the present study, we report a molecular-based survey of human hookworm infections present in southern and northeastern Thailand. Thirty larval hookworm samples were obtained from fecal agar plate cultures of 10 patients in northeastren Thailand and 20 in southern Thailand. Partial ITS1, 5.8S, and ITS2 regions of the ribosomal DNA genes were amplified using PCR. The amplicons were sequenced, aligned, and compared with other hookworm sequences in GenBank database. The results showed that, in Thailand, N. americanus is more prevalent than Ancylostoma spp. and is found in both study areas. Sporadic cases of A. ceylanicum and A. duodenale infection were seen in northeastern Thailand.

Citations

Citations to this article as recorded by  Crossref logo
  • Poor Response to Albendazole in Hookworm‐Infected Abnormal Haemoglobin Carriers
    Attarat Pattanawongsa, Manit Nuinoon, Prasit Na‐ek, Patthanasak Khammaneechan, Blego Sedionoto, Witthaya Anamnart
    Tropical Medicine & International Health.2026;[Epub]     CrossRef
  • Prevalence, risk factors, and zoonotic potential of gastrointestinal helminths in cats: A participatory epidemiological study
    S. Avachare, M. Singh, M. Shakya, A.K. Sharma, N. Bhangale, A. Mourya, G.P. Jatav, N.S. Choudhary
    Journal of Helminthology.2026;[Epub]     CrossRef
  • Efficacy of Simparica Trio® against induced infections of Ancylostoma braziliense and Ancylostoma ceylanicum in dogs
    Raj Packianathan, Andrew Hodge, Natalie Bruellke, Michael Pearce, Frans Selepe, Piyanan Taweethavonsawat, Thomas Geurden
    Parasites & Vectors.2025;[Epub]     CrossRef
  • The occurrence of cross-host species soil-transmitted helminth infections in humans and domestic/livestock animals: A systematic review
    Uniqueky Gratis Mawrie, Riviarynthia Kharkongor, María Martínez Valladares, Stella Kepha, Sitara S. R. Ajjampur, Rajiv Sarkar, Rachel Pullan, Muhammad Asaduzzaman
    PLOS Global Public Health.2025; 5(8): e0004614.     CrossRef
  • Development of loop mediated isothermal amplification assay for rapid detection and its comparison with PCR techniques for Ancylostoma duodenale
    Mamta Thakur, Abhishek Mewara, P. V. M. Lakshmi, Sucheta Guleria, Sumeeta Khurana
    Scientific Reports.2025;[Epub]     CrossRef
  • PERFIL PARASITOLÓGICO DE HORTALIÇAS CULTIVADAS EM HORTAS TRADICIONAIS
    Maria Beatriz Neves Nascimento, Monalissa Dias de Souza, Alexandro de Andrade de Lima, Gislaine Cristina de Souza Melanda, Renato Juciano Ferreira
    Revista Saúde - UNG-Ser.2025;[Epub]     CrossRef
  • Ancylostoma ceylanicum and other zoonotic canine hookworms: neglected public and animal health risks in the Asia–Pacific region
    Jan Clyden B. Tenorio, Ian Kim B. Tabios, Tawin Inpankaew, Adrian P. Ybañez, Saruda Tiwananthagorn, Sirikachorn Tangkawattana, Sutas Suttiprapa
    Animal Diseases.2024;[Epub]     CrossRef
  • Molecular identification and genetic diversity of zoonotic hookworm infections in domestic dogs from northeastern, Thailand
    Rutchanee Rodpai, Oranuch Sanpool, Lakkhana Sadaow, Patcharaporn Boonroumkaew, Pewpan M. Intapan, Wanchai Maleewong, Manachai Yingklang, Penchom Janwan, Kotchaphon Vaisusuk, Wasupon Chatan, Supawadee Piratae, Tongjit Thanchomnang
    Parasitology Research.2024;[Epub]     CrossRef
  • The enhancive effect of the 2014–2016 El Niño-induced drought on the control of soil-transmitted helminthiases without anthelmintics: A longitudinal study
    Attarat Pattanawongsa, Pattanasak Kammaneechan, Prasit Na-ek, Blego Sedionoto, Witthaya Anamnart, Qu Cheng
    PLOS Neglected Tropical Diseases.2024; 18(7): e0012331.     CrossRef
  • Assessment of an Immuno-Diagnostic Method for Hookworm-Related Cutaneous Larva Migrans Using Crude Extracts of Ancylostoma caninum
    Sitthithana Adam, Paron Dekumyoy, Duangporn Nacapunchai, Thawatchai Ketboonlue, Prakaykaew Charunwatthana, Jittima Dhitavat, Khuanchai Koompapong, Putza Chonsawat, Dorn Watthanakulpanich
    Tropical Medicine and Infectious Disease.2023; 8(4): 209.     CrossRef
  • Global distribution of human hookworm species and differences in their morbidity effects: a systematic review
    Archie C A Clements, Kefyalew Addis Alene
    The Lancet Microbe.2022; 3(1): e72.     CrossRef
  • Comparison of percutaneous vs oral infection of hamsters with the hookworm Ancylostoma ceylanicum: Parasite development, pathology and primary immune response
    Richard D. Bungiro, Lisa M. Harrison, Blaise Dondji, Michael Cappello, Maria Angeles Gómez-Morales
    PLOS Neglected Tropical Diseases.2022; 16(1): e0010098.     CrossRef
  • Prevalence of intestinal parasitic infections and genetic differentiation of Strongyloides stercoralis among migrant workers from Myanmar, Lao PDR and Cambodia in northeastern Thailand
    Wararat Sangwalee, Jun Norkaew, Sengchoy Inthachak, Penchom Janwan, Rutchanee Rodpai, Oranuch Sanpool, Lakkhana Sadaow, Patcharaporn Boonroumkaew, Pewpan M. Intapan, Wanchai Maleewong, Tongjit Thanchomnang, Raffi V. Aroian
    PLOS ONE.2022; 17(12): e0279754.     CrossRef
  • Copro-molecular identification of intestinal nematode infections in a rural community in East Malaysia
    Nur-Amirah Hassan, Autchariya Thodsapol, Yvonne Ai Lian Lim, Wan Yusoff Wan Sulaiman, Siti Farah Norasyikeen Sidi Omar, Kamontam Umsakul, Romano Ngui
    Parasitology International.2021; 80: 102237.     CrossRef
  • Soil-transmitted helminths, intestinal protozoa and Clonorchis sinensis infections in southeast China
    Yan Feng, Kegen Yu, Hualiang Chen, Xuan Zhang, Qiaoyi Lu, Xiaoxiao Wang, Xueying Zhang, Linong Yao, Wei Ruan
    BMC Infectious Diseases.2021;[Epub]     CrossRef
  • Zoonotic hookworms of dogs and cats – lessons from the past to inform current knowledge and future directions of research
    Rebecca J. Traub, Patsy A. Zendejas-Heredia, Luca Massetti, Vito Colella
    International Journal for Parasitology.2021; 51(13-14): 1233.     CrossRef
  • Molecular identification of hookworm isolates from stray dogs, humans and selected wildlife from South Africa
    P. I. Ngcamphalala, J. Lamb, S. Mukaratirwa
    Journal of Helminthology.2020;[Epub]     CrossRef
  • Semi-domesticated dogs as a potential reservoir for zoonotic hookworms in Bangkok, Thailand
    Jutamas Wongwigkan, Tawin Inpankaew
    Veterinary World.2020; 13(5): 909.     CrossRef
  • The increased sensitivity of qPCR in comparison to Kato-Katz is required for the accurate assessment of the prevalence of soil-transmitted helminth infection in settings that have received multiple rounds of mass drug administration
    Julia C. Dunn, Marina Papaiakovou, Kay Thwe Han, Darren Chooneea, Alison A. Bettis, Nay Yee Wyine, Aye Moe Moe Lwin, Nay Soe Maung, Raju Misra, D. T. J. Littlewood, Roy M. Anderson
    Parasites & Vectors.2020;[Epub]     CrossRef
  • Zoonotic Ancylostomiasis: An Update of a Continually Neglected Zoonosis
    Katharina Stracke, Aaron R. Jex, Rebecca J. Traub
    The American Journal of Tropical Medicine and Hygiene.2020; 103(1): 64.     CrossRef
  • Of dogs and hookworms: man’s best friend and his parasites as a model for translational biomedical research
    Catherine Shepherd, Phurpa Wangchuk, Alex Loukas
    Parasites & Vectors.2018;[Epub]     CrossRef
  • Prevalence of Hookworm infection and Strongyloidiasis in Cats and Potential Risk Factor of Human Diseases
    Blego Sedionoto, Witthaya Anamnart, Hadiyanto, Sudarno, Maryono
    E3S Web of Conferences.2018; 31: 06002.     CrossRef
  • Molecular characterization of hookworm spp. isolated from food handlers, Khartoum, Sudan: A cross-sectional study
    Tarig A. Gamar, Hassan H. Musa, Hisham N. Altayb, Mohamed H. Mohamed, Adam D. Abakar
    F1000Research.2018; 7: 662.     CrossRef
  • Ancylostoma ceylanicum Hookworm in Myanmar Refugees, Thailand, 2012–2015
    Elise M. O’Connell, Tarissa Mitchell, Marina Papaiakovou, Nils Pilotte, Deborah Lee, Michelle Weinberg, Potsawin Sakulrak, Dilok Tongsukh, Georgiette Oduro-Boateng, Sarah Harrison, Steven A. Williams, William M. Stauffer, Thomas B. Nutman
    Emerging Infectious Diseases.2018;[Epub]     CrossRef
  • Development and Evaluation of a Multiplex Quantitative Real-Time Polymerase Chain Reaction for Hookworm Species in Human Stool
    Sze Fui Hii, Dammika Senevirathna, Stacey Llewellyn, Tawin Inpankaew, Peter Odermatt, Virak Khieu, Sinoun Muth, James McCarthy, Rebecca J. Traub
    The American Journal of Tropical Medicine and Hygiene.2018; 99(5): 1186.     CrossRef
  • Hookworm infections among migrant workers in Malaysia: Molecular identification of Necator americanus and Ancylostoma duodenale
    Norhidayu Sahimin, Yvonne Ai Lian Lim, Benacer Douadi, Mohd Khairul Nizam Mohd Khalid, John-James Wilson, Jerzy M. Behnke, Siti Nursheena Mohd Zain
    Acta Tropica.2017; 173: 109.     CrossRef
  • Prevalence of intestinal parasitic infection and associated risk factors among village health volunteers in rural communities of southern Thailand
    Chuchard Punsawad, Nonthapan Phasuk, Suchirat Bunratsami, Kanjana Thongtup, Niramon Siripakonuaong, Somchok Nongnaul
    BMC Public Health.2017;[Epub]     CrossRef
  • Soil-Transmitted Helminths in Tropical Australia and Asia
    Catherine Gordon, Johanna Kurscheid, Malcolm Jones, Darren Gray, Donald McManus
    Tropical Medicine and Infectious Disease.2017; 2(4): 56.     CrossRef
  • Restoration of hookworm egg development after prolonged storage in stool suspension
    Prasit Na-Ek, Oranuch Sanpool, Jurairat Jongthawin, Witthaya Anamnart, Pewpan M. Intapan, Pennapa Chamavit, Wanchai Maleewong
    Parasitology Research.2016; 115(7): 2817.     CrossRef
  • Prevalence of gastrointestinal helminth parasites of zoonotic significance in dogs and cats in lower Northern Thailand
    Wilawan PUMIDONMING, Doaa SALMAN, Dulyatad GRONSANG, Abdelbaset E. ABDELBASET, Khamphon SANGKAEO, Shin-ichiro KAWAZU, Makoto IGARASHI
    Journal of Veterinary Medical Science.2016; 78(12): 1779.     CrossRef
  • 12,336 View
  • 305 Download
  • Crossref
Human Neurocysticercosis Case and an Endemic Focus of Taenia solium in Lao PDR
Hyeong-Kyu Jeon, Tai-Soon Yong, Woon-Mok Sohn, Jong-Yil Chai, Duk-Young Min, Han-Jong Rim, Bounnaloth Insisiengmay, Keeseon S. Eom
Korean J Parasitol 2013;51(5):599-602.
Published online October 31, 2013
DOI: https://doi.org/10.3347/kjp.2013.51.5.599

A male patient with neurocysticercosis was identified in Montai Village, Xay District, Oudomxay Province, Lao PDR in February 2004. He had a history of diagnosis for neurocysticercosis by a CT scan in Thailand after an onset of epileptic seizure in 1993. A pig in the same district was found to contain Taenia solium metacestodes (=cysticerci); the slaughtered pig body contained more than 2,000 cysticerci. In addition to morphological identification, molecular identification was also performed on the cysticerci by DNA sequencing analysis of the mitochondrial cox1 gene; they were confirmed as T. solium metacestodes. The patient is regarded as an indigenous case of neurocysticercosis infected in an endemic focus of T. solium taeniasis/cysticercosis in Oudomxay Province, Lao PDR.

Citations

Citations to this article as recorded by  Crossref logo
  • The challenges of detecting Taenia solium and neurocysticercosis in low and middle‐income countries: A scoping review of Lao People's Democratic Republic
    Andrew Larkins, Sarah Keatley, Bounnaloth Insisiengmay, Rattanaxay Phetsouvanh, Mieghan Bruce, Amanda Ash
    Tropical Medicine & International Health.2023; 28(5): 344.     CrossRef
  • A Spatial Autocorrelation Method for Taenia solium Risk Mapping: The Case of Lao PDR
    Andrew Larkins, Mieghan Bruce, Amanda Ash
    Tropical Medicine and Infectious Disease.2023; 8(4): 221.     CrossRef
  • Risk mapping for Taenia solium: Applying multicriteria decision analysis in Lao PDR
    Andrew Larkins, Mieghan Bruce, Rattanxay Phetsouvanh, Amanda Ash
    Tropical Medicine & International Health.2023; 28(9): 736.     CrossRef
  • Taeniasis and cysticercosis in Asia: A review with emphasis on molecular approaches and local lifestyles
    Akira Ito, Tiaoying Li, Toni Wandra, Paron Dekumyoy, Tetsuya Yanagida, Munehiro Okamoto, Christine M Budke
    Acta Tropica.2019; 198: 105075.     CrossRef
  • Improved methods to capture the total societal benefits of zoonotic disease control: Demonstrating the cost-effectiveness of an integrated control programme for Taenia solium, soil transmitted helminths and classical swine fever in northern Lao PDR
    Walter O. Okello, Anna L. Okello, Phouth Inthavong, Tassilo Tiemann, Ammaly Phengsivalouk, Brecht Devleesschauwer, Alexandra Shaw, John Allen, Agnes Fleury
    PLOS Neglected Tropical Diseases.2018; 12(9): e0006782.     CrossRef
  • Cysticercosis/taeniasis endemicity in Southeast Asia: Current status and control measures
    Hai-Wei Wu, Akira Ito, Lin Ai, Xiao-Nong Zhou, Luz P. Acosta, Arve Lee Willingham III
    Acta Tropica.2017; 165: 121.     CrossRef
  • Needs of exploring the burden of recent onset seizures due to neurocysticercosis and challenges in southeast Asia focusing on scenario in Malaysia
    Priyadarshi S. Sahu, Yvonne A.L. Lim, Rohela Mahmud, Sushela D. Somanath, Chong T. Tan, C.P. Ramachandran
    Asian Pacific Journal of Tropical Medicine.2017; 10(4): 332.     CrossRef
  • Neurocysticercosis: A case study of a Mongolian traveler who visited China and India with an updated review in Asia
    Anu Davaasuren, Abmed Davaajav, Baigalmaa Ukhnaa, Altantsetseg Purvee, Saraa Unurkhaan, Amartuvshin Luvsan, Jenae E. Logan, Akira Ito
    Travel Medicine and Infectious Disease.2017; 20: 31.     CrossRef
  • A Case of Cerebral Cysticercosis in Thailand
    Samasuk Thammachantha, Ratana Kunnatiranont, Pongwat Polpong
    The Korean Journal of Parasitology.2016; 54(6): 793.     CrossRef
  • Cultural drivers and health-seeking behaviours that impact on the transmission of pig-associated zoonoses in Lao People’s Democratic Republic
    Stephanie Burniston, Anna L Okello, Boualam Khamlome, Phouth Inthavong, Jeffrey Gilbert, Stuart D Blacksell, John Allen, Susan C Welburn
    Infectious Diseases of Poverty.2015;[Epub]     CrossRef
  • Prevalence of Endemic Pig-Associated Zoonoses in Southeast Asia: A Review of Findings from the Lao People's Democratic Republic
    Anna L. Okello, Stephanie Burniston, James V. Conlan, Phouth Inthavong, Boualam Khamlome, Susan C. Welburn, Jeffrey Gilbert, John Allen, Stuart D. Blacksell
    The American Journal of Tropical Medicine and Hygiene.2015; 92(5): 1059.     CrossRef
  • 10,210 View
  • 125 Download
  • Crossref
Current Status of Human Taeniasis in Lao People's Democratic Republic
Hyeong-Kyu Jeon, Tai-Soon Yong, Woon-Mok Sohn, Jong-Yil Chai, Duk-Young Min, Cheong-Ha Yun, Han-Jong Rim, Tiengkham Pongvongsa, Virasack Banouvong, Bounnaloth Insisiengmay, Bounlay Phommasack, Keeseon S. Eom
Korean J Parasitol 2013;51(2):259-263.
Published online April 25, 2013
DOI: https://doi.org/10.3347/kjp.2013.51.2.259

Human taeniasis was investigated in Lao People's Democratic Republic (Lao PDR) between 2000 and 2011 as part of the nation's helminthiasis survey. A total of 55,038 inhabitants, including 29,846 school children, were examined using the Kato-Katz and scotch-tape anal swab method, and morphological observation of adult worms. Molecular identification of Taenia tapeworms was performed by multiplex PCR or DNA sequence analysis of the mitochondrial cox1 gene. Taenia eggs were present at a rate of 1.5% (845/55,038) in the subject population. Adult tapeworms were identified as T. solium or T. saginata by analyzing the collectable stool specimens (n=126). Three specimens identified as T. solium were found in Luang Prabang, while the remaining 123 specimens, which were T. saginata, were found in Bokeo, Bolikhamxay, Champasak, Houaphan, Khammouane, Luang Namta, Luang Prabang, Oudomxay, Phongsaly, Saysomboune, Saravane, Savannakhet, Xayaboury, Xekong, Xieng Khouang Province, and Vientiane Municipality.

Citations

Citations to this article as recorded by  Crossref logo
  • Nationwide spatial dynamics of taeniasis in Thailand: declining prevalence but shifting focus and One Health risk factors across 2008–2014
    Pornphutthachat Sota, Kefyalew Addis Alene, Thitima Wongsaroj, Sirikachorn Tangkawattana, Archie C. A. Clements, Banchob Sripa
    Parasites & Vectors.2025;[Epub]     CrossRef
  • The challenges of detecting Taenia solium and neurocysticercosis in low and middle‐income countries: A scoping review of Lao People's Democratic Republic
    Andrew Larkins, Sarah Keatley, Bounnaloth Insisiengmay, Rattanaxay Phetsouvanh, Mieghan Bruce, Amanda Ash
    Tropical Medicine & International Health.2023; 28(5): 344.     CrossRef
  • A Spatial Autocorrelation Method for Taenia solium Risk Mapping: The Case of Lao PDR
    Andrew Larkins, Mieghan Bruce, Amanda Ash
    Tropical Medicine and Infectious Disease.2023; 8(4): 221.     CrossRef
  • Epidemiology of Taenia saginata taeniosis/cysticercosis: a systematic review of the distribution in East, Southeast and South Asia
    Ramon M. Eichenberger, Lian F. Thomas, Sarah Gabriël, Branco Bobić, Brecht Devleesschauwer, Lucy J. Robertson, Anastasios Saratsis, Paul R. Torgerson, Uffe C. Braae, Veronique Dermauw, Pierre Dorny
    Parasites & Vectors.2020;[Epub]     CrossRef
  • Radiological screening for neurocysticercosis in asymptomatic siblings of children with neurocysticercosis: An observational cohort study
    Roosy Aulakh, Suman Kochhar
    Indian Journal of Child Health.2019; 6(4): 153.     CrossRef
  • Taenia solium, Taenia saginata, Taenia asiatica, their hybrids and other helminthic infections occurring in a neglected tropical diseases' highly endemic area in Lao PDR
    Marcello Otake Sato, Megumi Sato, Tetsuya Yanagida, Jitra Waikagul, Tiengkham Pongvongsa, Yasuhito Sako, Surapol Sanguankiat, Tipparayat Yoonuan, Sengchanh Kounnavang, Satoru Kawai, Akira Ito, Munehiro Okamoto, Kazuhiko Moji, Juan Pedro Laclette
    PLOS Neglected Tropical Diseases.2018; 12(2): e0006260.     CrossRef
  • Neurocysticercosis: a review on status in India, management, and current therapeutic interventions
    Rumana Ahmad, Tahmeena Khan, Bilal Ahmad, Aparna Misra, Anil K. Balapure
    Parasitology Research.2017; 116(1): 21.     CrossRef
  • Genetic diversity of Taenia saginata (Cestoda: Cyclophyllidea) from Lao People’s Democratic Republic and northeastern Thailand based on mitochondrial DNA
    Oranuch Sanpool, Rutchanee Rodpai, Pewpan M. Intapan, Lakkhana Sadaow, Tongjit Thanchomnang, Sakhone Laymanivong, Wanchai Maleewong, Hiroshi Yamasaki
    Parasites & Vectors.2017;[Epub]     CrossRef
  • Intestinal Parasitic Infections and Environmental Water Contamination in a Rural Village of Northern Lao PDR
    Alexis Ribas, Chloé Jollivet, Serge Morand, Boupha Thongmalayvong, Silaphet Somphavong, Chern-Chiang Siew, Pei-Jun Ting, Saipin Suputtamongkol, Viengsaene Saensombath, Surapol Sanguankiat, Boon-Huan Tan, Phimpha Paboriboune, Kongsap Akkhavong, Kittipong C
    The Korean Journal of Parasitology.2017; 55(5): 523.     CrossRef
  • Recent advances and perspectives in molecular epidemiology of Taenia solium cysticercosis
    Akira Ito, Tetsuya Yanagida, Minoru Nakao
    Infection, Genetics and Evolution.2016; 40: 357.     CrossRef
  • Monitoring the outcomes of interventions against Taenia solium: options and suggestions
    M. W. Lightowlers, H. H. Garcia, C. G. Gauci, M. Donadeu, B. Abela‐Ridder
    Parasite Immunology.2016; 38(3): 158.     CrossRef
  • Taenia solium Taeniasis and Cysticercosis in Southeast Asia
    Denis W. Spelman, Ar Kar Aung
    The American Journal of Tropical Medicine and Hygiene.2016; 94(5): 947.     CrossRef
  • Schistosoma mansoni antigen detects Schistosoma mekongi infection
    Beatrice Nickel, Somphou Sayasone, Youthanavanh Vonghachack, Peter Odermatt, Hanspeter Marti
    Acta Tropica.2015; 141: 310.     CrossRef
  • Intestinal Helminths Recovered from Humans in Xieng Khouang Province, Lao PDR with a Particular Note on <i>Haplorchis pumilio</i> Infection
    Jong-Yil Chai, Woon-Mok Sohn, Bong-Kwang Jung, Tai-Soon Yong, Keeseon S. Eom, Duk-Young Min, Bounnaloth Insisiengmay, Sithat Insisiengmay, Bounlay Phommasack, Han-Jong Rim
    The Korean Journal of Parasitology.2015; 53(4): 439.     CrossRef
  • Prevalence of Endemic Pig-Associated Zoonoses in Southeast Asia: A Review of Findings from the Lao People's Democratic Republic
    Anna L. Okello, Stephanie Burniston, James V. Conlan, Phouth Inthavong, Boualam Khamlome, Susan C. Welburn, Jeffrey Gilbert, John Allen, Stuart D. Blacksell
    The American Journal of Tropical Medicine and Hygiene.2015; 92(5): 1059.     CrossRef
  • Prevalence of Helminthic Infections among Inhabitants of Lao PDR
    Keeseon S. Eom, Tai-Soon Yong, Woon-Mok Sohn, Jong-Yil Chai, Duk-Young Min, Han-Jong Rim, Hyeong-Kyu Jeon, Virasack Banouvong, Bounnaloth Insisiengmay, Bounlay Phommasack
    The Korean Journal of Parasitology.2014; 52(1): 51.     CrossRef
  • Molecular diagnosis in clinical parasitology: When and why?
    Samson SY Wong, Kitty SC Fung, Sandy Chau, Rosana WS Poon, Sally CY Wong, Kwok-Yung Yuen
    Experimental Biology and Medicine.2014; 239(11): 1443.     CrossRef
  • Molecular Testing for Clinical Diagnosis and Epidemiological Investigations of Intestinal Parasitic Infections
    Jaco J. Verweij, C. Rune Stensvold
    Clinical Microbiology Reviews.2014; 27(2): 371.     CrossRef
  • Human Neurocysticercosis Case and an Endemic Focus of Taenia solium in Lao PDR
    Hyeong-Kyu Jeon, Tai-Soon Yong, Woon-Mok Sohn, Jong-Yil Chai, Duk-Young Min, Han-Jong Rim, Bounnaloth Insisiengmay, Keeseon S. Eom
    The Korean Journal of Parasitology.2013; 51(5): 599.     CrossRef
  • 9,878 View
  • 91 Download
  • Crossref

Articles from Symposium on Asian Taenia (October 2011, Osong, Korea)s

Taenia asiatica: the Most Neglected Human Taenia and the Possibility of Cysticercosis
M. Teresa Gal?n-Puchades, Mario V. Fuentes
Korean J Parasitol 2013;51(1):51-54.
Published online February 18, 2013
DOI: https://doi.org/10.3347/kjp.2013.51.1.51

Not only Taenia solium and Taenia saginata, but also Taenia asiatica infects humans. The last species is not included in the evaluation of the specificity of the immunodiagnostic techniques for taeniasis/cysticercosis. There is currently no specific immunodiagnostic method for T. asiatica available. Therefore, due to the fact that molecular techniques (the only tool to distinguish the 3 Taenia species) are normally not employed in routine diagnostic methods, the 2 questions concerning T. asiatica (its definite geographic distribution and its ability to cause human cysticercosis), remain open, turning T. asiatica into the most neglected agent of human taeniasis-cysticercosis.

Citations

Citations to this article as recorded by  Crossref logo
  • On the etiology of a case of human liver cysticercosis in India
    María Teresa Galán-Puchades, Màrius V. Fuentes
    Tropical Parasitology.2025; 15(1): 59.     CrossRef
  • Potential of Aframomum melegueta and Xylopia aethiopica Against Taenia spp.: Plant-Based Remedies as Novel Anthelmintics
    Fekandine V. Douti, Gnatoulma Katawa, Kathrin Arndts, Fagdéba D. Bara, Essimanam R. Awesso, Simplice D. Karou, Achim Hoerauf, Manuel Ritter
    Pharmaceuticals.2025; 18(5): 749.     CrossRef
  • Novel Oral papaya-based preventive and therapeutic vaccine for controlling different zoonotic Taeniid parasites: Current advances
    Marisela Hernández, Anabel Ortiz Caltempa, Nelly Villalobos, María Celina Elisondo, Cynthia Guzmán, Juan A. Hernández-Aceves, Liliana Aguilar, Ivan Flores-Pérez, José Juan Martínez, Sahara D. Elguea Zarate, Maria Jesús Perteguer Prieto, Gabriela Meneses,
    Vaccine.2025; 66: 127818.     CrossRef
  • Edukasi tentang Deteksi Dini, Pengobatan, dan Pencegahan Kejadian Taeniasis oleh Taenia asiatica di Desa Negeri Dolok, Kecamatan Silau Kahean, Kabupaten Simalungun
    Ichwan Alamsyah Lubis, Ramadhan Bestari, Umar Zein, Pandu Prabowo Warsodirejo
    Wahana Jurnal Pengabdian kepada Masyarakat.2024; 2(2): 53.     CrossRef
  • An inclusive approach to designing a multi-epitope chimeric vaccine for Taenia infections by integrating proteomics and reverse vaccinology
    Swati Sharma, Ujjawal Sharan, Rimanpreet Kaur, Anubha Chaudhary, Suraj S. Rawat, Anand K. Keshri, Naina Arora, Amit Prasad
    Frontiers in Tropical Diseases.2024;[Epub]     CrossRef
  • Taeniasis impacts human gut microbiome composition and function
    Wenjie Mu, Pingping Ma, Yugui Wang, Yaqi Li, Yingying Ding, Yang Zou, Lixia Pu, Qi Yan, Haoyue Kong, Xiaola Guo, Aijiang Guo, Hailong Li, Shuai Wang
    The ISME Journal.2024;[Epub]     CrossRef
  • Identification and phylogenetic analysis of Taenia spp. parasites found in wildlife in the Emilia-Romagna region, northern Italy (2017–2022)
    Simone Bariselli, Giulia Maioli, Giovanni Pupillo, Mattia Calzolari, Deborah Torri, Letizia Cirasella, Andrea Luppi, Camilla Torreggiani, Chiara Garbarino, Filippo Barsi, Gianluca Rugna, Michele Dottori
    International Journal for Parasitology: Parasites and Wildlife.2023; 22: 20.     CrossRef
  • Molecular Identification and Appraisal of the Genetic Variation of Taenia saginata in Central Regions of Vietnam
    Giang Tran Thi, Ilenia Azzena, Fabio Scarpa, Piero Cossu, Cong Danh Le, Phuong Anh Ton Nu, Thi Minh Chau Ngo, Daria Sanna, Marco Casu
    Life.2022; 12(1): 70.     CrossRef
  • On Hazardous Pills for Weight Loss and Cysticercosis
    María Teresa Galán-Puchades, Màrius V. Fuentes
    The American Journal of Tropical Medicine and Hygiene.2022; 107(1): 216.     CrossRef
  • Genomic palaeoparasitology traced the occurrence of Taenia asiatica in ancient Iran (Sassanid Empire, 2th cent. CE–6th cent. CE)
    Zeynab Askari, Frank Ruehli, Abigail Bouwman, Vahid Shariati, Saied Reza Naddaf, Domenico Otranto, Santiago Mas-Coma, Mostafa Rezaeian, Nicole Boenke, Thomas Stöllner, Abolfazl Aali, Iraj Mobedi, Gholamreza Mowlavi
    Scientific Reports.2022;[Epub]     CrossRef
  • Zoonotic Taenia infections with focus on cysticercosis due to Taenia solium in swine and humans
    Fela Mendlovic, Agnes Fleury, Ana Flisser
    Research in Veterinary Science.2021; 134: 69.     CrossRef
  • Transcriptome Analysis and Autophagy Investigation of LoVo Cells Stimulated with Exosomes Derived from T. asiatica Adult Worms
    Panhong Liang, Yanping Li, Li Mao, Tingli Liu, Shaohua Zhang, Muhammad Ehsan, Liqun Wang, Aimin Guo, Guoliang Chen, Xuenong Luo
    Microorganisms.2021; 9(5): 994.     CrossRef
  • Teniases caused by Taenia asiatica, Taenia saginata, Taenia solium
    S. B. Chuelov, A. L. Rossina
    CHILDREN INFECTIONS.2021; 20(4): 42.     CrossRef
  • A comparison of ancient parasites as seen from archeological contexts and early medical texts in China
    Hui-Yuan Yeh, Xiaoya Zhan, Wuyun Qi
    International Journal of Paleopathology.2019; 25: 30.     CrossRef
  • High prevalence of taeniasis and Taenia solium cysticercosis in children in western Sichuan, China
    Tiaoying Li, Xingwang Chen, Hao Wang, John J. Openshaw, Bo Zhong, Stephen A. Felt, Akira Ito, Stephen P. Luby
    Acta Tropica.2019; 199: 105133.     CrossRef
  • Ten Cases of Taenia saginata Infection Confirmed by Analysis of the Internal Transcribed Spacer 1 rDNA Region in the Republic of Korea
    Su-Min Song, Hae Soo Yun, Dorene VanBik, Hyun-Ha Chang, Sang-Ah Lee, Shin-Woo Kim, Namhee Ryoo, Dong Yeub Eun, Nan Young Lee, Youn-Kyoung Goo, Yeonchul Hong, Meesun Ock, Hee-Jae Cha, Dong-Il Chung
    The Korean Journal of Parasitology.2019; 57(4): 417.     CrossRef
  • Surveillance and diagnosis of zoonotic foodborne parasites
    Reza Zolfaghari Emameh, Sami Purmonen, Antti Sukura, Seppo Parkkila
    Food Science & Nutrition.2018; 6(1): 3.     CrossRef
  • Practical Guidance for Clinical Microbiology Laboratories: Laboratory Diagnosis of Parasites from the Gastrointestinal Tract
    Lynne S. Garcia, Michael Arrowood, Evelyne Kokoskin, Graeme P. Paltridge, Dylan R. Pillai, Gary W. Procop, Norbert Ryan, Robyn Y. Shimizu, Govinda Visvesvara
    Clinical Microbiology Reviews.2018;[Epub]     CrossRef
  • Comparative genomics reveals adaptive evolution of Asian tapeworm in switching to a new intermediate host
    Shuai Wang, Sen Wang, Yingfeng Luo, Lihua Xiao, Xuenong Luo, Shenghan Gao, Yongxi Dou, Huangkai Zhang, Aijiang Guo, Qingshu Meng, Junling Hou, Bing Zhang, Shaohua Zhang, Meng Yang, Xuelian Meng, Hailiang Mei, Hui Li, Zilong He, Xueliang Zhu, Xinyu Tan, Xi
    Nature Communications.2016;[Epub]     CrossRef
  • Taenia solium Taeniasis and Cysticercosis in Southeast Asia
    Denis W. Spelman, Ar Kar Aung
    The American Journal of Tropical Medicine and Hygiene.2016; 94(5): 947.     CrossRef
  • Epidemiology and genetic diversity of Taenia asiatica: a systematic review
    Anita Ale, Bjorn Victor, Nicolas Praet, Sarah Gabriël, Niko Speybroeck, Pierre Dorny, Brecht Devleesschauwer
    Parasites & Vectors.2014;[Epub]     CrossRef
  • Response to Galán-Puchades and Fuentes: Taenia asiatica: neglected – but not forgotten – and almost certainly being quietly globalised
    Lucy J. Robertson, Hein Sprong, Ynes Ortega, Joke W.B. van der Giessen, Ron Fayer
    Trends in Parasitology.2014; 30(2): 56.     CrossRef
  • 16,441 View
  • 205 Download
  • Crossref
Molecular Approaches to Taenia asiatica
Hyeong-Kyu Jeon, Keeseon S. Eom
Korean J Parasitol 2013;51(1):1-8.
Published online February 18, 2013
DOI: https://doi.org/10.3347/kjp.2013.51.1.1

Taenia solium, T. saginata, and T. asiatica are taeniid tapeworms that cause taeniasis in humans and cysticercosis in intermediate host animals. Taeniases remain an important public health concerns in the world. Molecular diagnostic methods using PCR assays have been developed for rapid and accurate detection of human infecting taeniid tapeworms, including the use of sequence-specific DNA probes, PCR-RFLP, and multiplex PCR. More recently, DNA diagnosis using PCR based on histopathological specimens such as 10% formalin-fixed paraffin-embedded and stained sections mounted on slides has been applied to cestode infections. The mitochondrial gene sequence is believed to be a very useful molecular marker for not only studying evolutionary relationships among distantly related taxa, but also for investigating the phylo-biogeography of closely related species. The complete sequence of the human Taenia tapeworms mitochondrial genomes were determined, and its organization and structure were compared to other human-tropic Taenia tapeworms for which complete mitochondrial sequence data were available. The multiplex PCR assay with the Ta4978F, Ts5058F, Tso7421F, and Rev7915 primers will be useful for differential diagnosis, molecular characterization, and epidemiological surveys of human Taenia tapeworms.

Citations

Citations to this article as recorded by  Crossref logo
  • Complete mitogenome sequence of Caryophyllaeus brachycollis (Cestoda: Caryophyllidae) from China: Characterization and phylogenetic analyses of Caryophyllidea
    Yi-Liu Liu, Ya Zhang, Yi-Tian Fu, Guo-Hua Liu, Hui-Mei Wang, Yuan-Ping Deng
    Parasites, Hosts and Diseases.2025; 63(4): 317.     CrossRef
  • Identification and functional characterization of the siRNA pathway in Taenia crassiceps by silencing Enolase A
    Julio Guerrero-Hernández, Raúl J. Bobes, Martín García-Varela, Alejandro Castellanos-Gonzalez, Juan P. Laclette
    Acta Tropica.2022; 225: 106197.     CrossRef
  • Taenia saginata Infection Misdiagnosed as Acute Cholecystitis in a Tibetan Patient, in China
    Xiu-Min Han, Xue-Yong Zhang, Ying-Na Jian, Qing-Shan Tian
    The Korean Journal of Parasitology.2021; 59(3): 311.     CrossRef
  • Current status of Opisthorchis viverrini, minute intestinal fluke and Taenia spp. infections among inhabitants in the Kenethao district of northern Lao PDR
    Phasouk Senephansiri, Thaksaporn Thongseesuksai, Phaviny Sithay, Sakhone Laymanivong, Thidarut Boonmar, Porntip Laummaunwai
    Transactions of The Royal Society of Tropical Medicine and Hygiene.2020; 114(5): 397.     CrossRef
  • Recent advances in nucleic acid-based methods for detection of helminth infections and the perspective of biosensors for future development
    Hanif Ullah, Abdul Qadeer, Muhammad Rashid, Muhammad Imran Rashid, Guofeng Cheng
    Parasitology.2020; 147(4): 383.     CrossRef
  • Mitochondrial Genome Sequences of <i>Spirometra erinaceieuropaei</i> and <i>S. decipiens</i> (Cestoidea: Diphyllobothriidae)
    Keeseon S. Eom, Hansol Park, Dongmin Lee, Seongjun Choe, Kyu-Heon Kim, Hyeong-Kyu Jeon
    The Korean Journal of Parasitology.2015; 53(4): 455.     CrossRef
  • Methods for Quantification of Soil-Transmitted Helminths in Environmental Media: Current Techniques and Recent Advances
    Philip A. Collender, Amy E. Kirby, David G. Addiss, Matthew C. Freeman, Justin V. Remais
    Trends in Parasitology.2015; 31(12): 625.     CrossRef
  • Rapid Molecular Identification of Human Taeniid Cestodes by Pyrosequencing Approach
    Tongjit Thanchomnang, Chairat Tantrawatpan, Pewpan M. Intapan, Oranuch Sanpool, Penchom Janwan, Viraphong Lulitanond, Somjintana Tourtip, Hiroshi Yamasaki, Wanchai Maleewong, Emmanuel Dias-Neto
    PLoS ONE.2014; 9(6): e100611.     CrossRef
  • Control of cysticercosis in Madagascar: beware of the pitfalls
    Harentsoaniaina Rasamoelina-Andriamanivo, Vincent Porphyre, Ronan Jambou
    Trends in Parasitology.2013; 29(11): 538.     CrossRef
  • 12,484 View
  • 120 Download
  • Crossref

Brief Communication

Two Human Cases Infected by the Horsehair Worm, Parachordodes sp. (Nematomorpha: Chordodidae), in Japan
Minoru Yamada, Tatsuya Tegoshi, Niichiro Abe, Misako Urabe
Korean J Parasitol 2012;50(3):263-267.
Published online August 13, 2012
DOI: https://doi.org/10.3347/kjp.2012.50.3.263

The present study was performed to describe 2 human cases infected by the horsehair worm, Parachordodes sp., in Japan. Two gordiid worms were collected in the vomit and excreta of an 80-year-old woman in November 2009 in Kyoto city, and in the mouth of 1-year-old boy in December 2009 in Nara city, Japan, respectively. Both worms were males having bifurcated posterior ends and male gonads in cross sectional specimens. They were identified as Parachordodes sp. (Nematomorpha: Chordodidae) based on the characteristic morphologies of cross sections and areoles in the cuticle. DNA analysis on 18S rRNA partial sequence arrangements was also carried out and both worms were assumed to be close to the genus Paragordionus based on tree analysis, and far from Gordius sp. which has already been reported in humans in Japan. DNA sequencing of the Parachordodes worm does not appear on the database; therefore, more information on the gene sequences of the genus Parachordodes from humans, animals, or intermediates is required.

Citations

Citations to this article as recorded by  Crossref logo
  • Oral cavity myiasis and mouth parasitic infestations: A systematic review
    Felice Lorusso, Iris Alla, Sergio Rexhep Tari, Sergio Alexandre Gehrke, Antonio Scarano
    Journal of Stomatology Oral and Maxillofacial Surgery.2025; 126(5): 102425.     CrossRef
  • Invisible tenants: a case of parasitism in Akymnopellis chilensis (Gervais, 1847) (Chilopoda: Scolopendromorpha: Scolopendridae)
    E. Vega-Román
    Journal of Natural History.2025; 59(37-40): 2405.     CrossRef
  • Foodborne Diseases in the Edible Insect Industry in Europe—New Challenges and Old Problems
    Remigiusz Gałęcki, Tadeusz Bakuła, Janusz Gołaszewski
    Foods.2023; 12(4): 770.     CrossRef
  • Expression of Hairpin-Enriched Mitochondrial DNA in Two Hairworm Species (Nematomorpha)
    Olga V. Nikolaeva, Aleksandra M. Beregova, Boris D. Efeykin, Tatiana S. Miroliubova, Andrey Yu. Zhuravlev, Andrey Yu. Ivantsov, Kirill V. Mikhailov, Sergei E. Spiridonov, Vladimir V. Aleoshin
    International Journal of Molecular Sciences.2023; 24(14): 11411.     CrossRef
  • An annotated checklist of the eukaryotic parasites of humans, exclusive of fungi and algae
    Blaine A. Mathison, Sarah G. H. Sapp
    ZooKeys.2021; 1069: 1.     CrossRef
  • Laboratory Identification of Arthropod Ectoparasites
    Blaine A. Mathison, Bobbi S. Pritt
    Clinical Microbiology Reviews.2014; 27(1): 48.     CrossRef
  • 20,172 View
  • 130 Download
  • Crossref

Case Reports

The First Human Case of Thelazia callipaeda Infection in Vietnam
Nguyen Van De, Thanh Hoa Le, Jong-Yil Chai
Korean J Parasitol 2012;50(3):221-223.
Published online August 13, 2012
DOI: https://doi.org/10.3347/kjp.2012.50.3.221

A 26-year-old man residing in a village of Thai Nguyen Province, North Vietnam, visited the Thai Nguyen Provincial Hospital in July 2008. He felt a bulge-sticking pain in his left eye and extracted 5 small nematode worms by himself half a day before visiting the hospital. Two more worms were extracted from his left eye by a medical doctor, and they were morphologically observed and genetically analyzed on the mitochondrial cytochrome c oxidase 1 gene. The worms were 1 male and 1 female, and genetically identical with those of Thelazia callipaeda. By the present study, the presence of human T. callipaeda infection is first reported in Vietnam.

Citations

Citations to this article as recorded by  Crossref logo
  • Clinical and parasitological significance of thelaziosis in dogs and cats
    Milan Hadzi-Milic, Andjelka Lesevic, Petar Krivokuca, Nemanja Jovanovic, Tamara Ilic
    Veterinarski glasnik.2025; 79(1): 20.     CrossRef
  • The Vector-Borne Zoonotic Nematode Thelazia callipaeda in the Eastern Part of Europe, with a Clinical Case Report in a Dog in Poland
    Leszek Rolbiecki, Joanna N. Izdebska, Marta Franke, Lech Iliszko, Sławomira Fryderyk
    Pathogens.2021; 10(1): 55.     CrossRef
  • A Case of Human Thelaziasis and Review of Chinese Cases
    Shi Nan Liu, Fang Fang Xu, Wen Qing Chen, Peng Jiang, Jing Cui, Zhong Quan Wang, Xi Zhang
    Acta Parasitologica.2020; 65(3): 783.     CrossRef
  • A human corneal ulcer caused by Thelazia callipaeda in Southwest China: case report
    Xiaoxing Wei, Bo Liu, Yijian Li, Ke Wang, Lixia Gao, Yuli Yang
    Parasitology Research.2020; 119(10): 3531.     CrossRef
  • Thelaziosis due to Thelazia callipaeda in Europe in the 21st century—A review
    Beatriz do Vale, Ana Patrícia Lopes, Maria da Conceição Fontes, Mário Silvestre, Luís Cardoso, Ana Cláudia Coelho
    Veterinary Parasitology.2019; 275: 108957.     CrossRef
  • Human Thelaziasis: Emerging Ocular Pathogen in Nepal
    Ranjit Sah, Shusila Khadka, Mahesh Adhikari, Reema Niraula, Apoorva Shah, Anadi Khatri, Suzanne Donovan
    Open Forum Infectious Diseases.2018;[Epub]     CrossRef
  • Morphological and Mitochondrial Genomic Characterization of Eyeworms (Thelazia callipaeda) from Clinical Cases in Central China
    Xi Zhang, Ya L. Shi, Zhong Q. Wang, Jiang Y. Duan, Peng Jiang, Ruo D. Liu, Jing Cui
    Frontiers in Microbiology.2017;[Epub]     CrossRef
  • Coinfection with Herpes Zoster Ophthalmicus and Oriental Eye Worm in a Rural Woman: The First Report of an Unusual Case
    Kyung Sik Seo, Hye Min Lee, Ho Joon Shin, Joong Sun Lee
    Annals of Dermatology.2014; 26(1): 125.     CrossRef
  • 9,898 View
  • 83 Download
  • Crossref
Four Human Cases of Diphyllobothrium latum Infection
Hee-Jung Choi, Junghye Lee, Hyun-Jong Yang
Korean J Parasitol 2012;50(2):143-146.
Published online May 24, 2012
DOI: https://doi.org/10.3347/kjp.2012.50.2.143

Diphyllobothrium latum infections in 4 young Korean men detected from 2008 to 2012 are presented. Three were diagnosed based on spontaneously discharged strobila of the adult worm in their feces, and 1 case was diagnosed by finding the worm at colonoscopy examination in a local clinic. The morphologic characteristics of the gravid proglottid and eggs were consistent with D. latum. All patients were treated with praziquantel 15 mg/kg, and follow-up stool examinations were done at 2 months after the medication. The main clinical complaints were intermittent gastrointestinal troubles such as indigestion, abdominal distension, and spontaneous discharge of tapeworm's segments in their feces. The most probable source of infection was the flesh of salmon or trout according to a patient's past history. These are the 45th to 48th recorded cases diagnosed by the adult worm in the Republic of Korea since 1971.

Citations

Citations to this article as recorded by  Crossref logo
  • Epidemiological studies of Isoparorchis hypselobagri (Digenea: Trematoda) infecting freshwater catfish Wallago attu in the Aligarh region of Uttar Pradesh
    Anam Sahreen, Mohammad Khalid Saifullah
    Journal of Parasitic Diseases.2024; 48(3): 642.     CrossRef
  • Presentación inusual de Diphyllobothrium pacificum: un caso de ileítis simulando linfoma
    Siomara Aransuzú Chávez-Sánchez, David Rafael Guevara-Lazo, Álvaro Bellido-Caparó, José Luis Pinto-Valdivia
    Revista de Gastroenterología del Perú.2024; 44(3): 288.     CrossRef
  • A Systematic Review of Zoonotic Enteric Parasites in Synanthropic Mammalian Species in Florida
    Jeffrey M. Perera, Claire Gurtler, Amber N. Barnes
    Pathogens.2024; 13(12): 1065.     CrossRef
  • A comparison of ancient parasites as seen from archeological contexts and early medical texts in China
    Hui-Yuan Yeh, Xiaoya Zhan, Wuyun Qi
    International Journal of Paleopathology.2019; 25: 30.     CrossRef
  • Repertory of eukaryotes (eukaryome) in the human gastrointestinal tract: taxonomy and detection methods
    I. Hamad, D. Raoult, F. Bittar
    Parasite Immunology.2016; 38(1): 12.     CrossRef
  • Fish-borne, zoonotic cestodes (Diphyllobothrium and relatives) in cold climates: A never-ending story of neglected and (re)-emergent parasites
    Tom?? Scholz, Roman Kuchta
    Food and Waterborne Parasitology.2016;[Epub]     CrossRef
  • Diphyllobothrium latuminfection in a child with recurrent abdominal pain
    Seung Hyun Lee, Hyun Park, Seung Taek Yu
    Korean Journal of Pediatrics.2015; 58(11): 451.     CrossRef
  • Two Human Cases of Diphyllobothrium nihonkaiense Infection in Korea
    Su-Min Song, Hye-Won Yang, Min Kyu Jung, Jun Heo, Chang Min Cho, Youn-Kyoung Goo, Yeonchul Hong, Dong-Il Chung
    The Korean Journal of Parasitology.2014; 52(2): 197.     CrossRef
  • Three Cases of Diphyllobothrium nihonkaiense Infection in Korea
    Hong-Ja Kim, Keeseon S. Eom, Min Seo
    The Korean Journal of Parasitology.2014; 52(6): 673.     CrossRef
  • A Case of Diphyllobothrium nihonkaiense Infection as Confirmed by Mitochondrial COX1 Gene Sequence Analysis
    Sang Hyun Park, Keeseon S. Eom, Min Sun Park, Oh Kyoung Kwon, Hyo Sun Kim, Jai Hoon Yoon
    The Korean Journal of Parasitology.2013; 51(4): 471.     CrossRef
  • Clinical Update on Parasitic Diseases
    Min Seo
    Korean Journal of Medicine.2013; 85(5): 469.     CrossRef
  • An Unexpected Finding of Diphyllobothrium nihonkaiense in a Patient with Inflammatory Bowel Disease
    Mawuli Attipoe, William Putnam, Charles Sturgis
    Laboratory Medicine.2013; 44(4): e124.     CrossRef
  • 11,919 View
  • 143 Download
  • Crossref

Brief Communication

Susceptibility of Mice to Trypanosoma evansi Treated with Human Plasma Containing Different Concentrations of Apolipoprotein L-1
Aleksandro S. Da Silva, Vinicius R. Fanfa, Mateus A. Otto, Lucas T. Gressler, Kaio C.S. Tavares, C?cera R. Lazzarotto, Alexandre A. Tonin, Luiz C. Miletti, Marta M.M.F. Duarte, Silvia G. Monteiro
Korean J Parasitol 2011;49(4):427-430.
Published online December 16, 2011
DOI: https://doi.org/10.3347/kjp.2011.49.4.427

The aim of this study was to test the susceptibility of mice to Trypanosoma evansi treated with human plasma containing different concentrations of apolipoprotein L-1 (APOL1). For this experiment, a strain of T. evansi and human plasma (plasmas 1, 2, and 3) from 3 adult males clinically healthy were used. In vivo test used 50 mice divided in 5 groups (A to E) with 10 animals in each group. Animals of groups B to E were infected, and then treated with 0.2 ml of human plasma in the following outline: negative control (A), positive control (B), treatment with plasma 1 (C), treatment with plasma 2 (D), and treatment with plasma 3 (E). Mice treated with human plasma showed an increase in longevity of 40.9±0.3 (C), 20±9.0 (D) and 35.6±9.3 (E) days compared to the control group (B) which was 4.3±0.5 days. The number of surviving mice and free of the parasite (blood smear and PCR negative) at the end of the experiment was 90%, 0%, and 60% for groups C, D, and E, respectively. The quantification of APOL1 was performed due to the large difference in the treatments that differed in the source plasma. In plasmas 1, 2, and 3 was detected the concentration of 194, 99, and 115 mg/dl of APOL1, respectively. However, we believe that this difference in the treatment efficiency is related to the level of APOL1 in plasmas.

Citations

Citations to this article as recorded by  Crossref logo
  • The effect of normal human serum on the mouse trypanosome Trypanosoma musculi in vitro and in vivo
    Xuan Zhang, Xiao-Kun Hong, Su-Jin Li, De-Hua Lai, Geoff Hide, Zhao-Rong Lun, Yan-Zi Wen
    Experimental Parasitology.2018; 184: 115.     CrossRef
  • Pre-treatment with curcumin modulates acetylcholinesterase activity and proinflammatory cytokines in rats infected with Trypanosoma evansi
    Patrícia Wolkmer, Cássia B. da Silva, Francine C. Paim, Marta M.M.F. Duarte, Verônica Castro, Heloisa E. Palma, Raqueli T. França, Diandra V. Felin, Lucas C. Siqueira, Sonia T.A. Lopes, Maria Rosa C. Schetinger, Silvia G. Monteiro, Cinthia M. Mazzanti
    Parasitology International.2013; 62(2): 144.     CrossRef
  • 9,314 View
  • 69 Download
  • Crossref

Case Report

Recurrent Hepatic Alveolar Echinococcosis: Report of The First Case in Korea with Unproven Infection Route
Su-Jin Kim, Jong-Han Kim, Sang-Young Han, Young-Hoon Kim, Jin-Han Cho, Jong-Yil Chai, Jin-Sook Jeong
Korean J Parasitol 2011;49(4):413-418.
Published online December 16, 2011
DOI: https://doi.org/10.3347/kjp.2011.49.4.413

Human alveolar echinococcosis (AE), a hepatic disorder that resembles liver cancer, is a highly aggressive and lethal zoonotic infection caused by the larval stage of the fox tapeworm, Echinococcus multilocularis. E. multilocularis is widely distributed in the northern hemisphere; the disease-endemic area stretches from north America through Europe to central and east Asia, including northern parts of Japan, but it has not been reported in Korea. Herein, we represent a first case of AE in Korea. A 41-year-old woman was found to have a large liver mass on routine medical examination. The excised mass showed multinodular, necrotic, and spongiform appearance with small irregular pseudocystic spaces. Microscopically, the mass was composed of chronic granulomatous inflammation with extensive coagulation necrosis and parasite-like structure, which was revealed as parasitic vesicles and laminated layer delineated by periodic acid-Schiff (PAS) stain. Clinical and histologic features were consistent with AE. After 8 years, a new liver mass and multiple metastatic pulmonary nodules were found and the recurred mass showed similar histologic features to the initial mass. She had never visited endemic areas of AE, and thus the exact infection route is unclear.

Citations

Citations to this article as recorded by  Crossref logo
  • Delayed Diagnosis of Imported Cystic Echinococcosis and Successful Treatment With Percutaneous Drainage and Albendazole in Korea: A Case Report
    Won Jun Choi, Hanna Jin, Hyeon Jae Jo, Chan Mi Lee, Chang Kyung Kang, Pyoeng Gyun Choe, Wan Beom Park, Nam Joong Kim, Min-Ho Choi
    Journal of Korean Medical Science.2025;[Epub]     CrossRef
  • Imported parasitic diseases in the Republic of Korea: status and issues
    Jong-Yil Chai
    Journal of the Korean Medical Association.2025; 68(1): 52.     CrossRef
  • Comparative analysis of host immune responses to Hydatid cyst in human and ovine hepatic cystic Echinococcosis
    Bnar S. Hamad, Bushra H. Shnawa, Rafal A. Alrawi, Mukhtar H. Ahmed
    Veterinary Immunology and Immunopathology.2024; 273: 110775.     CrossRef
  • Investigation of Echinococcus multilocularis in foxes and dogs in Pakistan by detection of copro-DNA
    Aisha Khan, Gérald Umhang, Zaib Ullah, Franck Boué, Vanessa Bastid, Ikram Ullah, Sajid Mahmood, Muhammad Sohail Afzal, Haroon Ahmed
    Parasitology Research.2021; 120(2): 731.     CrossRef
  • Worldwide literature on epidemiology of human alveolar echinococcosis: a systematic review of research published in the twenty-first century
    Sven Baumann, Rong Shi, Wenya Liu, Haihua Bao, Julian Schmidberger, Wolfgang Kratzer, Weixia Li, Thomas F. E. Barth, Sven Baumann, Johannes Bloehdorn, Iris Fischer, Tilmann Graeter, Natalja Graf, Beate Gruener, Doris Henne-Bruns, Andreas Hillenbrand, Tanj
    Infection.2019; 47(5): 703.     CrossRef
  • An Imported Case of Disseminated Echinococcosis in Korea
    Dong Hoon Shin, Hae Chan Jo, Jeong-Han Kim, Kang Il Jun, Wan Beom Park, Nam-Joong Kim, Min-Ho Choi, Chang Kyung Kang, Myoung-don Oh
    The Korean Journal of Parasitology.2019; 57(4): 429.     CrossRef
  • The echinococcoses in Asia: The present situation
    Akira Ito, Christine M. Budke
    Acta Tropica.2017; 176: 11.     CrossRef
  • Alveolar Echinococcosis of the Liver: A Diagnostic Problem in a Nonendemic Area
    Kumble S. Madhusudhan, Deep N. Srivastava, Nihar R. Dash, Arun Venuthruimilli, Raju Sharma, Shivanand Gamanagatti, Arun K. Gupta
    Current Problems in Diagnostic Radiology.2016; 45(1): 80.     CrossRef
  • Alveolar Echinococcosis of Liver: A Diagnostic Problem in a Nonendemic Area
    Kumble Seetharama Madhusudhan, Deep N. Srivastava, Nihar R. Dash, Arun Venuthurimilli, Raju Sharma, Shivanand Gamanagatti, Arun K. Gupta
    Current Problems in Diagnostic Radiology.2015; 44(2): 221.     CrossRef
  • Serological and Molecular Characteristics of the First Korean Case of Echinococcus multilocularis
    Jin-Sook Jeong, Sang-Young Han, Young-Hoon Kim, Yasuhito Sako, Tetsuya Yanagida, Akira Ito, Jong-Yil Chai
    The Korean Journal of Parasitology.2013; 51(5): 595.     CrossRef
  • Serodiagnosis of Echinococcosis by ELISA Using Cystic Fluid from Uzbekistan Sheep
    Yan Jin, Khikmat Anvarov, Abdukhakim Khajibaev, Samin Hong, Sung-Tae Hong
    The Korean Journal of Parasitology.2013; 51(3): 313.     CrossRef
  • In VitroandIn VivoActivities of Dicationic Diguanidino Compounds against Echinococcus multilocularis Metacestodes
    Tatiana Küster, Nadja Kriegel, David W. Boykin, Chad E. Stephens, Andrew Hemphill
    Antimicrobial Agents and Chemotherapy.2013; 57(8): 3829.     CrossRef
  • An Imported Case of Cystic Echinococcosis in the Liver
    Keun Soo Ahn, Sung-Tae Hong, Yu Na Kang, Jung Hyeok Kwon, Mi Jeong Kim, Tae Jun Park, Yong Hoon Kim, Tae Jin Lim, Koo Jeong Kang
    The Korean Journal of Parasitology.2012; 50(4): 357.     CrossRef
  • 10,751 View
  • 110 Download
  • Crossref

Brief Communications

NF-κB and CREB Are Involved in IL-8 Production of Human Neutrophils Induced by Trichomonas vaginalis-Derived Secretory Products
Young Hee Nam, Deulle Min, Soon-Jung Park, Kyeong Ah Kim, Young Ah Lee, Myeong Heon Shin
Korean J Parasitol 2011;49(3):291-294.
Published online September 30, 2011
DOI: https://doi.org/10.3347/kjp.2011.49.3.291

Trichomonas vaginalis is a flagellated lumen-dwelling extracellular protozoan parasite that causes human trichomoniasis via sexual intercourse. Human neutrophils play a crucial role in acute tissue inflammatory responses in T. vaginalis infection. In this study, we investigated the signaling mechanism of neutrophil responses when stimulated with T. vaginalis-derived secretory products (TvSP), which were collected from 1×107 live trichomonads. Incubation of human neutrophils isolated from peripheral blood with TvSP induced up-regulation of IL-8 protein secretion. In addition, stimulation with TvSP induced phosphorylation of NF-κB and CREB in neutrophils. Moreover, TvSP-induced IL-8 production was also significantly inhibited by pretreatment of neutrophils with iκB inhibitor or CREB inhibitor. These results suggest that transcription factors NF-κB and CREB are involved in IL-8 production in human neutrophils induced by stimulation with T. vaginalis infection.

Citations

Citations to this article as recorded by  Crossref logo
  • Immunomodulatory Effects of the Antimicrobial Peptide KR-20: Implications for Trichomoniasis
    María G. Ramírez-Ledesma, Eva E. Ávila, Nayeli Alva-Murillo
    Molecules.2026; 31(3): 413.     CrossRef
  • IKK2, calcium, MAP kinase, and PI3 kinase are required for exocytosis and interleukin-8 production in human mast cells stimulated by Trichomonas vaginalis-derived secretory products
    Shin Hye Park, Young Ah Lee, Myeong Heon Shin
    Parasites, Hosts and Diseases.2026; 64(1): 45.     CrossRef
  • Trichomonas vaginalis extracellular vesicles suppress IFNε-mediated responses driven by its intracellular bacterial symbiont Mycoplasma hominis
    Joshua A. Kochanowsky, Emma L. Betts, Gabriel Encinas, Johnson Amoah, Patricia J. Johnson
    Proceedings of the National Academy of Sciences.2025;[Epub]     CrossRef
  • CysLT receptor-mediated NOX2 activation is required for IL-8 production in HMC-1 cells induced by Trichomonas vaginalis-derived secretory products
    Young Ah Lee, Myeong Heon Shin
    Parasites, Hosts and Diseases.2024; 62(3): 270.     CrossRef
  • Trichomonas vaginalis excretory secretory proteins reduce semen quality and male fertility
    Zhenchao Zhang, Fakun Li, Yangyang Deng, Yuhua Li, Wanxin Sheng, Xiaowei Tian, Zhenke Yang, Shuai Wang, Lihua Guo, Lixia Hao, Xuefang Mei
    Acta Tropica.2023; 238: 106794.     CrossRef
  • Increased Angiogenesis by Exosomes Secreted by Adipose-Derived Stem Cells upon Lipopolysaccharide Stimulation
    Shao-Chun Wu, Pao-Jen Kuo, Cheng-Shyuan Rau, Lien-Hung Huang, Chia-Wei Lin, Yi-Chan Wu, Chia-Jung Wu, Chia-Wen Tsai, Ting-Min Hsieh, Hang-Tsung Liu, Chun-Ying Huang, Ching-Hua Hsieh
    International Journal of Molecular Sciences.2021; 22(16): 8877.     CrossRef
  • Trichomonas vaginalis‐secreted cysteinyl leukotrienes promote migration, degranulation and MCP‐1 production in mast cells
    Young Ah Lee, Young Hee Nam, Arim Min, Myeong Heon Shin
    Parasite Immunology.2020;[Epub]     CrossRef
  • PKA/CREB and NF-κB pathway regulates AKNA transcription: A novel insight into T-2 toxin-induced inflammation and GH deficiency in GH3 cells
    Xianglian Liu, Deyu Huang, Pu Guo, Qinghua Wu, Menghong Dai, Guyue Cheng, Haihong Hao, Shuyu Xie, Zonghui Yuan, Xu Wang
    Toxicology.2017; 392: 81.     CrossRef
  • SNAP23-Dependent Surface Translocation of Leukotriene B 4 (LTB 4 ) Receptor 1 Is Essential for NOX2-Mediated Exocytotic Degranulation in Human Mast Cells Induced by Trichomonas vaginalis-Secrete
    Arim Min, Young Ah Lee, Kyeong Ah Kim, Jamel El-Benna, Myeong Heon Shin, Judith A. Appleton
    Infection and Immunity.2017;[Epub]     CrossRef
  • Influence of functional polymorphisms in TNF-α, IL-8, and IL-10 cytokine genes on mRNA expression levels and risk of gastric cancer
    Juliana Garcia de Oliveira, Ana Flávia Teixeira Rossi, Daniela Manchini Nizato, Aline Cristina Targa Cadamuro, Yvana Cristina Jorge, Marina Curado Valsechi, Larissa Paola Rodrigues Venâncio, Paula Rahal, Érika Cristina Pavarino, Eny Maria Goloni-Bertollo,
    Tumor Biology.2015; 36(12): 9159.     CrossRef
  • The Pathogenesis of Human Cervical Epithelium Cells Induced by Interacting with Trichomonas vaginalis
    Wei-Chen Lin, Wei-Ting Chang, Tsuey-Yu Chang, Jyh-Wei Shin, Xuefeng Liu
    PLOS ONE.2015; 10(4): e0124087.     CrossRef
  • 9,807 View
  • 93 Download
  • Crossref
Risk Factors Associated with Head Louse Infestation in Korea
Seobo Sim, Won-Ja Lee, Jae-Ran Yu, In Yong Lee, Seung Hyun Lee, Soo-Youn Oh, Min Seo, Jong-Yil Chai
Korean J Parasitol 2011;49(1):95-98.
Published online March 18, 2011
DOI: https://doi.org/10.3347/kjp.2011.49.1.95

Head louse infestation (HLI) is one of the most frequently occurring parasitic diseases in children. This study was conducted to investigate the socioeconomic and personal factors influencing HLI in the Republic of Korea. A total of 2,210 questionnaires about various factors related to HLI were obtained from children in 17 primary schools throughout the country. The rate of HLI was significantly lower in children who lived together with mother or in a family where both parents worked. In addition, HLI was lower in children whose fathers or mothers were public officers or teachers. However, HLI was higher in children who had small families and washed their hair less often. Education levels of parents and the number of children in family were not significant. Improvement of socioeconomic factors and personal hygiene will be helpful for reducing HLI.

Citations

Citations to this article as recorded by  Crossref logo
  • Scabies and Lice Infestations in Gaza: Risk Factors and Public Health Challenges During the 2023–2024 Conflict
    Zuhair Dardona, Mounia Amane, Samia Boussaa
    Egyptian Journal of Dermatology and Venereology.2025; 45(2): 127.     CrossRef
  • Monitoring the impact, trends, and impact levels of factors affecting Pediculus capitis infestation in primary school students: An illustrative scale of evidence review
    Hassan Nasirian
    Journal of Public Health.2024; 32(8): 1479.     CrossRef
  • Epidemiological analysis of pediculosis and the distribution of kdr mutation frequency in head lice populations in Torbat Heydarieh city of Khorasan Razavi Province, Northeastern Iran
    Mohammad Taheri, Fereshteh Ghahvechi Khaligh, Ahmad Ali Hanafi-Bojd, Hamid Reza Khalkhali, Kamal Dashti, Mehdi Badakhshan, Saber Gholizadeh
    BMC Research Notes.2024;[Epub]     CrossRef
  • Prevalence of head louse infestation among primary schoolchildren in the Republic of Korea: nationwide observation of trends in 2011-2019
    Seungwan Ryoo, Sooji Hong, Taehee Chang, Hyejoo Shin, Jae Young Park, Jeonggyu Lee, Eun-Hee Nah, Eun Hee Lee, Bong-Kwang Jung, Jong-Yil Chai
    Parasites, Hosts and Diseases.2023; 61(1): 53.     CrossRef
  • Pediculosis capitis among school-age students worldwide as an emerging public health concern: a systematic review and meta-analysis of past five decades
    Kareem Hatam-Nahavandi, Ehsan Ahmadpour, Fariba Pashazadeh, Asiyeh Dezhkam, Mehdi Zarean, Raheleh Rafiei-Sefiddashti, Alireza Salimi-Khorashad, Saeed Hosseini-Teshnizi, Teimour Hazratian, Domenico Otranto
    Parasitology Research.2020; 119(10): 3125.     CrossRef
  • Social Determinants of Health, the Family, and Children’s Personal Hygiene: A Comparative Study
    Antonio Jesús Ramos-Morcillo, Francisco José Moreno-Martínez, Ana María Hernández Susarte, César Hueso-Montoro, María Ruzafa-Martínez
    International Journal of Environmental Research and Public Health.2019; 16(23): 4713.     CrossRef
  • Effect of a health education program on reduction of pediculosis in school girls at Amphoe Muang, Khon Kaen Province, Thailand
    Manachai Yingklang, Chatchawan Sengthong, Ornuma Haonon, Rungtiwa Dangtakot, Porntip Pinlaor, Chulaporn Sota, Somchai Pinlaor, David Joseph Diemert
    PLOS ONE.2018; 13(6): e0198599.     CrossRef
  • Effect of Educational Intervention Based on Protection Motivation Theory on Promoting Pediculosis Preventive Behaviors among Elementary School Girls in Neyshabur
    Masoomeh Jahani eftekhari, Nooshin Peyman
    Journal of Education and Community Health.2018; 5(2): 1.     CrossRef
  • Prevalence of head lice infestation and pediculicidal effect of permethrine shampoo in primary school girls in a low-income area in southeast of Iran
    Moussa Soleimani-Ahmadi, Seyed Aghil Jaberhashemi, Mehdi Zare, Alireza Sanei-Dehkordi
    BMC Dermatology.2017;[Epub]     CrossRef
  • Assessment of the Prevalence of Pediculosis capitis among Primary School Girls in Riyadh, Saudi Arabia
    Wafa A.I. AL-Me
    Research Journal of Environmental Sciences.2015; 9(4): 193.     CrossRef
  • Prevalence of Head Lice Infestation and Its Associated Factors among Primary School Students in Iran: A Systematic Review and Meta-analysis
    Mahmood Moosazadeh, Mahdi Afshari, Hormoz Keianian, Asghar Nezammahalleh, Ahmad Ali Enayati
    Osong Public Health and Research Perspectives.2015; 6(6): 346.     CrossRef
  • Reemerging skin disease caused by arthropods II: louse
    Seobo Sim, Ki-Soo Pai
    Journal of the Korean Medical Association.2011; 54(5): 523.     CrossRef
  • 9,356 View
  • 96 Download
  • Crossref

Original Article

Phospholipase Activities in Clinical and Environmental Isolates of Acanthamoeba
Abdul Matin, Suk-Yul Jung
Korean J Parasitol 2011;49(1):1-8.
Published online March 18, 2011
DOI: https://doi.org/10.3347/kjp.2011.49.1.1

The pathogenesis and pathophysiology of Acanthamoeba infections remain incompletely understood. Phos-pholipases are known to cleave phospholipids, suggesting their possible involvement in the host cell plasma membrane disruption leading to host cell penetration and lysis. The aims of the present study were to determine phospholipase activities in Acanthamoeba and to determine their roles in the pathogenesis of Acanthamoeba. Using an encephalitis isolate (T1 genotype), a keratitis isolate (T4 genotype), and an environmental isolate (T7 genotype), we demonstrated that Acanthamoeba exhibited phospholipase A2 (PLA2) and phospholipase D (PLD) activities in a spectrophotometry-based assay. Interestingly, the encephalitis isolates of Acanthamoeba exhibited higher phospholipase activities as compared with the keratitis isolates, but the environmental isolates exhibited the highest phospholipase activities. Moreover, Acanthamoeba isolates exhibited higher PLD activities compared with the PLA2. Acanthamoeba exhibited optimal phospholipase activities at 37℃ and at neutral pH indicating their physiological relevance. The functional role of phospholipases was determined by in vitro assays using human brain microvascular endothelial cells (HBMEC), which constitute the blood-brain barrier. We observed that a PLD-specific inhibitor, i.e., compound 48/80, partially inhibited Acanthamoeba encephalitis isolate cytotoxicity of the host cells, while PLA2-specific inhibitor, i.e., cytidine 5'-diphosphocholine, had no effect on parasite-mediated HBMEC cytotoxicity. Overall, the T7 exhibited higher phospholipase activities as compared to the T4. In contract, the T7 exhibited minimal binding to, or cytotoxicity of, HBMEC.

Citations

Citations to this article as recorded by  Crossref logo
  • Detection of immunogenic protein components in excretion/secretion products of Acanthamoeba T5 using polyclonal antibodies
    Lissette Retana-Moreira, Elizabeth Abrahams-Sandí, Marco Ruiz-Campos, Johan Alvarado-Ocampo, Julián Castro, Jacob Lorenzo-Morales, Giovanni Sáenz-Arce, Antonio Osuna
    Memórias do Instituto Oswaldo Cruz.2025;[Epub]     CrossRef
  • Comprehensive characterization of extracellular vesicles produced by environmental (Neff) and clinical (T4) strains of Acanthamoeba castellanii
    Elisa Gonçalves Medeiros, Michele Ramos Valente, Leandro Honorato, Marina da Silva Ferreira, Susana Ruiz Mendoza, Diego de Souza Gonçalves, Lucas Martins Alcântara, Kamilla Xavier Gomes, Marcia Ribeiro Pinto, Ernesto S. Nakayasu, Geremy Clair, Isadora Fil
    mSystems.2024;[Epub]     CrossRef
  • Epidemiology of and Genetic Factors Associated with Acanthamoeba Keratitis
    Muhammad Ilyas, Fiona Stapleton, Mark D. P. Willcox, Fiona Henriquez, Hari Kumar Peguda, Binod Rayamajhee, Tasbiha Zahid, Constantinos Petsoglou, Nicole A. Carnt
    Pathogens.2024; 13(2): 142.     CrossRef
  • Biological characteristics and pathogenicity of Acanthamoeba
    Yuehua Wang, Linzhe Jiang, Yitong Zhao, Xiaohong Ju, Le Wang, Liang Jin, Ryan D. Fine, Mingguang Li
    Frontiers in Microbiology.2023;[Epub]     CrossRef
  • Extracellular Vesicles Secreted by Acanthamoeba culbertsoni Have COX and Proteolytic Activity and Induce Hemolysis
    Francisco Sierra-López, Ismael Castelan-Ramírez, Dolores Hernández-Martínez, Lizbeth Salazar-Villatoro, David Segura-Cobos, Catalina Flores-Maldonado, Verónica Ivonne Hernández-Ramírez, Tomás Ernesto Villamar-Duque, Adolfo René Méndez-Cruz, Patricia Talam
    Microorganisms.2023; 11(11): 2762.     CrossRef
  • The gene expression and proteomic profiling of Acanthamoeba isolates
    Chayan Sharma, Sumeeta Khurana, Alka Bhatia, Amit Arora, Amit Gupta
    Experimental Parasitology.2023; 255: 108630.     CrossRef
  • Therapeutic agents and biocides for ocular infections by free-living amoebae of Acanthamoeba genus
    Linda Christian Carrijo-Carvalho, Viviane Peracini Sant'ana, Annette Silva Foronda, Denise de Freitas, Fabio Ramos de Souza Carvalho
    Survey of Ophthalmology.2017; 62(2): 203.     CrossRef
  • Single-Step Assembly of Multifunctional Poly(tannic acid)–Graphene Oxide Coating To Reduce Biofouling of Forward Osmosis Membranes
    Hanaa M. Hegab, Ahmed ElMekawy, Thomas G. Barclay, Andrew Michelmore, Linda Zou, Christopher P. Saint, Milena Ginic-Markovic
    ACS Applied Materials & Interfaces.2016; 8(27): 17519.     CrossRef
  • In vitro inhibition of protease-activated receptors 1, 2 and 4 demonstrates that these receptors are not involved in an Acanthamoeba castellanii keratitis isolate-mediated disruption of the human brain microvascular endothelial cells
    Junaid Iqbal, Komal Naeem, Ruqaiyyah Siddiqui, Naveed Ahmed Khan
    Experimental Parasitology.2014; 145: S78.     CrossRef
  • 9,608 View
  • 82 Download
  • Crossref

Case Reports

A Case of Amblyomma testudinarium Tick Bite in a Korean Woman
Jin Kim, Hyun-Soo Joo, Hong-Ju Moon, Young-Jik Lee
Korean J Parasitol 2010;48(4):313-317.
Published online December 16, 2010
DOI: https://doi.org/10.3347/kjp.2010.48.4.313

A case of tick bite was found in the inguinal region of a 74-year-old Korean woman. She was attacked by the tick while working in her vegetable garden in the vicinity of mountain located in Suncheon City, the southern coastal area of the Korean Peninsula. On admission she complained of mild discomfort and itching around the bite area. The causative tick was 23 mm long and had slender pedipalps. The scutum was quite ornate and had eyes at the edge. The genital aperture was located anterior to the level of the coxa II. The spiracular plate was comma-shaped and the anus was surrounded posteriorly by the anal groove. The coxa I had subequal 2 spurs; the external one slightly larger. The spur of coxa IV was slightly longer than those of coxae II and III. The tarsus IV had 2 distinct subapical ventral spurs. It was identified as the fully engorged adult female of Amblyomma testudinarium. This is the first human case of Amblyomma bite in Korea.

Citations

Citations to this article as recorded by  Crossref logo
  • Detection of tick-borne bacterial DNA (Rickettsia sp.) in reptile ticks Amblyomma moreliae from New South Wales, Australia
    Michelle Misong Kim, Glenn Shea, Jan Šlapeta
    Parasitology Research.2024;[Epub]     CrossRef
  • A checklist of the ticks of Malaysia (Acari: Argasidae, Ixodidae), with lists of known associated hosts, geographical distribution, type localities, human infestations and pathogens
    ABDUL-RAHMAN KAZIM, JAMAL HOUSSAINI, DENNIS TAPPE, CHONG CHIN HEO
    Zootaxa.2022; 5190(4): 485.     CrossRef
  • Prognostic value of TMEM59L and its genomic and immunological characteristics in cancer
    Chang Shi, Lizhi Zhang, Dan Chen, Hong Wei, Wenjing Qi, Pengxin Zhang, Huiqi Guo, Lei Sun
    Frontiers in Immunology.2022;[Epub]     CrossRef
  • Geographic distribution and modeling of ticks in the Republic of Korea and the application of tick models towards understanding the distribution of associated pathogenic agents
    Heidi K. St. John, Penny Masuoka, Ju Jiang, Ratree Takhampunya, Terry A. Klein, Heung-Chul Kim, Sung-Tae Chong, Jin-Won Song, Yu-Jin Kim, Christina M. Farris, Allen L. Richards
    Ticks and Tick-borne Diseases.2021; 12(4): 101686.     CrossRef
  • Bacterial communities in Haemaphysalis, Dermacentor and Amblyomma ticks collected from wild boar of an Orang Asli Community in Malaysia
    Fang Shiang Lim, Jing Jing Khoo, Kim Kee Tan, Nurhafiza Zainal, Shih Keng Loong, Chee Sieng Khor, Sazaly AbuBakar
    Ticks and Tick-borne Diseases.2020; 11(2): 101352.     CrossRef
  • Francisella-Like Endosymbiont Detected in Haemaphysalis Ticks (Acari: Ixodidae) From the Republic of Korea
    Ratree Takhampunya, Heung-Chul Kim, Sung-Tae Chong, Achareeya Korkusol, Bousaraporn Tippayachai, Silas A Davidson, Jeannine M Petersen, Terry A Klein
    Journal of Medical Entomology.2017; 54(6): 1735.     CrossRef
  • Report of Amblyomma testudinarium in mithuns (Bos frontalis) from eastern Mizoram (India)
    J. K. Chamuah, K. Bhattacharjee, P. C. Sarmah, O. K. Raina, S. Mukherjee, C. Rajkhowa
    Journal of Parasitic Diseases.2016; 40(4): 1217.     CrossRef
  • Detection of SFTS Virus inIxodes nipponensisandAmblyomma testudinarium(Ixodida: Ixodidae) Collected From Reptiles in the Republic of Korea
    Jae-Hwa Suh, Heung-Chul Kim, Seok-Min Yun, Jae-Won Lim, Jin-Han Kim, Sung-Tae Chong, Dae-Ho Kim, Hyun-Tae Kim, Hyun Kim, Terry A. Klein, Jaree L. Johnson, Won-Ja Lee
    Journal of Medical Entomology.2016; 53(3): 584.     CrossRef
  • Tick Bite by NymphalAmblyomma testudinarium
    Yeong Ho Kim, Ji Hyun Lee, Young Min Park, Jun Young Lee
    Annals of Dermatology.2016; 28(6): 762.     CrossRef
  • Perianal Tick-Bite Lesion Caused by a Fully Engorged Female Amblyomma testudinarium
    Jin Kim, Haeng An Kang, Sung Sun Kim, Hyun Soo Joo, Won Seog Chong
    The Korean Journal of Parasitology.2014; 52(6): 685.     CrossRef
  • Tick Bite on Glans Penis: The Role of Dermoscopy
    Kee Suck Suh, Jong Bin Park, Sang Hwa Han, In Yong Lee, Baik Kee Cho, Sang Tae Kim, Min Soo Jang
    Annals of Dermatology.2013; 25(4): 528.     CrossRef
  • 11,631 View
  • 114 Download
  • Crossref
A Human Case of Clinostomum complanatum Infection in Korea
Chan-Woong Park, Jong-Soon Kim, Hyun-Soo Joo, Jin Kim
Korean J Parasitol 2009;47(4):401-404.
Published online December 2, 2009
DOI: https://doi.org/10.3347/kjp.2009.47.4.401

A 33-year-old Korean man visited a medical clinic with complaints of throat discomfort and pain for one week. The symptoms occurred one day after eating raw brackish water fish, perch. Endoscopy revealed a fluke, about 5 mm in length, attaching to and peristaltically moving on the surface of the mucosa at the arytenoid region of the larynx. Microscopically, the testes were triangular, tandem, and separated by the uterus. The ovary and cirrus pouch were placed apart from median line between testes. Numerous blood cells were observed in the ceca. The worm was identified to be Clinostomum complanatum. This is the second human case of clinostomiasis in Korea.

Citations

Citations to this article as recorded by  Crossref logo
  • Integrative taxonomy uncovers Clinostomum chaacci and an unidentified congeneric metacercaria infecting Hoplosternum littorale (Siluriformes: Callichthyidae) in the Peruvian Amazon Basin
    J.D. Chero, L.A. Ñacari, G.A. Murrieta Morey, C.L. Cruces, E. Cacique, N. Huaman, D. Lopez, A. Mondragón-Martínez, R. Martínez-Rojas, J. Yunis-Aguinaga
    Food and Waterborne Parasitology.2026; 42: e00306.     CrossRef
  • Potentially zoonotic parasite arrives to continental France: Clinostomum complanatum (Trematoda: Digenea) infection in perch (Perca fluviatilis) from the Doubs River (Jura)
    Eloïse C. Rochat, Pierre Marle, Françoise Pozet, Isabel Blasco-Costa
    Folia Parasitologica.2025;[Epub]     CrossRef
  • Molecular and Morphological Characterization of Two Clinostomum (Digenea: Clinostomidae) Species with the First Case of Clinostomum tilapiae from Turkey
    Mehmet Öztürk, Şinasi Umur
    Acta Parasitologica.2025;[Epub]     CrossRef
  • Helminth absence and invasion success of blackchin tilapia (Sarotherodon melanotheron) in Thailand
    Nannaphat Suwannarat, Alexis Ribas, Jordi Miquel, Srisupaph Poonlaphdecha
    Frontiers in Veterinary Science.2025;[Epub]     CrossRef
  • MORPHOLOGICAL AND MOLECULAR DIFFERENTIATION OF Clinostomum complanatum (Digenea: Clinostomidae) METACERCARIAE INFECTING Cyprinus carpio IN ARAS RIVER
    Zahra Heidari, Shahram Dastouri Dastgir , Hridaya Shanker singh, Hafez Mirzanejad-asl , Zahra Hosseinali , Zahra Alizadeh , Behnam Mohammadi Ghalehbin
    Slovenian Veterinary Research.2025; : View.     CrossRef
  • Scanning Electron Microscopy Reveals New Ultrastructural Features in Metacercariae of Clinostomum cutaneum (Digenea: Clinostomidae) Infecting Oreochromis niloticus (Actinopterygii: Cichlidae) in Kenya
    Miriam Isoyi Shigoley, Nikol Kmentová, Daniel Mungai Ndegwa, Martina Topić, Kelly J. M. Thys, Maarten P. M. Vanhove
    Pathogens.2025; 14(3): 249.     CrossRef
  • Zoonotic Parasites in Hoplosternum littorale Acquired in the Market of Santa Clara, in the City of Iquitos, Loreto-Peru
    Germán Augusto Murrieta Morey, Stephanie Geovana Reyes Llanos, Luciano Alfredo Rodriguez Chu, Avita Celeste Taricuarima Dreyfus, Luis Armando García Solsol, Roger Fernando Chuquipiondo Sánchez, Ehrlich Yam Llasaca Calizaya
    Acta Parasitologica.2025;[Epub]     CrossRef
  • Trematode diversity in southern Africa: metacercariae of the Clinostomidae and Cryptogonimidae in intermediate freshwater fish hosts
    M. Truter, R.Q.-Y. Yong, W. Smit, A. Chakona, W.J. Luus-Powell, N.J. Smit
    Journal of Helminthology.2025;[Epub]     CrossRef
  • Review: The Origin of Digenetic Trematodes: Did the Story Begin with the Blood Flukes?
    Eric S. Loker
    Journal of Parasitology.2025;[Epub]     CrossRef
  • EFSA's activities on emerging risks in 2022
    Georgia Gkrintzali, Milen Georgiev, Raquel Garcia Matas, Angelo Maggiore, Roberta Giarnecchia, Didier Verloo, Bernard Bottex
    EFSA Supporting Publications.2024;[Epub]     CrossRef
  • A multidisciplinary study on Clinostomum infections in Nile tilapia: micro-morphology, oxidative stress, immunology, and histopathology
    Olfat A. Mahdy, Sahar Z. Abdel-Maogood, Mohamed Abdelsalam, Mai A. Salem
    BMC Veterinary Research.2024;[Epub]     CrossRef
  • Trematodes and acanthocephalans associated with the yellow mojarra (Caquetaia kraussii) in a coastal lagoon system, San Onofre, Colombia
    Daisy A. Gómez-Ruíz, Carolina Lenis
    Revista U.D.C.A Actualidad & Divulgación Científica.2024;[Epub]     CrossRef
  • Case report: Disseminated larval trematodiasis caused by Clinostomum marginatum in a green tree frog (Hyla cinerea)
    Håkon Jones, Heather M.A. Fenton, Elizabeth J. Elsmo, Nicole M. Nemeth, Kayla B. Garrett, Christopher A. Cleveland, Michael J. Yabsley
    Veterinary Parasitology: Regional Studies and Reports.2024; 52: 101051.     CrossRef
  • Morphological and molecular data establishes Clinostomum dolichorchum n. sp. (Digenea: Clinostomidae) in the great blue heron Ardea herodias L. and American bullfrog Rana catesbeiana Shaw
    Jonah A. Nguyen, Ethan T. Woodyard, Chris T. McAllister, Susan V. Marcquenski, Divya Rose, Celene M. Slifka, Logan R. S. Robison, Matt J. Griffin, T. Graham Rosser
    Systematic Parasitology.2024;[Epub]     CrossRef
  • Ecological analysis of the fish trematode fauna of the Lower Kura
    Y.V. Shakaraliyeva
    The Journal of V. N. Karazin Kharkiv National University, Series "Biology".2024; (42): 61.     CrossRef
  • Yellow grub diseases on two seasonal killifish (Cyprinodontiformes, Rivulidae): a histopathological study
    L. Di Cesare, M. M. Montes, M. S. Vargas, C. G. Barbeito, S. E. Plaul
    Parasitology Research.2024;[Epub]     CrossRef
  • Clinostomum Sinensis in Red-crowned Cranes (Grus japonensis) and in White-naped Cranes (Grus vipio) - Morphology and Molecular Characterization
    Feiyan Wang, Guyin Ni, Chen Chen, Liqin Cao, Fei Hu, Lu Xu, Jiaxiu Hou, Jinjun Xu, Jianping Tao, Dandan Liu
    Acta Scientiae Veterinariae.2024;[Epub]     CrossRef
  • Can avian flyways reflect dispersal barriers of clinostomid parasites? First evidence from the mitogenome of Clinostomum complanatum
    Marlies Monnens, Ali Halajian, D. Tim J. Littlewood, Andrew G. Briscoe, Tom Artois, Maarten P.M. Vanhove
    Gene.2023; 851: 146952.     CrossRef
  • Clinostomum complanatum: Anthelmintic potential of curcumin on the infective progenetic metacercarial stage
    Lubna Rehman, Rizwan Ullah, Abdur Rehman, M.A. Hannan Khan, Mirza Ahmar Beg, Sobia Wasim, Faiza Farhat, P A Shareef Ahammed, S.M.A. Abidi
    Experimental Parasitology.2023; 249: 108514.     CrossRef
  • Case report of laryngeal infection by Clinostomum complanatum 24 days after ingestion of raw fish
    Hyun-Gyu Kim, Ji-Hee Han, Ji-Yoon Kwak, Han Kyu Jeon, Sang-Soo Lee, Hyun Jin Kim, Seul Ki Song, Byoung-Kuk Na, Ra-Ri Cha
    Medicine.2023; 102(22): e34000.     CrossRef
  • Occurrence of digenean parasites in freshwater snails in the Murrumbidgee catchment area, Australia
    Shokoofeh Shamsi, Alice Banfield, Nidhish Francis, Diane P. Barton, Matthew McLellan
    Food and Waterborne Parasitology.2023; 32: e00202.     CrossRef
  • Parasite Diversity in a Freshwater Ecosystem
    Amana Shafiq, Farzana Abbas, Muhammad Hafeez-ur-Rehman, Bushra Nisar Khan, Ayesha Aihetasham, Iffat Amin, Hmidullah, Ramzi A. Mothana, Mohammed S. Alharbi, Imran Khan, Atif Ali Khan Khalil, Bashir Ahmad, Nimra Mubeen, Muneeba Akram
    Microorganisms.2023; 11(8): 1940.     CrossRef
  • Parasitic Helminths and Freshwater Fish Introduction in Europe: A Systematic Review of Dynamic Interactions
    Anaïs Esposito, Joséphine Foata, Yann Quilichini
    Fishes.2023; 8(9): 450.     CrossRef
  • Diversity of trematode cercariae among naturally infected lymnaeid snails from Phayao, Thailand
    Chittakun Suwancharoen, Chorpaka Phuangsri, Pannawich Siriwechviriya, Thanakon Bunsong, Ornampai Japa
    Parasitology Research.2023; 122(11): 2691.     CrossRef
  • Integrative analysis of new Clinostomum metacercariae (Digenea, Clinostomidae) using COI mtDNA and morphology rises the number of lineages found in South American freshwater fishes
    M.M. Montes, I. García, J.M. Paredes del Puerto, J.A. Barneche, M. Ibañez Shimabukuro, G.F. Reig Cardarella, S.R. Martorelli, G. Pérez Ponce de León
    Journal of Helminthology.2023;[Epub]     CrossRef
  • The Occurrence of Freshwater Fish-Borne Zoonotic Helminths in Italy and Neighbouring Countries: A Systematic Review
    Vasco Menconi, Elena Lazzaro, Michela Bertola, Lisa Guardone, Matteo Mazzucato, Marino Prearo, Ewa Bilska-Zajac, Luana Cortinovis, Amedeo Manfrin, Giuseppe Arcangeli, Giorgia Angeloni
    Animals.2023; 13(24): 3793.     CrossRef
  • First genetic confirmation of Clinostomidae metacercariae infection in Oreochromis niloticus in Egypt
    Olfat Anter Mahdy, Mohamed Abdelsalam, Sahar Z. Abdel‐ Maogood, Mohamed Shaalan, Mai A. Salem
    Aquaculture Research.2022; 53(1): 199.     CrossRef
  • Parasites of zoonotic interest in selected edible freshwater fish imported to Australia
    Michelle Williams, Marta Hernandez-Jover, Shokoofeh Shamsi
    Food and Waterborne Parasitology.2022; 26: e00138.     CrossRef
  • Characterization of Clinostomum (Digenea: Clinostomidae) spp. in India
    Kirti Choudhary, Shailendra Ray, Shokoofeh Shamsi, Nirupama Agrawal
    Parasitology Research.2022; 121(11): 3083.     CrossRef
  • Diversity and ecology of parasitic fauna of the endemicSerrasalmus brandtiiLütken, 1875 from the Caatinga Domain, Brazil
    Eric Andrei Arrais Alexandre, Fabio Hideki Yamada
    Journal of Natural History.2022; 56(33-36): 1447.     CrossRef
  • Prevalence and intensity of endoparasitic helminth on swamp eel (Monopterus albus) from natural caught and cultivation
    Y T Januarista, Kismiyati, M F Ulkhaq
    IOP Conference Series: Earth and Environmental Science.2021; 718(1): 012013.     CrossRef
  • Molecular confirmation of metacercaria of Clinostomum complanatum recovered from one‐stripe spiny eel Macrognathus aral
    Asit Kumar Bera, Nilemesh Das, Shreya Bhattacharya, Ramesh Chandra Malick, Himanshu Sekhar Swain, Hemanta Chowdhury, Archana Sinha, Sanjib Kumar Manna, Uttam Kumar Sarkar, Basanta Kumar Das
    Aquaculture Research.2021; 52(9): 4362.     CrossRef
  • Molecular data reveal hidden diversity of the genus Clinostomum (Digenea, Clinostomidae) in Argentina, with the description of a new species from Ardea cocoi (Ardeidae)
    Martin Miguel Montes, Jorge Barneche, Luis Pagano, Walter Ferrari, Sergio Roberto Martorelli, Gerardo Pérez-Ponce de León
    Parasitology Research.2021; 120(8): 2779.     CrossRef
  • Characterization of Clinostomum sp. (Trematoda: Clinostomidae) infecting cormorants in south-eastern Australia
    Shokoofeh Shamsi, Diane P. Barton, Scott Day, Juliet Masiga, Xiaocheng Zhu, Matthew McLellan
    Parasitology Research.2021; 120(8): 2793.     CrossRef
  • Changes in the level of oxidative stress markers in Indian catfish (Wallago attu) infected with Isoparorchis hypselobagri
    Anam Sahreen, Kaneez Fatima, Tahmina Zainab, Mohammad Khalid Saifullah
    Beni-Suef University Journal of Basic and Applied Sciences.2021;[Epub]     CrossRef
  • First Report of Clinostomum complanatum (Trematoda: Digenea) in European Perch (Perca fluviatilis) from an Italian Subalpine Lake: A Risk for Public Health?
    Vasco Menconi, Chiara Manfrin, Paolo Pastorino, Davide Mugetti, Luana Cortinovis, Elisabetta Pizzul, Alberto Pallavicini, Marino Prearo
    International Journal of Environmental Research and Public Health.2020; 17(4): 1389.     CrossRef
  • Pathology associated with three newClinostomummetacercariae from Argentina with morphological and DNA barcode identification
    M.M. Montes, S.E. Plaul, Y. Croci, M. Waldbillig, W. Ferrari, E. Topa, S.R. Martorelli
    Journal of Helminthology.2020;[Epub]     CrossRef
  • Fish substitutions which may increase human health risks from zoonotic seafood borne parasites: A review
    Michelle Williams, Marta Hernandez-Jover, Shokoofeh Shamsi
    Food Control.2020; 118: 107429.     CrossRef
  • A multiplex PCR protocol for rapid differential identification of four families of trematodes with medical and veterinary importance transmitted by Biomphalaria Preston, 1910 snails
    Silvia Gonçalves Mesquita, Gabriela Flávia Rodrigues-Luiz, João Luís Reis-Cunha, Mariana Santos Cardoso, Cristiane Lafetá Furtado De Mendonça, Lilian Lacerda Bueno, Ricardo Toshio Fujiwara, Hudson Alves Pinto, Roberta Lima Caldeira, Daniella Castanheira B
    Acta Tropica.2020; 211: 105655.     CrossRef
  • Morphological and Molecular Characteristics of Clinostomid Metacercariae from Korea and Myanmar
    Eun Jeong Won, Yu Jeong Lee, Moon-Ju Kim, Jong-Yil Chai, Byoung-Kuk Na, Woon-Mok Sohn
    The Korean Journal of Parasitology.2020; 58(6): 635.     CrossRef
  • A Case of Laryngeal Infection Caused by Clinostomum complanatum
    Joonseok Moon, Hanaro Park
    Journal of Clinical Otolaryngology Head and Neck Surgery.2020; 31(2): 253.     CrossRef
  • A Case of Unexpected Clinostomum complanatum Infection Initially Presenting as Foreign Body in Pharynx
    Hyunjung Kim, Sung-Weon Cho, Harim Oh, Hyung Kwon Byeon
    The Korean Journal of Parasitology.2019; 57(2): 175.     CrossRef
  • Prevalence of Infection of Biomphalaria glabrata by Schistosoma mansoni and the risk of urban Schistosomiasis mansoni in Salvador, Bahia, Brazil
    Vanessa Sousa Zanardi, Lúcio Macedo Barbosa, Fabiano Mosquera Simões, Silvana Carvalho Thiengo, Ronald Edward Blanton, Gilmar Ribeiro Junior, Luciano Kalabric Silva, Mitermayer G. Reis
    Revista da Sociedade Brasileira de Medicina Tropical.2019;[Epub]     CrossRef
  • Infection Status with Clinostomum complanatum Metacercariae in Fish from Water Systems of Nakdong-gang (River) in Korea
    Woon-Mok Sohn, Byoung-Kuk Na, Shin-Hyeong Cho
    The Korean Journal of Parasitology.2019; 57(4): 389.     CrossRef
  • Parasitic infection of Cobitis elongatoides Băcescu & Mayer, 1969 by zoonotic metacercariae Clinostomum complanatum (Rudolphi, 1814)
    Jakub Fedorčák, Ľubomír Šmiga, Iuliia Kutsokon, Vladislav Kolarčik, Lenka Koščová, Mikuláš Oros, Ján Koščo
    Journal of Fish Diseases.2019; 42(12): 1677.     CrossRef
  • Investigation of Reportable Communicable Diseases and Parasites in Aquatic Organisms Living in the Estuary of the Han River.
    Jin Hui Kim, Jun Young Song, Jung-Ho Lee, Jun Wook Hur, Se Ryun Kwon, Joon Yeong Kwon
    Korean Journal of Ecology and Environment.2019; 52(4): 306.     CrossRef
  • First record of Stephanostomum sp. Looss, 1899 (Digenea: Acanthocolpidae) metacercariae parasitising the pleasure oyster Crassostrea corteziensis (Hertlein) from the Mexican Pacific coast
    M. I. Grano-Maldonado, F. Rubalcava-Ramirez, A. Rodriguez-Santiago, F. Garcia-Vargas, A. Medina-Jasso, M. Nieves-Soto
    Helminthologia.2019; 56(3): 211.     CrossRef
  • Occurrence and molecular characterization of Clinostomum complanatum (Trematoda: Clinostomidae) in freshwater fishes caught from Turkey
    Emrah Simsek, Alparslan Yildirim, Erdal Yilmaz, Abdullah Inci, Onder Duzlu, Zuhal Onder, Arif Ciloglu, Gamze Yetismis, Gokmen Zafer Pekmezci
    Parasitology Research.2018; 117(7): 2117.     CrossRef
  • The discovery of Clinostomum complanatum metacercariae in farmed Chinese sucker, Myxocyprinus asiaticus
    By Fang Li, Xiao-Hong Liu, Hai-Long Ge, Chong-You Xie, Rui-Yu Cai, Zuo-Can Hu, Yao-Guang Zhang, Zhi-Jian Wang
    Aquaculture.2018; 495: 273.     CrossRef
  • A Case of Endoscopically Treated Laryngopharyngitis Resulting fromClinostomum complanatumInfection
    Geum Soo Lee, Sang Wook Park, Jin Kim, Kang Seok Seo, Kyoung Wan You, Jae Hun Chung, Hyeong Chul Moon, Gun Young Hong
    The Korean Journal of Gastroenterology.2017; 69(3): 177.     CrossRef
  • Occurrence and distribution of yellow grub trematodes (Clinostomum complanatum) infection in Taiwan
    Mao-Lin Wang, Hui-Yu Chen, Hsiu-Hui Shih
    Parasitology Research.2017; 116(6): 1761.     CrossRef
  • Low virulence potential and in vivo transformation ability in the honey bee venom treated Clinostomum complanatum
    Abdur Rehman, Rizwan Ullah, Neeshma Jaiswal, M.A. Hannan Khan, Lubna Rehman, Mirza Ahmar Beg, Sandeep K. Malhotra, S.M.A. Abidi
    Experimental Parasitology.2017; 183: 33.     CrossRef
  • The Thermal Regime and Species Composition of Fish and Invertebrates in Kelly Warm Spring, Grand Teton National Park, Wyoming
    David D. Harper, Aïda M. Farag
    Western North American Naturalist.2017; 77(4): 440.     CrossRef
  • Morphological and Molecular Characterization ofClinostomum detruncatum(Trematoda: Clinostomidae) Metacercariae InfectingSynbranchus marmoratus
    Aline Angelina Acosta, Monica Caffara, Maria Letizia Fioravanti, Ricardo Utsunomia, Aline Cristina Zago, Lidiane Franceschini, Reinaldo José da Silva
    Journal of Parasitology.2016; 102(1): 151.     CrossRef
  • A Case of Pharyngitis Caused byClinostomum complanatum
    Shin Chul Jung, Hun Jae Oh, Dong Min Kim, Jun Hee Park
    Korean Journal of Otorhinolaryngology-Head and Neck Surgery.2015; 58(1): 61.     CrossRef
  • Experimental and Molecular Study of Cercariae ofClinostomumsp. (Trematoda: Clinostomidae) fromBiomphalariaspp. (Mollusca: Planorbidae) in Brazil
    H. A. Pinto, M. Caffara, M. L. Fioravanti, A. L. Melo
    Journal of Parasitology.2015; 101(1): 108.     CrossRef
  • A survey of metacercarial infections in commonly edible fish and crab hosts prevailing in Manipur, Northeast India
    Voleentina Devi Athokpam, Veena Tandon
    Journal of Parasitic Diseases.2015; 39(3): 429.     CrossRef
  • Cysteine protease is a major component in the excretory/secretory products of Euclinostomum heterostomum (Digenea: Clinostomidae)
    P. A. Ahammed Shareef, S. M. A. Abidi
    Parasitology Research.2014; 113(1): 65.     CrossRef
  • Habitat of In Vivo Transformation Influences the Levels of Free Radical Scavengers in Clinostomum complanatum: Implications for Free Radical Scavenger Based Vaccines against Trematode Infections
    Atif Zafar, Asim Rizvi, Irshad Ahmad, Masood Ahmad, Paulo Lee Ho
    PLoS ONE.2014; 9(4): e95858.     CrossRef
  • Studies on some fish parasites of public health importance in the southern area of Saudi Arabia
    Mokhtar Ibrahim Khalil, Ismail Saad El-Shahawy, Hussein Saad Abdelkader
    Revista Brasileira de Parasitologia Veterinária.2014; 23(4): 435.     CrossRef
  • A rabbit eye model for in vivo transformation of progenetic metacercariae of Clinostomum complanatum into ovigerous adult worms
    A. Rizvi, Z.A. Zaidi, M.M. Alam, A. Zafar, P.A.A. Shareef, M.K. Saifullah, M. Saleemuddin, S.M.A. Abidi
    Journal of Helminthology.2014; 88(1): 69.     CrossRef
  • Pathogenicity of Clinostomum complanatum (Digenea: Clinostomidae) in piscivorous birds
    S. Shamsi, A. Halajian, S. Tavakol, P. Mortazavi, J. Boulton
    Research in Veterinary Science.2013; 95(2): 537.     CrossRef
  • Fish health status, research and management in East Africa: past and present
    P Akoll, WW Mwanja
    African Journal of Aquatic Science.2012; 37(2): 117.     CrossRef
  • Infection of Clinostomum complanatum (Treamdoda: Digenea) metacercaria in cultured southern top mouthed minnow Pseudorasbora parva
    Eun-Bin Jung, Dong-Wan Kim, Jin-Do Kim, Sung-Woo Park
    Journal of fish pathology.2012; 25(2): 85.     CrossRef
  • Incidence and histopathology of encysted progenetic metacercaria of Clinostomum complanatum (Digenea: Clinostomidae) in Channa punctatus and its development in experimental host
    PA Ahammed Shareef, SMA Abidi
    Asian Pacific Journal of Tropical Biomedicine.2012; 2(6): 421.     CrossRef
  • Levels of some antioxidant molecules and lipid peroxidation during in vivo transformation of the progenetic metacercaria of Clinostomum complanatum to ovigerous adult worms
    Asim Rizvi, Shirin Hasan, Maroof Alam, Atif Zafar, Tasneem Fatima, P.A.A. Shareef, Naheed Banu, M. Saleemuddin, Mohammad K. Saifullah, S. M.A. Abidi
    Veterinary Parasitology.2012; 185(2-4): 164.     CrossRef
  • Infection of Clinostomum complanatum (Rudolphi, 1814) in spotted barbel gudgeon (Squalidus multimaculatus Hosoya et Jeon)
    Myoung-Ae Park, Jung-Soo Seo, Sung-Hee Jung, Hee-Jung Choi, Eun-Ji Jeon, Eo-Young Jee, Wan-Ok Lee, Sung-Ho Woo, Eun-Hye Lee
    Journal of fish pathology.2011; 24(2): 161.     CrossRef
  • Fish-borne Parasitic Diseases
    Jong-Yil Chai
    Hanyang Medical Reviews.2010; 30(3): 223.     CrossRef
  • 13,663 View
  • 140 Download
  • Crossref

Mini Review

Review of Zoonotic Parasites in Medical and Veterinary Fields in the Republic of Korea
Heejeong Youn
Korean J Parasitol 2009;47(Suppl):S133.
Published online October 26, 2009
DOI: https://doi.org/10.3347/kjp.2009.47.S.S133

Zoonotic parasites are animal parasites that can infect humans. The major zoonotic protozoa in the Republic of Korea are Babesia bovis, Chilomastix mesnili, Cryptosporidium parvum, Endolimax nana, Entamoeba coli, Entamoeba hitolytica, Giardia lamblia, Iodamoeba b?tschlii, Pneumocystis carinii, Sarcocystis cruzi, and Toxoplasma gondii. The major zoonotic helminths in Korea include trematodes, cestodes, and nematodes. Trematodes are Clonorchis sinensis, Echinostoma hortense, Echinostoma spp., Fasciola hepatica, Heterophyes nocens, Metagonimus yokogawai, and Paragonimus westermani. Cestodes are Diphyllobothrium latum, Dipylidium caninum, Echinococcus granulosus, Hymenolepis nana, Raillietina tetragona, sparganum (Spirometra spp.), Taenia saginata, T. solium, and T. asiatica. Nematodes are Ancylostoma caninum, Brugia malayi, Capillaria hepatica, Dirofilaria immitis, Gnathostoma dololesi, Gnathostoma spinigerum, Loa loa, Onchocerca gibsoni, Strongyloides stercoralis, Thelazia callipaeda, Trichinella spiralis, Trichostrongylus orientalis, Trichuris trichiura, and Trichuris vulpis. The one arthropod is Sarcoptes scabiei. Many of these parasites have disappeared or were in decline after the 1990's. Since the late 1990's, the important zoonotic protozoa have been C. parvum, E. nana, E. coli, E. hitolytica, G. lamblia, I. buetschlii, P. carinii and T. gondii. The important zoonotic helminths have been C. sinensis, H. nocens, M. yokogawai, P. westermani, D. latum, T. asiatica, sparganum, B. malayi, T. orientalis, T. callipaeda and T. spiralis. However, outbreaks of these parasites are only in a few endemic areas. The outbreaks of Enterobius vermicularis and head lice, human parasites, have recently increased in the kindergartens and primary schools in the Republic of Korea.

Citations

Citations to this article as recorded by  Crossref logo
  • Prevalence of parasitic infections in stray cats from Gimpo-si, Gyeonggi-do, Korea
    Sooji Hong, Hyejoo Shin, Seungwan Ryoo, Chung-Won Lee, Jae-Young Park, Jong-Yil Chai, Bong-Kwang Jung
    Parasites, Hosts and Diseases.2025; 63(2): 182.     CrossRef
  • Unveiling the Hidden Burden of TORCH Infections in HIV Patients: A Residual Serum Seroepidemiological Study in a Korean Metropolitan City
    Hye Jin Shi, Myung-Deok Kim-Jeon, Jung-Hee Kim, Kyung-Ae Kim, Yoonseon Park, Juyeong Lee, Shin Hee Hong, Jaeyong Song, Meyong Hee Kim, Munju Kwon, Joong Sik Eom
    Infection & Chemotherapy.2025; 57(4): 578.     CrossRef
  • Prevalence of gastrointestinal parasitic infections in wild mammals of a safari park and a zoo in Bangladesh
    Sabrina Ferdous, Joya Chowdhury, Tanjila Hasan, Pronesh Dutta, Md. Mizanur Rahman, Mohammad Mahmudul Hassan, Md. Rayhan Faruque, Mohammad Abdul Alim
    Veterinary Medicine and Science.2023; 9(3): 1385.     CrossRef
  • Perceptions, attitudes and practices regarding canine zoonotic helminthiases among dog owners in Nyagatare district, Rwanda
    Pie Ntampaka, François Niragire, Vincent Nkurunziza, Gisele Uwizeyimana, Anselme Shyaka
    Veterinary Medicine and Science.2022; 8(4): 1378.     CrossRef
  • Seropositivity Rates of Strongyloides stercoralis Antibody in the Southeastern Region of Republic of Korea: A Single-Center Retrospective Study
    Taehwa Kim, Seungjin Lim
    The Korean Journal of Parasitology.2022; 60(3): 181.     CrossRef
  • Evaluation of zoonotic platyhelminthe infections identified in slaughtered livestock in Iran, 2015–2019
    Behzad Kiani, Christine M. Budke, Ebrahim Shams Abadi, Soheil Hashtarkhani, Amene Raouf Rahmati, Mostafa AkbarPour, Mehdi Zarean, Bibi Razieh Hosseini Farash, Fatemeh Kiani, Elham Moghaddas
    BMC Veterinary Research.2021;[Epub]     CrossRef
  • Parasites Circulating in Wild Synanthropic Capybaras (Hydrochoerus hydrochaeris): A One Health Approach
    Manuel Uribe, Carlos Hermosilla, Arlex Rodríguez-Durán, Juan Vélez, Sara López-Osorio, Jenny J. Chaparro-Gutiérrez, Jesús A. Cortés-Vecino
    Pathogens.2021; 10(9): 1152.     CrossRef
  • Gastrointestinal parasites in the opossum Didelphis aurita: Are they a potential threat to human health?
    Marcos Antônio Bezerra-Santos, Carolina Silveira Fontes, Bárbara Cristina Félix Nogueira, Ricardo Seiti Yamatogi, Rafael Antonio Nascimento Ramos, Juliana Arena Galhardo, Luis Fernando Viana Furtado, Élida Mara Leite Rabelo, Jackson Victor de Araújo, Artu
    Journal of Parasitic Diseases.2020; 44(2): 355.     CrossRef
  • Helminth Parasites among Rodents in the Middle East Countries: A Systematic Review and Meta-Analysis
    Md Mazharul Islam, Elmoubashar Farag, Mohammad Mahmudul Hassan, Devendra Bansal, Salah Al Awaidy, Abdinasir Abubakar, Hamad Al-Romaihi, Zilungile Mkhize-Kwitshana
    Animals.2020; 10(12): 2342.     CrossRef
  • Monitoring of Cysticercosis of rabbits in farms of different forms of ownership
    M. V. Bogach, O. O. Horobei, O. M. Ivanchenko, D. V. Vovk
    Journal for Veterinary Medicine, Biotechnology and Biosafety.2020; 6(3): 9.     CrossRef
  • Anaerobic digestion of agricultural manure and biomass – Critical indicators of risk and knowledge gaps
    Rajat Nag, Agathe Auer, Bryan K. Markey, Paul Whyte, Stephen Nolan, Vincent O'Flaherty, Lauren Russell, Declan Bolton, Owen Fenton, Karl Richards, Enda Cummins
    Science of The Total Environment.2019; 690: 460.     CrossRef
  • IDENTIFICATION AND PREVALENCE OF GASTROINTESTINAL PARASITES IN BEEF CATTLE IN SIAK SRI INDRAPURA, RIAU, INDONESIA
    Lucia Tri Suwanti
    Indonesian Journal of Tropical and Infectious Disease.2019; 7(6): 155.     CrossRef
  • Comparative proteomics analysis of Trichinella spiralis muscle larvae exposed to albendazole sulfoxide stress
    Ruo Yu Peng, Hui Jun Ren, Chun Li Zhang, Pin Lv, Gao Hui Wei, Liang Ming
    Acta Tropica.2018; 185: 183.     CrossRef
  • Zoonotic intestinal parasites of carnivores: A systematic review in Iran
    Shahabeddin Sarvi, Ahmad Daryani, Mehdi Sharif, Mohammad Taghi Rahimi, Mohammad Hasan Kohansal, Siavash Mirshafiee, Abolghasem Siyadatpanah, Seyed-Abdollah Hosseini, Shirzad Gholami
    Veterinary World.2018; 11(1): 58.     CrossRef
  • Serological and Molecular Detection of Toxoplasma gondii and Babesia microti in the Blood of Rescued Wild Animals in Gangwon-do (Province), Korea
    Sung-Hee Hong, Hee-Jong Kim, Young-Il Jeong, Shin-Hyeong Cho, Won-Ja Lee, Jong-Tak Kim, Sang-Eun Lee
    The Korean Journal of Parasitology.2017; 55(2): 207.     CrossRef
  • Characteristic CT and MR imaging findings of cerebral paragonimiasis
    Yong Xia, Jing Chen, Yan Ju, Chao You
    Journal of Neuroradiology.2016; 43(3): 200.     CrossRef
  • Human Intestinal Parasites From the Wushantou Site in Neolithic Period Taiwan (800–1 BC)
    Hui-Yuan Yeh, Yu-Pei Chen, Piers D. Mitchell
    The Journal of Island and Coastal Archaeology.2016; 11(3): 425.     CrossRef
  • Microbiological survey of mice (Mus musculus) purchased from commercial pet shops in Kanagawa and Tokyo, Japan
    Nobuhito HAYASHIMOTO, Hanako MORITA, Tomoko ISHIDA, Ritsuki UCHIDA, Mai TANAKA, Midori OZAWA, Masahiko YASUDA, Toshio ITOH
    Experimental Animals.2015; 64(2): 155.     CrossRef
  • Trichinellosis: Characteristics of the cause, mode of transmission and the possibility of prevention
    Jelena Antić-Stanković
    Hrana i ishrana.2015; 56(2): 12.     CrossRef
  • A slaughterhouse study on prevalence of some helminths of cattle in Lorestan provience, west Iran
    Behrouz Ezatpour, Ali Hasanvand, Mehdi Azami, Hossein Mahmoudvand, Khatereh Anbari
    Asian Pacific Journal of Tropical Disease.2014; 4(5): 416.     CrossRef
  • Detection and Determination ofToxoplasma gondiiSeroprevalence in Native Korean Goats (Capra hircus coreanae)
    Byeong Yeal Jung, Eyerusalem Bizuneh Gebeyehu, Seung-Hun Lee, Min-Goo Seo, Jae-Won Byun, Jae Ku Oem, Ha-Young Kim, Dongmi Kwak
    Vector-Borne and Zoonotic Diseases.2014; 14(5): 374.     CrossRef
  • Prevalence of Intestinal Parasitic Infections Among Rural Inhabitants of Hamadan City, Iran, 2012
    Rasool Jafari, Mohammad Fallah, Hossein Yousofi Darani, Hosein Ali Yousefi, Mohammad Ali Mohaghegh, Milad Latifi, Mohammad Sadaghian, Amir Hossein Maghsood
    Avicenna Journal of Clinical Microbiology and Infection.2014; 1(2): 21445.     CrossRef
  • The origins of human parasites: Exploring the evidence for endoparasitism throughout human evolution
    Piers D. Mitchell
    International Journal of Paleopathology.2013; 3(3): 191.     CrossRef
  • Intestinal Parasites among Wild Rodents in Northern Gangwon-do, Korea
    Young-Il Lee, Hee-Jang Pyeon, Min Seo
    The Korean Journal of Parasitology.2013; 51(5): 603.     CrossRef
  • Positivity and Intensity of Gnathostoma spinigerum Infective Larvae in Farmed and Wild-Caught Swamp Eels in Thailand
    Wilai Saksirisampant, Benjamas Wongsatayanon Thanomsub
    The Korean Journal of Parasitology.2012; 50(2): 113.     CrossRef
  • An Unusual Case of Hypereosinophilia and Abdominal Pain: An Outbreak ofTrichostrongylusImported From New Zealand
    Emma C. Wall, Neha Bhatnagar, Julie Watson, Tom Doherty
    Journal of Travel Medicine.2011; 18(1): 59.     CrossRef
  • Zoonotic enteric protozoa
    R.C.A. Thompson, A. Smith
    Veterinary Parasitology.2011; 182(1): 70.     CrossRef
  • Pneumocystis: from a doubtful unique entity to a group of highly diversified fungal species
    Magali Chabé, Cécile-Marie Aliouat-Denis, Laurence Delhaes, El Moukhtar Aliouat, Eric Viscogliosi, Eduardo Dei-Cas
    FEMS Yeast Research.2011; 11(1): 2.     CrossRef
  • 15,467 View
  • 242 Download
  • Crossref

Original Article

Proinflammatory Cytokine and Nitric Oxide Production by Human Macrophages Stimulated with Trichomonas vaginalis
Ik-Hwan Han, Sung Young Goo, Soon-Jung Park, Se-Jin Hwang, Yong-Seok Kim, Michael Sungwoo Yang, Myoung-Hee Ahn, Jae-Sook Ryu
Korean J Parasitol 2009;47(3):205-212.
Published online August 28, 2009
DOI: https://doi.org/10.3347/kjp.2009.47.3.205

Trichomonas vaginalis commonly causes vaginitis and perhaps cervicitis in women and urethritis in men and women. Macrophages are important immune cells in response to T. vaginalis infection. In this study, we investigated whether human macrophages could be involved in inflammation induced by T. vaginalis. Human monocyte-derived macrophages (HMDM) were co-cultured with T. vaginalis. Live, opsonized-live trichomonads, and T. vaginalis lysates increased proinflammatory cytokines, such as TNF-α, IL-1β, and IL-6 by HMDM. The involvement of nuclear factor (NF)-κB signaling pathway in cytokine production induced by T. vaginalis was confirmed by phosphorylation and nuclear translocation of p65 NF-κB. In addition, stimulation with live T. vaginalis induced marked augmentation of nitric oxide (NO) production and expression of inducible NO synthase (iNOS) levels in HMDM. However, trichomonad-induced NF-κB activation and TNF-α production in macrophages were significantly inhibited by inhibition of iNOS levels with L-NMMA (NO synthase inhibitor). Moreover, pretreatment with NF-κB inhibitors (PDTC or Bay11-7082) caused human macrophages to produce less TNF-α. These results suggest that T. vaginalis stimulates human macrophages to produce proinflammatory cytokines, such as IL-1, IL-6, and TNF-α, and NO. In particular, we showed that T. vaginalis induced TNF-α production in macrophages through NO-dependent activation of NF-κB, which might be closely involved in inflammation caused by T. vaginalis.

Citations

Citations to this article as recorded by  Crossref logo
  • Immunomodulatory Effects of the Antimicrobial Peptide KR-20: Implications for Trichomoniasis
    María G. Ramírez-Ledesma, Eva E. Ávila, Nayeli Alva-Murillo
    Molecules.2026; 31(3): 413.     CrossRef
  • Recent Advances in Biology, Host and Microbe Interactions of the Human Sexually Transmitted Parasite Trichomonas vaginalis
    Desmond L. Seybold, Gregory P. Contreras, Jia-Feng Chang, Ting-Yu Yeh
    International Journal of Molecular Sciences.2025; 26(24): 12015.     CrossRef
  • Impact of microparticles released during murine systemic inflammation on macrophage activity and reactive nitrogen species regulation
    Weronika Ortmann, Anna Such, Elzbieta Kolaczkowska
    Immunologic Research.2024; 72(2): 299.     CrossRef
  • Activation of murine macrophages by membrane proteins from Tritrichomonas foetus grown on iron‐ and calcium‐rich conditions
    Antonio Euan‐Canto, Julio César Torres‐Romero, María Elizbeth Alvarez‐Sánchez, Victor Ermilo Arana‐Argáez, Karla Acosta‐Viana, Emanuel Ceballos‐Góngora, Laura Vázquez‐Carrillo, Leidi Alvarez‐Sánchez
    Parasite Immunology.2024;[Epub]     CrossRef
  • Inflammatory responses during trichomoniasis: The role of Toll‐like receptors and inflammasomes
    Abdollah Jafarzadeh, Maryam Nemati, Ehsan Salarkia, Sonal Yadav, Najmeh Aminizadeh, Sara Jafarzadeh, Manisha Yadav
    Parasite Immunology.2023;[Epub]     CrossRef
  • In Vitro Activation of Macrophages by an MHC Class II-restricted Trichomonas Vaginalis TvZIP8-derived Synthetic Peptide
    Victor Ermilo Arana-Argáez, Emanuel Ceballos-Góngora, María Elizbeth Alvarez-Sánchez, Antonio Euan-Canto, Julio Lara-Riegos, Julio César Torres-Romero
    Immunological Investigations.2022; 51(1): 88.     CrossRef
  • Local cytokine/chemokine profiles in BALB/c and C57BL/6 mice in response to T. vaginalis infection
    Sonal Yadav, Vivek Verma, Rakesh Singh Dhanda, Sumeeta Khurana, Manisha Yadav
    Experimental Parasitology.2022; 239: 108287.     CrossRef
  • Immune cell arrival kinetics to peritoneum and role during murine-experimental trichomoniasis
    F. J. Rangel-Mata, E. E. Ávila-Muro, J. E. Reyes-Martínez, L. M. Olmos-Ortiz, M. E. Brunck, L. A. Arriaga-Pizano, P. Cuéllar-Mata
    Parasitology.2021; 148(13): 1624.     CrossRef
  • Trichomonas vaginalis triggers the release of THP-1 extracellular traps
    Li Fei, Wei Zhengkai, Jiang Weina, Cao Lili, Gao Yuhang, Yang Zhengtao, Li Jianhua, Yu Biao, Zhang Xichen, Gong Pengtao
    Parasitology Research.2019; 118(1): 267.     CrossRef
  • Immune Response of BALB/c Mice toward Putative Calcium Transporter Recombinant Protein of Trichomonas vaginalis
    Tahali Mendoza-Oliveros, Victor Arana-Argáez, Leidi C. Alvaréz-Sánchez, Julio Lara-Riegos, María Elizbeth Alvaréz-Sánchez, Julio C. Torres-Romero
    The Korean Journal of Parasitology.2019; 57(1): 33.     CrossRef
  • Heterogeneous macrophages: Supersensors of exogenous inducing factors
    Caiyun Qian, Zehui Yun, Yudi Yao, Minghua Cao, Qiang Liu, Song Hu, Shuhua Zhang, Daya Luo
    Scandinavian Journal of Immunology.2019;[Epub]     CrossRef
  • Immunopathology of Recurrent Vulvovaginal Infections: New Aspects and Research Directions
    Namarta Kalia, Jatinder Singh, Manpreet Kaur
    Frontiers in Immunology.2019;[Epub]     CrossRef
  • ReducedTrichomonas vaginalisviability in mice pretreated with parasite DNA
    Marco Antonio Barajas-Mendiola, Laura E. Castellano, Miriam Barrios-Rodiles, Martha A. Deveze-Alvarez, Eva E. Avila, Patricia Cuéllar-Mata
    Parasitology.2019; 146(13): 1636.     CrossRef
  • Trichomonas vaginalis Induces NLRP3 Inflammasome Activation and Pyroptotic Cell Death in Human Macrophages
    Angelica Montenegro Riestra, J. Andrés Valderrama, Kathryn A. Patras, Sharon D. Booth, Xing Yen Quek, Chih-Ming Tsai, Victor Nizet
    Journal of Innate Immunity.2019; 11(1): 86.     CrossRef
  • Humoral and T cell–mediated immune response against trichomoniasis
    M. Nemati, N. Malla, M. Yadav, H. Khorramdelazad, A. Jafarzadeh
    Parasite Immunology.2018;[Epub]     CrossRef
  • Trichomonas vaginalis Induces Production of Proinflammatory Cytokines in Mouse Macrophages Through Activation of MAPK and NF-κB Pathways Partially Mediated by TLR2
    Ling Li, Xin Li, Pengtao Gong, Xichen Zhang, Zhengtao Yang, Ju Yang, Jianhua Li
    Frontiers in Microbiology.2018;[Epub]     CrossRef
  • BLT1-mediated O-GlcNAcylation is required for NOX2-dependent migration, exocytotic degranulation and IL-8 release of human mast cell induced by Trichomonas vaginalis-secreted LTB4
    Arim Min, Young Ah Lee, Kyeong Ah Kim, Myeong Heon Shin
    Microbes and Infection.2018; 20(6): 376.     CrossRef
  • Effect of iNOS inhibitor LNMMA along with antibiotics Chloramphenicol or Ofloxacin in murine peritoneal macrophages regulates S.aureus infection as well as inflammation: An in vitro study
    Somrita Dey, Biswadev Bishayi
    Microbial Pathogenesis.2017; 105: 307.     CrossRef
  • Trichomonas vaginalis exosome‐like vesicles modify the cytokine profile and reduce inflammation in parasite‐infected mice
    L. M. Olmos‐Ortiz, M. A. Barajas‐Mendiola, M. Barrios‐Rodiles, L. E. Castellano, S. Arias‐Negrete, E. E. Avila, P. Cuéllar‐Mata
    Parasite Immunology.2017;[Epub]     CrossRef
  • The anti‐Trichomonas vaginalis phloroglucinol derivative isoaustrobrasilol B modulates extracellular nucleotide hydrolysis
    Camila Braz Menezes, Graziela Vargas Rigo, Henrique Bridi, Danielle da Silva Trentin, Alexandre José Macedo, Gilsane Lino von Poser, Tiana Tasca
    Chemical Biology & Drug Design.2017; 90(5): 811.     CrossRef
  • Adenosine reduces reactive oxygen species and interleukin-8 production by Trichomonas vaginalis-stimulated neutrophils
    Amanda Piccoli Frasson, Camila Braz Menezes, Gustavo Krumel Goelzer, Simone Cristina Baggio Gnoatto, Solange Cristina Garcia, Tiana Tasca
    Purinergic Signalling.2017; 13(4): 569.     CrossRef
  • Trichomonas vaginalis α-Actinin 2 Modulates Host Immune Responses by Inducing Tolerogenic Dendritic Cells via IL-10 Production from Regulatory T Cells
    Hye-Yeon Lee, Juri Kim, Jae-Sook Ryu, Soon-Jung Park
    The Korean Journal of Parasitology.2017; 55(4): 375.     CrossRef
  • SNAP23-Dependent Surface Translocation of Leukotriene B 4 (LTB 4 ) Receptor 1 Is Essential for NOX2-Mediated Exocytotic Degranulation in Human Mast Cells Induced by Trichomonas vaginalis-Secrete
    Arim Min, Young Ah Lee, Kyeong Ah Kim, Jamel El-Benna, Myeong Heon Shin, Judith A. Appleton
    Infection and Immunity.2017;[Epub]     CrossRef
  • OsmC and incomplete glycine decarboxylase complex mediate reductive detoxification of peroxides in hydrogenosomes of Trichomonas vaginalis
    Eva Nývltová, Tamara Smutná, Jan Tachezy, Ivan Hrdý
    Molecular and Biochemical Parasitology.2016; 206(1-2): 29.     CrossRef
  • Symbiotic Association with Mycoplasma hominis Can Influence Growth Rate, ATP Production, Cytolysis and Inflammatory Response of Trichomonas vaginalis
    Valentina Margarita, Paola Rappelli, Daniele Dessì, Gianfranco Pintus, Robert P. Hirt, Pier L. Fiori
    Frontiers in Microbiology.2016;[Epub]     CrossRef
  • Trichomoniasis immunity and the involvement of the purinergic signaling
    Camila Braz Menezes, Tiana Tasca
    Biomedical Journal.2016; 39(4): 234.     CrossRef
  • Modulation of dendritic cell function by Trichomonas vaginalis-derived secretory products
    Min-Ji Song, Jong-Joo Lee, Young Hee Nam, Tae-Gyun Kim, Youn Wook Chung, Mikyoung Kim, Ye-Eun Choi, Myeong Heon Shin, Hyoung-Pyo Kim
    BMB Reports.2015; 48(2): 103.     CrossRef
  • Involvement of PI3K/AKT and MAPK Pathways for TNF-α Production in SiHa Cervical Mucosal Epithelial Cells Infected with <i>Trichomonas vaginalis</i>
    Jung-Bo Yang, Juan-Hua Quan, Ye-Eun Kim, Yun-Ee Rhee, Byung-Hyun Kang, In-Wook Choi, Guang-Ho Cha, Jae-Min Yuk, Young-Ha Lee
    The Korean Journal of Parasitology.2015; 53(4): 371.     CrossRef
  • Analysis of the Oxidative Stress Status in Nonspecific Vaginitis and Its Role in Vaginal Epithelial Cells Apoptosis
    Zhaojie Chen, Zhen Zhang, Haiyan Zhang, Beibei Xie
    BioMed Research International.2015; 2015: 1.     CrossRef
  • T. vaginalis Infection Is Associated with Increased IL-8 and TNFr1 Levels but with the Absence of CD38 and HLADR Activation in the Cervix of ESN
    Olamide D. Jarrett, Kirsten E. Brady, Sharada P. Modur, Jill Plants, Alan L. Landay, Mahmood Ghassemi, Elizabeth T. Golub, Greg T. Spear, Richard M. Novak, Clive M. Gray
    PLOS ONE.2015; 10(6): e0130146.     CrossRef
  • Prostatic Disease Associated withTrichomonas vaginalis
    Jae-Sook Ryu
    The Korean Journal of Urogenital Tract Infection and Inflammation.2014; 9(2): 61.     CrossRef
  • Immunity in urogenital protozoa
    N. Malla, K. Goyal, R. S. Dhanda, M. Yadav
    Parasite Immunology.2014; 36(9): 400.     CrossRef
  • Differential Regulation of Proinflammatory Cytokine Expression by Mitogen-Activated Protein Kinases in Macrophages in Response to Intestinal Parasite Infection
    Mei Xing Lim, Chin Wen Png, Crispina Yan Bing Tay, Joshua Ding Wei Teo, Huipeng Jiao, Norbert Lehming, Kevin Shyong Wei Tan, Yongliang Zhang, J. A. Appleton
    Infection and Immunity.2014; 82(11): 4789.     CrossRef
  • IL‐22 Levels are Associated with Trichomonas vaginalis Infection in the Lower Genital Tract
    Hadijat Moradeke Makinde, Reza Zariffard, Paria Mirmonsef, Richard M Novak, Olamide Jarrett, Alan L Landay, Gregory T Spear
    American Journal of Reproductive Immunology.2013; 70(1): 38.     CrossRef
  • IL-10 release by bovine epithelial cells cultured with Trichomonas vaginalis and Tritrichomonas foetus
    Ricardo Chaves Vilela, Marlene Benchimol
    Memórias do Instituto Oswaldo Cruz.2013; 108(1): 110.     CrossRef
  • Involvement of purinergic signaling on nitric oxide production by neutrophils stimulated with Trichomonas vaginalis
    Amanda Piccoli Frasson, Geraldo Attilio De Carli, Carla Denise Bonan, Tiana Tasca
    Purinergic Signalling.2012; 8(1): 1.     CrossRef
  • Leukotriene B4 receptors BLT1 and BLT2 are involved in interleukin-8 production in human neutrophils induced by Trichomonas vaginalis-derived secretory products
    Young Hee Nam, Arim Min, Seong Hoon Kim, Young Ah Lee, Kyeong Ah Kim, Kyoung-Ju Song, Myeong Heon Shin
    Inflammation Research.2012; 61(2): 97.     CrossRef
  • Involvement of mast cells in inflammation induced by Trichomonas vaginalis via crosstalk with vaginal epithelial cells
    I. H. HAN, S. J. PARK, M. H. AHN, J. S. RYU
    Parasite Immunology.2012; 34(1): 8.     CrossRef
  • Leukotriene B4 receptor BLT-mediated phosphorylation of NF-κB and CREB is involved in IL-8 production in human mast cells induced by Trichomonas vaginalis-derived secretory products
    Young Hee Nam, Deulle Min, Hyoung-Pyo Kim, Kyoung-Ju Song, Kyeong Ah Kim, Young Ah Lee, Seong Hoon Kim, Myeong Heon Shin
    Microbes and Infection.2011; 13(14-15): 1211.     CrossRef
  • NF-κB and CREB Are Involved in IL-8 Production of Human Neutrophils Induced byTrichomonas vaginalis-Derived Secretory Products
    Young Hee Nam, Deulle Min, Soon-Jung Park, Kyeong Ah Kim, Young Ah Lee, Myeong Heon Shin
    The Korean Journal of Parasitology.2011; 49(3): 291.     CrossRef
  • Trichomoniasis
    Jae-Sook Ryu
    Hanyang Medical Reviews.2010; 30(3): 213.     CrossRef
  • 12,202 View
  • 119 Download
  • Crossref

Brief Communication

Ultrastructural Localization of Cryptosporidium parvum Antigen Using Human Patients Sera
Jong-Gyu Lee, Eun-Taek Han, Woo-Yoon Park, Jae-Ran Yu
Korean J Parasitol 2009;47(2):171-174.
Published online May 27, 2009
DOI: https://doi.org/10.3347/kjp.2009.47.2.171

The antigen location of Cryptosporidium parvum, which stimulates antibody formation in humans and animals, was investigated using infected human sera. Immuno-electron microscopy revealed that antigenicity-inducing humoral immunity was located at various developmental stages of parasites, including asexual, sexual stages, and oocysts. The amount of antigen-stimulating IgG antibodies was particularly high on the oocyst wall. The sporozoite surface was shown to give stimulation on IgG and IgM antibody formation. Trophozoites implicated the lowest antigenicity to humoral immunity, both IgG and IgM, by showing the least amount of gold labeling. Immunogold labeling also provided clues that antigens were presented to the host-cell cytoplasm via feeder organelles and host-parasite junctions.

Citations

Citations to this article as recorded by  Crossref logo
  • Cryptostatin, a chagasin-family cysteine protease inhibitor ofCryptosporidium parvum
    J.-M. KANG, H.-L. JU, J.-R. YU, W.-M. SOHN, B.-K. NA
    Parasitology.2012; 139(8): 1029.     CrossRef
  • 10,252 View
  • 128 Download
  • Crossref

Case Report

Anchitrema sanguineum (Digenea: Anchitrematidae) Accidentally Found during Colonoscopy of a Patient with Chronic Abdominal Pain: A Case Report
Teera Kusolsuk, Nantana Paiboon, Somchit Pubampen, Wanna Maipanich, Paron Dekumyoy, Jitra Waikagul
Korean J Parasitol 2009;47(2):167-170.
Published online May 27, 2009
DOI: https://doi.org/10.3347/kjp.2009.47.2.167

In November 2007, a 46-year-old male Thai patient presented with chronic abdominal pain for over 3 years. Colonoscopy revealed a small parasite of about 2 × 1 mm in size attached to the cecum mucosa. The worm was removed endoscopically, fixed, and stained for morphological observations. The specimen was identified as Anchitrema sanguineum (Digenea: Anchitrematidae), a trematode first reported in a reptile, Chamaeleo vulgaris, from Egypt, and then sporadically found in the intestines of insectivorous bats and other mammals. The patient was treated with praziquantel but no more worms were found in his stool. His symptoms improved slightly but not cured completely. It remains unclear whether the chronic abdominal pain of the patient was caused by this trematode infection. Whatever is the pathogenicity of this trematode, this is the first human case of A. sanguineum infection in the literature.

Citations

Citations to this article as recorded by  Crossref logo
  • Potential for Emergence of Foodborne Trematodiases Transmitted by an Introduced Snail (Melanoides tuberculata) in California and Elsewhere in the United States
    Daniel C G Metz, Andrew V Turner, Alexandria P Nelson, Ryan F Hechinger
    The Journal of Infectious Diseases.2023; 227(2): 183.     CrossRef
  • Mini-FLOTAC as an alternative, non-invasive diagnostic tool for Schistosoma mansoni and other trematode infections in wildlife reservoirs
    Stefano Catalano, Amelia Symeou, Kirsty J. Marsh, Anna Borlase, Elsa Léger, Cheikh B. Fall, Mariama Sène, Nicolas D. Diouf, Davide Ianniello, Giuseppe Cringoli, Laura Rinaldi, Khalilou Bâ, Joanne P. Webster
    Parasites & Vectors.2019;[Epub]     CrossRef
  • 9,922 View
  • 112 Download
  • Crossref

Brief Communication

Ultrastructural Localization of Toxocara canis Larval Antigen Reacted with a Seropositive Human Serum
Soo-Ung Lee, Jae-Ran Yu, Sun Huh
Korean J Parasitol 2009;47(1):65-68.
Published online March 12, 2009
DOI: https://doi.org/10.3347/kjp.2009.47.1.65

Excretory-secretory products of Toxocara canis larvae have been considered as a major functional antigen in immune responses against toxocariasis. We studied ultrastructural localization of T. canis second-stage larval antigen using a seropositive human serum under immunogold electron microscopy. High-density gold particles were observed in the secretory cells, excretory duct, intestinal epithelium, and cuticle of the larval worm sections. The distribution of the positive reactions in the larval worms suggests that the nature of the antigen is excretory-secretory antigen including waste metabolites and secretory enzymes.

Citations

Citations to this article as recorded by  Crossref logo
  • Toxocara canis-originated recombinant C-type lectin improves the disability scores of experimental autoimmune encephalomyelitis in murine in vivo models
    Mahsa Shahbakhsh, Fateme Jalousian, Seyed Hossein Hosseini, Abdorreza Naser Moghadasi, Parviz Shayan, Samad Farashi Bonab, Parmida Malekzade, Mohammad Vojgani, Mahya Lalehpour
    Journal of Neuroimmunology.2025; 402: 578569.     CrossRef
  • Producción y evaluación del antígeno recombinante Tes-30 de Toxocara canis para el inmunodiagnóstico de toxocariasis
    Ana M. Olave, Jairo A. Mesa, Jorge H. Botero, Edwin B. Patiño, Gisela M. García, Juan F. Alzate
    Biomédica.2015;[Epub]     CrossRef
  • Evaluación de un antígeno purificado para el diagnóstico de toxocariosis
    Graciela Santillán, Vanesa Bastin, Graciela Céspedes, Adriana Monkiewicz
    Revista Argentina de Microbiología.2013; 45(2): 80.     CrossRef
  • Frequency of unexpected antibody and consideration during transfusion
    Ki-Ho Ko, Byung-Hoon Yoo, Kye-Min Kim, Woo-Yong Lee, Jun-Heum Yon, Ki-Hyuk Hong, Tae-Hee Han
    Korean Journal of Anesthesiology.2012; 62(5): 412.     CrossRef
  • 9,038 View
  • 94 Download
  • Crossref
Original Article
A Nationwide Survey on the Prevalence of Intestinal Parasitic Infections in the Republic of Korea, 2004
Tong-Soo Kim, Shin-Hyeong Cho, Sun Huh, Yoon Kong, Woon-Mok Sohn, Seung-Sik Hwang, Jong-Yil Chai, Soon-Hyung Lee, Yun-Kyu Park, Dae-Kyu Oh, Jong-Koo Lee
Korean J Parasitol 2009;47(1):37-47.
Published online March 12, 2009
DOI: https://doi.org/10.3347/kjp.2009.47.1.37

National surveys on the prevalence of intestinal parasitic infections have been carried out every 5-7 years since 1971 in the Republic of Korea in order to establish control measures. The present nationwide survey was conducted from June to December 2004. The 10% population sampling data of Population and Housing Census by the Korean government in 2000 was used as the survey population. One sample was selected randomly from each of the 22,858 registered subjects, and a total of 20,541 people were ultimately included in this survey. Fecal examinations were performed by the cellophane thick smear and saturated brine flotation techniques. Pinworm infection was examined by cello-tape anal swab method. This survey also included a questionnaire study for a socioeconomic analysis. The total helminth egg positive rate was 3.7%, and the estimated total positive number among nationwide people was 1,780,000. The rates in urban and rural areas were 3.1% and 6.8%, respectively. As the total egg positive rate in the 6th survey in 1997 was 2.4%, the present survey showed that there was a considerable degree of increase in the prevalence rate of intestinal parasitic infections over the 7-year period following the 6th survey. The largest increases occurred in the egg positive rates of Clonorchis sinensis and heterophyids including Metagonimus yokogawai.

Citations

Citations to this article as recorded by  Crossref logo
  • Preventable Cancers Caused by Infection in Korea From 2015 to 2030
    Sungji Moon, Jeoungbin Choi, Soseul Sung, Youjin Hong, Kwang-Pil Ko, Jung Eun Lee, Inah Kim, Seungho Ryu, Sun Ha Jee, Guen Hui Kim, Sun Young Yang, Aesun Shin, Sun-Seog Kweon, Jeongseon Kim, Jieun Jang, Sangjun Lee, Kyungsik Kim, Woojin Lim, Yoon-Jung Cho
    Journal of Korean Medical Science.2025;[Epub]     CrossRef
  • High sensitivity detection of Clonorchis sinensis and Gymnophalloides seoi in food by new real-time gene amplification method
    Min Ji Hong, Mi-Gyeong Kim, Doo Won Seo, Hyun Mi Jung, Hyun-Ja Han, Seung Hwan Kim, Insun Joo
    Food Science and Biotechnology.2025; 34(14): 3417.     CrossRef
  • Assessing trends in clonorchiasis incidence via prescription data analysis in South Korea
    Taeksang Lee, Jun Hyun Lee, Hanna Jin, Yun Kyung Lee, Hyun Beom Song
    BMC Public Health.2025;[Epub]     CrossRef
  • Global distribution of zoonotic digenetic trematodes: a scoping review
    Yue Hu, Rong-Jian Zhan, Shi-Lin Lu, Yi-Yang Zhang, Min-Yu Zhou, Hui Huang, Ding-Ding Wang, Tao Zhang, Zi-Xin Huang, Yun-Fei Zhou, Zhi-Yue Lv
    Infectious Diseases of Poverty.2024;[Epub]     CrossRef
  • Age, period, and cohort effects of Clonorchis sinensis infection prevalence in the Republic of Korea: Insights and projections
    Sung-mok Jung, Heewon Kang, Bong-Kwang Jung, Sejin Ju, Jung-Won Ju, Myoung-Ro Lee, Jong-hun Kim, Sung Hye Kim, Ran Wang
    PLOS Neglected Tropical Diseases.2024; 18(10): e0012574.     CrossRef
  • An Unexpected Encounter During a Screening Colonoscopy in a Medical Tourist: A Diagnosis of Hymenolepis nana Infection
    Bosung Park, Hye Won Park, Hyun Jung Park, Eun Jeong Won, Heungsup Sung, Mi-Na Kim
    Annals of Laboratory Medicine.2024; 44(6): 608.     CrossRef
  • 2022년 유행지역 주민의 장내기생충 감염 조사
    명노 이, 정원 주, 선옥 백, 영주 이, 희일 이
    Public Health Weekly Report.2023; 16(32): 1131.     CrossRef
  • Biliary ascariasis misidentified as a biliary stent in a patient undergoing liver resection
    Hochang Chae, Suk Won Suh, Yoo Shin Choi, Hee Ju Sohn, Seung Eun Lee, Jae Hyuk Do, Hyun Jeong Park
    Parasites, Hosts and Diseases.2023; 61(2): 194.     CrossRef
  • Case of Abdominal Colicky Pain Caused by Hepatic Paragonimiasis
    Min Sung Kim
    The Korean Journal of Gastroenterology.2023; 82(4): 194.     CrossRef
  • Status of Helminthic Infections in Residents around River Basins in the Republic of Korea for 10 Years (2011-2020)
    Myoung-Ro Lee, Hee-Eun Shin, Seon-Ok Back, Young-Ju Lee, Hee-Il Lee, Jung-Won Ju
    The Korean Journal of Parasitology.2022; 60(3): 187.     CrossRef
  • Utility of an Automatic Vision-Based Examination System (AVE-562) for the Detection of Clonorchis sinensis Eggs in Stool
    Yu Jeong Lee, Eun Jeong Won, Young-Chang Cho, Soo Hyun Kim, Myung Geun Shin, Jong Hee Shin
    Annals of Laboratory Medicine.2021; 41(2): 221.     CrossRef
  • Spectrum of pleuropulmonary paragonimiasis: An analysis of 685 cases diagnosed over 22 years
    Chun-Seob Ahn, Jong Wook Shin, Jeong-Geun Kim, Weon-Young Lee, Insug Kang, Jung-Gi Im, Yoon Kong
    Journal of Infection.2021; 82(1): 150.     CrossRef
  • Foodborne zoonotic parasites of the family Opisthorchiidae
    Weerachai Saijuntha, Paiboon Sithithaworn, Trevor N. Petney, Ross H. Andrews
    Research in Veterinary Science.2021; 135: 404.     CrossRef
  • Severe hepatobiliary morbidity is associated with Clonorchis sinensis infection: The evidence from a cross-sectional community study
    Men-Bao Qian, Hong-Mei Li, Zhi-Hua Jiang, Yi-Chao Yang, Ming-Fei Lu, Kang Wei, Si-Liang Wei, Yu Chen, Chang-Hai Zhou, Ying-Dan Chen, Xiao-Nong Zhou, Maria Angeles Gómez-Morales
    PLOS Neglected Tropical Diseases.2021; 15(1): e0009116.     CrossRef
  • Novel mechanism of hepatobiliary system damage and immunoglobulin G4 elevation caused by Clonorchis sinensis infection
    Xin-He Zhang, Die Huang, Yi-Ling Li, Bing Chang
    World Journal of Clinical Cases.2021; 9(23): 6639.     CrossRef
  • Foodborne intestinal flukes: A brief review of epidemiology and geographical distribution
    Jong-Yil Chai, Bong-Kwang Jung
    Acta Tropica.2020; 201: 105210.     CrossRef
  • Currently Available Monitoring and Surveillance Systems for Taenia spp., Echinococcus spp., Schistosoma spp., and Soil-Transmitted Helminths at the Control/Elimination Stage: A Systematic Review
    Ganna Saelens, Sarah Gabriël
    Pathogens.2020; 9(1): 47.     CrossRef
  • A Case of Expulsion of an Adult Ascaris Worm from the Anus of a 2-year-old Boy
    Yeonjong Cho, Sik Kyung Choi, Su Jung Kim
    Pediatric Infection & Vaccine.2020; 27(1): 77.     CrossRef
  • High endemicity of Clonorchis sinensis infection in Binyang County, southern China
    Junling Sun, Hualei Xin, Zhihua Jiang, Menbao Qian, Kaixia Duan, Yingdan Chen, Shizhu Li, Wei Li, Shiyong Huang, Xiaoqin Gan, Yichao Yang, Zhongjie Li, Maria Angeles Gómez-Morales
    PLOS Neglected Tropical Diseases.2020; 14(8): e0008540.     CrossRef
  • Prevalence of Clonorchis sinensis infection in fish in South‐East Asia: A systematic review and meta‐analysis
    Ying Zhang, Qing‐Long Gong, Qing‐Bo Lv, Yang‐Yuan Qiu, Yan‐Chun Wang, Hong‐Yu Qiu, Xin‐Rui Guo, Jun‐Feng Gao, Qiao‐Cheng Chang, Chun‐Ren Wang
    Journal of Fish Diseases.2020; 43(11): 1409.     CrossRef
  • Cluster of Parasite Infections by the Spatial Scan Analysis in Korea
    Kyoung-Eun Bae, Yoon Kyung Chang, Tong-Soo Kim, Sung-Jong Hong, Hye-Jin Ahn, Ho-Woo Nam, Dongjae Kim
    The Korean Journal of Parasitology.2020; 58(6): 603.     CrossRef
  • Detection of Enterobius vermicularis in greater Berlin, 2007–2017: seasonality and increased frequency of detection
    Johannes Friesen, Clara Bergmann, Robert Neuber, Jörg Fuhrmann, Thilo Wenzel, Anita Durst, Michael Müller, Ralf Ignatius
    European Journal of Clinical Microbiology & Infectious Diseases.2019; 38(4): 719.     CrossRef
  • Prevalence and Intensity of Clonorchis sinensis Metacercariae in Freshwater Fish from Wicheon Stream in Gunwi-gun, Gyeongsangbuk-do, Korea
    Woon-Mok Sohn, Byoung-Kuk Na, Shin-Hyeong Cho, Jung-Won Ju, Dong-Chul Son
    The Korean Journal of Parasitology.2018; 56(1): 41.     CrossRef
  • Trends in Gallbladder Cancer Incidence and Survival in Korea
    Youngjun Wi, Hyeongtaek Woo, Young-Joo Won, Jin-Young Jang, Aesun Shin
    Cancer Research and Treatment.2018; 50(4): 1444.     CrossRef
  • Infections with Digenean Trematode Metacercariae in Two Invasive Alien Fish, Micropterus salmoides and Lepomis macrochirus, in Two Rivers in Chungcheongbuk-do, Republic of Korea
    Seongjun Choe, Hansol Park, Dongmin Lee, Yeseul Kang, Hyeong-Kyu Jeon, Keeseon S. Eom
    The Korean Journal of Parasitology.2018; 56(5): 509.     CrossRef
  • Molecular and Structural Characterization of the Tegumental 20.6-kDa Protein in Clonorchis sinensis as a Potential Druggable Target
    Yu-Jung Kim, Won Yoo, Myoung-Ro Lee, Jung-Mi Kang, Byoung-Kuk Na, Shin-Hyeong Cho, Mi-Yeoun Park, Jung-Won Ju
    International Journal of Molecular Sciences.2017; 18(3): 557.     CrossRef
  • A new method for estimating the prevalence of clonorchiasis in Korea
    Jin-Young Jeong, Jin Yong Lee, Byung-Suk Chung, Younghyun Choi, Allison Baer Alley, Hyun Joo Kim
    Medicine.2017; 96(13): e6536.     CrossRef
  • Epidemiological and Clinical Parameters Features of Patients with Clonorchiasis in the Geum River Basin, Republic of Korea
    Hee-Eun Shin, Myoung-Ro Lee, Jung-Won Ju, Byong-Suk Jeong, Mi-Yeoun Park, Keoung-Sook Lee, Shin-Hyeong Cho
    Interdisciplinary Perspectives on Infectious Diseases.2017; 2017: 1.     CrossRef
  • Prevalence of Clonorchis sinensis Metacercariae in Fish from Water Systems of Seomjin-gang (River)
    Woon-Mok Sohn, Byoung-Kuk Na, Shin-Hyeong Cho, Mi-Yeoun Park, Cheon-Hyeon Kim, Min-Ah Hwang, Kyeong-Woo No, Ki-Bok Yoon, Hyun-Cheol Lim
    The Korean Journal of Parasitology.2017; 55(3): 305.     CrossRef
  • Identifying Helminth Infections via Routine Fecal Parasitological Examinations in Korea
    Goh Eun Chung, Changhyun Lee, Jong In Yang, Seung Ho Choi, Joo Sung Kim, Jeong Yoon Yim, Hae Yeon Kang, Su Jin Chung, Min-Sun Kwak
    The American Journal of Tropical Medicine and Hygiene.2017; 97(3): 888.     CrossRef
  • Intestinal Parasite Infections among Inhabitants in Yanbian Prefecture, Jilin Province, China
    Myoung-Ro Lee, Hee-Eun Shin, Byung-Suk Chung, Sang-Eun Lee, Jung-Won Ju, Liji Xu, Chen Long Nan, Mi-Yeoun Park, Shin-Hyeong Cho
    The Korean Journal of Parasitology.2017; 55(5): 579.     CrossRef
  • Diagnosis and Removal of Ascaris lumbricoides during Endoscopic Examination
    Su Hwan Kim, Ji Won Kim
    The Korean Journal of Gastroenterology.2017; 70(6): 304.     CrossRef
  • Clonorchiasis
    Men-Bao Qian, Jürg Utzinger, Jennifer Keiser, Xiao-Nong Zhou
    The Lancet.2016; 387(10020): 800.     CrossRef
  • Prevalence of Clonorchis sinensis Infection among Residents along 5 Major Rivers in the Republic of Korea
    Young-Il Jeong, Hee-Eun Shin, Sang-Eun Lee, Hyeng-Il Cheun, Jung-Won Ju, Jung-Yeon Kim, Mi Yeoun Park, Shin-Hyeong Cho
    The Korean Journal of Parasitology.2016; 54(2): 215.     CrossRef
  • Multiplex Real-Time PCR Assay Targeting Eight Parasites Customized to the Korean Population: Potential Use for Detection in Diarrheal Stool Samples from Gastroenteritis Patients
    Eun Jeong Won, Soo Hyun Kim, Seung Jung Kee, Jong Hee Shin, Soon Pal Suh, Jong Yil Chai, Dong Wook Ryang, Myung Geun Shin, Mark Spigelman
    PLOS ONE.2016; 11(11): e0166957.     CrossRef
  • Prevalence and Related Factors of Clonorchiasis among Five Major Riverside Residents in South Korea
    Chunmi Kim, Kyung Ja June, Shin Hyeong Cho, Kyung Soon Park, Hung Sa Lee, Ji Yeon Park
    Journal of Korean Academy of Community Health Nursing.2016; 27(4): 346.     CrossRef
  • Risk factors for perihilar cholangiocarcinoma: A hospital‐based case–control study
    Ban Seok Lee, Byung Hyo Cha, Eun‐Cheol Park, Jaehoon Roh
    Liver International.2015; 35(3): 1048.     CrossRef
  • Evaluation of Modified Formalin-Ether Concentration Method Using Para Tube in Clinical Settings
    Eun Jeong Won, Jin Kim, Dong Wook Ryang
    Annals of Laboratory Medicine.2015; 35(4): 445.     CrossRef
  • Rare cause of jaundice in a post liver transplant patient
    W.H. She, K.S.H. Chok, R.C.L. Lo, S.C. Chan, C.M. Lo
    Transplant Infectious Disease.2015; 17(4): 579.     CrossRef
  • Prevalence and Risk Factors of Clonorchiasis among Residents of Riverside Areas in Muju-gun, Jeollabuk-do, Korea
    Do-Soon Park, Sung-Jin Na, Shin Hyeong Cho, Kyung Ja June, Young-Chae Cho, Young-Ha Lee
    The Korean Journal of Parasitology.2014; 52(4): 391.     CrossRef
  • Anomalous union of the pancreaticobiliary duct without choledochal cyst: is cholecystectomy alone sufficient?
    Yeji Kim, Jong Jin Hyun, Jae Min Lee, Hong Sik Lee, Chang Duck Kim
    Langenbeck's Archives of Surgery.2014; 399(8): 1071.     CrossRef
  • Global numbers of infection and disease burden of soil transmitted helminth infections in 2010
    Rachel L Pullan, Jennifer L Smith, Rashmi Jasrasaria, Simon J Brooker
    Parasites & Vectors.2014; 7(1): 37.     CrossRef
  • Parasitic Infections Based on 320 Clinical Samples Submitted to Hanyang University, Korea (2004-2011)
    Sung-Chul Choi, Soo-Young Lee, Hyun-Ouk Song, Jae-Sook Ryu, Myoung-Hee Ahn
    The Korean Journal of Parasitology.2014; 52(2): 215.     CrossRef
  • Heavy Hymenolepis nana Infection Possibly Through Organic Foods: Report of a Case
    Bong Jin Kim, Kyung Seob Song, Hyun-Hee Kong, Hee-Jae Cha, Meesun Ock
    The Korean Journal of Parasitology.2014; 52(1): 85.     CrossRef
  • Regulation of anti-inflammatory cytokines IL-10 and TGF-β in mouse dendritic cells through treatment with Clonorchis sinensis crude antigen
    Yan Jin, Hae Joo Wi, Min-Ho Choi, Sung-Tae Hong, Young Mee Bae
    Experimental & Molecular Medicine.2014; 46(1): e74.     CrossRef
  • Control of clonorchiasis in Korea: effectiveness of health education for community leaders and individuals in an endemic area
    Jin‐Kyoung Oh, Min Kyung Lim, E. Hwa Yun, Heeyoun Cho, Eun Young Park, Min‐Ho Choi, Hai‐Rim Shin, Sung‐Tae Hong
    Tropical Medicine & International Health.2014; 19(9): 1096.     CrossRef
  • Prevalence of Zoonotic Trematode Metacercariae in Freshwater Fish from Gangwon-do, Korea
    Shin-Hyeong Cho, Won-Ja Lee, Tong-Soo Kim, Won-Seok Seok, Taejoon Lee, Kyungjin Jeong, Byoung-Kuk Na, Woon-Mok Sohn
    The Korean Journal of Parasitology.2014; 52(4): 399.     CrossRef
  • Chemotherapeutic drugs for common parasitic diseases in Korea
    Sun Huh
    Journal of the Korean Medical Association.2013; 56(6): 513.     CrossRef
  • A Survey of Intestinal Parasite Infection during a 10-Year Period (2003-2012)
    Young-Eun Kim, Hee Jae Huh, Yu-Yean Hwang, Nam Yong Lee
    Annals of Clinical Microbiology.2013; 16(3): 134.     CrossRef
  • Development and evaluation of loop-mediated isothermal amplification (LAMP) for rapid detection of Clonorchis sinensis from its first intermediate hosts, freshwater snails
    Y. CHEN, T. WEN, D.-H. LAI, Y.-Z. WEN, Z.-D. WU, T.-B. YANG, X.-B. YU, G. HIDE, Z.-R. LUN
    Parasitology.2013; 140(11): 1377.     CrossRef
  • Epidemiological profile of Clonorchis sinensis infection in one community, Guangdong, People’s Republic of China
    Men-Bao Qian, Ying-Dan Chen, Yue-Yi Fang, Tan Tan, Ting-Jun Zhu, Chang-Hai Zhou, Guo-Fei Wang, Long-Qi Xu, Xiao-Nong Zhou
    Parasites & Vectors.2013;[Epub]     CrossRef
  • Clonorchis sinensis and clonorchiasis, an update
    Sung-Tae Hong, Yueyi Fang
    Parasitology International.2012; 61(1): 17.     CrossRef
  • The characteristics of the expression of heat shock proteins and cox-2 in the liver of hamsters infected with Clonorchis sinensis, and the change of endocrine hormones and cytokines
    WonHyung Choi, JongPhil Chu
    Folia Parasitologica.2012; 59(4): 255.     CrossRef
  • The global epidemiology of clonorchiasis and its relation with cholangiocarcinoma
    Men-Bao Qian, Ying-Dan Chen, Song Liang, Guo-Jing Yang, Xiao-Nong Zhou
    Infectious Diseases of Poverty.2012;[Epub]     CrossRef
  • Array comparative genomic hybridization identifies novel potential therapeutic targets in cholangiocarcinoma
    Siobhan C. McKay, Kristian Unger, Stephanos Pericleous, Gordon Stamp, Gerry Thomas, Robert R. Hutchins, Duncan R.C. Spalding
    HPB.2011; 13(5): 309.     CrossRef
  • Multiple recombinant antigens of Clonorchis sinensis for serodiagnosis of human clonorchiasis
    Shunyu Li, Jung Guk Shin, Pyo Yun Cho, Tae Im Kim, Sung-Tae Hong, Sung-Jong Hong
    Parasitology Research.2011; 108(5): 1295.     CrossRef
  • Prevalence ofClonorchis sinensisMetacercariae in Freshwater Fish from Three Latitudinal Regions of the Korean Peninsula
    Shin-Hyeong Cho, Woon-Mok Sohn, Byoung-Kuk Na, Tong-Soo Kim, Yoon Kong, Keeseon Eom, Won-Seok Seok, Taejoon Lee
    The Korean Journal of Parasitology.2011; 49(4): 385.     CrossRef
  • Population attributable fraction of infection-related cancers in Korea
    A. Shin, S. Park, H.R. Shin, E.-H. Park, S.K. Park, J.-K. Oh, M.-K. Lim, B.Y. Choi, M. Boniol, P. Boffetta
    Annals of Oncology.2011; 22(6): 1435.     CrossRef
  • Prevalence and associated factors of intestinal parasitisation: a cross-sectional study among outpatients with gastrointestinal symptoms in Catalonia, Spain
    Olga González-Moreno, Laia Domingo, Jaume Teixidor, Mercedes Gracenea
    Parasitology Research.2011; 108(1): 87.     CrossRef
  • A Case of Clonorchiasis with Focal Intrahepatic Duct Dilatation Mimicking an Intrahepatic Cholangiocarcinoma
    Bong Gap Kim, Dae Hwan Kang, Cheol Woong Choi, Hyung Wook Kim, Jae Hyung Lee, Suk Hun Kim, Hye Ju Yeo, Soo Yong Lee
    Clinical Endoscopy.2011; 44(1): 55.     CrossRef
  • Tracing of the Bile-Chemotactic Migration of Juvenile Clonorchis sinensis in Rabbits by PET-CT
    Tae Im Kim, Won Gi Yoo, Byung Kook Kwak, Ju–Won Seok, Sung–Jong Hong, Banchob Sripa
    PLoS Neglected Tropical Diseases.2011; 5(12): e1414.     CrossRef
  • Intestinal Helminthic Infections Diagnosed by Colonoscopy in a Regional Hospital during 2001-2008
    Kyong-Rock Do, Young-Seok Cho, Hyung-Keun Kim, Byung-Hee Hwang, Eun-Jung Shin, Hae-Bin Jeong, Sung-Soo Kim, Hiun-Suk Chae, Myung-Gyu Choi
    The Korean Journal of Parasitology.2010; 48(1): 75.     CrossRef
  • Recent Advances in Serodiagnosis for Clonorchiasis
    Tae Im Kim, Sung-Jong Hong
    Hanyang Medical Reviews.2010; 30(3): 232.     CrossRef
  • Epidemiology of cholangiocarcinoma: An update focusing on risk factors
    Hai‐Rim Shin, Jin‐Kyoung Oh, Eric Masuyer, Maria‐Paula Curado, Veronique Bouvard, Yue‐Yi Fang, Surapon Wiangnon, Banchob Sripa, Sung‐Tae Hong
    Cancer Science.2010; 101(3): 579.     CrossRef
  • Epidemiological Survey on the Infection of Intestinal Flukes in Residents of Muan-gun, Jeollanam-do, the Republic of Korea
    Shin-Hyeong Cho, Pyo-Yun Cho, Dong-Min Lee, Tong-Soo Kim, In-Sang Kim, Eun-Jung Hwang, Byoung-Kuk Na, Woon-Mok Sohn
    The Korean Journal of Parasitology.2010; 48(2): 133.     CrossRef
  • Seroprevalence of Tissue Invading Parasitic Infections Diagnosed by ELISA in Korea
    Mi Kyung Lee, Sung-Jong Hong, Hye Ryoun Kim
    Journal of Korean Medical Science.2010; 25(9): 1272.     CrossRef
  • Descriptive Epidemiology of Cholangiocarcinoma and Clonorchiasis in Korea
    Hai-Rim Shin, Jin-Kyoung Oh, Min Kyung Lim, Aesun Shin, Hyun-Joo Kong, Kyu-Won Jung, Young-Joo Won, Sohee Park, Sang-Jae Park, Sung-Tae Hong
    Journal of Korean Medical Science.2010; 25(7): 1011.     CrossRef
  • Analysis of Parasitic Diseases Diagnosed by Tissue Biopsy Specimens at KyungHee Medical Center (1984-2005) in Seoul, Korea
    Won-Hyung Choi, Jong-Phil Chu, Meihua Jiang, Yun-Sik Lee, Bum-Shik Kim, Deog-Gon Kim, Yong-Koo Park
    The Korean Journal of Parasitology.2010; 48(1): 85.     CrossRef
  • Helminths and malignancy
    B. J. VENNERVALD, K. POLMAN
    Parasite Immunology.2009; 31(11): 686.     CrossRef
  • Functional Genes and Proteins of Clonorchis sinensis
    Tae Im Kim, Byoung-Kuk Na, Sung-Jong Hong
    The Korean Journal of Parasitology.2009; 47(Suppl): S59.     CrossRef
  • 12,675 View
  • 168 Download
  • Crossref